【35 under 35】风采展示第二轮已经开始啦!本轮正经名叫“病例实战分析”,不正经名叫“互相伤害”,哈哈哈~100位入围选手每人提交一个有意思的病例,并就病例提出一个问题,形成一个病例库!然后100位入围选手从病例库中任意选择一个非自己提供的病例进行解读并回答问题!最后,我们将呈现病例+别人的点评+病例提供者自己的点评,同步展示!
100位小伙伴已将自己的病例提交,并提出了问题,让我们一起先阅读下精彩病例吧!
患者病史摘要
性别:男
年龄:43岁
主述:直肠癌术后四月,发现后腹膜淋巴结转移三月
体能状态评分:ECOG评分1分
既往史:既往有慢性乙型肝炎病史, HBS Ag +,HBe Ab+,HBc Ab+,口服恩替卡韦片治疗,乙肝病毒滴度控制在正常范围。
家族史:否认家族肿瘤病史。
入院查体:神志清,精神可,皮肤黏膜无黄染,浅表淋巴结无肿大,心肺听诊无明显异常。腹平软,下腹部可见四处1.0cm左右的陈旧性手术疤痕,愈合好,右下腹见小肠造口,粘膜颜色正常,全腹部未及包块,无明显压痛或反跳痛,肠鸣音正常。直肠指检:距肛3cm可及吻合口,未及明显肿块,指套无血染。
入院实验室检查:
1) 血常规检查:基本正常
2) 尿常规:无异常
3) 便常规:无异常
4) 肝、肾功能:TBIL 7.3ummol/L,GGT 88U/L,余正常
5) 肿瘤标志物:CEA 40.91ng/ml、CA199 35.54U/ml、AFP 1395ng/ml
肠镜检查
肠镜:距肛7cm直肠不规则隆起,占据肠腔2/3圈,质硬。
KRAS基因检测状态:(后腹膜肿块穿刺组织)KRAS基因第2、3、4外显子,NRAS基因第2、3、4外显子和BRAF基因第15外显子未见肯定突变。
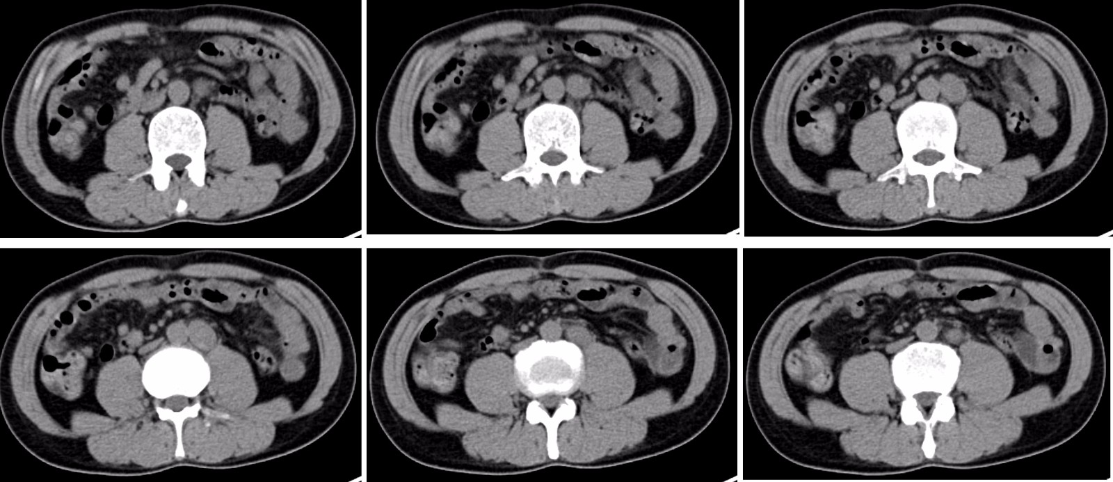
影像学检查
入院时胸、腹、盆腔等影像学检查及CT/MRI片子
PET/CT:描述:L3水平腹膜后一枚肿大淋巴结,约2.3*1.7cm,放射性摄取异常增高,SUVmax=11.2。结论:1、直肠癌术后化疗后,腹膜后淋巴结转移,FDG高代谢。 2、胆囊结石;左肾结石。

