您好,欢迎您

信迪利单抗联合化疗用于晚期肺鳞癌二线治疗,肿瘤持续缓解7个月以上

2019年10月15日
整理:肿瘤资讯
来源:肿瘤资讯

免疫治疗引领晚期肺鳞癌的治疗变革,打破了过去20余年晚期肺鳞癌化疗为主的治疗模式。目前,PD-1单抗已经获批用于晚期肺鳞癌的治疗,并取得了显著的疗效。以下分享1例晚期肺鳞癌接受二线信迪利单抗联合化疗治疗的病例。

病史介绍

基本情况

男性,49岁,职业为教师。吸烟史30年,60支/日,饮酒史5年。因2018年12月初出现声音嘶哑,咳嗽、咳痰,呼吸困难伴右肩部疼痛于医院就诊。既往曾于20年前行“左肾结石手术”。否认肿瘤家族史和其他家族性遗传性疾病史。

辅助检查

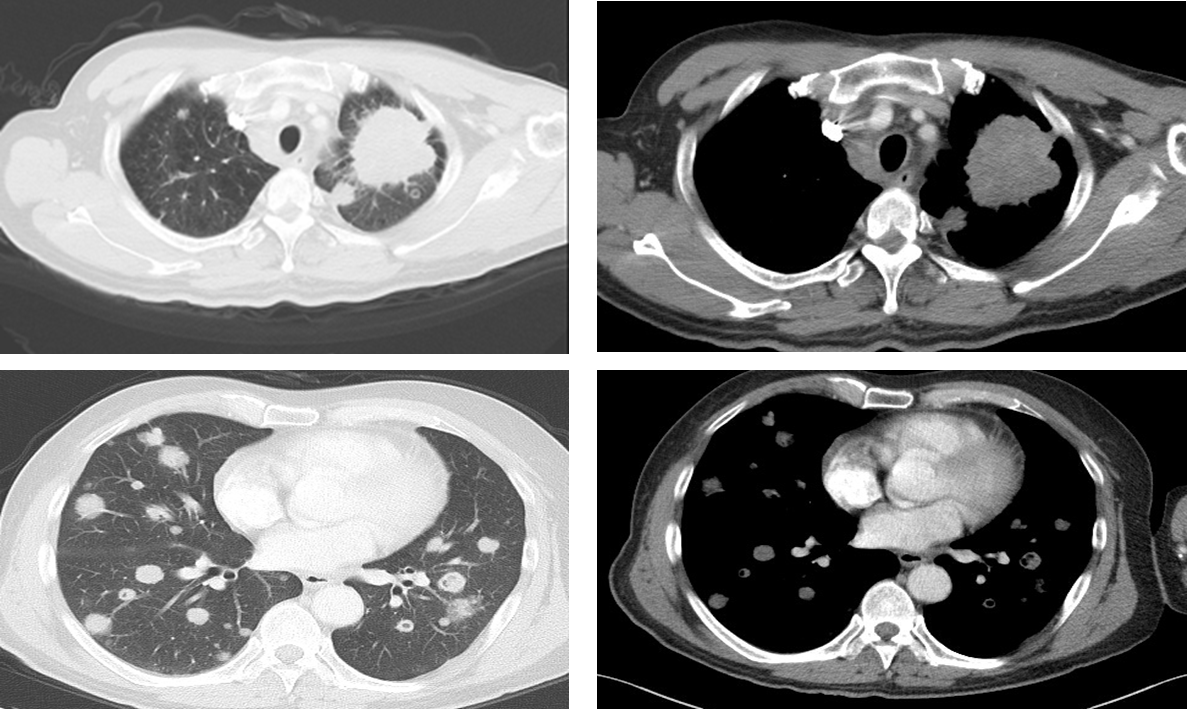
2018-12-25行胸部增强CT示:1.左肺癌并双肺及纵隔淋巴结转移;2.肺气肿,左侧叶间膜增厚;3.右肾萎缩。骨扫描:未见异常骨代谢。

2018-12-25颅脑MRI未见明显异常。

image001.png

图1. 2018-12-25行胸部增强CT

实验室检查:CEA 6.69ng/ml、NSE 51.27ng/ml,余血常规、血生化等无明显异常。2019-1-2接受 CT引导下左肺穿刺病理示:(左肺)低分化鳞状细胞癌。免疫组化结果为:PD-L1 TPS=0;NGS检查:TMB 7.58 Muts/Mb。诊断为:左肺鳞癌,cT4N3MIc,ⅣB期,纵隔淋巴结、双肺多发转移。

