HER2 阳性晚期乳腺癌患者常面临一线治疗缓解期短、后续方案耐受性差等难题,尤其对于合并基础疾病的老年患者,治疗需在疗效、安全性与生活质量间找到精准平衡。小分子 TKI 与口服化疗药物的联合,为这类患者提供了“高效低毒、便捷可及”的新选择。本期分享一例70岁HER2阳性晚期乳腺癌患者,在多线治疗调整后,采用“长春瑞滨软胶囊+吡咯替尼”全口服方案实现40.9个月无进展生存期(PFS),且最佳疗效达完全缓解(CR),为老年HER2阳性晚期乳腺癌的个体化治疗提供了宝贵的实践经验。
特邀嘉宾
病例分享专家
苏州市立医院肿瘤内科
中华中医药学会方药量效研究分会青年委员
参与苏州市科技发展计划项目及苏州市科技局民生科技等项目研究,实用新型专利及计算机软著各一项,并以第一作者及通讯作者在国内外刊物上发表论文数篇。
病例点评专家
苏州市立医院白塔院区 肿瘤内科
主持苏州市科教兴卫青年科技项目1项
参加国家级及省级课题多项
发表SCI文章多篇
擅长结直肠癌、乳腺癌、肺癌等肿瘤规范化、个体化治疗
病例介绍
患者女性,初诊年龄70岁,农民。确诊乳腺癌伴肺转移一年余,进展半月余(2020 年 11 月就诊)。
现病史:患者于2019 年 10 月无意间发现右乳存在肿块,于医院就诊。查乳腺彩超(2019-10)示:右乳低回声(BI-RADS 4B 类)、右腋下多发异常淋巴结;穿刺病理示(右乳)浸润性导管癌,免疫组化 ER(-)、PR(-)、HER-2(3+)、Ki-67(+,约 60%);胸部 CT (2019-10)示:两肺多发转移,排除颅内及骨转移。PS :1 分。
既往史:高血压病史 5 年余(血压控制稍偏高);2 型糖尿病病史 5 年余(口服二甲双胍,血糖控制一般);10 余年前行胆囊结石手术;无肝炎、结核病史,无药物及食物过敏史。
个人史及家族史:无吸烟、饮酒史,无肿瘤家族史及其他家族性遗传性疾病史。
辅助检查:
2019 年 10 月乳腺及腋窝淋巴结彩超:右乳 1×1cm 肿块,乳腺彩超提示右乳低回声(BI-RADS 4B 类)、右腋下多发异常淋巴结;穿刺病理示(右乳)浸润性导管癌,免疫组化 ER(-)、PR(-)、HER-2(3+)、Ki-67(+,约 60%);
2019 年 10 月胸部 CT :两肺多发转移,排除颅内及骨转移。
图1 乳腺及腋窝淋巴结彩超
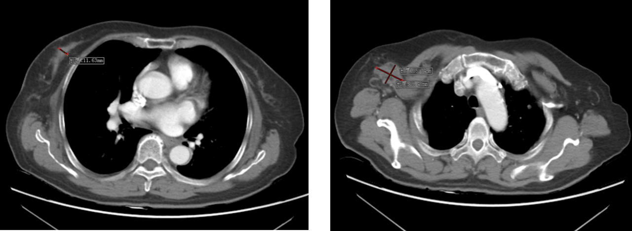
图2 CT影像
临床诊断:
1. 右乳腺癌cT1cN2aM1 Ⅳ期,HER-2阳性型;
2. 肺继发恶性肿瘤;
3. 高血压病;
4. 2型糖尿病
治疗过程及疗效评价
一线治疗:2019年11月-2020年10月
