您好,欢迎您

mHSPC伴高级别尿路上皮癌并鳞状分化及小细胞癌的临床诊治

2025年11月07日
整理:肿瘤资讯
来源:泌尿科那点事儿

为了更好的构建“医防协同”体系,促进医生学术交流与患者科普教育双轨并行,推动前列腺癌防治的发展和进步,北京卫康公益基金会主办“前列腺癌医防协同能力提升行动”项目,特邀全国泌尿领域相关专家分享实际临床诊疗经验。

本期由郑重医师带来mHSPC诊治案例的分享,欢迎关注!

郑重 教授
主治医师

宁波大学附属第一医院泌尿外科,主治医师,医学硕士
泌尿外科肿瘤组成员,泌尿系肿瘤MDT秘书
第一作者身份核心期刊发表论文数篇
擅长腹腔镜肾部分切除、肾根治性切除、前列腺癌根治、肾上腺肿瘤切除、肾囊肿去顶、膀胱肿瘤电切等泌尿系肿瘤的微创治疗,以及肿瘤晚期的药物治疗,参与多项药物临床试验

案例分享

基本信息

患者:男,59岁。

主诉:PSA升高8年,确诊前列腺癌3月入院治疗。

现病史:患者8年前发现PSA升高,8.8ng/ml,未行治疗,1年前患者出现腰背部疼痛,下肢疼痛,伴尿频尿急,余症状同前,当时于针灸等理疗,患者疼痛无明显好转。1个月前查CT考虑前列腺癌,合并转移,至我院治疗。

无家族遗传史。

体格检查:前列腺增大,中央沟消失,质地硬,与直肠黏连。

相关检查

CT

外院行胸部CT及腹部CT未见内脏转移。

实验室检查 (2025-5-13)

PSA:1672ng/ml。

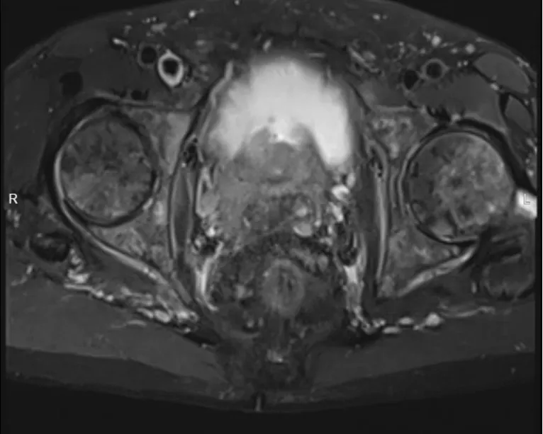
前列腺增强MRI (2025-5-14)

  1. 考虑前列腺癌累及两侧精囊腺,膀胱颈及直肠前壁受累可能,请结合临床。

  2. 盆腔及两侧髂血管旁多发肿大淋巴结,转移可能。

  3. 骨盆、两侧股骨上段及所示腰骶椎信号不均匀伴强化,转移可能,建议骨ECT检查。

  4. 盆底软组织局部水肿。

骨扫描 (2025-6-4)

全身广泛多发骨转移。

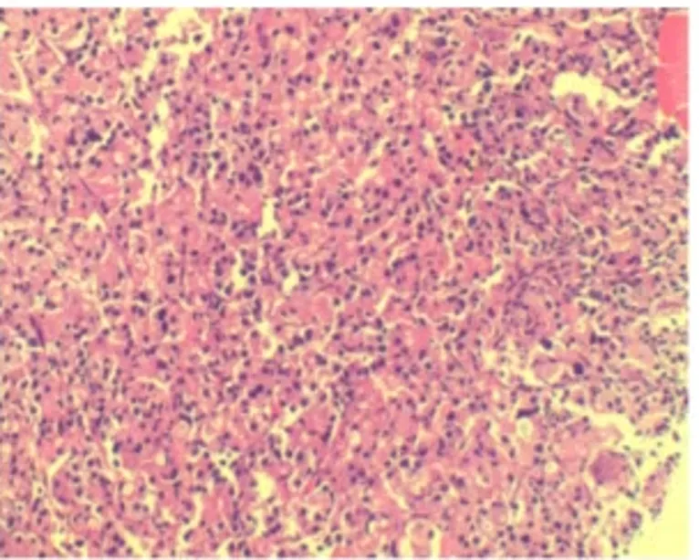
前列腺穿刺 (2025-5-22)

