您好,欢迎您

如虎添翼--信迪利单抗联合化疗新辅助治疗食管鳞癌,疗效显著

2019年10月08日
病例分享:林文伟  福建医科大学附属协和医院
点评专家:林江波  福建医科大学附属协和医院

食管癌是我国常见的消化系统恶性肿瘤之一,在我国恶性肿瘤中发病率居第5位,死亡率居第4位。目前,手术是食管癌的主要根治性手段之一,在早期阶段外科手术治疗可以达到根治的目的,在中晚期阶段,通过以手术为主的综合治疗(包括术前新辅助和术后辅助治疗)可以使其中一部分患者达到根治,其他患者生命得以延长。免疫治疗的问世,使食管癌的治疗增添了新的选择。2019 ASCO 会议上发布了PD-1单抗联合化疗用于食管癌新辅助治疗的研究成果,其结果令人鼓舞。


病例介绍

基本情况

患者,男性, 62岁,主诉为“进行性吞咽困难2个月”4年前确诊为“先天性室间隔缺损”,行“室间隔修补术+三尖瓣成形术”。1个月前体检发现“快速型心房颤动”,现行“利伐沙班、比索洛尔”治疗。吸烟 30年,1包/日。否认肿瘤家族史及其他家族遗传病史。患者2个月前因进行性吞咽困难就诊,胃镜检查确诊为食管鳞癌。现活动尚可,饮食减少,精神、睡眠一般,大小便正常,体重减轻2公斤。

既往治疗史

外院行胃镜检查确诊食管癌,未治疗。

辅助检查

CT:食管上中段管壁增厚,考虑MT,双肺门及纵隔多发淋巴结肿大,部分钙化,左锁骨上淋巴结增大;右肺上叶结节需密切随访,以除外肿瘤。

双侧锁骨上淋巴结超声:左侧锁骨上低回声团块,大小2.5 cm×1.7 cm(转移性MT)。

心脏彩超:先心室间隔修补术后,室水平未见明显残余分流;左房增大,左室向心性肥大伴左室舒张功能减退;检查时房颤心率。

实验室检查:血常规生化 (ALT、白蛋白、肌酐)、肿瘤指标 (CEA、NSE、CyFRA21-1、SCC)、肝炎、HIV正常。

心电图:心房颤动。

临床诊断

综合以上辅助检查,根据CT影像表现初步诊断为:食管癌,临床分期cT3N1+Mx。

治疗过程

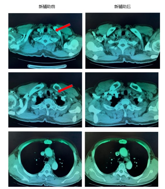
入院后,评估患者为局部晚期,潜在可手术,通过沟通,患者综合考虑后决定参与科里临床试验,使用信迪利单抗联合化疗进行治疗。2019年6月13—7月26日,行白蛋白结合型紫杉醇(200mg,d1、d8,q3w)+卡铂(0.4g,d1)+信迪利单抗 (200mg,d1,q3w)方案治疗2周期。1周期治疗后,患者吞咽困难较前改善,考虑临床部分缓解(PR)。继续行1周期治疗后,复查CT疗效评价为PR。如图。

1.jpg

考虑到新辅助治疗有效,在进行术前评估后,于2019年08月20日行胸腹腔镜联合食管癌切除+胃代食管左颈吻合+颈胸腹三野淋巴结清扫+空肠造瘘术+右上肺楔形切除术。如图。

image003.png

术后病理结果:(食管)原瘤床经全部取材镜下见小灶鳞状上皮呈高级别上皮内瘤变,间质纤维组织增生伴慢性细胞浸润。病理结果显示到达MPR, “食管切端”胃切端未见肿瘤。各组淋巴结未见转移癌(注:左锁骨上淋巴结病理转阴)。(右上肺结节)镜下见坏死结节。

总结

对于潜在可手术切除的食管鳞癌患者,可行新辅助同步放化疗或者新辅助化疗后进行手术切除。本例患者既往有房颤病史,辅助检查提示左侧锁骨上淋巴结转移可能,肺部结节转移待除外。综合患者身体状况及检查结果,考虑术前行免疫加化疗进行疾病控制。