一线治疗

2019-1-8当地医院开始接受一线化疗2周期,方案为TP (多西他赛 120mg d1+洛铂 50mg d2)。化疗2个周期后于2019-02-18复查胸部增强CT示:左肺癌,双肺转移,左侧叶间胸膜增厚,考虑转移;双肺门、纵隔淋巴结转移。疗效评价结果:PD;PFS为1个月。

image003.png

图2. 一线化疗2个周期后复查

二线治疗

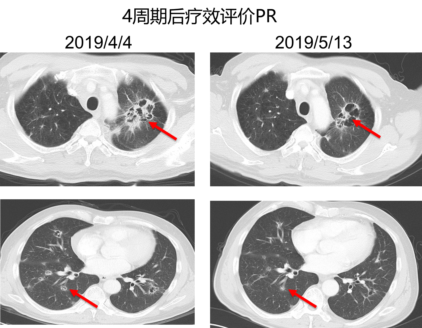
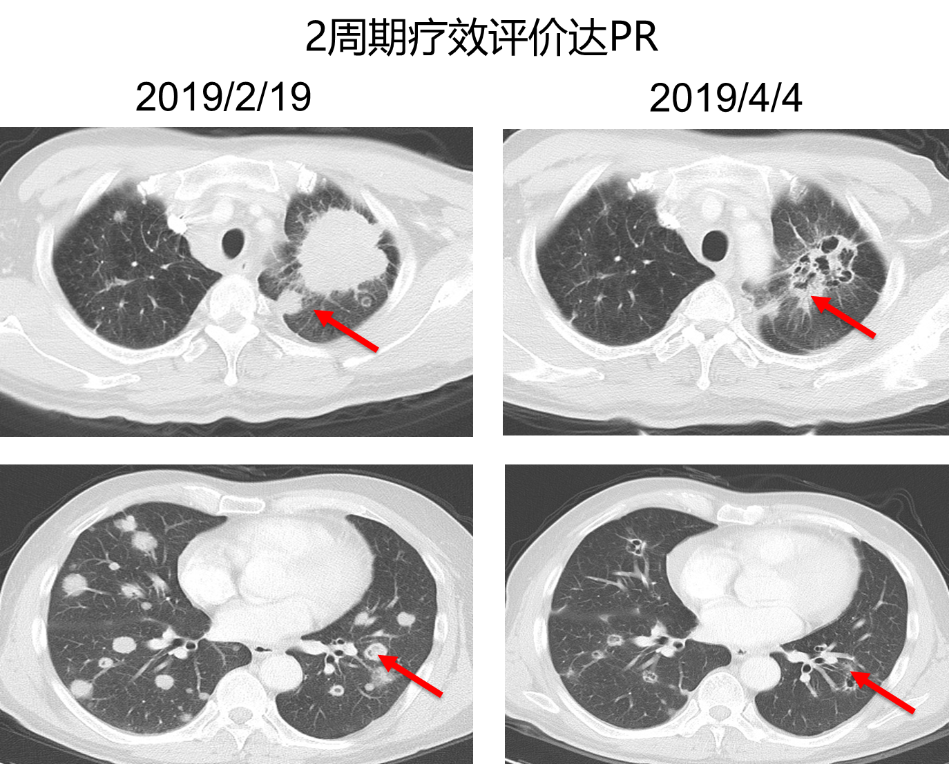
与患者沟通后,综合考虑疗效和性价比,二线治疗选择化疗+免疫治疗,具体方案为:白蛋白紫杉醇 200mg d1、d8+顺铂 40mg d1-3、信迪利单抗200mg d1,q3w,治疗2个周期后,复查胸部强化CT,病灶明显缩小,疗效评价结果为PR。治疗4个周期后,复查胸部CT,病灶继续缩小,疗效评价结果为维持PR。目前患者已经取得疾病缓解7.5月。

