在HR阳性、HER2阴性晚期乳腺癌的全程管理中,CDK4/6抑制剂联合内分泌治疗已成为一线标准路径,但并非所有患者都能获得与临床研究一致的持久获益。当一线治疗较早进展,尤其患者同时伴有PIK3CA突变等明确分子驱动因素时,后续决策的关键,便不再只是“换一种内分泌药”或“是否跨线继续CDK4/6抑制”,而是如何尽快回到肿瘤生物学本身,围绕核心驱动通路完成治疗重构。本期【PIK TALK】聚焦广东省人民医院李洁清医生分享的一例HR+/HER2-晚期乳腺癌案例。该患者在一线哌柏西利联合氟维司群治疗仅12个月后出现进展,通过精准锁定PIK3CA双位点突变,于二线接受伊那利塞联合治疗,实现了靶病灶完全缓解(CR)及长达17个月的PFS,为PIK3CA突变人群的治疗优化提供了重要参考。围绕该例的诊疗思路与临床启示,本期特邀广东省人民医院肿瘤医院王坤教授与中国医学科学院肿瘤医院樊英教授进行深度点评。
案例回顾:复发转移伴PIK3CA双突变,治疗陷入僵局
基本信息与既往病史
患者为女性,60岁,已绝经。
既往史: 甲状腺功能亢进病史约26年(规律服用甲巯咪唑);高血压病史14年(规律服用坎地沙坦、倍他乐克)。
手术及辅助治疗: 2018年确诊右乳癌,行右乳改良根治术。术后病理:浸润性导管癌,pT2N1M0 IIB期,Luminal B1型(ER+、PR+、HER2 1+)。术后行CEF方案辅助化疗6周期及放疗,随后接受来曲唑辅助内分泌治疗。
疾病复发
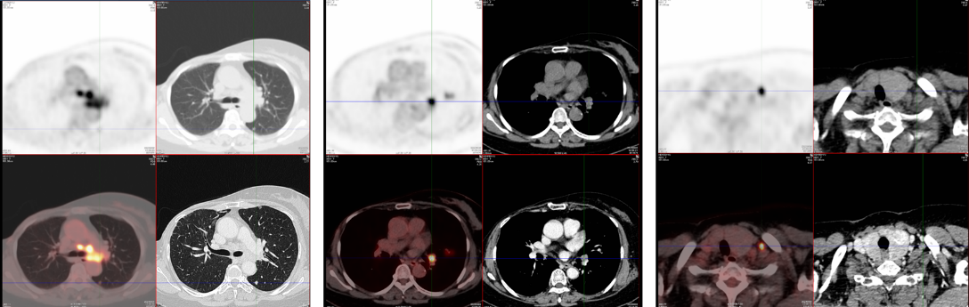
至2022年12月,患者CEA及CA15-3持续升高;2023年6月进一步检查提示疾病全面复发,DFS约60个月。PET/CT显示左肺上叶下舌段结节、区域多发肿大淋巴结以及胸腰椎多发骨质破坏,并伴糖代谢增高,提示肺、淋巴结及骨转移。


随后行超声支气管镜(EBUS)取材,转移灶仍表现为Luminal B1型,其中11L淋巴结ER 3+ 99%、PR 1+ 5%、HER2 2+且HER2基因无扩增、Ki-67约10%+;4R淋巴结ER 3+ 95%、PR 1+ 10%、HER2 1+且HER2基因无扩增、Ki-67约12%+。这提示患者虽已进入晚期阶段,但肿瘤仍保留较明确的激素受体驱动特征。

分子检测:锁定耐药关键靶点
2023年6月完善NGS基因检测,结果显示患者携带PIK3CA p.E545A(螺旋区)和PIK3CA p.M1043V(激酶区)双位点体细胞突变。此外检出EWSR1-SFI1融合及MYC拷贝数扩增。值得注意的是,2023年采样时针对该靶点的靶向药物尚未在国内上市,患者未能第一时间接受对因治疗。
治疗经过:从一线较快进展到二线精准挽救
在一线阶段,患者于2023年6月接受哌柏西利联合氟维司群,并联合双膦酸盐类治疗。对于HR+/HER2-晚期乳腺癌而言,这一方案符合当下标准治疗思路。然而,至2024年6月复评时,患者出现纵隔淋巴结进展及骨转移进展,虽然肺部病灶达到PR,但总体仍判断为一线进展。这意味着患者并未获得与经典研究中相符的持久一线控制,也提示其肿瘤可能存在较强的早期耐药驱动。