结果显示,术前新辅助治疗取得很好的疗效,影像学检查提示病灶明显缩小,评价PR。术后病理提示肿瘤退缩明显,对治疗反应良好。

image005.jpg

专家点评

食管癌是我国常见的恶性肿瘤,其中,鳞癌占90%以上。食管癌发病的相关因素包括亚硝酸盐摄入、营养缺乏、吸烟、饮酒等。目前手术为可切除食管鳞癌的主要治疗手段,但单纯的手术疗效不尽如人意,单纯手术者的5年生存率仍不足30%。有研究证实淋巴结转移是食管癌患者的独立预后因素,不同数目淋巴结转移患者5年生存率的差异有统计学意义,多组淋巴结受累的患者即使手术彻底切除也效果不佳。因此,对于淋巴结广泛转移者,手术治疗作为首选治疗却难以达到理想疗效。因此,手术联合围手术期治疗越来越成为研究的热点,并逐渐成为临床治疗指南的推荐治疗模式。由于食管癌的早期症状不典型,约50%患者确诊时已属Ⅲ期(T3N+,T4N+)。因此,术前有效的新辅助治疗显得尤为重要。新辅助治疗可使肿瘤降期、肿瘤体积缩小、肿瘤活性降低,以利于手术切除,提高手术完全切除率(R0)和病理完全缓解率(pCR),同时化疗还可消灭其他部位的潜在微小转移灶,从而提高局部控制率和总生存率。近年来,很多临床研究探索了不同的新辅助治疗模式,从目前研究结果看,术前新辅助放疗未能带来生存获益,已较少应用,而新辅助化疗和同步放化疗则可带来明确的生存获益。作为食管癌的基础治疗药物,紫杉醇+顺铂、顺铂+氟尿嘧啶等方案是当前新辅助化疗最常用的方案。目前认为新辅助化疗能为患者带来生存获益,化疗药物的选择以紫杉醇、顺铂和氟尿嘧啶方案为主,化疗周期为2~3个周期,手术的间歇期为2~4周。

近年来,免疫治疗在晚期食管癌中取得了一系列的进展,KEYNOTE-181研究证实,相较化疗,PD-1单抗帕博利珠单抗二线治疗食管癌能够显著改善患者的总生存期,FDA因此批准帕博利珠单抗单药用于PD-L1阳性的(CPS≥10)复发性局部晚期或转移性食管鳞癌的二线及以上治疗。

信迪利单抗是我国第二个获批的与国际制药巨头礼来合作的中国PD-1抑制剂,在既往的数据中,信迪利单抗的安全性与其他获批的PD-1单抗一致,2018年在中国获准用于复发/难治性霍奇金淋巴瘤的治疗。其在其他瘤种中的临床试验也在积极开展。ORIENT-15研究是由北大肿瘤医院领衔开展的一项随机、多中心、双盲Ⅲ期研究,其对比了信迪利单抗联合紫杉醇和顺铂(TP)相较安慰剂和TP一线系统治疗,在中国无法切除的局晚期或转移性食管鳞癌患者中的疗效和安全性,初步结果显示,信迪利单抗联合紫杉醇和顺铂方案安全有效。上述这例晚期食管鳞癌患者,有房颤病史,接受新辅助放化疗的耐受性较差,选用信迪利单抗联合化疗是合理选择,2个周期治疗后取得了PR,疗效较好,且耐受性较优。

2018年国家卫生与健康委员会发布的《食管癌诊疗规范》指出,术前放化疗可以改善食管鳞癌患者总生存率,因此,对于T3以上或有淋巴结转移的可切除患者术前可行辅助免疫联合进行放化疗或者化疗,该患者行2周期术前免疫新辅助化疗后,缓解明显,术后病理证实术前化疗效果确切有效,并且患者在治疗过程中无明显不适及药物相关反应。此病例提示我们,PD-1单抗联合化疗用于食管癌的新辅助化疗是安全有效的,其相关临床经验和数据有待进一步积累。

点评专家

               
林江波 教授

主任医师 博士 硕士研究生导师
中国医师协会胸外科分会青年委员
福建省医学会胸外科分会委员
福建省胸心血管外科分会青年委员
国际食管疾病学会中国分会西&南食管胃结合部疾病跨界联盟常务委员
中国老年学和老年医学学会肿瘤康复分会食管癌康复专业委员会委员
目前致力于肺癌、食管癌微创外科,以及肺移植的临床研究。承担多项省厅级科研课题,并在国内核心期刊及SCI源期刊发表学术论文20余篇。

病例分享

               
林文伟 医师

硕士 中共党员
擅长微创食管癌、肺癌及纵隔肿瘤手术
承担福建医科大学启航基金课题1项
以第一作者发表4篇SCI
参与编著《食管癌临床康复》书籍            

相关阅读
评论
2020年04月15日
李俊峰
邯郸市第二医院 | 肿瘤内科
学习
2019年10月10日
邹兰林
景德镇市第二人民医院 | 肿瘤科
PD-1抑制剂联合化疗新辅助治疗局晚期食管鳞癌,疗效显著,为降期手术创造条件。
2019年10月10日
王健
辽宁省肿瘤医院 | 放疗科