您好,欢迎您

新手妈妈患肺淋巴上皮瘤样癌,信迪利单抗治疗获PR疗效

2019年11月05日
病例分享:林立 南方医科大学南方医院
点评专家:马树东 南方医科大学南方医院

肺淋巴上皮瘤样癌是一种相对罕见,常发生在不吸烟的年轻患者,与EBV感染有一定关系的癌症,2015版WHO肺部肿瘤指南将其分类归为“其他和未分类癌”。由于其罕见性,关于肺淋巴上皮瘤样癌的研究并不十分普遍,其治疗也主要参照文献进行。免疫治疗进入临床应用之前,放化疗是肺淋巴上皮瘤样癌患者主要的治疗方式。本文主要讲述了由南方医科大学南方医院带来的一例晚期肺淋巴上皮瘤样癌伴多发转移,对化疗应答存在显著异质性,一线二线治疗均进展后经信迪利单抗免疫治疗全部原发灶和转移灶取得部分缓解(PR)疗效的临床经典病例。

病史介绍

1、患者基本情况

  • 女性,26岁,非吸烟患者

  • 因“咳嗽、咳痰3月,发现双肺、肝多发占位1天”入院

  • 患者2018年9月无明显诱因出现咳嗽、咳少量白痰,无咯血、胸痛、胸闷,无畏寒、发热、盗汗等不适。因患者当时怀孕6月余,当地仅予对症处理,未行进一步检查。但症状持续无缓解。

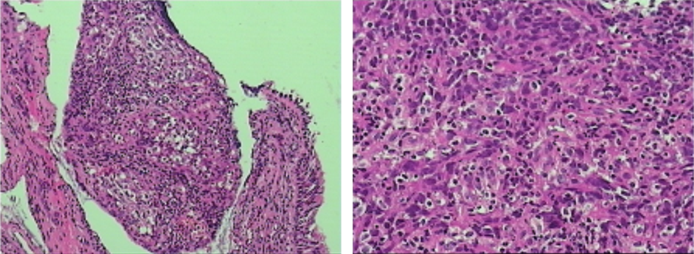
  • 2018-12-17患者顺产1足月女婴,次日就诊于当地医院,查胸片发现右肺占位性病变。肿瘤标志物检测提示:CA15-3、CA125、Cyfra21-1、TPS升高(表1)。CT检查提示1.右肺上叶近肺门处团块状软组织密度影,考虑中央型肺癌可能,伴阻塞性肺炎,并纵隔内、双侧肺门多发淋巴结转移,双肺、肝脏多发转移瘤;L1椎体及左侧附件密度增高,考虑为转移瘤;2.脾大(图1);头颅MRI检查提示头颅MRI未见占位性病变。气管纤维支气管镜检查提示右主支气管新生物生长,表明凹凸不平,触之易出血,予活检及肺泡灌洗;隆突粘膜改变,肿瘤浸润可能。送检(右主支气管)组织内见部分瘤细胞呈巢团状排列,异型明显,胞浆丰富、红染,核异型性明显核仁可见,间质纤维组织增生伴大量淋巴细胞浸润(图2)。免疫组化:CK(+)、CK7(-)、TTF(-)、P40(+)、CK5/6(部分+)、Ki-67(+, 80%) 。原位杂交:EBER(+)。免疫组化 (补,22C3):PD-L1 (+, 95%)病理诊断考虑淋巴上皮瘤样癌。

  • 临床分期:右肺中央型淋巴上皮瘤样癌 T4N3M1c(双肺、肝脏、骨),ⅣB期,PD-L1表达程度95%。

  • 患者平素体健,个人史、家族史无特殊。

表1 患者肿瘤标志物检测

微信截图_20191018180324.jpg

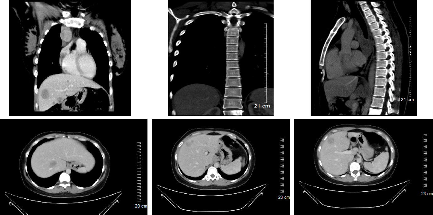
图1 患者基线肺部CT影像,右肺上叶近肺门处团块状软组织密度影,考虑中央型肺癌可能,伴阻塞性肺炎,并纵隔内、双侧肺门多发淋巴结转移,双肺、肝脏多发转移瘤;L1椎体及左侧附件密度增高,考虑为转移瘤;脾大

