您好,欢迎您

筑防线·稳疗效|硫培非格司亭二级预防策略,护航 HER2+ 乳腺癌ADC全程治疗

11月21日
整理:肿瘤资讯
来源:肿瘤资讯

肿瘤治疗相关中性粒细胞减少症(CIN)是实体瘤化疗期间常见的严重不良反应,尤其是发热性中性粒细胞减少症(FN),不仅可能导致化疗剂量降低、治疗延迟,还会增加感染风险,严重影响患者治疗安全性与疗效。对于 HER2阳性转移性乳腺癌患者,在接受化疗、ADC靶向治疗时,CIN的规范化管理尤为关键。硫培非格司亭作为新一代长效聚乙二醇化重组人粒细胞集落刺激因子(PEG-rhG-CSF),凭借其优异的CIN/FN预防效果与良好安全性,已成为临床实践中的重要支持药物。


本期内容中,天津市肿瘤医院崔璨医师分享了一例 HER2 阳性转移性乳腺癌患者的诊疗历程,重点探讨硫培非格司亭在 ADC 药物治疗后 CIN二级预防中的应用价值;针对该病例的诊治经过,天津市肿瘤医院史业辉教授进行了精彩点评。【肿瘤资讯】特此整理,供读者参考。

病例点评专家

史业辉
教授 主任医师

天津医科大学肿瘤医院乳腺肿瘤内科主任
中国抗癌协会乳腺癌专业委员会常务委员
中国医药生物技术协会临床研究专业委员会常务委员
中国医药教育协会化疗专业委员会常务委员
中国医药教育协会乳腺疾病专业委员会常务委员
天津市抗癌协会抗肿瘤药物临床试验专业委员会主任委员
天津市医学会临床试验分会副主任委员
天津市药学会临床试验伦理审查专业委员会副主任委员
天津市抗癌协会化疗专业委员会候任主委

病例分享专家

崔璨
医师 医学博士

天津医科大学肿瘤医院乳腺肿瘤内科
主持院级课题
参与编写《简明乳腺癌临床研究百年循证》等论著
发表SCI文章及国内大会壁报

基本信息

患者

女性,36 岁,职业不详。

主诉

右乳癌术后 5 年余,肺门淋巴结转移 1 年余。

现病史

患者无意中发现右乳肿物,无疼痛,就诊于我院,查乳腺超声示肿物考虑乳腺癌,行肿物穿刺病理示浸润性癌。于2019年12月6日在全麻下行右乳癌仿根治术,术后患者接受AC-THP方案辅助化疗8周期,化疗结束后完成放疗,双靶治疗(曲妥珠单抗+帕妥珠单抗)持续1年。2024 年 7 月 2 日,患者发生肺门淋巴结转移。随后入组SHRA1811-307临床试验,接受瑞康曲妥珠单抗单药一线治疗。

吸烟史与既往史

肿瘤家族史

 辅助检查

体格检查

右乳缺如,胸壁可见手术瘢痕,左乳未触及明显肿物,双腋下及双锁上未触及肿大淋巴结。

实验室检查

血常规、生化指标、肿瘤标志物(CEA、CA125、CA153)均无特殊异常;肝炎、HIV 相关检测阴性,肺功能正常。

 临床诊断

右乳癌术后,HR阴性HER2阳性乳腺癌(pT2N2aM0,ⅢA期),肺门淋巴结转移   

 治疗经过

手术治疗

2019-12-06在全麻下行右乳癌仿根治术甲。

术后病理示:右乳腺外上浸润性导管癌,组织学Ⅱ~Ⅲ级,伴部分化生性癌;癌组织累及脂肪,间质内浸润淋巴细胞约占10%;区域淋巴结:腋尖0/1;肌间0/0;腋下5/17;病理学分期:pT2N2aMx。

免疫组化:右乳腺癌ER-α<1%;PR <1%;HER2 3+;Ki-67 60%;p53约 90%;CK5/6约90%;EGFR约70%;AR阳性约50%。

辅助治疗

术后予AC-THP方案辅助化疗8周期,具体为多柔比星50mg+环磷酰胺1.0g 4周期,序贯多西他赛+曲妥珠单抗+帕妥珠单抗 4周期。化疗结束后完善放疗,输注双靶治疗满1年。

一线治疗

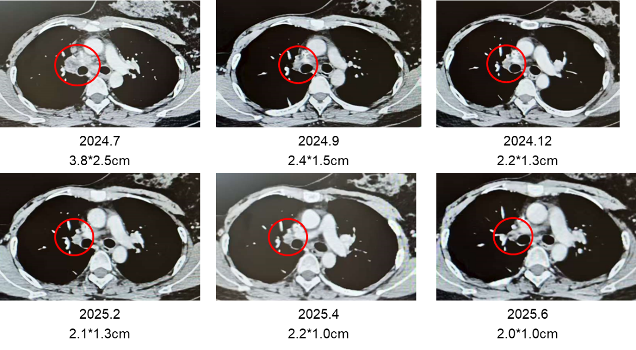
2024年7月,患者经EBUS穿刺活检证实肺门淋巴结转移,免疫组化仍为HER2(3+)。患者2024.6.25入组一项瑞康曲妥珠单抗(SHR-A1811)的III期临床研究(注射用SHR-A1811±帕妥珠单抗对比THP治疗HER2阳性复发或转移性乳腺癌的多中心、随机、开放、阳性对照III期临床研究;方案编号SHR-A1811-307),2024.7.29随机至SHR-A1811单药组(4.8mg/kg),并持续治疗至今。疗效评估为部分缓解(PR)。

