您好,欢迎您

2025 WCLC | 多发性肺结节的鉴别诊断:多原发癌与转移癌

2025年10月29日
整理:肿瘤资讯
来源:2025 WCLC

2025年9月6日至9日,世界肺癌大会(WCLC)在西班牙巴塞罗那盛大召开。在肿瘤学实践中,当患者肺部出现多个结节时,关键的临床问题摆在医生面前:这些是代表同一肿瘤来源的肺内转移,还是代表多个独立的、同期的原发性肿瘤?这一鉴别诊断不仅极为复杂,且直接决定患者的疾病分期、治疗策略和预后。

病例介绍与初步发现

患者为79岁女性,无吸烟史。2024年7月4日,因病毒性呼吸道感染背景下的支气管痉挛首诊急诊科。因症状持续,于2024年8月16日再次返回急诊。实验室检查:C反应蛋白(CRP)轻度升高(6mg/L),无其他显著异常。初步转归:患者被转诊至呼吸科进行进一步评估。

影像学评估与随访

2024年11月,首次CT检查发现多个微小肺结节。多学科团队(MDT)讨论后决定,对患者进行3个月的CT随访。

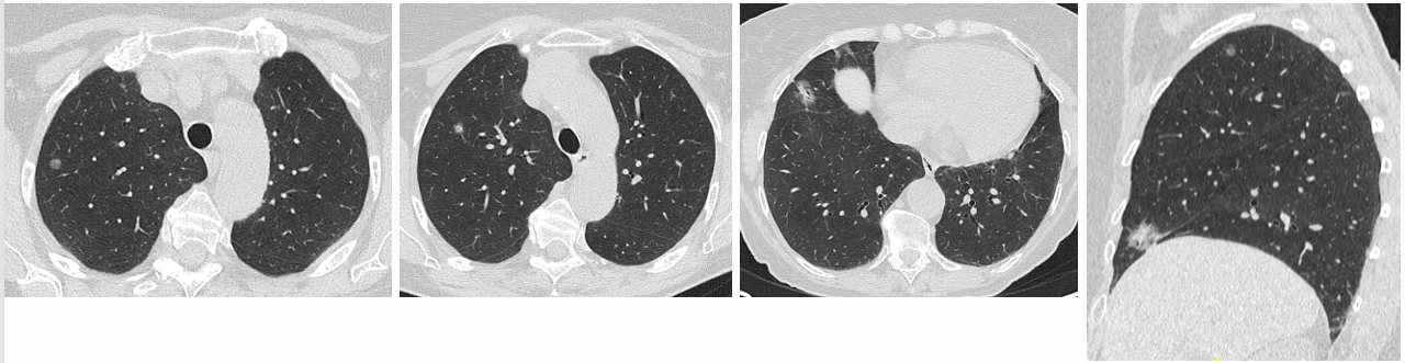
2025年1月,随访CT:与2024年11月的CT对比,既往描述的肺结节未见明显变化,呈持续存在状态。主要病灶包括:未见纵隔或肺门淋巴结肿大。右肺上叶亚实性结节,8mm,含4mm实性成分。右肺上叶磨玻璃结节,7mm。右肺上叶前段磨玻璃结节,4mm。右肺中叶亚实性结节,19mm,含10mm实性成分(最大病灶)。右肺下叶叶间裂旁磨玻璃结节,4mm。未见纵隔或肺门淋巴结肿大。

1c7da45b-90c4-4729-853c-1b414294788d.png

术前分期与评估

在影像学表现为多发结节(以右中叶病灶为主)的情况下,为明确诊断和分期,患者接受全面的术前评估。肺功能测试(2024年11月):FEV1为预测值的107%,FVC为预测值的99%,DLCO:预测值的93%。PET-CT(2025年3月):右肺上叶和中叶存在已知的多发肺结节,影像学表现不排除低度恶性病变(如:多灶性腺癌?)。可见右肺门高代谢淋巴结,考虑炎性/感染性过程可能性大。脑部MRI (2025年3月):仅显示符合年龄相关的退行性改变。支气管镜与EBUS(2025年4月):支气管镜下外观正常。对PET提示高代谢的右肺门淋巴结进行经支气管针吸活检(TBNA)。病理检查(TBNA):结果显示为炭末沉着,未见肿瘤。

