您好,欢迎您

云霓之望——信迪利单抗二线治疗鼻咽癌,让患者更多获益

2019年10月11日
整理:肿瘤资讯
来源:肿瘤资讯

鼻咽癌是具有明确地方特色的瘤种,在中国广东等省份为鼻咽癌高发区。目前对于一线含铂方案化疗失败的复发转移性鼻咽癌,国内缺乏标准治疗方案。临床前研究发现,鼻咽癌表现出一定的免疫原性,如PD-L1高表达、肿瘤组织中伴有肿瘤浸润淋巴细胞(tumor infiltrating lymphocyte,TIL)浸润等。因此,鼻咽癌有望从免疫治疗中获益。本文分享一例转移性鼻咽癌患者,在疾病进展后接受全身化疗和局部放疗,病情再次进展,给予信迪利单抗治疗后,患者获得部分缓解。

病历介绍

基本情况

患者男性,50岁。2015年初发现左侧颈部淋巴结肿大并逐渐增大,伴左侧听力下降、耳鸣,其后出现左侧头痛、面麻、鼻出血。2015年6月在外院就诊,考虑诊断为鼻咽癌。2015年7月本院就诊,行鼻咽镜取活检示:(鼻咽活检)非角化性癌,未分化型,临床分期cT4N2M0。

根治性治疗

2015年6月25日至7月23日行GP方案诱导化疗2周期。2015年8月17日起行鼻咽根治性放疗 DT pGTVnx 70Gy/33F;pGTVrpn 70Gy/33F ;pGTVnd 68Gy/33F ;pCTV1 64y/33F; pCTV2 58Gy/33F; pCTV3 50Gy/25F;局部加量4Gy/2F。之后定期复查。

image003.png

图1 胸部CT(2018年8月7日)

一线治疗

2018年8月7日因进食梗阻感复查CT示:纵隔内淋巴结明显增多增大,较大者截面径约4.0cm×3.3cm,考虑转移。再次分期rⅣ期(纵隔淋巴结转移)。2018年8月—11月行一线GP方案4周期。2018年11月26日予以纵隔转移灶放疗50Gy/25F,期间同步顺铂化疗4次,每次40mg/㎡,因患者治疗期间出现Ⅳ度血小板减少、Ⅱ度白细胞减少,放疗完成23次。治疗后疗效评价PR。患者回当地医院行营养支持及对症治疗。

image005.png

图2 一线行4个周期GP化疗后胸部CT

2019年3月胸腹部CT检查发现肝脏、肝门区淋巴结、肺内出现新发转移病灶。患者出现贫血,消瘦,纳差,白天卧床时间大于50%,PS评分3分。

image009.png

图3  一线治疗进展后胸腹部CT

二线治疗

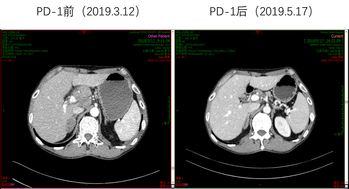
因患者PS评分差,故推荐单药PD-1单抗治疗,患者考虑后选择信迪利单抗。2019年3月20日开始使用信迪利单抗治疗1次,当日出现发热39.3℃,予以退热栓退热治疗后好转。4天后,患者PS评分明显好转,下床活动自如,食欲增强,PS评分由3分改善到1分。2019年4月11日和2019年5月1日分别再使用信迪利单抗治疗各1次。2019年5月17日复查腹部CT,肝脏病灶较前明显缩小,肝门淋巴结较前明显缩小;复查胸部CT,肺部病灶也较前明显缩小。总体疗效评价为PR。多次治疗中外周血EBV-DNA拷贝数检测结果显示,信迪利单抗治疗后EBV-DNA明显降低。

image013.png

图4 信迪利单抗治疗前后肝脏病灶明显缩小

image017.png

图5  信迪利单抗治疗前后肝门淋巴结明显缩小

image021.png

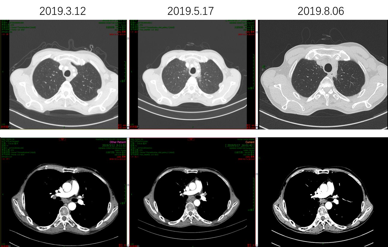
图6  信迪利单抗治疗前后肺部病灶明显缩小

image025.png

图7. 治疗过程中EBV-DNA水平变化

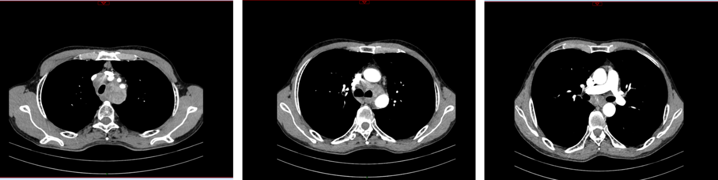
分别于2019年5月22日、2019年6月12日、2019年8月13日和2019年9月3日继续使用PD-1单抗治疗4次。治疗后复查,肝脏病灶和肝门淋巴结较前继续缩小,肺部结节较前也明显缩小。患者目前一般情况良好,体重较前有所增加,查血血常规、肝肾功能电解质,甲状腺功能,心肌酶等均正常范围,无发热、皮疹等不良反应。

