您好,欢迎您

【案例分享】晚期肺鳞癌患者一线治疗入组信迪利单抗临床试验获超长PFS

2020年03月12日
病例分享:广东医科大学附属医院 陈华林
点评专家:广东医科大学附属医院 杨志雄

长期以来,含铂双药化疗是晚期肺鳞癌一线常规治疗,然而化疗疗效有限,晚期肺鳞癌患者急需更好的治疗手段。近年来以PD-1/PD-L1单抗为代表的免疫治疗改写多种晚期恶性肿瘤的治疗模式,同样为晚期肺鳞癌的治疗带来希望。信迪利单抗是由信达生物和礼来公司共同研发的具有国际品质的PD-1单抗,目前在晚期肺鳞癌的一线治疗中也开展了Ⅲ期ORIENT-12研究。本期,来自广东医科大学附属医院的陈华林教授带来案例分享,患者在入组ORIENT-12研究后,无进展生存期(PFS)已经超过15个月,持续从治疗中获益。

               
陈华林 教授

广东医科大学附属医院肺部肿瘤科副主任医师,临床肿瘤学博士
广东省胸部疾病学会肿瘤危急重症分会,副主任委员
广东省胸部疾病学会遗传学分会,副主任委员
广东省精准医学应用学会肺癌分会,常务委员
广东省医师协会放射肿瘤治疗学分会胸部肿瘤专业组委员;
广东省健康管理学会胸部肿瘤及肺结节管理专业委员会委员;
粤西地区中青年肿瘤医师论坛发起人;
广州抗癌协会肿瘤复发与转移专业委员会常务委员;
广东省医学会放射肿瘤治疗学医师分会青年委员;
广东省医师协会放射肿瘤治疗学医师分会青年委员;
广东医科大学附属医院肺癌诊疗中心多学科综合诊疗(MDT)秘书

病例介绍

患者基本情况

患者男性,62岁,既往有“慢性乙型病毒性肝炎”、“慢性胃炎”病史,吸烟40年,平均每天2包,否认肿瘤家族史。2018年1月底,患者因“咳嗽、左侧胸部闷痛1月”首次就诊,PS 1分。

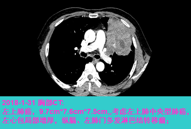
入院后完善相关检查,胸部CT(2018年1月31日,图1):左上肺软组织肿块,大小9.7*7.6*7.5cm,考虑左上肺中央型肺癌并纵膈及左肺门多发淋巴结转移可能性大;心包局部增厚;左肾上腺增粗,不除外转移。腹部+盆腔CT、骨扫描、头部MRI、腹部+颈部超声未见明显异常。

image001.png

图1.患者2018年1月31日胸部CT

2018年2月7日行经皮肺穿刺活检,病理诊断(图2):结合免疫组化结果符合(左主支气管)鳞状细胞癌。免疫组化:CK5/6(+),CK7(-),Ki-67指数约(30%),NapsinA(-),P40(+),TTF-1(-)。因患者及其家属拒绝,后续未行基因检测及PD-L1检测。

image003.png

图2.患者病理结果(2018年2月8日)

临床诊断

1、左上肺鳞癌  cT4N2M0 ⅢB期;2、慢性乙型病毒性肝炎

治疗经过

一、新辅助治疗及手术

综合考虑后,于2018年2月11日、3月6日行新辅助化疗2周期,化疗方案:紫杉醇脂质体(240mg)+奈达铂(120mg)。治疗期间同时给予恩替卡韦抗乙肝病毒治疗。3月26日复查胸部CT,肿块较前明显缩小,大小为4.2*3.7*3.5cm(图3),疗效评价为部分缓解(PR)。

image005.png

图3.患者接受2周期新辅助化疗后肿块明显缩小

经多学科会诊后,患者有外科手术指征,于2018年4月3日在全麻下行“左上肺叶切除+心包局部切除+肺门、纵膈淋巴结清扫术”,术后病理(图4)示:1.左上肺角化型鳞状细胞癌,侵犯心包;2.支气管切端未见癌;3.支气管旁淋巴结未见癌转移(0/4);4.送检(第5、6、7、11组)淋巴结未见癌转移(0/2、0/1、0/2、0/1)。

image007.png

图4.患者2018年4月术后病理报告

手术之后建议患者行术后辅助放化疗,但患者拒绝进一步治疗。此后定期随访。

二、术后复发转移及一线治疗

2018年10月,患者因“发现左胸壁肿物1月”再次就诊。门诊10月8日胸部CT示:1.左上肺肿物,大小约5.9*5.1*4.4cm,较前明显增大;2.左侧多根肋骨骨质破坏,周围见软组织影,考虑骨转移瘤(图5)。患者术后复发骨转移。

