膀胱癌是泌尿系统的常见恶性肿瘤之一,近年来免疫治疗在膀胱癌中取得了重大进展,目前美国FDA已经批准5个PD-1/PD-L1抑制剂用于铂类治疗后进展的晚期膀胱癌。同时,帕博利珠单抗还获批用于局部晚期或转移性尿路上皮癌的一线治疗,由此可见免疫检查点抑制剂在晚期膀胱尿路上皮癌的治疗中愈发重要。同时最新消息显示,Atezolizumab联合化疗一线治疗尿路上皮癌的Ⅲ期IMvigor130研究也达到了无进展生存期(PFS)的共同主要终点。除此之外,国内自主研发的免疫检查点抑制剂也正在开展临床试验。本期来自宁波市第一医院泌尿肿瘤综合诊治中心的马亮医生带来病例分享,一例伴肝脏及盆腔转移的晚期膀胱尿路上皮癌患者接受信迪利单抗联合化疗取得不错的疗效。
基本病史资料
患者,男性,54岁。
主诉:血尿半年余。
现病史:患者2018.1.12因“血尿半年余”至我院就诊,呈间断无痛性终末血尿,泌尿系超声提示:膀胱左侧壁及三角区低回声占位,超声造影:首先考虑膀胱癌,伴前列腺浸润可能(图1)。
既往史:诊断“高血压病”1年,最高时血压“145/90mmHg”,平时血压监测尚可。
个人史:吸烟30余年,每天平均20支,已戒烟1年,饮酒30余年,每天平均2两白酒,已戒酒3年。

图1 2018年1月12日超声肿块造影
治疗经过:
外科治疗+辅助化疗
患者前往上海某医院就诊,于2018年2月7日在上海行“膀胱癌根治术+回肠代膀胱术”。2018年2月22日全膀胱根治标本病理示:(膀胱)浸润性高级别尿路上皮癌,癌组织浸润膀胱壁全肌层并累及尿道前列腺部。尿道切缘见癌累及。双侧输尿管切缘、双侧精囊腺及输精管均未见肿瘤累及。免疫组化:CK19(++),CK20(-),GATA3(+),Ki-67(60%阳性),p40(+),p53(5%+),p63(+),SMA(示肌层浸润)。
2018年3月13日患者在上海某医院接受第1周期“吉西他滨+奈达铂”方案化疗,化疗后患者出现高热。2018年4月25日开始调整为“多西他赛+奈达铂”方案化疗,至6月26日共行“多西他赛+奈达铂”化疗4周期。辅助化疗结束后,患者在上海某医院定期随访。
疾病复发
患者于2018.12.19在上海复查腹部增强CT发现:两侧盆壁新发囊性灶,转移待排。2018.12.24上海PET-CT显示:盆腔多发转移。患者至我院就诊,建议患者行免疫治疗。对患者根治手术标本进行PD-L1表达检测:PD-L1 TPS评分为5%(图2)。

图2 手术标本PD-L1表达检测结果
复发后治疗
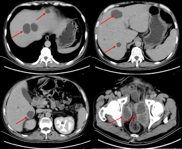
患者一般情况较差,考虑患者盆腔多发转移,建议尽早行免疫治疗,在沟通疗效和价格等因素后,患者自行选择信迪利单抗。2019年1月7日,给予信迪利单抗单药(200mg,ivgtt)治疗一周期,同时继续评估转移情况。2019年1月25日进一步完善全腹部增强CT示肝脏及盆腔内多发转移瘤(图3)。

