您好,欢迎您

再次出击!MRI引导下VABB微小病变大有可为

2020年12月22日
来源:肿瘤资讯

MRI引导下乳腺活检有效、安全!

国外指南中,真空辅助乳腺活检(VABB)可以与超声、钼靶和MRI联合使用,但在中国患者中,MRI引导下VABB相关循证不足,临床应用存在较大空白。中国国家癌症中心的研究人员近期发表的一项研究评估了MRI引导下乳腺活检在乳腺微小病变中的可行性。

在原发性、复发性和残留性乳腺癌的检测中,磁共振成像(MRI)具有较高的灵敏性(94%-100%),因而MRI被广泛用作乳腺影像学诊断工具。当部分乳腺病变在钼靶或超声检查中不明显时,MRI可以常规监测乳腺病变。然而MRI的特异性相对较低,仅为37%-72%,因此常需要活检来确定诊断。亚洲女性乳腺腺体组织较为致密,MRI引导下活检更有价值,但既往研究较少。因此,国家癌症中心的科研人员开展了一项研究,旨在探讨MRI引导下乳腺VABB和MRI引导下导丝定位在乳腺微小病变中的临床应用价值。

研究对2013年8月至2017年12月期间接受MRI引导下导丝定位+开放手术活检或MRI引导下乳腺穿刺活检的95例患者进行了评估。所有患者均采用1.5-Tesla MRI系统,双侧8通道体相控阵乳腺线圈进行扫描,并在MRI引导下进行导丝定位或10G探针VABB穿刺活检。记录临床信息,包括年龄、绝经状况、病灶位置、组织病理学结果和靶病灶的MRI特征(BI-RADS分类、病灶大小、肿块或非肿块性增强)。

研究设计

患者年龄29岁-77岁,中位年龄50岁。MRI引导下活检后患者均无出血、血肿、感染等不良反应,所有检查在1年内每3-6个月重复一次,之后每6-12个月重复一次。随访期间,所有患者均未发现恶性乳腺肿瘤复发。

87例患者的88个病变均在MRI引导下活检成功,其中恶性病变36个(40.91%),良性病变52个(59.09%);39个病变表现为肿块(44.32%),49个病变为非肿块性增强(55.68%)。

MRI引导下VABB和MRI引导下导丝定位+开放活检的后续病理结果

然而分析显示,在MRI中,恶性率与病变类型之间没有显著的相关性(P=0.27)。所有病变的平均大小为1.49±0.91 cm;恶性病变的平均病灶大小为1.57±0.89 cm;良性病变的平均大小为1.46±0.91 cm(P=0.55)。随着BI-RADS分级的增加,MRI引导下活检或MRI引导下导丝定位+开放活检的恶性肿瘤检出率也升高。研究中,BIRADS 5类病变的恶性率为100%(2/2),而BI-RADS 4C病变的恶性率为44.44%(9/9),BI-RADS 4B病变的恶性率为42.42%(14/33),以及BI-RADS 4A病变的36.36%(16/44)。

MRI引导下VABB和MRI引导下导丝定位+开放活检的病变类型及恶性率

下面列举几个病例的MRI图像:

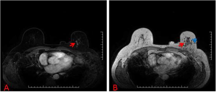
病例1:63岁女性,T1加权脂肪抑制增强MRI显示左乳不规则肿物,可疑恶性,BI-RADS 5级,在超声及乳房X光检查中均未发现 (A);病灶(红色箭头)经MRI引导下VABB(蓝色箭头)确诊为浸润性导管癌 (B);动态增强MRI时间-信号强度曲线(TIC)表现为“快升平台型” (C)。

病例2:57岁女性,T1加权脂肪抑制增强MRI显示左乳可疑病变,BI-RADS分级为4C级 (A);病灶(红色箭头)在MRI引导下行导丝定位(蓝色箭头),经手术活检发现为浸润性导管癌 (B)。

病例3:仅在MRI上可见的乳腺可疑病变(红色箭头) (A);由于活检当天没有看到初始活检目标而定位失败 (B)。

研究中大多数患者接受了MRI引导下导丝定位及后续手术活检,只有13例患者接受了MRI引导下VABB。最重要的原因是目前中国人群中,MRI引导下乳腺VABB的临床经验不足,因此患者可能出现焦虑,当MRI发现隐匿病灶时,多数中国患者会选择手术治疗。活检可能存在的假阴性、MRI引导下VABB的高自付价格等其他因素,也促使乳腺外科医生和患者更倾向于选择MRI引导下导丝定位及后续手术活检。

这项研究证实,对于乳腺微小病变,MRI引导下导丝定位和MRI引导下VABB是安全、简便和有效的,且不会导致严重并发症。尽管目前在技术上仍具有挑战性,但对于隐匿性病变,MRI引导活检是确诊可疑增强乳腺病变的唯一方法。本研究很好地弥补了MRI引导下活检在中国人群中的临床应用空白,不足之处在于样本量较小,因此未来还需更多大样本的前瞻性研究进一步验证其疗效及安全性。

参考文献

Wang J, et al. Front Oncol 2020,10(1):257.

排版编辑:Yezi

相关阅读
评论
2020年12月27日
程曦
浙江大学医学院附属邵逸夫医院 | 肿瘤内科
学习
2020年12月23日
王根彩
丰县人民医院 | 肿瘤综合治疗科
对于乳腺微小病变,MRI引导下导丝定位和MRI引导下VABB是安全、简便和有效的,且不会导致严重并发症。
2020年12月22日
吴耀禄
延安大学附属医院 | 普通外科
学习了