您好,欢迎您

完整检测体系+精准结果判读,赋能三阴性乳腺癌免疫治疗新征程

2019年12月31日
来源:肿瘤资讯

全球大型临床研究IMpassion130近两年来发布的临床数据开启了三阴性乳腺癌(TNBC)治疗的新时代。研究显示,PD-L1表达阳性的TNBC患者能够显著获益于免疫治疗[1],而准确筛选PD-L1阳性患者成为确保治疗有效的关键所在。

2019中国病理年会期间,复旦大学附属肿瘤医院病理科杨文涛教授围绕“三阴性乳腺癌PD-L1免疫组化(IHC)检测常见问题”做了详细解答。她指出: “IMpassion130研究中采用的VENTANA PD-L1(SP142)抗体是目前TNBC免疫治疗领域唯一获批的伴随诊断试剂,推荐在筛选免疫治疗可获益的TNBC患者时采用该研究中的完整检测体系。与此同时,病理医生在严格按照PD-L1(SP142)评分标准进行判读时,还需要注意识别容易混淆结果的各种信号。”

TNBC PD-L1(SP142)检测判读是一个完整的体系

在IMpassion130研究中肿瘤浸润免疫细胞(IC)的PD-L1表达的cut-off值为1%,≥1%认定为PD-L1阳性,研究证实PD-L1阳性是预测免疫治疗是否有效的最重要的指标。在纳入研究的局部晚期或转移性TNBC患者中,PD-L1阳性率约为40%,即约有40%的TNBC患者可以从免疫治疗中获益。[2]

该检测不仅仅是一个试剂而是一个完整的检测体系,包括抗体、检测试剂盒、评分方法、系统质控以及相关设备。VENTANA PD-L1(SP142)、BenchMark系列全自动IHC检测平台、VENTANA检测和扩增试剂盒、PD-L1(SP142)评分方法,及相关系统质控和设备等组成了一个完整的检测体系。改变其中任何一个组成部分,所获得的检测结果都缺乏相关的临床验证数据支持。1.png

目前数据显示PD-L1(SP142)更适合筛选能从免疫治疗中获益的TNBC患者

2019欧洲肿瘤内科学会(ESMO)年会上发布了一项“PD-L1表达SP142/22C3/SP263 IHC染色结果一致性研究”[3],对614名患者分别用三种抗体进行检测。结果显示,SP142与22C3和SP263的一致率分别为64%和69%,SP142+(IC≥1%)患者是22C3+(CPS≥1)或SP263+(IC≥1%)患者的一个亚群,但在22C3+和SP263+患者中绝大多数免疫治疗获益的患者是由SP142+的亚群贡献。即使SP263+,或22C3+,若SP142为阴性,患者的总生存时间(OS)还是低于SP142+患者,提示SP142比SP263和22C3更适合用于筛选能从免疫治疗中获益的TNBC患者。2.png

TNBC检测样本要求不容忽视

为保证染色结果的可读性和准确性,TNBC检测样本应满足以下要求:1)通过手术切除或活检获取的原发灶或转移灶组织标本,2)使用10%中性缓冲福尔马林固定6-72小时,3)组织切片厚度4微米,4)切片室温保存时间不超过2个月。3.png此外,建议标本中至少含有50个可见的肿瘤细胞(TC),且需含有一定的肿瘤相关间质,因为TNBC检测只评估IC中PD-L1的表达情况。

值得注意的是,细胞学标本和骨转移脱钙标本由于缺乏相关验证研究,目前不推荐作为检测样本。

PD-L1(SP142)判读标准及注意要点

IMpassion130研究显示,患者TC中PD-L1阳性率仅为9%,而IC中阳性率较高,达到41%,且TC+绝大部分包含在IC+中,所有PD-L1 IC+亚组对免疫治疗均有临床获益。因此,TNBC中PD-L1表达结果的判读只关注IC。