图3 患者肝脏及盆腔多发转移瘤(2019年1月25日)
鉴于患者全身合并多处转移,且患者第一周期免疫治疗后持续高热,抗生素治疗无效。予以调整治疗方案,后续给予信迪利单抗(200mg,Q3W)联合白蛋白紫杉醇(100mg QW)联合治疗。在免疫治疗联合化疗及对症支持治疗后患者一般情况好转,体温下降至正常。
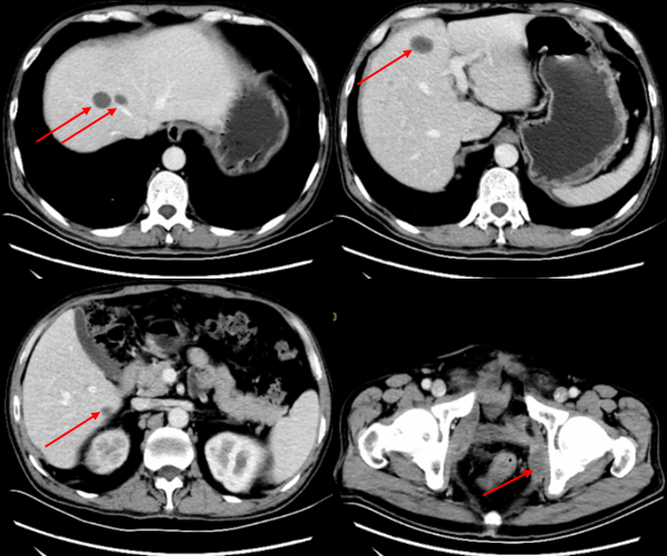
2019年3月1日复查全腹部CT增强扫描示:肝及盆腔内多发转移瘤。对比2019.1.25前片,肝内部分病灶及盆腔病灶缩小(图4)。

图4 患者肝脏及盆腔转移瘤较前明显缩小(2019年3月1日)
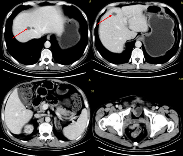
2019-3-29复查全腹部CT增强示:肝脏及盆腔内多发转移瘤;对比2019.3.1前片,肝脏及盆腔转移瘤均明显缩小(图5)。后规律复查CT,表现基本相仿。

图5 患者肝脏及盆腔转移瘤继续缩小,疗效评估为部分缓解(PR;2019年3月29日)
2019-6-18患者复查腹部增强CT:1.肝左叶病灶,转移?2.右输尿管上段病变,炎症?转移性病变?(图6)。2019-8-10复查腹部增强CT:1.肝左叶异常信号灶,请结合MRI增强?2.腹膜后多发小淋巴结,对比2019-6-18大致相仿(图7)。2019年8月16日上腹部MR增强:1.肝右叶S4段占位,倾向囊肿;2.肝左叶异常灌注考虑(图8)。

图6 患者复查腹部增强CT影像资料(2019年6月18日)

图7 患者复查腹部增强CT影像资料(2019年8月10日)