图1 2024 年 7 月至 2025 年 6 月期间定期复查CT显示,靶病灶(肺门淋巴结)大小持续缩小

CIN的管理

患者在接受瑞康曲妥珠单抗的第一个治疗周期后第7天,出现乏力、发热症状,体温最高达 39℃。完善血常规检查结果示:白细胞计数(WBC)0.32×10⁹/L,中性粒细胞绝对计数(ANC)0.03×10⁹/L。诊断为IV度骨髓抑制合并FN。这一严重的毒副反应直接导致了后续治疗方案的调整,下一周期的瑞康曲妥珠单抗剂量被迫由4.8mg/kg降级至4.0mg/kg。

FN治疗处理

患者出现FN后,立即给予短效G-CSF(300μg,每日两次皮下注射),连续治疗2天,并辅以积极的抗感染和对症支持治疗。两天后,患者体温恢复正常,复查血常规提示白细胞及中性粒细胞计数已回升至安全水平。

CIN二级预防

为避免后续治疗周期再次发生CIN/FN,于第 2 周期瑞康曲妥珠单抗用药后24小时,给予硫培非格司亭6mg皮下注射进行二级预防,并在后续治疗中持续应用该方案。

疗效监测

自第2周期开始使用硫培非格司亭后,患者每周期定期监测血常规,均未再出现中性粒细胞降低,无乏力、发热等CIN相关症状复发,顺利完成后续治疗周期。

专家点评

本例患者为HER2阳性、腋窝淋巴结阳性乳腺癌患者,早期接受AC-THP方案辅助治疗,符合《中国临床肿瘤学会(CSCO)乳腺癌诊疗指南》的推荐标准。随访3年余,患者出现肺门淋巴结转移,随即入组SHR-A1811-307临床试验。值得关注的是,新型抗HER2 ADC瑞康曲妥珠单抗作为一线治疗方案展现出显著疗效,靶病灶持续缩小,达到PR标准。与此同时,患者也出现了ADC药物相关的中性粒细胞减少事件。


ADC药物的血液学毒性主要源于其细胞毒性载荷的非特异性释放及Fcγ受体介导的非特异性摄取,临床常表现为严重骨髓抑制。该患者在首个治疗周期后即发生4级中性粒细胞减少(ANC<0.5×10⁹/L)合并FN,明确提示其属于ADC靶向治疗相关CIN高风险人群。也凸显了在ADC治疗时代,对CIN实施前瞻性风险评估与主动管理,是保障治疗安全性与有效性的核心环节。


针对上述临床挑战,诊疗团队采取了及时的干预策略。依据《CSCO抗肿瘤治疗所致中性粒细胞减少症诊断、预防和治疗指南(2025版)》明确推荐:对于既往治疗周期发生FN且未接受G-CSF预防性治疗的患者,后续周期应常规给予G-CSF(包括PEG-rhG-CSF、G-CSF-Fc融合蛋白和rhG-CSF)进行二级预防(Ⅰ级推荐,1A类证据)[1]。诊疗团队选用硫培非格司亭,正是基于该高级别循证医学证据。该治疗决策同时获得我国一项大型前瞻性真实世界研究的坚实支撑,该研究纳入2859例患者(含820例乳腺癌患者),结果证实硫培非格司亭可有效将全化疗周期内3级及以上CIN发生率控制在5.8%,FN发生率仅为0.3%[2]。尤为重要的是,该研究验证了化疗结束后24小时给药的疗效与安全性均不劣于48小时给药[2],这一突破性发现使硫培非格司亭成为国内首个获批该给药时间窗的长效G-CSF,既为患者提供了更早的骨髓保护,亦显著提升了临床应用的便捷性。


本例患者的后续治疗结局,也充分印证了此规范化二级预防策略的临床价值。自启用硫培非格司亭后,患者未再发生CIN复发,顺利完成全部后续治疗周期,确保了ADC药物的持续给药及最终肿瘤缓解效果。此结果与上述大型研究数据高度吻合,有力证实了硫培非格司亭对ADC相关CIN具有良好的预防效能。此外,该药物每周期单次皮下注射的给药方式,相较于短效G-CSF的每日注射方案,显著提升了患者治疗依从性,减轻了治疗负担。


 综上,本案例充分验证,对于接受ADC等强效抗肿瘤治疗后发生CIN/FN的高风险患者,采用硫培非格司亭实施高效、便捷的二级预防,是保障治疗连续性与患者安全的关键举措。该方案深度契合最新临床指南精神,为优选治疗策略,可全面提升患者治疗获益与生活质量,值得在临床实践中推广应用。

参考文献

[1] CSCO抗肿瘤治疗所致中性粒细胞减少症诊断、预防和治疗指南. 2025版/中国临床肿瘤学会指南工作委员会组织编写. —北京:人民卫生出版社,2025.
[2] Qin S, Shi Y, Fu P, et al. Mecapegfilgrastim prophylaxis for neutropenia in patients with non-myeloid malignancies: A Chinese nationwide real-world study. BMC Cancer. 2025 Apr 21;25(1):742.  

责任编辑:肿瘤资讯-Jina
排版编辑:肿瘤资讯-JYX
版权声明
版权归肿瘤资讯所有。欢迎个人转发分享,其他任何媒体、网站如需转载或引用本网版权所有内容,须获得授权,且在醒目位置处注明“转自:良医汇-肿瘤医生APP”。

评论
11月21日
龙桂华
柳州市柳铁中心医院 | 药剂科
肿瘤治疗相关中性粒细胞减少症(CIN)是实体瘤化疗期间常见的严重不良反应
11月21日
周晓灿
南京医药股份有限公司第一药店 | 肿瘤科
好好学习天天向上
11月21日
梁留峰
叶县人民医院 | 消化内科
肿瘤治疗相关中性粒细胞减少症(CIN)是实体瘤化疗期间常见的严重不良反应