图2 纤维支气管镜组织活检病理图像,病理诊断考虑淋巴上皮瘤样癌

2、治疗史

一线治疗

患者于2018-12-26、2019-01-19分别行第1-2周期TC方案(紫杉醇脂质体+卡铂,每3周1次),患者基线和化疗后肿瘤标志物变化如图3所示,肺和肝脏病灶变化影像如图4所示,2019-02-18复查CT提示肺部病灶稳定(缩小),肝脏病灶增多增大,总体疗效评价疾病进展(PD)。

image007.png

图3 患者基线和化疗后肿瘤标志物CA15-3、CA125、Cyfra21-1、TPS表达水平变化折线图

image009.jpg

图4 患者基线和化疗后肺部病灶和肝脏病灶对比影像,肺部病灶缩小,肝脏病灶增多增大

二线治疗

2019-02-19、2019-03-14行二线贝伐珠单抗+多西他赛化疗(贝伐珠单抗+多西他赛,每3周1次)。2019-03患者开始出现腰部疼痛,考虑为L1椎体骨转移导致,2019-03-19开始行腰骶部局部放疗,2019-04-04复查CT结果如图5所示,肺部病灶稳定(部分缩小),肝脏病灶增多增大、T9-T12椎体新发转移瘤,总体疗效评价(PD)。

image011.jpg

图5 2019-04-04复查胸腹部CT结果影像,结果显示肺部病灶稳定(部分缩小),肝脏病灶增多增大、T9-T12椎体新发转移瘤

三线治疗

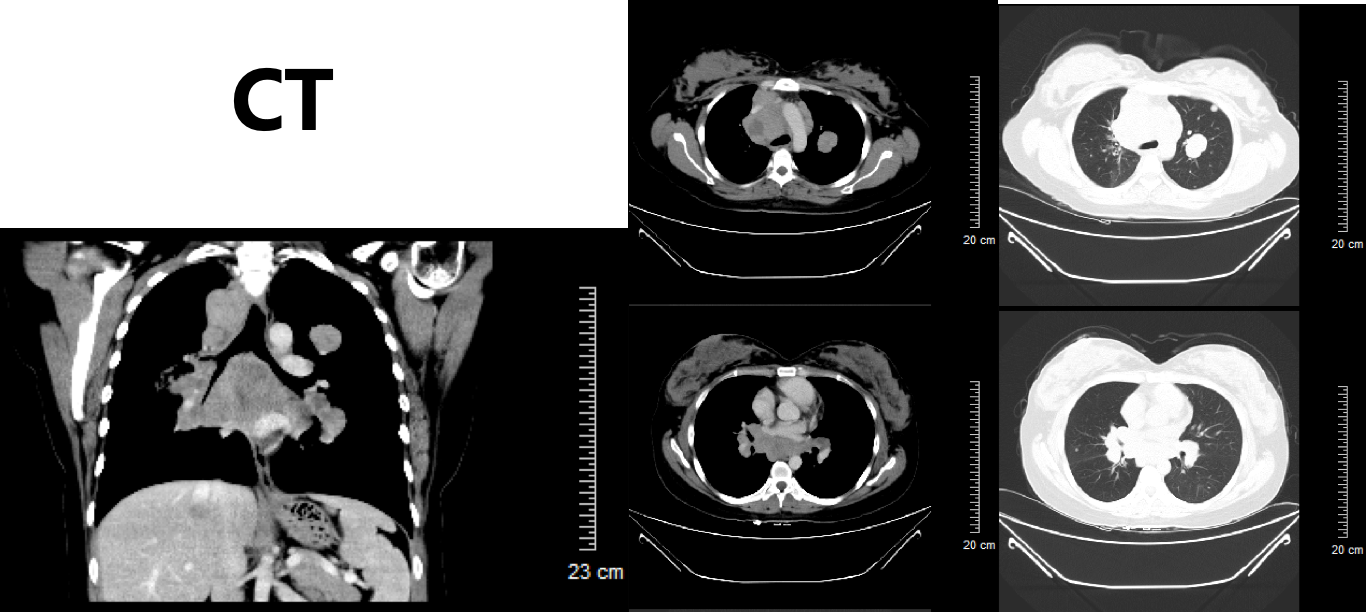
患者初治时行PD-L1(22C3)检测提示PD-L1高表达为95%,故建议患者行三线免疫治疗。由于药物可及性,患者综合考虑后,选择信迪利单抗。患者于2019-04-04、2019-04-26、2019-05-18分别行第1~3周期免疫联合化疗三线方案(信迪利单抗+白蛋白紫杉醇 ,每3周1次)。2019-05-18复查肺部CT如图6所示,2019-05-18复查CT:肺部病灶较前明显缩小,阻塞性肺炎较前好转、肝脏病灶较前明显缩小。T2、T9-L2椎体及L2左侧附件多发骨转移同前。