治疗方案:2019 年 11 月 2 日起外院行多西他赛(140mg)+曲妥珠单抗(首次480mg,后续360mg)+帕妥珠单抗(首次840mg,后续420mg)方案化疗 6 周期,因反复腹泻停用帕妥珠单抗,后续续贯多西他赛+曲妥珠单抗治疗 11 周期,末次治疗时间 2020 年 10 月。
疗效评价:最佳疗效为PR;PFS为11个月
二线治疗:2020年11月-2024 年 11 月
2020 年 11 月复查胸腹盆 CT 提示右乳软组织影增大、肺结节数目增多且体积增大,评估疾病进展(PD)。
治疗方案:2020年11 月27 日起予“卡培他滨 1.5g bid d1-14/q3w +吡咯替尼 400mg qd”治疗 8 周期,末次卡培他滨治疗时间 2021 年 5 月 20 日。
疗效与安全性:疗效评价维持 PR(肺转移灶、乳腺肿块较前缩小);但因合并 2 型糖尿病及双足真菌感染史,口服卡培他滨后出现严重 3 度手足综合征(伴甲沟炎、迁延不愈,更换进口制剂后仍需拔甲),无法耐受,于 2021 年 7 月 2 日停用卡培他滨并调整方案。
调整治疗方案:2021年7月2日起改用口服长春瑞滨软胶囊(80mg d1、d8/q3w)+吡咯替尼(400mg qd)治疗,共 58 周期,末次治疗时间 2024 年 11 月 28 日。
疗效:2021 年 9 月复查示右乳肿块消失,2023 年 3 月起双侧腋下未探及肿大淋巴结,最佳疗效达 CR;截至 2024 年 11 月,持续维持 CR 状态,PFS 长达 40.9个月。
安全性:耐受良好,无严重骨髓抑制或胃肠道不良反应,未因毒性中断治疗。
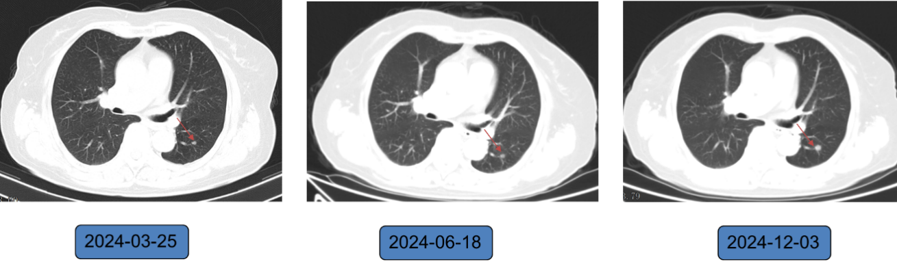
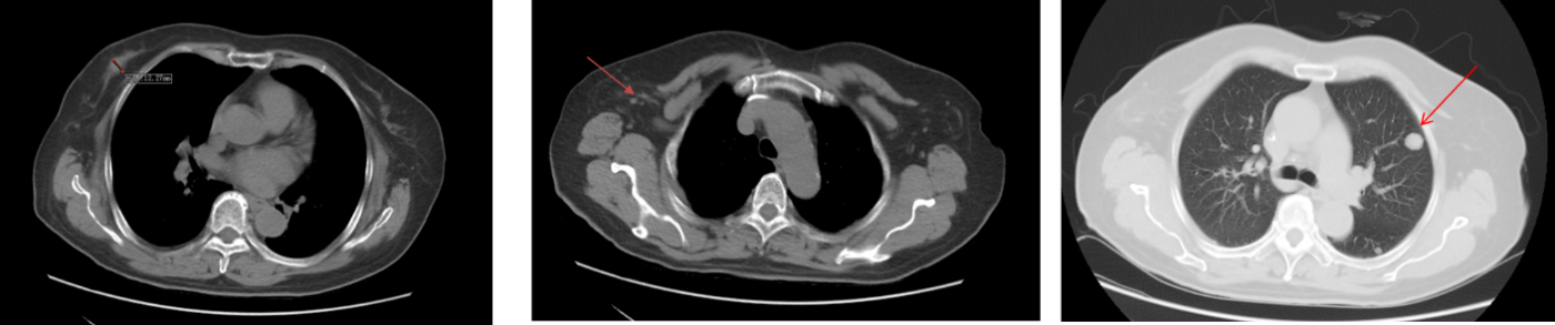
影像学结果(右乳软组织+肺结节)如下图所示:
图3 影像学变化(1)
图4 影像学变化(2)
三线治疗:2025 年 1 月至今
疾病进展:2024 年 12 月 3 日复查示右乳新发 14.0×3.7×3.9mm 低回声区,穿刺病理仍为 HER2 阳性浸润性癌(Ki-67 升至 80%),评估 PD。
治疗方案:2025 年 1 月 3 日起至今予德曲妥珠单抗 300mg 治疗 12周期。
疗效:最佳疗效为 PR,右乳病灶缩小,PFS>8个月,仍在持续治疗中
病例小结
图5 病例小结
专家点评
本病例患者为 70 岁老年女性,经诊断确诊为 HER2 阳性晚期乳腺癌(右乳 cT1cN2aM1 Ⅳ期),且合并高血压、2 型糖尿病等基础疾病。在该患者的诊疗过程中,各阶段治疗方案的调整既严格遵循循证医学证据,又充分考量老年患者的个体生理特征与基础疾病状况,形成了科学且具针对性的诊疗路径。
