您好,欢迎您

转移性激素敏感性前列腺癌的去势治疗升级新选择

2025年11月12日
整理:肿瘤资讯
来源:泌尿科那点事儿

为了更好的构建“医防协同”体系,促进医生学术交流与患者科普教育双轨并行,推动前列腺癌防治的发展和进步,北京卫康公益基金会主办“前列腺癌医防协同能力提升行动”项目,特邀全国泌尿领域相关专家分享实际临床诊疗经验。

本期由张自刚教授带来mHSPC诊治案例的分享,欢迎关注!

张自刚 教授
主任医师

大庆油田总医院泌尿外科,主任医师
家心血管疾病中心泌尿外科心血管共病联盟委员
黑龙江省中西结合学会泌尿外科分会委员
黑龙江省医学会泌尿外科分会尿控学组委员
大庆市医学会泌尿外科分会委员
发表核心期刊论文近30篇
主持及参与完成省级新技术应用奖五项,市级科技进步奖两项
擅长泌尿系结石及肿瘤的综合治疗

案例分享

基本信息

患者:男性,66岁。

主诉:因“检查发现PSA升高4天”就诊。

现病史:患者4天前就诊于我院体检发现PSA升高,TPSA 126.57ng/ml、FPSA 10.913ng/ml,比值0.086。完善前列腺核磁,提示前列腺右侧周围带可疑肿瘤,与右侧肛提肌分界欠清、前列腺增生伴钙化、右侧股骨头异常信号灶,考虑退行性改变,患者存在骨痛症状,以右侧髋关节及周围为主,行走时可加重,渐进性加重,目前可忍受疼痛。

既往史:患者3年前因痔疮于我院肛肠科行手术治疗。

肛门指诊:前列腺增大,右侧叶质硬结节,大小约3.0cm左右。中央沟未及,有压痛,指套无染血,肛门括约肌收缩功能正常。

相关检查

实验室检查(2024-11-18)

PSA升高,TPSA 126.57ng/ml、FPSA 10.913ng/ml,比值0.086。

尿常规:WBC+、RBC+。

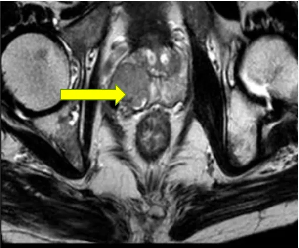
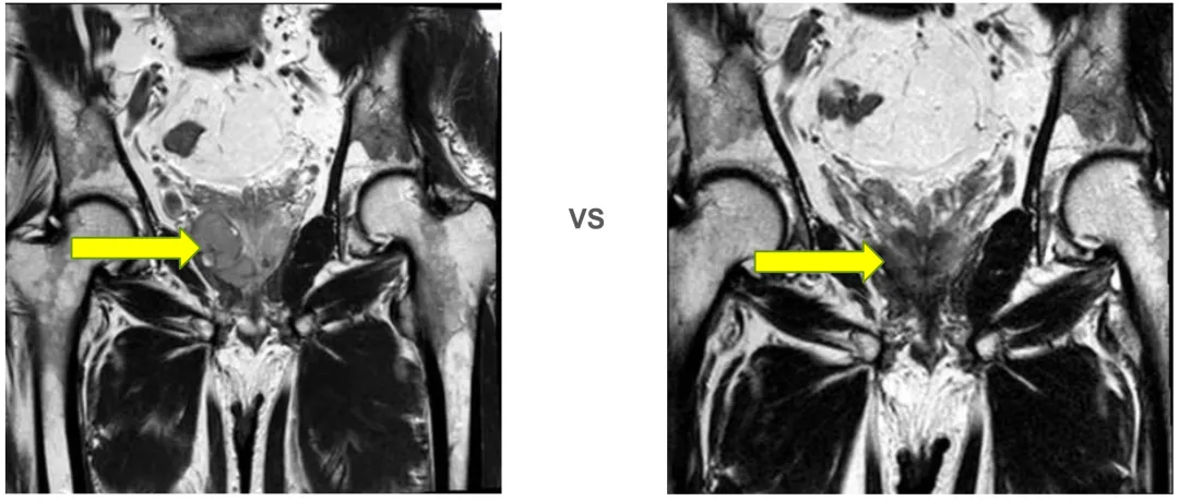
前列腺MRI(2024-11-28)

