您好,欢迎您

【案例分享】免疫治疗在晚期尿路上皮癌大有可为,重视疗效同样关注不良反应管理

2020年03月18日
病例分享:江苏省人民医院 吕强
专家点评:中山大学孙逸仙纪念医院  林天歆

以PD-1/PD-L1抑制剂为代表的免疫治疗改变了多种晚期恶性肿瘤的治疗模式,为患者带来更多获益,其中也包括晚期尿路上皮癌。本期,来自江苏省人民医院的吕强教授带来案例分享,一位高龄、术后复发患者一线接受信迪利单抗取得完全缓解(CR),同时通过及时有效处理,不良反应得到逆转。

               
吕强 教授 主任医师 博士生导师

江苏省⼈⺠医院泌尿外科⾏政副主任
江苏省 “科教强卫”⼯程医学重点⼈才
江苏省“333⼯程”培养对象
江苏省 “六⼤⼈才⾼峰” ⾼层次⼈才
中华医学会泌尿外科学分会国际交流学组委员
江苏省医学 会泌尿外科分会⻘年委员会副主委
江苏省医学会泌尿外科学分会微创学组副组⻓
抗癌协会全国⻘委
抗癌协会微创学组委员
抗癌协会肿瘤精准治疗学组委员

案例介绍

患者基本情况

患者女性,78岁,离退休人员,既往有“冠状动脉供血不足”病史,服用“欣康、复方丹参滴丸”,具体不详;血压升高近1年,平素口服压氏达(5mg 0.5#qd),平素血压控制尚可;有“慢性结肠炎”病史,2017年9月7日查肠镜,活检示:(回盲瓣旁、距肛门50cm)管状腺瘤伴腺上皮轻度不典型增生。患者无吸烟史,否认肿瘤家族史。

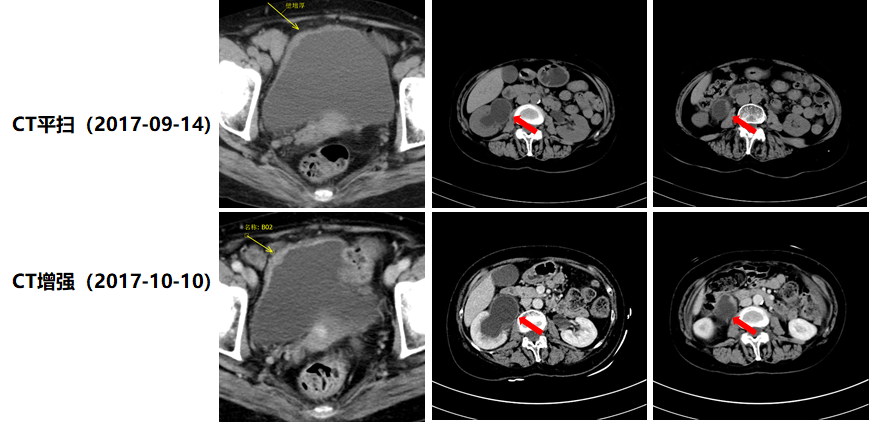
2017年9月,患者因“间断无痛性肉眼血尿两周余”首次就诊,9月14日腹盆腔CT平扫示:右肾形态饱满,右侧肾盂及输尿管上段多发囊性灶,局部囊壁增厚,伴周围多发渗出(图1)。10月10日腹盆腔增强CT示:右侧肾盂及输尿管中上段病灶;考虑右侧输尿管中上段Ca伴右侧肾盂及输尿管积水(图1)。

image001.png

图1.患者手术前CT影像资料

治疗经过

一、手术治疗

1.2017年10月16日,患者行“诊断性电切术+输尿管镜检查”,术后病理:(膀胱)浸润性高级别尿路上皮癌,部分伴腺性分化。

术后诊断:1.膀胱癌;2.右输尿管癌

T2N0M0  浸润性尿路上皮癌伴部分腺样分化

2.2017年10月23日行“机器人辅助根治性膀胱全切除术+右半尿路切除术”,术后病理示:(右输尿管)高级别浸润性尿路上皮癌,侵犯肌层全层,灶性累及右肾盂粘膜(T2N0M0);(膀胱)高级别尿路上皮癌,病变多位于粘膜层,未见明确浸润,送检盆腔淋巴结12个未见转移(TaN0M0)。免疫组化:CK5/6(-),CK14(-),CK20(+),GATA3(+),Her-2(+),Uroplakin(+),间质细胞:SMA(+),Desmin(-),肿瘤间质淋巴细胞PD-1(-),间质淋巴细胞及瘤细胞PD-L1(灶+)。

二、术后随访及复发

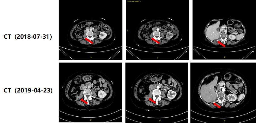
患者术后定期随访,2018年7月31日CT示:肾盂癌根治术+根治性全膀胱切除术后,术区较前相仿(图2)。2019年4月23日CT示:右肾未见,术区右侧腰大肌旁见不规则形软组织样密度影,大小约19.0x16.7mm,可见强化,与周围组织分界欠清;右侧肝脏受侵(图2)。