从治疗决策的逻辑维度分析,该患者一线治疗采用 THP 方案,此选择与HER2阳性晚期乳腺癌一线治疗的标准策略高度契合,符合当前临床指南推荐。然而,治疗期间患者因出现腹泻不良反应而停用帕妥珠单抗,且一线治疗的PFS仅为 11个月。这一临床现象不仅揭示出老年患者对抗肿瘤药物不良反应的耐受阈值普遍更低,提示临床诊疗中需动态权衡治疗疗效与用药安全性;同时也反映出该患者对大分子抗 HER2 药物的敏感性相对有限,为后续治疗方案的调整提供了关键依据。
在二线治疗方案的选择上,临床采用“卡培他滨 + 吡咯替尼”联合方案。其中,吡咯替尼作为一种不可逆性 HER2 酪氨酸激酶抑制剂(TKI),其联合化疗方案的有效性已在PHILA 等多项高质量临床研究中得到证实[1],而本例患者接受该方案治疗后也达到了PR的疗效标准。但治疗过程中,受患者基础疾病 2 型糖尿病与双足真菌感染的叠加影响,诱发了 3 度手足综合征,导致患者无法耐受卡培他滨化疗。基于此,临床及时将卡培他滨更换为长春瑞滨软胶囊,该调整决策兼具循证医学深度与临床实践实用性。在循证证据支持方面,PROVE 临床研究结果表明,对于曲妥珠单抗治疗失败的 HER2 阳性转移性乳腺癌患者,采用吡咯替尼联合长春瑞滨节拍化疗方案,其中位PFS可达 14.23个月,且治疗相关不良反应可控,安全性良好[2];此外,一项多中心回顾性研究(NCT04850625)数据显示,与拉帕替尼联合卡培他滨方案相比,吡咯替尼联合长春瑞滨方案的手足综合征发生率显著更低(4.5% vs 0%)[3],其毒性谱特征与本例老年患者的个体耐受需求高度适配。在临床实践方面,长春瑞滨口服制剂与静脉制剂在药代动力学特征上具有相似性[4],采用口服剂型可有效避免静脉化疗带来的血管刺激风险与输液相关不良反应,更符合老年患者对治疗便捷性与安全性的需求,有助于提升患者治疗依从性。
从临床结局来看,长春瑞滨软胶囊+吡咯替尼双口服方案展现出优异疗效,患者不仅实现了 40.9个月的超长PFS,更达到了CR的疗效标准,且整个治疗期间未发生严重不良反应。2024 年 12 月患者出现疾病进展后,三线治疗改用德曲妥珠单抗,该方案选择同样符合当前 HER2 阳性晚期乳腺癌后线治疗的指南推荐,体现了诊疗决策的连贯性与规范性,该病例对同类病例的诊疗具有重要的参考价值。
[1] Ma F, et al. BMJ. 2023 Oct 31;383:e076065.
[2] Chunfang H, et al. J Clin Oncol 40, 2022 (suppl 16; abstr 1033) doi: 10.1200/JCO.2022.40.16_suppl.1033
[3] Xie Y, et al. Front Oncol. 2021 Aug 5;11:699333. doi: 10.3389/fonc.2021.699333.
[4] Marty M, et al. Ann Oncol. 2001;12(11):1643-1649.
排版编辑:肿瘤资讯-新月








苏公网安备32059002004080号