您好,欢迎您

钟启教授:精准“狙击”——基于真实病例深度解析含泽布替尼方案+CAR-T细胞疗法治疗CNS复发DLBCL的疗效

2025年10月24日
整理:肿瘤资讯
来源:肿瘤资讯

复发/难治性弥漫大B细胞淋巴瘤(R/R DLBCL)的治疗极具挑战性,特别是当疾病侵犯中枢神经系统(CNS)时,患者的预后显著恶化。CNS作为淋巴瘤的“庇护所”,其血脑屏障(BBB)结构限制了大多数传统化疗药物的渗透,导致患者的治疗效果不佳,复发风险升高。因此,开发能够有效穿透BBB并在CNS内达到治疗浓度的药物,是改善这类患者生存的关键。


B细胞受体(BCR)信号通路在B细胞淋巴瘤的发生、发展中扮演着核心角色,而布鲁顿酪氨酸激酶(BTK)是该通路中的关键激酶。BTK抑制剂通过特异性阻断BCR信号传导,抑制肿瘤细胞的增殖与存活。新一代BTK抑制剂泽布替尼不仅具有高选择性,其小分子结构更有潜力穿透BBB,为CNS淋巴瘤的治疗提供了新的希望。为进一步推动疾病的规范化诊疗,【肿瘤资讯】特邀广东省第二人民医院钟启医生,基于1例原发骨DLBCL患者的诊疗经过,深度解析此类患者的治疗要点。

病例基本信息及诊疗经过

患者基本信息:男性,65岁。

现病史:该患者因右肘关节疼痛活动受限,于2022年1月就医。4个月后,该患者确诊为“原发骨弥漫大B细胞淋巴瘤”。

治疗过程

· 确诊后,该患者接受了6个疗程的R-CHOP方案(利妥昔单抗+环磷酰胺+多柔比星+长春新碱+泼尼松方案)化疗,并达到部分缓解(PR)

· 2024年1月,该患者因双腿乏力就医,检查发现淋巴瘤侵犯至CNS。随后,患者接受了包括利妥昔单抗、大剂量甲氨蝶呤、塞替派、替莫唑胺等在内的多轮强化疗治疗,并且进行了自体造血干细胞移植。

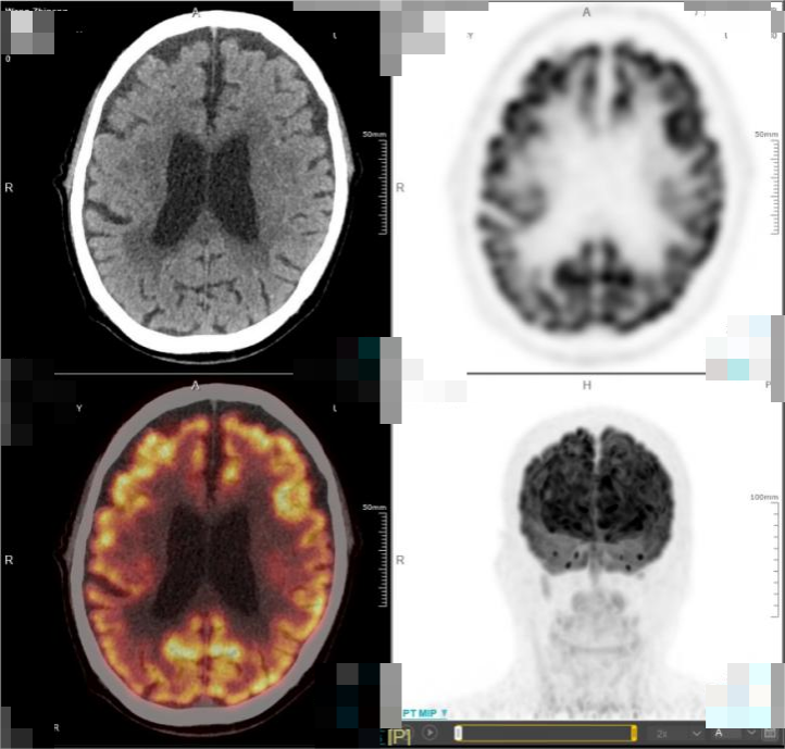
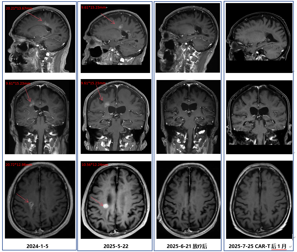
· 2025年5月,外院进行的头颅MRI检查结果显示,该患者的肿瘤再次进展。基于患者目前的疾病情况,中心医生先对其行全脑放疗,使用BTK抑制剂口服治疗,并且同步准备CAR-T细胞培养。此外,该患者还接受了氟达拉滨联合环磷酰胺方案进行预处理治疗,并于6月26日成功回输CD19 CAR-T细胞。在放疗后,患者的头颅MRI提示颅内病灶较前明显减少、减小。而CAR-T细胞治疗后50天复查PET-CT显示,患者的颅内肿瘤病灶已完全消失,达到完全代谢缓解(CMR)