前列腺右侧周围带可疑肿瘤,与右侧肛提肌分界欠清、前列腺增生伴钙化、右侧股骨头异常信号灶,考虑退行性改变。

前列腺大小约为4.9cm×4.9cm×3.5cm,形态异常,右侧包膜欠光整,右侧周围带见团块状异常信号灶,T2WI等低信号,T1WI低信号,DWI明显增高,边界欠清,长径约为3.9cm,与右侧肛提肌分界不清,略受推挤向外侧移位。

左侧周围带信号不均匀减低,中央带及移行带信号不均,其内见斑片状极低信号影。双侧精囊腺对称,充盈欠佳。膀胱充盈欠佳,其内未见异常信号灶。直肠周围脂肪间隙未见异常。扫描野内未见明显肿大淋巴结。扫描野内右侧股骨头内见斑片状异常信号灶。

  1. 考虑前列腺右侧周围带肿瘤,与右侧肛提肌分界欠清。

  2. 前列腺增生,伴钙化。

  3. 右侧股骨头异常信号灶,考虑退行性改变。

前列腺穿刺(2024-12-04)

病理检查:

结合免疫组化结果及HE形态:

左侧前列腺:增生症伴局灶PIN I级。

右侧前列腺:腺癌(6/6),Gleason评分 4+4=8,分级分组 4。

骨扫描(2024-12-06)

  1. 前列腺右叶病变伴核素摄取增高,符合恶性病变影像特征,考虑前列腺癌,累及邻近右侧精囊腺;

  2. 右侧股骨头及胸椎及第二肋局限性核素摄取增高,考虑转移性病变,建议定期复查。

PSMA-PET(2024-12-09)

右叶见类圆形T2低信号,T1等信号病灶,DWI呈高信号,ADC呈低信号大小约为22.0m*28.1m*45.6m,病变累及邻近右侧精囊腺,与邻近直肠分界欠清晰,伴有18F-PSMA-1007摄取增高,最大SUV值约为38.99。前列腺左叶见不均匀18F-PSMA-1007摄取增高,最大SUV值约为5.47。

检查结果:

  1. 前列腺右叶病变伴有18F-PSMA-1007摄取增高,符合恶性病变影像特征,考虑前列腺癌,累及邻近右侧精囊腺,与邻近直肠分界欠清晰;前列腺左叶不均匀18F-PSMA-1007摄取轻度增高,考虑炎性病变可能性大,请结合临床;前列腺钙化灶。

  2. 右侧第4肋局限性18F-PSMA-1007摄取增高,不能完全除外转移性病变,建议定期复查。

  3. 腹膜后及腹腔盆腔双侧腹股沟,纵膈,肺门,锁骨上,颈部未见明显淋巴结异常摄取。

前列腺穿刺(2024-12-09)

(前列腺)增生症伴上皮内瘤变,(右侧前列腺)前列腺腺泡腺癌,Gleason评分4+4。

IHC:P504S(+),PSA(-),34 β E12(-),P63(-),Ki-67阳性细胞约60%。

疾病诊断

前列腺腺癌(T3bN0M1)。

治疗经过

治疗经过

2024年12月9日,根据指南和MDT讨论后,使用地舒单抗联合恩扎卢胺+地加瑞克皮下注射治疗方案。

自2024年11月-2024年12月,使用地舒单抗联合恩扎卢胺+地加瑞克皮下注射方案治疗后,患者出现右侧髋关节骨痛加剧并需要应用止痛药物。注射部位出现红斑且异常疼痛,无法耐受。2025年1月更换方案为地舒单抗联合恩扎卢胺+戈舍瑞林微球方案治疗。

