您好,欢迎您

信迪利单抗联合靶向和局部治疗用于Ⅲb期肝癌患者,展现出良好效果

2019年11月26日
整理:肿瘤资讯
来源:肿瘤资讯

经导管动脉栓塞化疗(TACE)是不可切除中晚期肝癌的主要治疗手段。近年来,TACE治疗与其他局部治疗手段及系统治疗的联合受到广泛关注,如TACE联合射频或微波消融治疗,可以有效控制局部肿瘤的生长;联合全身治疗则可能有助于全身疾病的控制,增加生存获益。本文将介绍一例TACE联合微波消融和信迪利单抗+仑伐替尼治疗Ⅲb期肝癌的病例。

病例介绍

基本情况

患者,男,59岁。2017年体检发现肝占位,期间间断复查未治疗,无特殊不适。2019年3月21日外院检查提示:肝右叶实质性占位,转移瘤待排。既往乙肝史20余年,长期服用恩替卡韦治疗,吸烟史20余年。

入院实验室检查

血常规、肝功能、凝血功能:正常。7种微小核糖核酸(miRNA)检测:1.25;结果判断为阳性。肿瘤标志物:甲胎蛋白(AFP): 418.8ng/ml;癌胚抗原: 2.8ng/mL;糖类抗原19-9: 43.7U/mL;异常凝血酶原(PIVKA-Ⅱ):40208mAU/ml。

入院影像学检查

上腹部增强MRI:肝右叶肿瘤,大小约9.6cm×9.5cm,肝右静脉受侵,下腔静脉瘤栓可能,肝囊肿,见图1;肝脏弹性成像超声示:肝右叶弹性硬度测值平均为11.8kPa,考虑肝硬化。

初步诊断:

肝细胞癌;BCLC C期,T4N0M0,Ⅲb期;ECOG评分0分;乙肝后肝硬化,Child-Pugh A级。

image001.png

图1. 入院后MRI检查

治疗经过

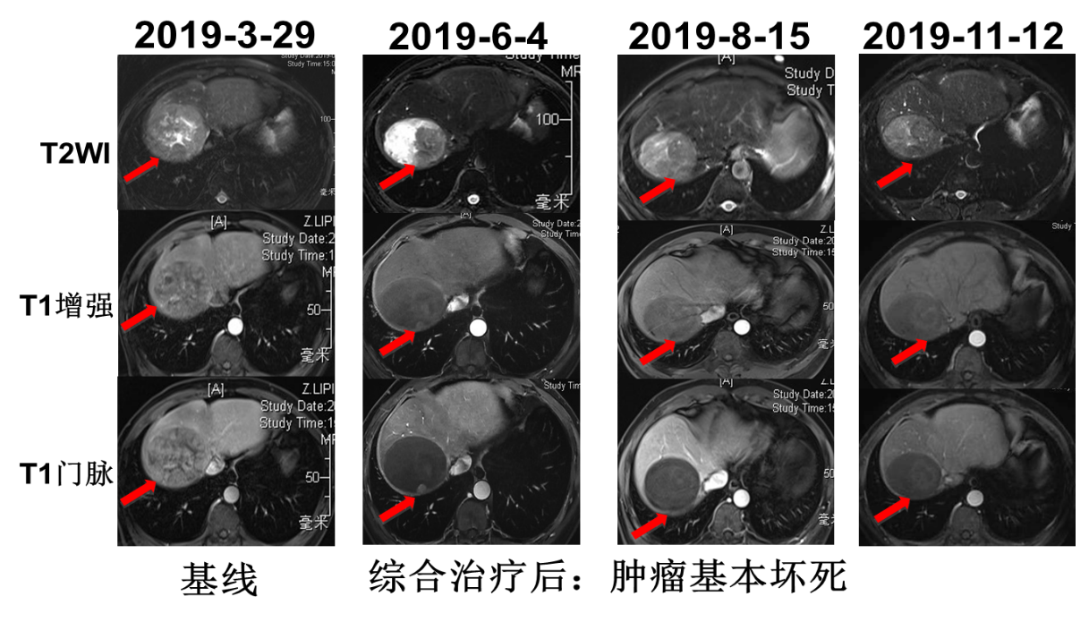
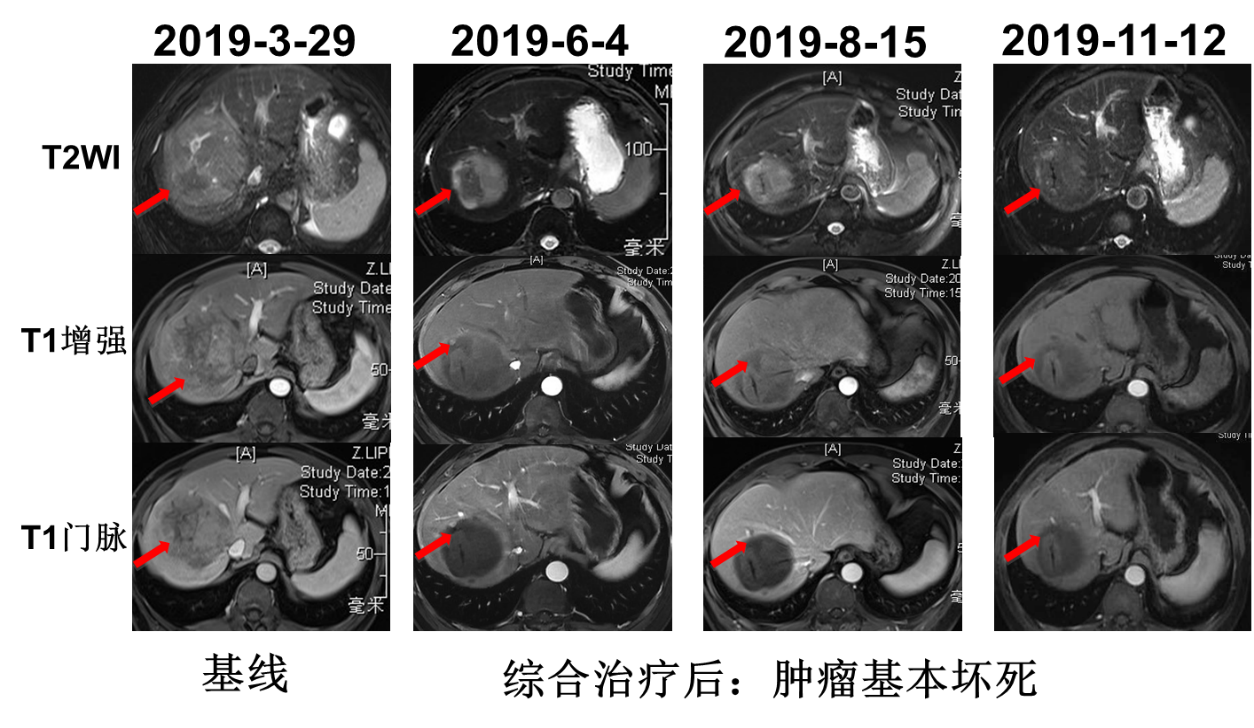
2019年4月2日行TACE+肝肿瘤微波消融术,5月6日起予以信迪利单抗治疗(200mg q3w ivgtt)联合仑伐替尼(12mg qd po),5月10日复查AFP降为正常(10.3ng/ml),PIVKA-Ⅱ降至3352 mAU/ml。6月4日复查肝脏MRI:mPR,局部强化结节,下腔静脉癌栓较前有所好转。7月2日再次行TACE术。术后于7月8日~9月16日行信迪利单抗注射4周期。8月15日复查MRI:mPR,强化结节好转,下腔静脉癌栓有所好转。8月19日复查PIVKA-Ⅱ进一步降至1202mAU/ml。11月12日复查AFP 12.4ng/ml,PIVKA-Ⅱ 1784mAU/ml,MRI提示病灶稳定。治疗经过见图2。MRI疗效评估见图3、图4、图5。