图3. 二线化疗+信迪利单抗治疗2周期后复查

图4. 二线化疗+信迪利单抗治疗4周期后复查

总   结

中年男性,重度吸烟。首诊晚期肺鳞癌,cT4N3MIc,ⅣB期,纵隔淋巴结、双肺多发转移。PD-L1 TPS=0;NGS检查:TMB 7.58 Muts/Mb。一线接受2个周期多西他赛 + 洛铂治疗,疗效评估PD,PFS 1个月。二线接受信迪利单抗+白蛋白紫杉醇顺铂方案治疗,2个周期后,疗效评价为PR;4个周期后复查,疗效评价维持PR,目前患者仍在持续缓解中,疗效持续时间已经达到7.5个月。

效评价为PR,目前已经接受了8个周期信迪利单抗治疗,疾病持续缓解中。

专家点评

点评专家:山东省肿瘤医院    朱慧教授

患者为老年男性,重度吸烟者,首诊晚期肺鳞癌,cT4N3MIc,ⅣB期,伴纵隔淋巴结、双肺多发转移。基因检测未发现有意义的驱动突变,PD-L1 TPS=0; TMB 7.58 Muts/Mb。依据指南推荐,患者规范接受了一线多西他赛+洛铂化疗,但2个周期化疗后疾病进展。依据指南推荐,二线治疗可以考虑接受PD-1单抗治疗。从既往临床研究数据可知,患者二线接受PD-1单抗单药治疗的有效率约为20%,相对较低。但联合化疗有望显著提高ORR,如KEYNOTE-407研究中,帕博利珠单抗联合化疗用于晚期肺鳞癌一线治疗,ORR达到58.4%,中位PFS为6.4个月,中位OS为15.9个月。考虑到患者对化疗的耐受性尚可,以及单药免疫治疗的有效率较低,因此二线治疗可以考虑接受免疫治疗联合化疗。在免疫药物的选择上,考虑到进口PD-1单抗的价格相对昂贵,患者难以负担,选择了信迪利单抗,作为国产PD-1单抗代表。信迪利单抗具有以下两大大特性:第一,高结合力,临床前研究显示其亲和力比帕博利珠单抗高10倍,比纳武利尤单抗高50倍,可以更高效的特意的竞争抑制PD-1与PD-L1和PD-L2的结合。第二,高靶点占有率和低免疫原性,可以减少T细胞的耗减。临床研究也进行一步证实了信迪利单抗与同类药物相比,具有相当的疗效。目前,信迪利单抗已经在多个瘤种开展相关研究,并获批用于淋巴瘤治疗。在晚期NSCLC中,信迪利单抗已经开展了进多项研究探索,包括联合化疗用于晚期NSCLC一线治疗。在去年的CSCO大会上报道的一项队列研究探讨了信迪利单抗联合培美曲塞+顺铂联合方案的疗效。这一队列入组21例患者,其中19例患者是疗效可评价的(至少接受了一个周期治疗的患者),在疗效可评价的19例患者中,有12例为部分缓解(PR)、4例为疾病稳定、3例为疾病进展;总体缓解率(ORR)是68.4%,目前PFS和OS数据尚未成熟。基于这一研究,目前信迪利单抗单药治疗晚期NSCLC的注册临床研究正在进行,值得期待。这例晚期肺鳞癌患者二线接受了信迪利单抗联合化疗,并取得PR的疗效,从真实世界角度验证了信迪利单抗+化疗方案的疗效,且目前患者仍在持续获益中,长期疗效值得期待。

图片10.jpg                
朱慧 教授

山东省肿瘤医院放疗科 副主任医师
山东大学临床副教授
山东大学、济南大学肿瘤学硕士研究生导师
美国斯坦福大学肿瘤中心访问学者(国家公派)
山东省肿瘤医院首届“十百千人才”
中国抗癌协会放疗专业委员会肺癌学组委员
中国抗癌协会放疗专业委员会青年副主任委员
中国老年医学会放疗专业委员会常务委员
山东省抗癌协会放疗专业委员会常委、青年副主任委员
山东省医师协会放疗专业委员会住培委副主任委员
山东省医学会肺癌多学科联合委员会委员                


评论
2020年06月27日
孙泽辉
唐山市第三医院 | 肿瘤外科
谢谢!
2020年03月04日
陈熙
南华大学 | 衡阳医学院
学习
2019年10月26日
邵丽娟
其他 | 销售部
学习了