启动精准治疗:有靶打靶,伊那利塞联合方案强效逆转
在一线CDK4/6抑制剂耐药后,治疗策略亟需从经验导向转为机制导向。结合患者PIK3CA突变背景,团队最终在二线阶段选择伊那利塞联合氟维司群。
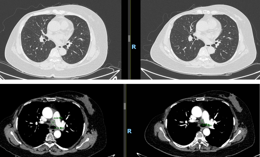
治疗一周期后,影像学显示病灶明显缩小。在后续维持治疗中,靶病灶达到完全缓解(CR),非靶病灶状态为non-CR/non-PD。患者维持深度缓解状态,二线PFS高达17个月。


针对PI3K抑制剂可能引起的高血糖副作用,临床予以二甲双胍(由预防剂量0.5g tid调整为治疗剂量1g bid)联合达格列净10mg qd进行有效控制,并使用洛哌丁胺控制腹泻,整体安全性可管可控 。


专家点评
点评专家
CSCO理事,乳腺癌专委会常委
中国抗癌协会乳腺癌专委会常委
2019年国之名医获得者
2021年NeoCART研究入选美国NCCN乳腺癌指南
2023年人民好医生-乳腺癌领域杰出贡献奖获得者
点评专家
中国医学科学院肿瘤医院 内科乳腺病区主任
2008-2009年英国Royal Marsden医院/ICR访问学者
中国医药教育协会临床科研专业委员会副主任委员、秘书长
中国抗癌协会乳腺癌专委会(CBCS)委员
中国医疗促进会常务理事
北京整合医学学会个案管理工作委员会主任委员
从事乳腺癌的诊治和研究工作多年,发表第一作者/通讯作者论著30余篇,包括Nature Medicine, Annals of Oncology, Lancet Oncology, JAMA Oncology等,获得多个国内外奖项
王坤教授:在该案例中,患者在接受辅助内分泌治疗及晚期一线CDK4/6抑制剂联合治疗后均出现了疾病进展,这凸显了明确耐药机制在临床治疗中的重要性。内分泌通路是雌激素依赖型乳腺癌患者的关键靶点,但约50%的HR+乳腺癌患者最终会不可避免地出现内分泌耐药[1]。
PIK3CA基因突变是导致CDK4/6抑制剂及内分泌治疗耐药的主要机制之一[2],不仅介导了内分泌、化疗及靶向治疗的耐药,还极大增加了患者的复发和进展风险[3]。荟萃分析表明,PIK3CA突变在早期和晚期乳腺癌患者中的突变率基本一致,携带PIK3CA突变的HR+/HER2-患者,仅接受AI辅助治疗的复发风险会增加超过4倍(HR=4.23);而在未区分PIK3CA突变状态的晚期一线CDK4/6抑制剂治疗中,突变患者的无进展生存期(mPFS)也会显著降低[4-6]。在全人群肿瘤相关基因中,PIK3CA突变率位居第二,仅次于TP53[7]。流行病学数据显示,中国乳腺癌人群中PIK3CA的突变率高达约45.6%,显著高于西方人群[3]。
因此,及早进行PIK3CA基因等生物标志物检测,依据基因图谱指导后续治疗方案,已成为当前HR+/HER2-晚期乳腺癌精准诊疗的必然趋势。2026版《CACA-CBCS乳腺癌诊疗指南与规范》推荐,首次复发/转移时、内分泌治疗进展后/新内分泌治疗启动前进行PIK3CA/AKT1/PTEN基因检测[8]。该案例正是在发生全面复发时及时完善了基因检测,发现了明确的PIK3CA双突变(p.E545A和p.M1043V),为后续的精准挽救治疗埋下了关键伏笔。
樊英教授:面对一线CDK4/6抑制剂进展后的治疗瓶颈,临床上传统的跨线靶向或化疗获益往往有限,中位PFS通常徘徊在4-6个月。这提示我们,单纯的“经验性换药”难以克服复杂的耐药网络,必须回归肿瘤生物学本质,针对耐药的核心驱动机制进行“定点阻断”。
该案例中,PIK3CA双突变正是导致一线治疗较快折戟的关键。在二线决策上,治疗团队及时将策略调整为针对PI3K通路的精准干预,这一思路的转变至关重要。通过引入高选择性PI3Kα抑制剂(伊那利塞),利用其抑制激酶活性及降解突变p110α蛋白的双重机制,有效清除了耐药克隆。患者在二线阶段不仅靶病灶达到CR,更斩获了长达17个月的超预期PFS,充分证实了:在后线治疗中,找准核心靶点并予以强效阻断,是打破生存天花板的关键所在。
此外,靶向治疗的长效获益离不开科学的全程管理。阻断PI3K通路不可避免会引发高血糖等“中靶效应”。该案例的成功不仅在于精准选药,更在于临床团队建立了完善的防线——通过前置性应用二甲双胍及联合SGLT2抑制剂(如达格列净),将不良反应化被动应对为主动干预,保障了治疗的连续性。这种“精准靶向+主动安全管理”的综合诊疗模式,为PIK3CA突变乳腺癌患者的后线破局提供了极具价值的临床示范。
案例提供专家
广东省人民医院 乳腺肿瘤科
四川大学华西临床医学院 医学八年制 医学博士
University of California,Los Angeles博士后
广东省精准医学应用学会乳腺肿瘤分会委员
临床研究方向:乳腺良恶性肿瘤微创治疗,乳腺癌早期诊断和治疗,乳腺恶性肿瘤腔镜治疗
