您好,欢迎您

可提前5年预测乳腺癌风险!MIT科学家带来检测乳腺癌最新AI模型

2019年05月17日
作者:药明康德AI
来源:“药明康德AI”微信公号

近日,发表在Radiology上的一项最新研究称,来自MIT的研究人员开发出了一种使用AI技术的新模型,能够最多提早五年时间预测女性患乳腺癌的风险。 

乳腺癌是美国女性第二大癌症相关的致死因素。据估计,仅在2015年,美国就有超过23万名女性被诊断为乳腺癌,其中约4万人死亡。虽然像乳腺X光检查等检测技术已经得到了广泛应用,但这些技术并不总是可靠的。在接受乳腺X光检查的女性中,约有10%至15%的人会因为无法得出结论的分析结果而进行反复检查。

1.jpg

图片来源:123RF

大多数乳腺癌风险检测模型重点是一系列风险因素,如年龄、乳腺癌和卵巢癌家族史、激素和生殖因素、乳腺密度等。但是和其他因素相比,有一些因素和乳腺癌的相关性并没有那么高,从而影响了模型检测的准确性。

针对这一情况,来自MIT的研究团队采取了和传统检测方式不同的方法,结合传统的乳腺癌风险因素和乳腺X光照片,开发了一个全新的深度学习模型,用来预测乳腺癌风险。随后,研究人员使用了约9万张乳腺X光照片和约6万名来自Massachusetts General Hospital患者的真实已知结果对模型进行了训练、验证和测试。

以乳腺密度为例,新的深度学习模型与目前临床上使用乳腺密度作为评估乳腺癌风险标准的Tyrer-Cuzick模型相比,其识别风险的准确率有所提高。研究人员发现,高乳腺密度且模型评估乳腺癌风险高的患者癌症发病率,是那些乳腺密度和乳腺癌风险都较低的患者的3.9倍。这一趋势在不同女性群体中都体现了出来。

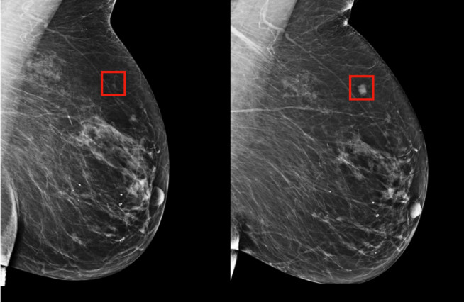
2.jpg

新的深度学习模型可以在癌症发病(右图)前四年,识别出乳腺癌风险(左图)(图片来源:MIT CSAIL)

同时,研究人员还努力确保风险评估模型在评估少数群体结果方面,和白人患者一样准确。他们表示,该新型模型在不同种族、年龄和家族历史的群体中表现同样出色。该模型准确预测了31%的患者最高患癌风险类别,而传统模型的准确率只有18%。

该论文的资深作者、来自MIT CSAIL的Regina Barzilay博士表示,未来这项研究可以为乳腺X光检查打下基础,从而确定患者是否存在其他更大的健康风险,如心血管疾病和其他癌症等。

参考文献

[1] Novel artificial intelligence method predicts future risk of breast cancer. Retrieved May 8, 2019, from https://www.eurekalert.org/pub_releases/2019-05/rson-nai043019.php

[2] MIT CSAIL’s AI can predict the onset of breast cancer 5 years in advance. Retrieved May 8, 2019, from https://venturebeat.com/2019/05/07/mit-csails-ai-can-predict-the-onset-of-breast-cancer-5-years-in-advance/


药明康德二维码.gif

扫描上方二维码,关注“药明康德”微信公号