CT : 腹膜后淋巴结肿大,结合病史考虑为直肠癌转移。

入院前治疗史
患者2016.10.20因大便带血1个月就诊于我院,肠镜示,距肛门7cm不规则隆起,病理为腺癌;肿瘤抗原:CEA 16.11,CA199:64.23,AFP:263.7。我院MR(2016.10.28):距肛门约7.0cm直肠MT;T3aN2b;MRF-,EMVI+。 胸腹部CT未见异常。
2016.11.08-2016.12.13我院行直肠病灶加淋巴引流区放疗:50Gy/25F,同期予以卡培他滨化疗:1250mg,bid po,d1-5增敏。2016.12.28 予以Xelox方案化疗1次。2017.02我院MR示直肠病灶较前进一步好转直肠旁、骶前及腹膜后数枚淋巴结较前缩小T2N2a,MRF-,mrTRG 1。2017.07.21腹部MRI 正常。
2017.02.23在本院行直肠前切+回肠造瘘术。术后病理:直肠系膜完整,直肠粘膜见一粘膜凹陷区,0.5×0.5cm大小,肠壁内见泡沫样组织细胞聚集,炎细胞浸润,纤维组织增生及灶区钙化,符合治疗后改变,见少量腺癌残留。TRG评分:1,肿瘤中-低分化,浸润至固有肌层外纤维脂肪组织,环形切缘:阴性,未见肯定脉管侵犯,神经侵犯:(+),标本上切缘:(-),下切缘:(-),淋巴结3/6见癌转移,其中:肠系膜淋巴结:(2/4);另送(肠系膜下动脉根部)淋巴结:(1/2)。免疫组化:MLH1(+),MSH2(+),MSH6(+),PMS2(+)。
2017.3.20 肿瘤抗原:CEA:6.89,AFP:1133.00。2017.3.20日起行XELOX方案化疗3次,末次化疗日期2017.5.3。期间2017.3.30腹部MR:腹膜后肿大淋巴结。2017.5.3 CEA: 14.59,AFP:2188。2017.5.12腹部MR:腹膜后肿大淋巴结,较前相仿。2017.5.17 PET/CT:直肠癌术后化疗后,腹膜后淋巴结转移,FDG高代谢;胆囊结石。
患者现有肛门下坠感,无其他不适主诉。
入院诊断
1.直肠癌术后腹膜后淋巴结转移;
2.慢性乙型肝炎;
3.胆囊结石。
问题:请问接下来的治疗方案是什么?
此病例共有1位入围选手点评:83-邱际亮 ;病例提供作者为:36-李清国。详情如下:
点评医生简介:83-邱际亮

点评内容分享:
1.患者就诊时属进展期病例,经新辅助放化疗后再手术+术后辅助化疗,目前出现腹膜后可疑肿大淋巴。由于术中情况描述不够详实,推测姑息手术可能性大,因此才出现患者术后MR、PET均提示腹膜后淋巴结转移,很可惜复发后病灶情况无图像报告,CEA持续升高,根据该病例情况、既往临床经验以及文献报道等,考虑该患者目前合并腹腔多发转移可能性大,目前暂无手术介入价值,建议同期放化疗,化疗方案更改为FOLFIRI方案。
2.患者AFP持续升高,合并肝炎,影像学未发现肝内病灶及生殖系统肿瘤可能,为排外活动性肝炎,需查HBV-DNA等评估抗乙肝病毒治疗可能。
3. 患者肛门持续坠胀感,虽然有MR等检测,但还是代替不了肛门直肠指检,肛诊有助于排除原发灶局部复发可能。
--------------------------------------
病例提供作者简介:36-李清国
病例提供作者自评:
无。
--------------------------------------
以上为【35 under 35】的观点,您怎么看?欢迎广大肿瘤医生在下方留言发表您的观点!
以上所有点评参考文献略。






苏公网安备32059002004080号