主持广东省医学科研基金1项,中国临床肿瘤学会基金1项,参与国家自然科学基金2项,广东省自然科学基金项目1项,广州市科技计划项目1项
1. Dong C, Wu J, Chen Y, Nie J, Chen C. Activation of PI3K/AKT/mTOR Pathway Causes Drug Resistance in Breast Cancer. Front Pharmacol. 2021 Mar 15;12:628690.
2. O'Brien NA, McDermott MSJ, Conklin D, Luo T, Ayala R, Salgar S, Chau K, DiTomaso E, Babbar N, Su F, Gaither A, Hurvitz SA, Linnartz R, Rose K, Hirawat S, Slamon DJ. Targeting activated PI3K/mTOR signaling overcomes acquired resistance to CDK4/6-based therapies in preclinical models of hormone receptor-positive breast cancer. Breast Cancer Res. 2020 Aug 14;22(1):89.
3. Jia M, Liao N, Chen B, Zhang G, Wang Y, Li X, Cao L, Mok H, Ren C, Li K, Li C, Wen L, Lin J, Wei G, Balch CM. PIK3CA somatic alterations in invasive breast cancers: different spectrum from Caucasians to Chinese detected by next generation sequencing. Breast Cancer. 2021 May;28(3):644-652.
4. Reinhardt K, Stückrath K, Hartung C, Kaufhold S, Uleer C, Hanf V, Lantzsch T, Peschel S, John J, Pöhler M, Bauer M, Bürrig FK, Weigert E, Buchmann J, Kantelhardt EJ, Thomssen C, Vetter M. PIK3CA-mutations in breast cancer. Breast Cancer Res Treat. 2022 Dec;196(3):483-493.
5. Johnston S, Martin M, Di Leo A, Im SA, Awada A, Forrester T, Frenzel M, Hardebeck MC, Cox J, Barriga S, Toi M, Iwata H, Goetz MP. MONARCH 3 final PFS: a randomized study of abemaciclib as initial therapy for advanced breast cancer. NPJ Breast Cancer. 2019 Jan 17;5:5.
6. Finn RS, Martin M, Rugo HS, Jones S, Im SA, Gelmon K, Harbeck N, Lipatov ON, Walshe JM, Moulder S, Gauthier E, Lu DR, Randolph S, Diéras V, Slamon DJ. Palbociclib and Letrozole in Advanced Breast Cancer. N Engl J Med. 2016 Nov 17;375(20):1925-1936.
7. Chen JW, Murugesan K, Newberg JY, Sokol ES, Savage HM, Stout TJ, Maund SL, Hutchinson KE. Comparison of PIK3CA Mutation Prevalence in Breast Cancer Across Predicted Ancestry Populations. JCO Precis Oncol. 2022 Nov;6:e2200341.
8. 《乳腺癌诊治指南与规范(2026年版 精要本)》; Version 2026.1.0
本文仅为个人观点分享,具体诊断方案需结合实际情况判断。
排版编辑:肿瘤资讯-Zika






苏公网安备32059002004080号