图8 信迪利单抗继续应用肝脏病继续缩小

image027.png

图9. 信迪利单抗继续应用,肝门淋巴结继续缩小

image035.png

图10  信迪利单抗继续应用,肺部病灶继续缩小

image039.png

图11 治疗过程中EBV-DNA变化

患者目前一般情况良好,体重较前有所增加,无发热、皮疹等不良反应。常规复查血常规、肝肾功能、电解质、甲状腺功能、心肌酶谱等均处于正常范围。

总结

患者50岁中年男性,首诊局部晚期鼻咽癌cT4N2M0,行根治性放化疗,RFS 38个月。2018年8月出现纵隔淋巴结转移,诊断为Ⅳb期鼻咽癌,一线接受GP方案化疗后,并予以纵隔淋巴结转移灶放疗,获得PR,一线治疗PFS为7个月。2019年3月疾病出现快速进展,伴肝脏、肝门区淋巴结、肺内转移,PS评分降为3分。二线接受信迪利单抗治疗,第一次治疗后4天,患者PS评分明显好转,由3分改善到1分。治疗3次后复查,肝脏病灶、肝区淋巴结和肺部病灶均较前缩小;EVB DNA在信迪利单抗治疗后降低。继续接受信迪利单抗治疗4次后复查,肝脏病灶、肝区淋巴结和肺部病灶继续缩小,并且EBV-DNA水平降低。但是后期病毒有所升高,需进一步观察患者病情变化。目前患者一般情况良好,体重较前有所增加,未观察到免疫治疗不良反应,继续治疗随访中。

专家点评

点评专家:武汉协和医院 张占洁博士

患者中年男性,首诊为局部晚期鼻咽癌,接受规范化的根治性放化疗后,取得较好的疗效,PFS为38个月。遗憾的是,患者出现了疾病复发进展,根据指南推荐一线接受GP方案化疗,PFS为7个月。一线治疗完成后,患者病情再次进展,PS评分恶化为3分。目前对于一线含铂方案化疗失败的复发转移性鼻咽癌,国内缺乏标准治疗方案,指南推荐选择一线未使用的药物进行单药治疗。而近年来,PD-1单抗单药治疗显示了一定的抗肿瘤效果,可以进行相应的探索。

临床前研究发现,鼻咽癌表现出一定的免疫原性,如PD-L1高表达、肿瘤组织中伴有TIL浸润等,因此,鼻咽癌有望从免疫治疗中获益。但患者目前PS评分为3分,是否适合接受免疫治疗呢?在免疫治疗的临床研究中,通常将PS状态较差或合并症较多的患者排除在外。那么这类患者接受免疫治疗后,免疫相关不良事件(irAE)的发生率是否更高呢?2018年ASCO年会上的一篇摘要分析了患者治疗前的合并症与接受免疫治疗后irAE发生率的关系。结果显示,患者治疗前的合并症并不影响因为irAE导致免疫治疗停药的患者比例,提示在临床试验外,这类患者同样可以考虑接受免疫治疗。可喜的是,患者接受1次信迪利单抗治疗后,症状明显改善,PS评分显著好转。治疗3次后复查,肿瘤明显缩小,目前继续给予维持治疗,患者持续获益。

这例患者二线接受信迪利单抗单药治疗,并获得PR的疗效,从真实世界角度验证了信迪利单抗的疗效。从这例患者的治疗过程中可以看出,免疫检查点抑制剂单药治疗在PS评分差的患者中同样可以取得较好且持久的效果,且副反应小。既往KEYNOTE-028研究[1]的鼻咽癌队列入组组织学确诊的局部晚期或转移性PD-L1表达阳性的标准治疗失败或不适合接受标准方案治疗的鼻咽癌患者,结果显示PD-1单抗单药治疗PD-L1阳性的复发/转移性鼻咽癌具有可接受的安全性和非常有前景的抗肿瘤活性。而另一PD-1单抗用于非角化型局部鼻咽癌患者的数据也进一步支持了PD-1单抗的疗效[2]

信迪利单抗作为国产PD-1单抗的代表,与进口PD-1单抗相比,对人源PD-1受体的亲和力更高,分别高出10倍和50倍,这也是其重要的特点之一。临床研究也进行一步证实了信迪利单抗与同类药物相比,具有相当的疗效。目前,信迪利单抗已经在多个瘤种开展相关研究,并获批用于至少经过二线系统化疗的复发或难治性经典型霍奇金淋巴瘤的治疗。在晚期鼻咽癌中,信迪利单抗也正在进行相关的探索,相信未来能够获批相关适应证,给鼻咽癌患者带来切实获益。

               
张占洁 

医学博士
武汉协和医院肿瘤中心头颈肿瘤科
中国研究型医院学会精准医学与肿瘤MDT专委会青年委员
湖北省抗癌协会鼻咽癌专委会青年委员
中国抗癌协会热疗专委会青年委员会常委
湖北省抗癌协会热疗专业委员会常委
发表SCI论文数篇  
主要从事头颈部肿瘤的临床诊治及基础研究


参考文献

[1]Hsu C, Lee SH, Ejadi S, et al. Safety and Antitumor Activity of Pembrolizumab in Patients With Programmed Death-Ligand 1-Positive Nasopharyngeal Carcinoma: Results of the KEYNOTE-028 Study.[J] .J. Clin. Oncol., 2017, 35: 4050-4056.

[2]Ma Brigette B Y,Lim Wan-Teck,Goh Boon-Cher, et al. Antitumor Activity of Nivolumab in Recurrent and Metastatic Nasopharyngeal Carcinoma: An International, Multicenter Study of the Mayo Clinic Phase 2 Consortium (NCI-9742).[J] .J. Clin. Oncol., 2018, 36: 1412-1418.


评论
2021年02月06日
肖永令
学习
2021年01月03日
肖永令
这个不错
2020年06月04日
王周富
沂源县人民医院 | 肿瘤内科
学习了