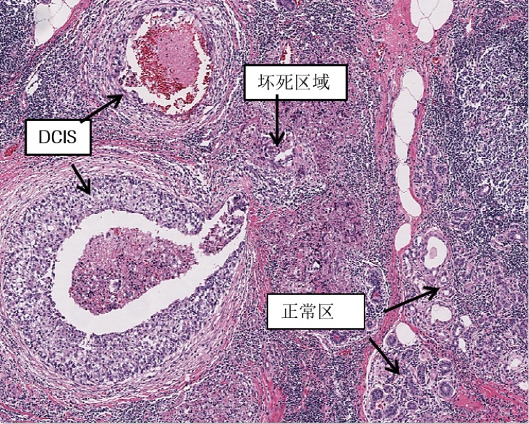
TNBC评分算法的染色标准为:任何PD-L1染色强度的肿瘤浸润IC所占的肿瘤区域≥1%,即为PD-L1阳性。其中,肿瘤区域指的是肿瘤细胞及相关瘤内和周围瘤周间质所占的区域。只有IC染色计数作为TNBC评分算法的一部分。屏幕快照 2019-12-30 上午10.55.08_meitu_1.jpg在判读过程中,首先需要勾画肿瘤区域,瘤周间质建议仅包括与TC边缘相邻的间质,并排除坏死区域。5.png可进行评分的IC细胞包括淋巴细胞、巨噬细胞、浆细胞、树突状细胞和粒细胞等,IC染色后常表现出深棕色点状或线状染色,可以在肿瘤内和/或肿瘤周围间质中集聚分布,或是单细胞在TC中散在分布。而TC染色以环状、圈状为主。通过在高倍镜下观察PD-L1 H&E染色切片,根据不同的染色模式和分布特点可以区分IC和TC染色。由于VENTANA PD-L1(SP142)检测增强了染色视觉对比度,在IC和TC共染时具有明显优势,使判读更加清晰明确,有助于病理医生做出评估。6.png需要注意的是,对于淋巴结转移的TNBC,其评分方法与原发灶相似。对于导管原位癌(DCIS)或小叶原位癌(LCIS)区域内的IC则不进行评分。7_meitu_2.jpg推荐以扁桃体作为染色对照,扁桃体的隐窝上皮细胞、生发中心淋巴细胞和巨噬细胞PD-L1阳性,浅表鳞状上皮和滤泡间区PD-L1阴性。同时,需要注意区分红细胞、炭末沉着、DAB斑、含铁血黄素、福尔马林色素等非特异性着色,可参考H&E染色和阴性对照进行判断。8.png点状小点也是非特异性反应的产物,针尖大小,并经常在扁桃体阴性对照中看到,这通常是由于扩增试剂造成的。扁桃体对照中DAB 着色小点所占比例应小于所有区域的1%,否则需要更换对照组织重新检测。有时,血管腔区域可出现血清或血浆背景,若这种非特异性染色局限于血管腔区域,也是可以接受的。

最后,杨文涛教授补充道:“由于TNBC免疫细胞的异质性问题,在原发灶和转移灶、新辅助治疗前后、原发灶不同蜡块之间,PD-L1的表达都可能存在差异。目前,对于这些情况还没有明确的指导意见,值得我们进一步深入研究。”

 

参考文献

[1] IMpassion130: updated overall survival (OS) from a global, randomized, double-blind, placebo-controlled, Phase III study of atezolizumab (atezo) + nab-paclitaxel (nP) in previously untreated locally advanced or metastatic triple-negative breast cancer (mTNBC).J Clin Oncol 37, 2019 (suppl; abstr 1003).

[2] Schmid, I. New England Journal of Medicine 379.22 (2018): 2108-2121

[3] Rugo HS, Loi S, Adams S, et al. Performance of PD-L1 immunohistochemistry (IHC) assays in unresectable locally advanced or metastatic triple-negative breast cancer (mTNBC): Post-hoc analysis of IMpassion130. Presented at ESMO Congress 2019; September 27-October 1, 2019; Barcelona, Spain. Abstract LBA20.

相关阅读
评论
2020年01月01日
王晓光
吉林省一汽总医院 | 血液肿瘤科
三阴性乳腺癌IC检测有40%阳性,能从免疫治疗获益,检测取材从组织、转移灶结果可能并不相同。
2020年01月01日
颜昕
漳州市医院 | 大肠外科
三阴性乳腺癌
2020年01月01日
宋丽英
海伦市人民医院 | 肿瘤内科
三阴有希望了