图6 2019-05-18复查胸腹部CT提示肺部病灶较前明显缩小,阻塞性肺炎较前好转、肝脏病灶较前明显缩小。T2、T9-L2椎体及L2左侧附件多发骨转移基本同前

患者于2019-06-12、07-08继续行第4-5周期三线方案(信迪利单抗+白蛋白紫杉醇 ,每三周一次),2019-07-26复查胸腹部CT提示,肺部病灶较前明显缩小,肝脏病灶较前明显缩小。T2、T9-L2椎体及L2左侧附件多发骨转移同前(图7)。患者肿瘤标志物也基本呈现下降趋势(图8),疗效评价为(PR)。

image027.jpg

image029.jpg

图7 2019-07-26复查胸腹部CT提示,肺部病灶较前明显缩小,肝脏病灶较前明显缩小。T2、T9-L2椎体及L2左侧附件多发骨转移同前

image031.png

图8 患者基线和治疗过程中肿瘤标志物CA15-3、CA125、Cyfra21-1、TPS表达水平变化折线图

总结

年轻、非吸烟女性患者,首诊为右肺中央型淋巴上皮瘤样癌 T4N3M1c(双肺、肝脏、骨),ⅣB期,PD-L1表达程度为95%。一线TC方案化疗后病灶疗效应答异质性明显,肺部病灶缩小,肝脏病灶增大增多。二线采用贝伐珠单抗+多西他赛治疗,同样肺部病灶部分缩小,肝脏病灶增多增大、T9-T12椎体新发转移瘤。三线采用接受信迪利单抗联合化疗,肺部病灶较前明显缩小,肝脏病灶较前明显缩小,T2、T9-L2椎体及L2左侧附件多发骨转移同前,所有原发灶和转移灶均得到控制,且肿瘤标志物成持续下降趋势并保持稳定,疗效评价为PR。

专家点评

该患者为一例年轻、女性、非吸烟患者,首诊即为Ⅳ期,且为罕见病理类型——肺淋巴上皮瘤样癌,同时伴双肺、肝脏和骨多发转移,系统治疗为其首选治疗方式。既往文献显示紫杉醇联合铂类是该患者一线治疗可选较优方案,但是患者一线采用TC(紫杉醇+卡铂)治疗后肺部原发灶和转移灶呈现明显的疗效异质性,二线贝伐珠单抗+多西他赛的治疗疗效同样原发灶和转移灶异质性显著,究其原因,考虑为淋巴上皮瘤样癌本身为异质性显著的一种罕见类型的肺癌。Natural Communication上的一篇文献(Nat Commu. 2019;10:3108)详细分析了淋巴上皮瘤样癌的基因谱,揭示了淋巴上皮瘤样癌基因谱的异质性和特异性,这可能是原发灶和转移灶治疗疗效存在差异的分子机制。