image002.png

图2. 治疗经过示意图

image003.png

图3. MRI疗效评估

image004.png

图4. MRI疗效评估

image005.png

image006.png

图5. MRI疗效评估

总结

患者为中老年男性,既往有乙型病毒性肝炎病史及抽烟史。2019年3月MRI检查发现右肝占位。肿瘤标志物检测结果AFP为418.8ng/mL;PIVKA-Ⅱ:40208mAU/ml,结合患者病史及影像学检查诊断为肝细胞癌。肿瘤的分期对于预后以及治疗方案的制定具有重要的指导作用,肝细胞癌的分期标准比较多,常用的有巴塞罗那(BCLC)分期和TNM分期,本例患者根据巴塞罗那分期定为C期;TNM分期为T4N0M0,IIIB期。患者的体能状态评价根据ECOG标准评分为0分;肝功能化验无明显异常,Child-Pugh 评级为A级。总体来说,患者肝脏病灶局限,无远处转移,并且体能状态以及肝功能良好,于2019年4月2日针对肝脏病灶行TACE+肝肿瘤微波消融术,术后1个月起(5月6日)信迪利单抗联合仑伐替尼治疗,5月10日复查肿瘤标志物明显降低。6月4日复查发现原病灶周边强化结节,于是再次行TACE治疗,术后继续给以信迪利单抗联合仑伐替尼治疗。2019年8月15日复查,MRI显示原病灶强化结节及下腔静脉癌栓有所好转。至11月12日,信迪利单抗治疗已10个周期,复查肿瘤标志物及MRI均提示病灶稳定。

专家点评

点评专家:复旦大学附属中山医院肝肿瘤外科 高强教授

肝癌是目前唯一可以通过临床诊断获得确诊的实体肿瘤。我国肝癌患者多有 HBV 或 HCV 感染病史以及肝硬化背景、AFP升高(≥400ng/ml)、 影像学(CT/MRI/普美显MRI/超声造影)有典型的“快进快出”的特征表现,即增强动脉期病灶明显强化、门脉期或延迟期减退。本例患者结合肝癌发生的慢性乙型病毒性肝炎背景以及影像学特征可以做出临床诊断。

