您好,欢迎您

高瘤负荷mHSPC的全程管理:三联方案实现多维度临床获益

2025年11月12日
整理:肿瘤资讯
来源:泌尿科那点事儿

为了更好的构建“医防协同”体系,促进医生学术交流与患者科普教育双轨并行,推动前列腺癌防治的发展和进步,北京卫康公益基金会主办“前列腺癌医防协同能力提升行动”项目,特邀全国泌尿领域相关专家分享实际临床诊疗经验。

本期由欧文医师带来mHSPC诊治案例的分享,欢迎关注!

欧文 医师
主治医师

吉林省人民医院,泌尿外科,主治医师,医学博士
吉林省医学会泌尿分会委员
吉林省中西医结合学会泌尿外科分会委员
吉林省中西医结合学会男科专业分会委员
吉林省抗癌协会泌尿生殖肿瘤分会青委

案例分享

基本信息

患者:男,67岁。

主诉:因间断全程无痛性肉眼血尿2周于2025/02/06来院就诊。

现病史:患者2周前无诱因出现全程肉眼血尿,颜色淡红,未见血凝块及血条,无腰腹疼痛,无发热,有尿频、尿急,偶伴尿痛,行彩超检查提示膀胱占位性病变,今为求进一步诊治来院,门诊以“膀胱肿瘤”收入院,无骨痛。 

既往史/手术史/家族史:既往体健,无手术史,无家族遗传病史。

相关检查

体格检查

体格检查:双腰曲线存在、对称,肋脊角无隆起,两肾区不饱满,两肾未触及,两肾区叩击痛阴性,两侧输尿管走行区无压痛,耻骨上膀胱区不饱满,无压痛、反跳痛。肛诊:前列腺体积增大,质硬,可触及多发结节,质硬,中央沟消失,无明显触痛,指套无染血。

PSA(血清)(2025-02-08)

前列腺特异抗原>400ng/mL、游离前列腺抗原>50ng/ml。

B超(2025-02-04)

提示膀胱占位性病变。

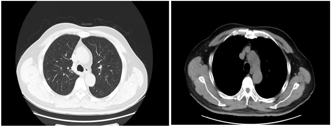
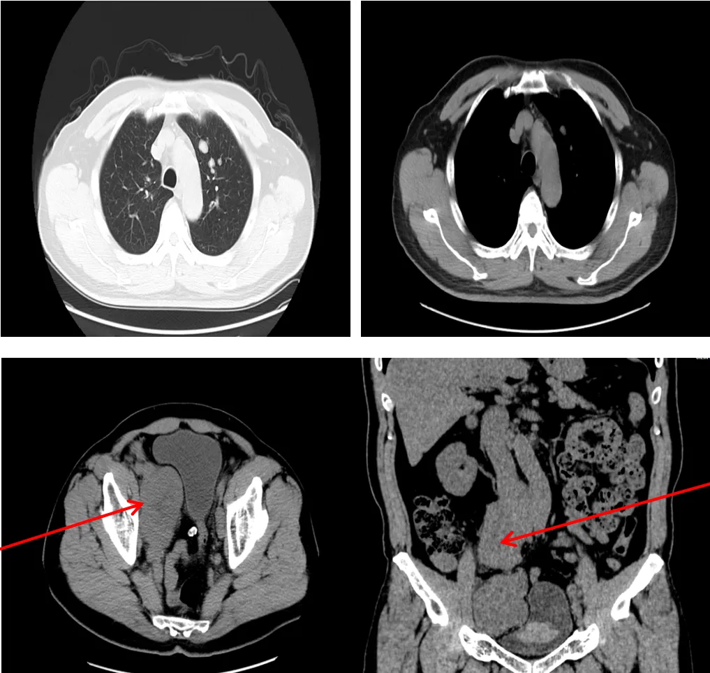
胸部CT、腹部及盆腔CT(2025-02-06)

淋巴结转移

肺部多发转移灶,盆腔多发淋巴结转移。

膀胱后壁不均匀增厚,肿瘤性病变与前列腺外压待鉴别;右侧输尿管中下段显示不清,建议泌尿系CT增强检查,膀胱少许积气及积血,建议复查,腹主动脉及双侧髂动脉旁多发肿大淋巴结,考虑转移,前列腺增生及双侧精囊腺改变。

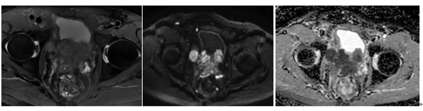
前列腺磁共振(2025-02-06)

前列腺体积增大,其内信号于T2-FS不均匀增高,DWI可见高信号;中央带增大为主,双侧外周带受压变扁,增强后前列腺可见明显不均匀强化。双侧盆壁见多发大小不等的结节影及肿块影,较大者最大截面约72mm×55mm。考虑前列腺癌,侵及膀胱,盆腔淋巴结转移、骨转移。

骨扫描检查(2025-02-18)

全身骨扫描未见明显异常。

前列腺穿刺病理(2025-02-18)

前列腺腺癌,GLEASON评分4+5=9分。

疾病诊断

前列腺癌(cT4N1M1)。

治疗经过


治疗方案:ADT+新型内分泌治疗+骨保护治疗。注射用戈舍瑞林微球3.6mg,肌肉注射,每28天一次,瑞维鲁胺片240mg,口服,每日一次,地舒单抗,皮下注射,每28天一次。

患者于2025-02-25开始口服瑞维鲁胺片,于2025-03-05开始肌肉注射戈舍瑞林微球;治疗后复查PSA、睾酮。

血清PSA水平

血清睾酮水平

CT影像学检查(2025-08-13)

  • 胸部CT:

肺(平扫):与2025-02-06前片对比,双肺多发实性结节较前明显减小,部分消失,提示转移瘤。

  • 腹部及盆腔CT:

与2025-02-06双肾+输尿管CT平扫对比:前列腺较前明显减小及双侧精囊腺改变,腹主动脉及双侧髂动脉旁多发肿大淋巴结较前明显减小。 

病情治疗效果良好,继续目前治疗。

案例总结

该患者是一名转移性HSPC前列腺癌患者,结合检验检查结果,该患者属高瘤负荷,肿瘤分期晚,病情严重,骨相关事件风险高。治疗目标是缩瘤,降低疾病进展风险,延长生存时间,降低骨相关事件风险。

基于指南选择了方案ADT+新型内分泌治疗+骨保护剂,治疗后患者的尿频、尿急明显缓解,排尿顺畅,血尿症状消失;复查PSA及睾酮下降明显;复查CT等影像学检查见前列腺缩小明显,肺部转移灶缩小明显,部分消失;盆腔转移淋巴结缩小明显。

该病例治疗效果良好,从症状到PSA及影像学检查,无明显不良反应发生,兼顾有效性与安全性。

专家采访视频

责任编辑:肿瘤资讯-小编
排版编辑:肿瘤资讯-黄洋洋
版权声明
版权归肿瘤资讯所有。欢迎个人转发分享,其他任何媒体、网站如需转载或引用本网版权所有内容,须获得授权,且在醒目位置处注明“转自:良医汇-肿瘤医生APP”。