随访检查结果示,睾酮水平显著降低(2025.3.20),PSA显著下降,未出现潮红、发热等不良反应,未出现注射部位不良反应,骨痛症状有明显缓解。目前继续应用该方案,无明显不适。

TPSA、FPSA波动

睾酮

2025-3-30:睾酮 0.814nmol/L。

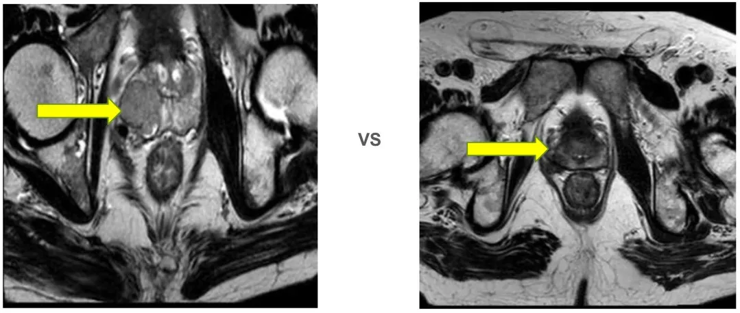
2025年9月12日 前列腺平扫+弥散(DWI)

(2024-11-28 vs 2025-9-12)

前列腺大小约为3.4cmx3.3cmx3.0cm,形态异常,右侧包膜欠光整,右侧周围带见结节状异常信号灶,T2WI低信号,T1WI低信号,DWI信号不高,边界欠清,长径约为0.9cm,左侧周围带信号不均匀减低,中央带及移行带信号不均。双侧精囊腺对称,充盈尚可。膀胱充盈可,其内未见异常信号灶。直肠因围脂肪间隙未见异常。扫描野内未见明显肿大淋巴结,扫描野内右侧股骨头及髋臼内见斑片状异常信号灶。

  1. 结合病史,考虑前列腺右侧周围带肿瘤治疗后改变。

  2. 右侧股骨头及髋臼异常信号灶,考虑退行性变可能。

前述改变与前片(2025-06)比较未见明显变化,建议隔期复查。

案例总结

该患者诊断mHSPC,核磁、骨扫描、PSMA PET-CT提示多处骨转移且患者激素敏感。治疗目标是有效去势及抗雄的同时降低骨相关不良事件风险以延长患者生存时间。在治疗初期针对于患者的情况选择了地舒单抗联合恩扎卢胺+地加瑞克治疗(GnRH拮抗剂)方案,但患者在注射后出现严重的不良反应,疼痛加重并局部红肿,无法耐受,遂更换方案。

基于《前列腺癌睾酮管理中国专家共识》《CSCO前列腺癌诊疗指南(2024)》《EAU前列腺癌诊疗指南(2024)》《NCCN前列腺癌临床实践指南(2025)》治疗方案选择了地舒单抗联合恩扎卢胺+戈舍瑞林微球,治疗一个月后患者PSA由6.601ng/ml迅速达到0.2ng/ml以下(PSA达标),同时睾酮水平也达到去势水平。

该患者初诊时已发生骨转(≧4处)移说明肿瘤负荷高、在长期的ADT治疗过程中可能是存在患者睾酮达不到去势水平,或下降缓慢,直接影响疗效。需要更强效和稳定的方案进行治疗,那么结合相关临床的指南推荐,选择一个适合于患者,能够帮助患者延缓复发和进展的好药,使得治疗更强化一步是非常重要的,本例中,我们使用单月剂型肌肉注射的戈舍瑞林微球进行更强去势的治疗,效果明显,患者不良反应轻。

专家采访视频

责任编辑:肿瘤资讯-小编
排版编辑:肿瘤资讯-黄洋洋
版权声明
版权归肿瘤资讯所有。欢迎个人转发分享,其他任何媒体、网站如需转载或引用本网版权所有内容,须获得授权,且在醒目位置处注明“转自:良医汇-肿瘤医生APP”。