患者一般情况可,PS 1分,经综合评估后符合临床试验入组标准,与患者及其家属沟通后,患者同意参加“评估信迪利单抗(IBI308)或安慰剂联合吉西他滨和铂类化疗用于晚期或复发性鳞状细胞非小细胞肺癌一线治疗有效性和安全性的随机、双盲、Ⅲ期研究(ORIENT-12,CIBI308C303;图6)”。参加临床试验后进行PD-L1检测,结果示:肿瘤细胞中PD-L1蛋白表达<1%。

image009.png

图5.患者肿瘤复发转移

image011.png

图6.ORIENT-12研究设计

2018年10月16日起,患者接受信迪利单抗(200mg,d1)/安慰剂+吉西他滨(1650mg,d1,d8)+顺铂(122mg,d1)治疗4周期。用药2周期后,于2018年11月28日进行疗效评价为PR(图7)。期间患者出现Ⅱ度骨髓抑制,给予升白细胞等治疗后恢复。4周期治疗结束后,2019年1月12日再次进行疗效评价为PR(图8),治疗期间患者无明显不良反应。1月12日起,患者接受信迪利单抗(200mg,d1)/安慰剂维持治疗,共16周期,末次治疗时间为2020年2月3日,疗效PR(图9),PFS超过15个月,患者生活质量较前明显改善。维持治疗期间,患者每次输注临床用药后均有轻度的皮肤瘙痒症状,2-3天后缓解,考虑1级不良反应。

image013.png

图7.患者入组临床试验治疗2周期后疗效评价为PR

image015.png

图8.患者2019年1月和3月影像学资料

图9.维持治疗期间定期进行疗效评价,患者肿瘤持续PR中

病史小结

image021.png

专家点评

               
杨志雄
教授 主任医师 硕士研究生导师

广东医科大学附属医院肿瘤中心副主任、肿瘤教研室副主任、肿瘤一区(肺肿瘤病区)科主任
广东省医师协会放射治疗医师分会常委
广东省医学会放射肿瘤学分会常委
广东省抗癌协会放射肿瘤专业委员会常委
广东省胸部肿瘤防治研究会副理事长
广东省抗癌协会肺癌专业委员会委员
香港医学科学院资深院士
广东省胸部肿瘤防治研究会粤西分会会长
广东抗癌协会癌症康复与姑息治疗专业委员会粤西分会副主任委员
湛江市医学会肿瘤学会副主任委员
湛江市肺癌诊治中心负责人

由于晚期肺鳞癌患者的驱动基因靶点少,因此只有极少部分患者能够从靶向治疗中获益,一直以来,含铂双药化疗便是晚期肺鳞癌患者有限的治疗选择,然而化疗疗效有限,晚期肺鳞癌患者急需更好的治疗手段。近年来,以PD-1/PD-L1单抗为代表的免疫治疗为晚期恶性肿瘤患者带来新的希望,对于肺鳞癌患者同样如此,不论是二线治疗、还是一线治疗,晚期肺鳞癌患者均能从免疫治疗中获益,成为新的治疗选择。

信迪利单抗是由信达生物和礼来公司共同研发的具有国际品质的PD-1单抗,能特异性结合T细胞表面的PD-1分子,从而阻断导致肿瘤免疫耐受的 PD-1/PD-L1通路,重新激活淋巴细胞的抗肿瘤活性,从而达到治疗肿瘤的目的。目前信迪利单抗已经在国内获批用于至少经过二线系统化疗的复发或难治性经典型霍奇金淋巴瘤的治疗,并且也是首个、目前唯一一个进入国家医保药品目录的PD-1/PD-L1单抗。

早期的临床研究显示信迪利单抗在晚期NSCLC中同样有非常好的抗肿瘤疗效,在此基础上,信迪利单抗在肺癌领域开展了多项Ⅲ期临床研究,其中包括ORIENT-12研究。该研究是一项在中国开展的评估信迪利单抗或安慰剂联合吉西他滨和铂类化疗用于晚期或复发性鳞状细胞NSCLC一线治疗有效性和安全性的随机、双盲、Ⅲ期临床研究。值得注意的是,该研究也是全球首个抗PD-1单抗联合吉西他滨和铂类方案治疗晚期鳞状NSCLC的Ⅲ临床期研究。

本案例中,患者术后复发后,经过严格的筛选,最终入组ORIENT-12研究,接受治疗后取得非常好的疗效,肿瘤显著缩小,疗效PR,更加惊艳的是其PFS已经超过15个月,目前患者仍在接受治疗中。由于未揭盲,患者接受的具体治疗方案仍未知,但从多个角度判断,患者极大可能是接受的信迪利单抗治疗。首先,患者取得了非常长的无进展生存期,从近年来的临床研究数据上观察,含铂双药化疗一线治疗晚期肺鳞癌的中位PFS在5~6个月左右[1,2];其次,患者在维持治疗阶段,每次用药后出现1级的皮肤不良反应,2~3天后缓解。当然严格意义上,患者所接受的治疗方案只有在揭盲之后医生才能最终确定,后续我们也会继续继续随访跟踪。最后也期待ORIENT-12研究能够取得阳性结果,为国内晚期肺鳞癌患者增添新的治疗选择,造福更多患者。

参考文献

1.Paz-Ares L,Vicente D,Tafreshi A,et al.Pembrolizumab(pembro)+chemotherapy (chemo) in metastatic squamous NSCLC:final analysis and progression after the next line of therapy(PFS2) in KEYNOTE-407[EB/OL].ESMO 2019,abstract LBA82.

2.Cappuzzo F,Jotte R,Vynnychenko I,et al.IMpower131:final OS results of carboplatin+nab-paclitaxel±atezolizumab in advanced squamous NSCLC[EB/OL].WCLC 2019,abstract OA14.02.

责任编辑:Zack   
排版编辑:细胞田

相关阅读