2019年5月13日PET-CT示:1)根治性膀胱全切除术+右侧半尿路切除术后改变;腹主动脉旁多发稍大淋巴结,FDG代谢异常增高;肝脏右后叶稍低密度结节影,FDG代谢异常增高;右侧结肠旁沟及腰大肌旁数枚稍大软组织结节影,FDG代谢异常增高,考虑肝脏及腹膜后淋巴结多发转移并累及右侧腰大肌。2)右侧骶髂关节前方囊性低密度影,未见FDG代谢增高,考虑良性病变,建议随访复查。3)两肺散在炎症;右肺上叶后段钙化结节;纵隔内气管前腔静脉后及右肺门钙化淋巴结。4)子宫形态欠规整,未见明显异常密度影,考虑子宫肌瘤可能,请结合妇科B超检查。5)间位结肠;左肾复杂性囊肿;左侧输尿管引流管在位。6)部分椎体轻度退行性变。综合考虑患者疾病复发转移。

image002.png

图2.患者术后定期随访CT影像资料

三、复发转移后一线治疗

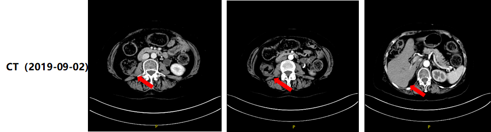
2019年6月4日,患者开始接受一线信迪利单抗(200mg,ivgtt,Q3W)单药治疗,4周期治疗后,于2019年9月2日复查CT示:前“2019年4月23日”术区右侧腰大肌旁软组织密度影,本次未显示。前肝右下叶片状稍低密度影,本次未显示(图3)。疗效评价为CR。截至2019年12月28日,患者一线治疗无进展生存期(PFS1)已达6个月。

image003.png

图3.患者接受信迪利单抗一线治疗4周期后疗效评价为CR

四、免疫治疗相关不良反应管理

2019年9月21日行第五周期免疫检查点抑制剂治疗后,患者出现严重的胃肠道不良反应,予以暂停免疫治疗。经过激素及对症支持治疗后(图4-6),患者不良反应得到控制。综合考虑,患者胃肠道不良反应的发生可能与其既往胃肠道病史相关。

image004.png

图4.患者不良反应诊疗经过

image005.png

图5.患者不良反应详细治疗经过

image006.png

图6.不良反应治疗期间各项指标的监测变化情况

专家点评

               
林天歆 教授

中山大学孙逸仙纪念医院副院长
泌尿外科副主任 教授 主任医师 博导
广东省泌尿外科学分会委员会候任主任委员
中华医学会泌尿外科学分会委员
广东省医学会泌尿外科学分会肿瘤学组副组长
中华医学会泌尿外科学分会微创学组委员
围绕泌尿系统各种微创技术及肿瘤进行研究,曾获郭应禄泌尿外科青年医师奖、教育部高校科技进步一等奖、广东省科技进步一等奖,被评为广东省医学领军人才、第四批国家“万人计划”科技创新领军人才,是国家杰出青年基金获得者。
   发表SCI论著30余篇,其中2篇论著发表在泌尿外学专业排名第一的杂志European Urology上(IF=16.265)

PD-1/PD-L1抑制剂极大程度地改变了晚期尿路上皮癌的治疗格局,目前在国际上,2016年至2017年间,已经有5种药物获批单药用于铂类化疗失败后的局部晚期或转移性尿路上皮癌,即阿替利珠单抗、纳武利尤单抗、度伐利尤单抗、avelumab和帕博利珠单抗。数十年来,以顺铂为基础的化疗一直是转移性尿路上皮癌的一线标准治疗,然而临床实践中,很大一部分患者因肾功能损害或其他并发症,不能耐受顺铂为基础化疗,因为此部分人群通常比较高龄。PD-1/PD-L1抑制剂的应用填补了临床治疗的空白,为这部分患者提供了一种安全、可耐受的治疗选择。

在本案例中,患者为高龄人群,已接受根治性膀胱全切术,同时合并多种基础疾病。患者术后复发时一般情况较差,综合考虑极大可能对顺铂为基础的化疗不耐受,同时患者及其家属也较为抗拒化疗。因此给予一线信迪利单抗单药治疗,取得令人惊喜的结果,疗效CR。信迪利单抗是由信达生物和礼来公司共同研发的具有国际品质的PD-1抑制剂,质量有保障,同时临床研究数据也显示其在多个瘤种中具有良好的抗肿瘤活性。目前信迪利单抗已经在国内获批用于至少经过二线系统化疗的复发或难治性经典型霍奇金淋巴瘤的治疗,并且是首个,也是目前唯一一个进入国家医保药品目录的PD-1/PD-L1单抗。

临床实践中,除了治疗疗效,治疗相关不良反应同样是患者和医生所关注的。在本案例中,患者接受免疫治疗后,出现了较为严重的免疫相关不良反应。整体而言,免疫相关不良反应的发生率要低于传统化疗,但免疫治疗的作用机制独特,免疫相关不良反应可能在各个脏器发生,在临床实践中应当予以重视,做好预防、监测。除此之外,免疫相关不良反应还具有一个重要的特点:免疫相关毒性大部分都是可逆的。因此早发现、早诊断、早治疗同样十分关键。在本案例,患者一般情况较差,同时有“慢性结肠炎”病史,免疫相关不良反应的发生可能与此相关。通过及时的处理治疗之后,患者不良反应也得到逆转。目前国内外均有专门针对免疫相关不良反应管理的指南共识,如《中国临床肿瘤学会(CSCO)免疫检查点抑制剂相关的毒性管理指南2019》,临床医生可以学习参考指南所提供的建议,做好免疫相关不良反应的管理。

责任编辑:Zack   
排版编辑:细胞田