图8 患者复查上腹部增强MR影像资料(2019年8月16日)
截至2019年9月,患者共接受白蛋白紫杉醇(100mg)化疗23次,末次化疗时间2019年8月,信迪利单抗(200mg)治疗13次,末次治疗时间2019年9月18日。
总结
患者54岁中年男性,2018年2月7日在上海行“膀胱癌根治术+回肠代膀胱术”,病理示:(膀胱)高级别浸润性尿路上皮癌,癌组织浸润膀胱壁全肌层并累及尿道前列腺部,尿道切缘见癌累及。术后接受1个周期的吉西他滨+奈达铂化疗1个周期,后改用多西他赛+奈达铂化疗4周期,辅助化疗结束后规律随访。2018年12月24日PET/CT示膀胱MT综合治疗后,考虑为盆腔多发转移。评价疾病进展,PFS为10个月。建议患者行信迪利单抗单药治疗。
患者2019年1月25日(发现盆腔多发转移病灶后1个月)检查发现肝脏出现多发转移性肿瘤,考虑患者病情进展迅速且疾病负荷较大,而免疫治疗起效相对较晚,调整治疗方案为信迪利单抗免疫治疗联合白蛋白紫杉醇化疗。治疗期间定期复查,肝脏转移灶和盆腔病灶明显缩小及消失,疗效PR。截至2019年9月,患者共接受白蛋白紫杉醇(100mg)qw化疗23次,末次化疗时间2019年8月,信迪利单抗(200mg)q3w治疗13次,末次治疗时间2019年9月18日,一线治疗PFS为9个月。
膀胱癌是泌尿系统最常见的恶性肿瘤,免疫治疗的应用为晚期膀胱癌的治疗带来了变革。2016年美国FDA批准Atezolizumab用于铂类化疗失败后的局部晚期或转移性尿路上皮癌,成为近30年美国FDA获得批准用于治疗尿路上皮癌的首个新药。2017年美国FDA又连续批准了4种PD-1/PD-L1抑制剂用于铂类治疗失败的晚期膀胱尿路上皮癌的治疗。2017年,免疫治疗再次前移,美国FDA批准帕博利珠单抗用于局部晚期或转移性尿路上皮癌的一线治疗,由此可见免疫检查点抑制剂在尿路上皮癌的治疗中越来越重要,已经成为晚期尿路上皮癌的一线标准治疗。
值得一提的是,近期罗氏公司宣布PD-L1单抗Atezolizumab联合化疗一线治疗晚期尿路上皮癌的Ⅲ期IMvigor130研究达到PFS的共同主要终点,具体的研究数据将在今年欧洲肿瘤内科学会(ESMO)年会上公布。
IMvigor130研究是一项多中心、部分盲法、随机Ⅲ期临床研究,在既往未接受过系统治疗的局部晚期或转移性尿路上皮癌患者中,评估Atezolizumab联合化疗与单纯化疗的疗效和安全性。研究共入组了1213例患者,随机分配进入3个治疗组:1)Atezolizumab+含铂化疗(吉西他滨联合顺铂或卡铂);2)Atezolizumab单药;3)含铂化疗(吉西他滨联合顺铂或卡铂)+安慰剂(对照组)。研究共同主要终点是总生存期(OS)和PFS。结果显示,与化疗相比,Atezolizumab联合化疗显著延长了患者的PFS。同时在中期分析中,也观察到令人鼓舞的总生存期(OS)结果。
回到本案例中,患者复发后,合并肝脏、盆腔等多发转移,肿瘤负荷较大,考虑到免疫单药治疗的作用特点,即起效相对较慢,但维持时间长;免疫治疗联合化疗具有协同作用,可以快速起效;此外,IMvigor130研究取得阳性结果。信迪利单抗作为国产PD-1单抗的代表,与帕博利珠单抗和纳武利尤单抗相比,对人源PD-1受体的亲和力更高,分别高出10倍和50倍,这也是其重要的特点之一。临床研究也进行一步证实了信迪利单抗与同类药物相比,具有相当的疗效。
目前,信迪利单抗已经在多个瘤种开展相关研究,并获批用于晚期淋巴瘤的治疗。在晚期膀胱癌中,信迪利单抗也进行了相关探索。该例患者在接受信迪利单抗单药治疗1个周期后,调整为信迪利单抗联合白蛋白紫杉醇,并取得了PR的疗效,目前仍在继续有效。值得思考的是,目前患者病灶已经得到控制,在后续治疗中是否可以考虑仅接受信迪利单抗维持治疗。
点评专家
宁波市第一医院泌尿外科主任医师
宁波大学博士研究生导师
浙江省抗癌协会肿瘤生物治疗专委会委员
浙江省免疫学会临床免疫专委会委员
浙江省生物信息学会肿瘤精准治疗专业委员会常委
浙江省细胞生物学会理事
浙江省中西医结合学会泌尿外科专委会委员
宁波市中西医结合学会泌尿外科专委会委员
病例分享
住院医师 硕士研究生
2015年本科毕业于延边大学
2018年硕士研究生毕业于宁波大学
致力于泌尿系肿瘤的基础研究和临床治疗,现负责前列腺穿刺病人的管理工作,以及泌尿系肿瘤(前列腺癌、膀胱癌、肾癌等)的全程管理工作。






苏公网安备32059002004080号