图1.png图1. 患者的头颅MRI对比图

图2.png

图3.png

图4.png图2. 患者 PET-CT结果(CAR-T细胞治疗后50天)

钟启教授

上述病例为1例R/R DLBCL伴CNS侵犯的患者,其诊疗过程充分展示了以新一代BTK抑制剂泽布替尼为基础的联合治疗策略在应对此类极高危疾病中的临床价值与前景。该患者为原发骨DLBCL,经一线R-CHOP方案治疗后仅达PR,提示其疾病具有高度侵袭性。后续患者出现了CNS复发,虽接受大剂量化疗联合自体干细胞移植等治疗,但其仍在短期内再次进展。在患者颅内病灶进展的关键阶段,临床医生采用了放疗联合泽布替尼+CAR-T细胞疗法的治疗方案,并取得了显著的临床缓解。
 
CNS侵犯是导致DLBCL患者预后不良的关键因素,其治疗瓶颈在于BBB限制了多数治疗药物的有效递送。上述病例中,选择泽布替尼是基于其卓越药代动力学特性的精准决策。一项回顾性研究证实了泽布替尼优异的BBB穿透能力,其在脑脊液中的平均血浆浓度比(校正后)高达42.7%,确保了在中枢“庇护所”内达到并维持有效抗肿瘤药物浓度。临床数据亦显示,在11例伴CNS侵犯的DLBCL患者中,含泽布替尼方案治疗后的客观缓解率(ORR)高达81.8%[1]在上述病例中,泽布替尼同样迅速控制了患者的颅内病灶,为后续的CAR-T细胞治疗创造了有利条件。
 
上述病例的另一关键成功因素在于泽布替尼与CAR-T细胞疗法的协同增效。在既往开展的研究中,泽布替尼联合CAR-T细胞治疗R/R DLBCL已展现出优异的疗效,最佳ORR达88.2%,完全缓解(CR)率达70.5%。在生存获益方面,研究的2年无进展生存(PFS)率和总生存(OS)率分别为59%和71%,且中位PFS与OS均未达到。此外,泽布替尼作为高选择性BTK抑制剂,其脱靶效应低,与CAR-T细胞治疗联用时展现出良好的安全性。


在机制方面,研究发现泽布替尼与CAR-T细胞疗法协同效应的机制是多维度的。首先,泽布替尼通过持续抑制BCR信号通路,直接发挥抗肿瘤作用。其次,该研究发现CAR-T细胞扩增的早期达峰(<13天)与更优的PFS和OS显著相关,提示泽布替尼或可减轻CAR-T细胞的耗竭和分化,增强CAR-T细胞活性,并延长体内留存时间[2]


除上述研究外,泽布替尼作为CAR-T细胞疗法的桥接治疗同样表现优异。一项分析了含泽布替尼方案桥接CAR-T细胞疗法在R/R DLBCL中疗效的研究结果显示,患者的ORR达81%,中位PFS为12.8个月[3]

 
综上,该病例的成功救治是精准医学指导下多模式治疗策略的成功实践,其清晰地揭示了如何整合并最大化泽布替尼高BBB透过性与免疫协同的双重优势,为攻克R/R DLBCL伴CNS侵犯这一临床难题提供了极具价值的启示。