临床决策与外科干预

在排除远处转移和淋巴结转移后,针对这些多发结节(特别是右中叶的最大病灶),临床面临多种选择(如全部手术、仅手术最大结节、SBRT或继续随访)。最终,临床决策为对最大且最可疑的病灶进行手术切除。手术过程 (2025年5月27日):患者接受VATS,尝试行右肺中叶切除术及淋巴结清扫术,术中转为后外侧开胸手术。手术顺利完成,无并发症。术中证实病灶位于右肺中叶胸膜下实质内,且为“双病灶”,即两个病灶均位于同一中叶实质内。

病理学报告:两个独立的腺癌

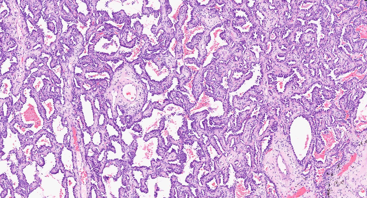
术后病理证实右中叶的两个结节均为浸润性腺癌。

组织学类型:浸润性腺癌,以贴壁型为主(70%),伴腺泡型(30%)。肿瘤总大小:17x10x5mm(pT1b)。浸润灶大小:13x7mm。组织学分级:中分化(G2)。病理特征:未见STAS,未见胸膜侵犯(PL0),淋巴血管侵犯阴性,切缘阴性。

组织学类型:浸润性腺癌,腺泡型。肿瘤总大小:5x3 mm。浸润灶大小:5x3mm。组织学分级:中分化(G2)。病理特征:未见STAS,未见胸膜侵犯(PL0),淋巴血管侵犯阴性,切缘阴性。

b0b6a81d-87cc-41f5-b6e4-f9bcb6a9181a.pngdc9c93c3-2758-4b7b-8114-f26e6a70d909.png2a27c926-25c1-4c45-921e-93b4afa7e78a.png

关键问题:NGS测序与最终分期

此时,病理分期面临困境:pT1b还是pT3?这取决于这两个病灶是两个独立的T1b肿瘤(多原发),还是T1b肿瘤伴随转移灶(归为T3)。临床决策:对两个病灶均进行NGS检测,检测到EGFR c.2240_2254del突变,即外显子19缺失(Exon 19 deletion),等位基因频率18%;检测到 EGFR c.2310_2311insGGT突变,即外显子20插入(Exon 20 insertion),等位基因频率23%。

结论:同步多原发癌

NGS分析显示,这两个腺癌结节携带两种完全不同的EGFR驱动基因突变。这一分子生物学证据有力地支持“两个病灶均为同步多原发性腺癌”的诊断,而非肺内转移。此案例清晰地表明,对于多发性肺结节,特别是形态不一的亚实性结节,综合病理组织学和分子遗传学分析对于准确鉴别多原发癌与转移癌、从而进行精准确分期至关重要。

责任编辑:肿瘤资讯-Bear
排版编辑:肿瘤资讯-Bear


版权声明
本文专供医学专业人士参考,未经著作人许可,不可出版发行。同时,欢迎个人转发分享,其他任何媒体、网站如需转载或引用本网版权所有内容,须获得授权,且在醒目位置处注明"转自:良医汇-肿瘤医生APP"。

评论
2025年11月03日
马利平
河南省肿瘤医院 | 放疗科
综合病理组织学和分子遗传学分析对于准确鉴别多原发癌与转移癌、从而进行精准确分期至关重要
2025年10月31日
刘海燕
丹东市人民医院 | 肿瘤内科
对于多发性肺结节,特别是形态不一的亚实性结节,综合病理组织学和分子遗传学分析对于准确鉴别多原发癌与转移癌、从而进行精准确分期至关重要。
2025年10月31日
吴向荣
石家庄市平安医院 | 肿瘤内科
对于多发性肺结节,特别是形态不一的亚实性结节,综合病理组织学和分子遗传学分析对于准确鉴别多原发癌与转移癌、从而进行精准确分期至关重要。