您好,欢迎您

MRI下论短长,不同乳腺Marker各领风骚!

2020年12月15日
来源:肿瘤资讯

材质or形状,如何选择更适合MRI评估的乳腺Marker?

乳腺组织标记物(简称乳腺Marker)是一类可置入乳腺肿瘤及区域转移病灶的标记物,根据材质,乳腺Marker可分为纯金属Marker和聚合物涂覆的Marker;根据形状不同,乳腺Marker又可以分为带状、翼状和圈状。不同乳腺Marker在影像学下表现不同,中山大学孙逸仙纪念医院学者进行的一项研究1探讨了不同乳腺Marker对MRI评价的影响。

2019版《中国抗癌协会乳腺癌诊治指南与规范》推荐,新辅助治疗前可在原发灶内放置乳腺组织标记物(乳腺Marker)或对肿瘤表面皮肤进行标记,并建议新辅助治疗前、中、后采用MRI评估疗效2。然而在实际临床中,乳腺Marker在MRI上多伴有金属伪影,且不同形状及材质的乳腺Marker产生的伪影大小及形态不同,影响MRI对退缩后病灶的显示,影响临床诊断。因此,选择合适的乳腺Marker,以便进行准确的疗效评估成为临床医生关注的重点。国内一项研究就不同形状及材质的乳腺Marker对乳腺MRI评价的影响进行了探索。

研究纳入该院69例患者,共78个病灶(图1),使用常用的两款乳腺组织标记定位针(Ultra Clip Dual Trigger Breast Tissue Marker)28(35.9%)个使用带状、含聚乙烯醇(PVA)钛的乳腺Marker,50(64.1%)个使用圈状PVA医用无镍不锈钢合金的乳腺Marker。采用西门子公司Magnetom Avanto 1.5T超导磁共振仪,8通道专用乳腺表面相控阵线圈,平扫序列为T2WI和T1WI,增强扫描序列为T1WI(表1),体位取头先进俯卧位,双乳自然下垂。根据乳腺Marker影的形状、大小评估不同乳腺Marker在MRI中不同扫描序列的表现(表2)。

图1.病灶分布

表1.不同扫描序列参数

表2. MRI图像分析参数

T1WI增强扫描序列中,带状钛金属Marker长径变异明显

T1WI增强序列上带状含钛Marker影的长径呈双峰分布的趋势(图2)。

图2.T1WI增强序列上带状钛金属Marker影大小

在T1WI增强横断位中,带状钛金属Marker长径的变异程度在各序列上均大于圈状无镍不锈钢合金Marker(图3)。圈状无镍不锈钢合金Marker在MRI图像均>6mm且均为圆形,相对实物变形较为明显(图4),而28.6%的带状钛金属Marker影长径≤6mm,其中1例表现为条状,保留了实物的少许形态特征(图5)。两种Marker的大小及形状分类差异显著(P<0.01)(表3)。

图3.两种Marker的T1WI增强段位表现

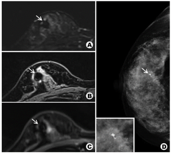
A:脂肪抑制T2WI平扫;B:T1WI平扫;C:T1WI增强序列;A~C中Marker影均为圆形;D:钼靶CC位;箭头所示为乳腺组织标记物

图4.圈状无镍不锈钢合金Marker的乳腺MRI表现

A、E:脂肪抑制T2WI平扫;B、F:T1WI平扫;C、G:T1WI增强序列;D、H:钼靶CC位;A~D、E~H分别为同一患者图像;A~C、E标记物影为点状,F、G标记物影为条状;箭头所示为乳腺组织标记物

图5.带状钛金属Marker的乳腺MRI表现

表3.Marker物影在T1WI增强横断位的分类

两种Marker信号特点多样,以低信号区为主

两种Marker的信号特点主要表现为:(1)边界清晰的低信号区;(2)低信号区外包绕高信号环;(3)低信号区外包绕高信号环外再包绕低信号环;(4)低信号区外包绕高信号及低信号相间的环;(5)低信号区内点状高信号;(6)边缘模糊的片状低信号区

不同扫描序列中,带状钛金属Marker伪影较小

三种扫描序列中,圈状无镍不锈钢合金Marker影均长径大于带状含钛Marker,并在平扫T2WI序列中呈显著趋势(P=0.039)(表4)。不同扫描序列中,圈状无镍不锈钢合金Marker影大小不尽相同(P<0.001),在T1WI平扫及T1WI增强扫描上的影长径大于平扫T2WI(P<0.001,P=0.018),而带状含钛Marker在不同扫描序列上的表现无差异(P=0.306)。

表4.不同序列中两种marker影的大小比较a

随着医疗诊断技术的不断进步,乳腺Marker在新辅助治疗、疾病程度评估等的应用中具有重要的临床价值。在影像引导下放置乳腺Marker有助于在术中对退缩后肿物进行精确定位,防止良性病变的再活检,指导术前定位并帮助确认手术靶病灶切除。乳腺Marker种类繁多,形状、成分和相关生物可吸收成分各不相同。乳腺Marker的主要材质有钛金属、镍钛合金、不锈钢、碳-陶瓷等,形状包括本研究中选取的带状、目前国内有售的丝带状、圈状、礼帽状、瓶塞状等几十种3。而这些乳腺Marker的形状、大小及材质都是影响其在各影像手段显像程度的重要影响因素。一项纳入多种乳腺Marker的体外研究发MRI多种序列上伪影的大小与标记物的形态及大小均相关4。因此,面对如此之多的乳腺Marker,选择满足不同患者个体化需求以及临床诊断需求的乳腺Marker从而进行精准定位及有效治疗已成为广大临床医生重点的关注方向。

参考文献

1.刘海晴, 等. 乳腺组织标记物对乳腺病灶磁共振评价的影响及临床意义. 中国医师杂志 2020, 22(03):25-29+34.

2.中国抗癌协会乳腺癌专业委员会.中国抗癌协会乳腺癌诊治指南与规范(2019年版). 中国癌症杂志 2019,29(8):609-680.

3.Shah AD, Mehta AK, Nishi T, Rachel Brem, Margolies LR. Clinical Imaging 2018,52:123-136.

4.Genson CC, et al. AJR Am J Roentgenol 2007,188(2):372-376. 

责任编辑:肿瘤资讯-Josh
排版编辑:肿瘤资讯-Yezi

                 

相关阅读
评论
2020年12月16日
王跃蓉
西部战区空军医院 | 肿瘤内科
感谢分享,学习了
2020年12月16日
王根彩
丰县人民医院 | 肿瘤综合治疗科
面对如此之多的乳腺Marker,选择满足不同患者个体化需求以及临床诊断需求的乳腺Marker从而进行精准定位及有效治疗已成为广大临床医生重点的关注方向。
2020年12月15日
赵建国
南京市高淳人民医院 | 肿瘤内科
不同乳腺Marker各领风骚