(左内腺、左靶向1、右靶向1)恶性上皮源性肿瘤,目前见3种成分,大部分区(60%)为前列腺腺泡腺癌,Gleason分级评分:4+4=8,WHO/ISUP分组:4级组,神经侵犯(+);部分区域(30%)结合免疫组化呈尿路上皮癌伴鳞状分化,局灶区域(10%)呈小细胞癌。

疾病诊断

前列腺恶性肿瘤(T4N1M1)。

治疗经过

治疗方案

2025年5月,根据指南和MDT讨论后,决定予:

  • 戈舍瑞林微球(3.6mg 肌肉注射 q4w)

  • 恩扎卢胺(160mg po qd)

  • 依托泊苷(0.1g ivgtt D1~D5)+顺铂(20mg ivgtt D1~D5)

  • 地舒单抗(0.12g 皮下注射 q4w)

治疗病程

自2025年7月3日-2025年9月26日,随访检查结果示,睾酮水平显著降低,PSA显著下降,未出现潮红、发热等不良反应,腰背部、下肢疼痛症状缓解,化疗期间恶心呕吐明显,对症治疗后可缓解。

  • 血清PSA

  • 睾酮

2025-7-19:1.09nmol/L;
2025-8-11:1.16nmol/L;
2025-9-22:1.04nmol/L。

  • 神经元特异性烯醇化酶(NSE)

2025-4-25:29.18ng/ml;
2025-9-22:9.65ng/ml。

案例总结

患者为mHSPC,合并尿路上皮癌伴鳞状分化及小细胞癌,肿瘤负荷大,恶性程度高。治疗以 “ADT+新型内分泌治疗” 为基础全身治疗,同时针对小细胞癌采用EP方案(依托泊苷+顺铂)化疗,兼顾不同病理成分的治疗需求。治疗方案严格参照CSCO指南、NCCN指南及肺小细胞癌治疗指南,结合MDT讨论制定。治疗效果显著:随访显示患者PSA从1672ng/ml大幅下降,睾酮维持在去势水平,神经元特异性烯醇化酶(NSE)从29.18ng/ml降至9.65ng/ml,腰背部、下肢疼痛症状缓解,且未出现严重不良反应,仅化疗期间恶心呕吐,经对症治疗后缓解。

ADT(本例中为戈舍瑞林微球)是前列腺癌的 “基石”,无论联合新型内分泌药物、化疗、放疗还是其他治疗,均需以ADT维持去势状态为前提,最大化治疗效果。作为核心治疗手段,ADT贯穿转移性前列腺癌(mHSPC、mCRPC)不同阶段,通过抑制雄激素信号通路,实现控制肿瘤生长、延长生存时间的核心目标。

针对性预防骨相关事件:患者存在全身广泛多发骨转移,骨相关事件(如病理性骨折、脊髓压迫、骨外科手术等)风险高。地舒单抗可有效降低此类风险,保护骨结构稳定。地舒单抗能直接作用于骨转移病灶,减轻腰背部、四肢疼痛等不适,配合全身治疗进一步改善患者生活质量,助力患者更好地耐受治疗过程。无论mCRPC或mHSPC,立刻联合骨保护治疗帮助患者从局部到全身获益不仅降低SRE发生风险,还可显著延长患者OS。

前列腺癌合并局灶小细胞癌,此类混合病理类型肿瘤恶性程度高、进展快,需更严密的监测与随访:除常规监测前列腺癌核心指标PSA外,需同步追踪神经元特异性烯醇化酶(NSE)。动态复查骨扫描(评估骨转移病灶稳定性)、盆腔MRI或CT(监测原发灶及淋巴结转移变化);同时密切关注患者症状变化,如腰背部及四肢疼痛加重、不明原因乏力、体重下降等,这些可能是肿瘤进展的早期信号,需及时进一步检查。针对小细胞癌的EP方案(依托泊苷 + 顺铂)可能引发恶心呕吐、骨髓抑制等不良反应,随访中需定期复查血常规、肝肾功能,及时对症处理;若出现PSA反弹,或NSE持续升高,需结合影像学判断是否存在内分泌治疗耐药或小细胞癌成分进展,决定是否调整治疗方案。

专家采访视频

责任编辑:肿瘤资讯-小编
排版编辑:肿瘤资讯-黄洋洋
版权声明
版权归肿瘤资讯所有。欢迎个人转发分享,其他任何媒体、网站如需转载或引用本网版权所有内容,须获得授权,且在醒目位置处注明“转自:良医汇-肿瘤医生APP”。