您好,欢迎您

信迪利单抗联合靶向治疗,Ⅲa期肝癌迅速退缩,疗效达PR

2020年04月10日
病例分享:广州医科大学附属肿瘤医院 唐辉教授 麦聪教授
点评专家:广州医科大学附属肿瘤医院 唐云强教授

近年来,肝癌系统治疗进展日新月异,靶向治疗不断取得突破性进展,免疫治疗更是风生水起。随着肝癌靶向治疗选择愈加丰富,免疫治疗掀起肿瘤学治疗革命,如何合理将可选药物进行排兵布阵,为患者带来更长久的生存获益,成为新的肝癌诊疗课题。本文介绍的这例Ⅲa期原发性肝癌患者,通过靶向联合免疫治疗后肿瘤退缩明显,疗效评价达部分缓解(PR)。 

病例分享

图片1.png

图片3.png

病例介绍

基本信息

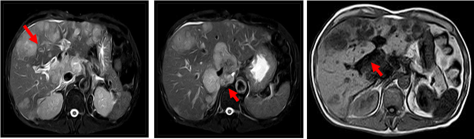
患者男性,51岁,因“上腹隐痛不适3月余,加重1月”于2019年2月23 日入院。既往 “糖尿病”史2年,现血糖控制尚可;饮酒史20余年,每周3~4次,半斤/次;吸烟史:20支/天×20余年。体格检查:皮肤巩膜无黄染,前胸可见数颗蜘蛛痣,心肺查体无阳性体征;右肋沿下3cm可及肿大肝脏,未及腹部包块。实验室检查:癌胚抗原(CEA)6.60 ng/ml,甲胎蛋白(AFP)2.20 ng/ml,HBsAg (-),HBsAb (+),HBeAg (-),HBeAb (-),HBcAb (+),Anti-HCV (-)。入院时肝脏MRI检查示:肝内多发占位性病变,大小不一,T1WI病变呈低信号,T2WI病变呈高信号,内部信号不均匀;门静脉右支见充盈缺损,考虑癌栓(图1)。2019年2月26日行右肝肿物穿刺活检术,病理示“倾向低分化肝细胞癌”。初步诊断:肝细胞性肝癌Ⅲa期,BCLC C期;门脉右支癌栓(Vp3型,程氏Ⅱ型);肝功能Child-pugh A级。

1.jpg.png

图1. 2019年2月23日入院时MRI检查

治疗过程

考虑到患者的肿瘤乏血供,合并门脉右支癌栓,病灶弥漫,决定暂不行TACE。而对全身治疗的反应可最直接评估肿瘤的生物学行为,决定后续是否积极治疗,因此自2019年3月6日起开始口服仑伐替尼8 mg qd。

期间行基因检测,示肿瘤突变负荷低(TMB-L,6.9 Muts/Mb),微卫星稳定(MSS),PD-L1阴性。

2019年6月5日开始加用PD-1单抗行免疫治疗,具体方案为信迪利单抗200 mg静滴,Q3w。

此后定期复查CT,显示门脉癌栓位于右支近汇合处,较治疗前明显退缩(图2);肿瘤灶较治疗前直径缩小,且乏血供,疗效评价为部分缓解(PR;图3)。

000.jpg

图2. 患者门脉癌栓较治疗前明显退缩

00.jpg

0.jpg

图3. 肿瘤较治疗前直径缩小,疗效评价PR

总结

患者初始诊断为肝细胞癌(Ⅲa期,BCLC C期)伴门脉右支癌栓。一线行仑伐替尼联合PD-1治疗后效果显著,门脉癌栓退缩,肿瘤明显缩小,疗效评价为PR。

专家点评

图片2.png

本案例中的患者初始诊断为肝细胞癌(IIIa期、BCLC C期)伴门脉右支癌栓。对于Ⅲa期的肝癌患者,我们首先考虑是否能够进行局部的经导管动脉栓塞化疗(TACE)治疗。本例中患者的肿瘤处于乏血供状态,并且合并门脉右支癌栓,病灶弥漫,属于TACE的相对禁忌,手术也不适合;另外首先进行全身治疗可以根据患者的治疗反应评估肿瘤生物学行为,进而决定后续是否积极治疗。因此,该患者选择首先进行全身治疗。

2017年在ASCO会议上发布的REFLECT研究是一项仑伐替尼与索拉非尼头对头比较的全球多中心、随机、开放性、III期非劣效性研究。研究发现,对于原发性肝癌的一线治疗而言,仑伐替尼组中位总生存期(OS)达13.6个月,较索拉非尼组延长1.3个月,达到预设的非劣效研究目标。并且其无进展生存(PFS)、客观缓解率(ORR)均显著优于索拉非尼组。2018年的CSCO指南因此将仑伐替尼推荐为晚期肝细胞癌的一线用药。

2017年纳武利尤单抗获FDA批准肝癌的二线治疗适应证,从此开启了肝癌免疫治疗的新时代。但是,免疫治疗疗效偏低,ORR不超过20%。因此,联合治疗成为了进一步的发展方向。

2019年AACR大会上发布了Ⅰb期KEYNOTE-524研究的结果,该研究对仑伐替尼联合帕博利珠单抗一线治疗不可切除肝细胞癌进行了评估,共纳入30例不适合进行TACE的BCLC B期或C期患者,结果显示,其ORR达36.7%,中位PFS为9.7个月,OS为14.6个月,效果优于单用靶向或免疫治疗。美国FDA因此授予仑伐替尼联合帕博利珠单抗突破性药物资格,用于一线治疗晚期不可切除肝细胞癌患者。

在国内外研发的各种免疫检查点抑制剂中,其中的信迪利单抗是信达生物与国际制药巨头礼来合作的中国PD-1抑制剂,在既往的数据中,信迪利单抗的安全性与其他获批的PD-1单抗一致,2018年在中国获准用于复发/难治性霍奇金淋巴瘤的治疗,其在各个瘤种的临床治疗及临床试验中展示了不俗的成绩,且相比进口药物更具价格优势。在本案例中,患者一线应用仑伐替尼和信迪利单抗联合治疗后,门脉癌栓退缩,肿瘤病灶明显缓解,疗效达到PR,这提示我们,对于晚期肝癌患者,实行靶向联合免疫的双药方案可能是一种比较好的选择。另外,本案例中患者的TMB低表达,PD-L1阴性,对于这类患者是否要进行免疫治疗呢?考虑到目前关于免疫治疗的预测因子较多,尚且存在一定的争议,因此,即使是PD-L1阴性或者是TMB低表达的患者,在经济条件允许或者药物可耐受的情况下,也可以尝试进行免疫或免疫联合治疗。

当然,对于肝癌免疫治疗获益人群的选择仍需进一步的研究,以更好地指导临床,使个体患者获益最大化。

责任编辑:Linda
排版编辑:细胞田

相关阅读