您好,欢迎您

信迪利单抗联合仑伐替尼用于晚期肝内胆管细胞癌,疗效获PR

2019年10月25日
整理:肿瘤资讯
来源:肿瘤资讯

肝内胆管细胞癌是原发性肝癌的一种少见类型,临床症状不明显,故确诊时往往已处于晚期,其病程短、进展快,手术切除率低,预后不良。由于肝内胆管细胞癌易出现早期淋巴结转移,即使是早期患者,1年内的术后复发率也很高,因而积极探索各种综合治理措施,以期提高疗效,成为临床医生关注的重点。本文介绍的这例晚期肝内胆管细胞癌患者,以仑伐替尼联合信迪利单抗治疗,取得了满意的疗效。

病例介绍

基本情况

男性,59岁,吸烟30年,每日2支,戒烟1年;无肿瘤家族史及家族性遗传性疾病史。

2019年2月因右上腹部胀痛入院就诊,腹部CT示:肝左叶病变,最长径约为17.5cm。考虑为肝癌。超声:肝脏左叶巨大占位,考虑肝癌可能。2019年3月4日行开腹肝脏病灶活检术,术中所见:左肝可见巨大肿瘤,边界不规则,质地硬,右肝可见数枚质地硬,后腹膜可触及质硬淋巴结,固定,不活动。病理结果为胆管细胞癌。

基因检测结果:TMB 11.06mut/MB;MMR:pMMR;MSI:MSS。

2019年3月27日实验室检查:血常规:白细胞6×109/L,中性粒细胞计数4.2×109/L,血红蛋白141g/L,血小板171×109/L;生化:ALT 27u/L,白蛋白41.7g/L,肌酐 76umol/L;肿瘤指标:CEA、AFP、CA199在正常范围之内,CA125 83.1U/ml。

诊断:胆管细胞癌Ⅳ期(腹腔淋巴结转移),ECOG 1分。

诊断依据:1.肝穿刺活检病理示肝内胆管细胞癌;2.影像学检查示:肝脏巨大占位,腹腔淋巴结转移。

治疗过程

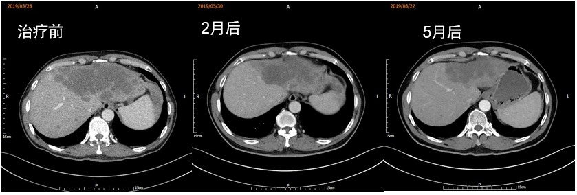
推荐免疫治疗,患者经过比较,选择信迪利单抗,2019年3月29日至今共行9周期信迪利单抗联合仑伐替尼治疗:信迪利单抗200mg/次,仑伐替尼12 mg/d,每3周为1个疗程。信迪利单抗用药时间分别为2019年3月29日、4月19日、5月10日、5月31日、6月21日、7月12日、8月2日、8月23日、9月13日。治疗2个月后复查,肝脏肿瘤较前明显缩小,综合评价PR;5个月后复查病灶相较前次继续缩小。治疗期间出现皮疹,但症状轻微。

11.jpg

总结

患者中老年男性,诊断为肝内胆管细胞癌伴腹腔淋巴结转移。基因检测结果示:TMB 11.06mut/MB;MMR:pMMR;MSI:MSS。患者无手术指征,一线方案采用信迪利单抗联合仑伐替尼治疗,期间出现皮疹,但症状轻微。患者用药后效果显著,2个月后复查肿瘤明显缩小,5个月后复查显示肿瘤较前继续缩小,综合评价PR。现仍行原方案治疗。

专家点评

               
陈超 教授

东部战区总医院(原八一医院)全军肿瘤中心内四科 主治医师
目前已发表论文十余篇,包括SCI文章5篇。分别在2013年、2015年参加CSCO举办的全国肿瘤学大会口头报道,2015年论文被选取参加在日本京都举办亚洲临床肿瘤学联盟(FACO)第三届年会,2016、2017年参加在新加坡举办的欧洲肿瘤内科学会亚洲区域大会(ESMO Asia)的壁报交流,2018年7月参加在日本神户举办的日本肿瘤内科年会(JSMO)壁报交流,同年10月参加日本横滨举办的亚洲临床肿瘤学联盟(FACO)第六届年会壁报交流。2019年7月参加日本京都举办的JSMO壁报交流。目前已成功申报医院青年基金项目2项,江苏省卫健委医学课题1项。