专家简历

张青
主任医师、血液病学博士、博士后

广东省第二人民医院血液科
从事临床工作二十余年,擅长白血病、淋巴瘤、多发性骨髓瘤及其他恶性血液病的规范化治疗、分子生物学诊断与微小残留病的监测、造血干细胞移植等,尤其对复发难治性白血病的治疗、造血干细胞移植、免疫性血细胞减少性疾病的诊疗有较深的理解。对嵌合抗原受体T细胞(CAR-T细胞)治疗急性淋巴细胞白血病等细胞免疫治疗有较深入的研究
广东省医学会血液病学分会常务委员
广州市医学会器官移植分会委员
广东省医学会医学鉴定专家库成员
广东省医学会细胞治疗学分会委员
广东省抗癌协会血液肿瘤专业常务委员
广东省免疫学会血液免疫学专业常务委员
广东省医师协会血液科医师分会常务委员
广东省健康管理学会血液病学专业常务委员
广东省医学会血液病学分会白血病学组副组长
广东省医学教育协会血液病学专业专委会主任委员
广东省医师协会血液科医师分会骨髓瘤淋巴瘤专业组成员
广东省医师协会血液科医师分会出凝血疾病医师专业组成员
广东省血液科医疗质量控制中心专家组成员、淋巴系肿瘤组副组长
参与编写血液病专著4部,在《Leukemia》,《J Control Release》,《International J of Molecular Medicine》等国内外杂志发表专业论文40余篇,获得全军医疗成果2等奖1项。主持广东省卫生厅医学科研基金项目1项

余国攀
主任医师、硕士研究生导师、医学博士

广东省第二人民医院血液科负责人(主持工作)
长期从事血液病临床诊治和基础研究工作,精通白血病、骨髓增生异常综合征、淋巴瘤、骨髓瘤等血液病的诊治,特别是在白血病的精准诊疗和耐药克服方面有较深造诣
美国德州大学MD安德森癌症中心访问学者
中国抗癌协会康复会血液分会常委
广东省老年保健协会血液肿瘤分会副主委
广州抗癌协会血液肿瘤分委会常委兼秘书
主持国家自然科学基金2项、广东省自然科学基金4项等,作为第一作者/通讯作者在CCR、JHO、BCJ、Haematologica等发表科研论文30余篇

钟启
副主任医师

广东省第二人民医院血液科
学会任职:
广东省医师学会血液学分会淋巴瘤与骨髓瘤学组青年委员
广东省老年保健协会血液肿瘤分会常务委员
广东省老年保健协会免疫缺陷与恶性肿瘤多学科诊疗分会常务委员
广东省医学会血液病学分会淋巴瘤/骨髓瘤学组成员
广东省基层医药协会血液病专业委员会委员
广东省医学教育协会血液病学专业委员会委员
学术方向:
从事临床工作10余年,主攻淋巴瘤的精准诊断及个体化治疗,尤其是弥漫大B细胞淋巴瘤、外周T细胞淋巴瘤、慢性淋巴细胞增殖性疾病等的诊断和治疗。主持参与国家级及省级课题6项,第1作者国内外期刊发表论文10余篇。

参考文献

1.Zhang Y ,Li Y ,Zhuang Z ,et al. Preliminary evaluation of zanubrutinib-containing regimens in DLBCL and the cerebrospinal fluid distribution of zanubrutinib: a 13-case series[J]. Front Oncol, 2021,11:760405. DOI: 10.3389/fonc.2021.760405
2.Xu J, Zhang X, Li Y, Meng F, et al. Efficacy and safety of zanubrutinib combined with chimeric antigen receptor T-cell therapy targeting CD19 in refractory or relapsed diffuse large B cell lymphoma: A retrospective analysis. Cancer Treat Res Commun. 2025 Mar 29;43:100902.2.
3.陆燕,刘辉,叶世光,等. 以泽布替尼为基础的桥接方案在CAR-T细胞治疗复发难治弥漫大B细胞淋巴瘤中的临床安全性及疗效分析.中华血液学杂志,2023,44(10):813-819.

责任编辑:肿瘤资讯-Cherry
排版编辑:肿瘤资讯-WJH
版权声明
版权归肿瘤资讯所有。欢迎个人转发分享,其他任何媒体、网站如需转载或引用本网版权所有内容,须获得授权,且在醒目位置处注明“转自:良医汇-肿瘤医生APP”。

评论
2025年11月05日
韩朝
黑山仁和医院 | 肿瘤内科
布替尼与CAR-T细胞疗法协同增效。
2025年10月30日
王郭虹
桂林市第二人民医院 | 肿瘤科
CNS侵犯是导致DLBCL患者预后不良的关键因素,其治疗瓶颈在于BBB限制了多数治疗药物的有效递送。
2025年10月26日
李国君
冀中能源峰峰集团有限公司总医院 | 血液肿瘤科
含泽布替尼方案+CAR-T细胞疗法治疗CNS复发DLBCL的疗效