2018年《中国肝细胞癌经动脉化疗栓塞治疗(TACE)临床实践指南》指出, 局部消融治疗(包括射频消融、微波消融等)是小肝癌的根治性治疗手段之一,通常适用于直径≤5cm单发肿瘤或肿瘤数目≤3个,且每个直径≤3cm患者。对于小肝癌(≤3cm)射频消融术与微波消融术的远期疗效与肝移植或肝切除相似。对于直径>5cm 的肿瘤则不推荐单纯施行消融治疗,可根据患者肝功能状况采用消融联合血管内介入的联合治疗方式。

本例患者肝右叶病灶孤立并且直径较大,肝功能良好,可采用联合治疗手段有效控制局部肿瘤。患者术前检查有肝右静脉受侵,下腔静脉癌栓可能,对于具有血管侵犯的患者而言,应考虑全身系统治疗。分子靶向药物索拉非尼、仑伐替尼等推荐用于伴有血管侵犯或远处转移且肝功能储备较好的肝癌一线治疗,与安慰剂相比,可显著延长晚期肝癌患者的生存期。近年来,免疫治疗开始在肝癌治疗中崭露头角,基于Checkmate 040和KEYNOTE-224研究,纳武利尤单抗和帕博利珠单抗获批肝细胞癌二线治疗适应证。但今年公布的CheckMate-459和 KEYNOTE-224研究结果均未达到总体生存获益的研究终点,提示单药免疫检查点抑制剂治疗的局限性。基于靶向治疗和免疫治疗单药的有效率均相对较低,近年来,不断有研究探索靶向与免疫联合治疗的疗效并已经取得了有希望的初期成果。如今年AACR大会上报道的Ⅰb期KEYNOTE-524研究中,仑伐替尼联合帕博利珠单抗治疗晚期不可切除肝细胞癌患者,研究者和独立第三方影像学评估的客观缓解率(ORR)分别达到36.7%和50%,远超过既往靶向和免疫单用的ORR。仑伐替尼+帕博利珠单抗用于晚期肝癌一线治疗已获美国FDA突破性疗法认定。

TACE联合靶向治疗具有协同作用。TACE治疗后会导致肿瘤细胞及周围组织缺氧,进而促进新生血管形成,使得肿瘤易于复发、转移。而抗血管生成靶向药物则可能会降低TACE术后VEGFR的水平,从而在治疗上达到与TACE互补的作用。TACTICS研究已经证实了TACE联合索拉非尼较单用TACE对于中期肝细胞癌的疗效优势。

而TACE联合免疫治疗也是较有前景的组合。具有低突变负荷和较少新抗原的肿瘤通常具有较低的免疫原性,并且对检查点抑制剂没有/低响应(或初级抗性)。局部治疗和放射疗法会诱导炎症,产生刺激新抗原释放到血流中。因此,预计检查点抑制剂与局部区域治疗的组合将增强对检查点抑制剂的敏感性。该组合可以增强局部肿瘤控制和全身抗肿瘤效果。目前,TACE联合免疫治疗正在进行相关的研究探索。

综合考虑患者的疾病特点、身体状况和现有的研究数据,我们选择了局部治疗与全身治疗联合的综合治疗模式,全身治疗选择靶向与免疫治疗联合。在具体的药物选择上,考虑到患者的经济承受能力和性价比,免疫治疗选用了国产的信迪利单抗。在既往的数据中,信迪利单抗的安全性与其他获批的PD-1单抗一致,2018年在中国获准用于复发/难治性霍奇金淋巴瘤的治疗,其在各个瘤种临床治疗及临床试验中展示了不俗的成绩。2018年CSCO会议发布的Ⅰ期临床试验结果显示,信迪利单抗对晚期肝细胞癌的ORR达到15.7%,表现出与帕博利珠单抗、纳武利尤单抗类似的疗效特征,总体的安全性与耐受性良好,严重免疫相关不良事件发生率低。

本案例患者通过局部治疗(TACE+消融治疗)联合免疫和靶向治疗,达到了肝脏肿瘤7个多月的控制。晚期肝癌患者的治疗选择,需要由经治医生从疗效、毒副反应甚至经济因素方面进行综合考量,最后做出最佳选择。

               
高强 教授

复旦大学附属中山医院肝脏外科 副主任医师、博士生导师
长江学者奖励计划“特聘教授”
万人计划青年拔尖人才、国家优秀青年科学基金、全国青年岗位能手
上海市优秀学科带头人、优秀学术带头人、曙光学者
中国抗癌协会青年理事会理事
中国医师协会医学机器人分会肝胆外科学组委员
中国研究型医院学会消化外科分会委员
中国医师协会胆道外科医师分会青年委员
白求恩公益基金会肝胆专业委员会委员
上海市抗癌协会胆道肿瘤专业委员会委员

评论
2020年06月24日
张庆民
胜利油田中心医院 | 肿瘤科
己学习分享
2020年06月17日
高香群
泰和县人民医院 | 肿瘤科
学习了
2020年05月18日
阙 丽 琳
玉林市第一人民医院 | 肿瘤内科
仑伐替尼+帕博利珠单抗用于晚期肝癌一线治疗已获美国FDA突破性疗法认定。