免疫检查点抑制剂作为一种泛瘤种的治疗方式,主要通过调节自身的免疫系统从而达到杀灭肿瘤细胞目的,使肺癌的治疗从靶向治疗时代迈入了免疫治疗时代,也为无驱动基因突变的肺癌患者提供了一种新的治疗方式。2012年Clinical Lung Cancer杂志发表的一篇关于肺淋巴上皮瘤样癌患者转归的文章(Clin Lung Cancer. 2012;13(5):359-62)显示,即使是局部晚期和晚期的患者,仅仅化疗和局部治疗手段患者的预后也是相对较好的。而免疫治疗的出现为该类患者的治疗带来了新的希望,有望进一步改善患者的生存预后。个案报道(Clin Lung Cancer. 2019;20(3):e238-41;Immunotherapy. 2017;9(12):955-1)显示免疫检查抑制剂在PD-L1表达大于50%的淋巴上皮瘤样癌患者的治疗中同样疗效令人瞩目,因此,对于PD-L1高表达的患者推荐PD-1单抗免疫治疗。这例患者患者PD-L1高表达(95%),三线治疗可以尝试接受免疫治疗。患者三线接受了信迪利单抗联合化疗,取得了大PR的疗效,肺部病灶明显缩小。信迪利单抗作为国产PD-1单抗的代表,具有以下两大大特性:第一,高结合力,临床前研究显示其亲和力比帕博利珠单抗高10倍,比纳武利尤单抗高50倍,可以更高效的特意的竞争抑制PD-1与PD-L1和PD-L2的结合。第二,高靶点占有率和低免疫原性,可以减少T细胞的耗减。临床研究也进行一步证实了信迪利单抗与同类药物相比,具有相当的疗效。在晚期NSCLC中,信迪利单抗已经开展了进多项研究探索,包括联合化疗用于晚期NSCLC一线治疗。在2018年的CSCO大会上,一项队列研究探讨了信迪利单抗联合培美曲塞+顺铂联合方案的疗效,在疗效可评价的19例患者中,有12例取得部分缓解(PR)、4例取得疾病稳定;总体缓解率(ORR)达到68.4%,目前PFS和OS数据尚未成熟。这例晚期淋巴上皮瘤样癌患者,三线接受了信迪利单抗联合化疗,并取得大PR的疗效,为这类相对罕见肿瘤带来生的希望,非常鼓舞人心。

 点评专家

               
马树东 教授

主任医师 博士研究生导师
南方医科大学南方医院肿瘤科 副主任
美国南加州大学Norris综合癌症中心 副研究员
广东省胸部疾病学会肺癌MDT专业委员会
副主任委员
广东省胸部疾病学会免疫学专业委员会 常委
广东省医师协会肿瘤科分会 常委
广州抗癌协会肺癌专业委员会 常委
广东省医药企业管理协会成果转化应用分会 常务理事
广东省抗癌协会食管癌专业委员会 委员
中国欧美同学会·广东分会  理事
美国临床肿瘤协会(ASCO)会员
欧洲肿瘤内科学会(ESMO)会员
美国胸科协会(ATS) 会员

病例分享

               
林立 教授

南方医科大学南方医院肿瘤科 副教授 硕士生导师
中国抗癌协会肿瘤临床化疗专业委员会青年委员会委员
广东省预防医学会肿瘤防治专业委员会委员
2014年博士毕业于南方医科大学临床医学(八年制),现主要从事肿瘤内科的临床、科研和教学一线工作。科研方向主要围绕肿瘤转移和应激微环境开展研究。
主持国家自然科学基金、广东省自然科学基金、广东省教育厅青年创新人才、中国博士后科学基金、广州市“珠江科技新星”等项目9项。以第一作者或通讯作者在Oncogene、Theranostics、Cell Death Dis等杂志发表研究性论文7篇,发表美国临床肿瘤学会(ASCO)年会会议摘要2篇,授权国家发明专利2项。         

评论
2022年08月29日
戴明
厦门市中医院 | 肿瘤科
挺有意思的,一线到三线,不同类型的紫杉醇轮番上场!
2021年06月23日
司瑞丽
济宁肿瘤医院 | 肿瘤科
学习了
2020年07月10日
余娜莎
江西省肿瘤医院 | 肿瘤内科
学习