专家点评

本病例为晚期胆管细胞癌患者,以右腹部胀痛起病,CT检查发现肝脏左叶占位。对于原发性肝癌而言,肝细胞癌和肝内胆管细胞癌在影像学下鉴别诊断相对比较困难。血清甲胎蛋白(AFP)是目前诊断肝癌的重要指标和特异性最强的肿瘤标记物,其常用于肝癌的普查、早期诊断、术后监测和随访。但是,在肝内胆管细胞癌,高分化和低分化肝细胞癌,或已经坏死液化者,AFP均可以不增高。本案例中的患者AFP正常,并且,反映肝胆胰疾病的CA199也在正常范围内。在这种情况下,进行病理诊断是十分必要的。

目前手术仍然是胆管细胞癌主要治疗手段,早期手术治疗效果好。手术切除率为20%。但手术对于患者的体能状态、肝功能、肿瘤数目等都有一定的要求,对于很多晚期患者并不适用。

在药物治疗方面,最新2019版NCCN指南1类推荐吉西他滨联合顺铂(GP)为一线治疗方案。2010年来自欧洲的ABC-02及日本的BT22两项临床试验均证实,与吉西他滨单药相比,GP方案能明显延长患者的总体生存及无进展生存,从而奠定了其在晚期胆管细胞癌的一线治疗地位。但是GP方案也并非一线治疗的唯一方案,吉西他滨联合替吉奥或白蛋白结合型紫杉醇也显示出一定疗效,但是总体来说传统化疗疗效仍非常有限。二线治疗以氟尿嘧啶为基础,目前无标准方案。

近年来PD-1/PD-L1单抗临床效果不俗,已经被批准用于多种肿瘤的治疗。2019版NCCN指南推荐高度微卫星不稳定(MSI-H)的晚期胆管细胞癌患者一线可选择帕博利珠单抗治疗。但该病例为MSS型,单用免疫治疗并不适合。近期,免疫治疗与抗血管生成靶向治疗联合的研究探索在一些瘤种中取得了初期成果。

仑伐替尼是一种多激酶抑制剂,主要作用靶点为血管内皮细胞生长因子受体(VEGFR),血管内皮细胞生长因子(VEGF)通过抑制树突状细胞成熟下调T细胞活化,降低肿瘤中的T细胞浸润和增加肿瘤微环境中的免疫抑制细胞,从而介导免疫抑制效应。使用靶向VEGF或VEGFR的抗血管生成抑制剂后,有望改善肿瘤微环境,提高免疫治疗的疗效。在2018年ASCO-GI会议上报道了一项小样本研究,仑伐替尼联合PD-1抑制剂帕博利珠单抗/纳武利尤单抗治疗晚期肝内胆管细胞癌患者显示出了初步的治疗效果。研究共入组14例患者,先前均接受过≥2线治疗。结果显示,3例患者达到部分缓解(PR),客观缓解率(ORR)为21.4%,疾病控制率(DCR)达到93.0%。中位无进展生存期(PFS)达到5.9个月。通过二代测序结果进一步分层分析,高TMB值(TMB≥12)与更好的治疗反应和更长的PFS呈强相关性,提示TMB有可能作为判断预后的特征性标志。该研究中联合方案显示出了良好的安全性,即使对于这些肝功能较差的临床晚期患者,联合治疗方案也可耐受。

信迪利单抗是信达生物与国际制药巨头礼来合作的中国PD-1抑制剂,在既往的数据中,信迪利单抗的安全性与其他获批的PD-1单抗一致,2018年在中国获准用于复发/难治性霍奇金淋巴瘤的治疗,其在各个瘤种的临床治疗及临床试验中展示了不俗的成绩,且相比进口药物更具价格优势。本病例中,患者肿瘤为MSS型,TMB 11.06mut/MB,结合前述研究,选用了仑伐替尼联合信迪利单抗治疗。患者在应用信迪利单抗联合仑伐替尼治疗之后,效果显著,病灶明显缩小,虽出现皮疹但症状轻微,毒性可控。这证明,信迪利单抗联合仑伐替尼在晚期胆管细胞癌治疗中安全有效,在临床工作中,可以进行更多的尝试和探索。


评论
2021年03月15日
韩宪春
山西省中西医结合医院 | 肿瘤内科
学习了,谢谢分享
2020年09月10日
李潜
河南省肿瘤医院 | 肿瘤内科
学习了
2020年07月09日
陈志敏
徐州市中心医院 | 肿瘤内科
想知道这个病人现在的情况。