您好,欢迎您

【35 under 35-病-021】一例鼻咽部非角化性分化型癌病例讨论

2017年08月19日
来源:肿瘤资讯

【35 under 35】风采展示第二轮已经开始啦!本轮正经名叫“病例实战分析”,不正经名叫“互相伤害”,哈哈哈~100位入围选手每人提交一个有意思的病例,并就病例提出一个问题,形成一个病例库!然后100位入围选手从病例库中任意选择一个非自己提供的病例进行解读并回答问题!最后,我们将呈现病例+别人的点评+病例提供者自己的点评,同步展示!

CSCO-20周年.jpg100位小伙伴已将自己的病例提交,并提出了问题,让我们一起先阅读下精彩病例吧!

患者病情简介:

患者,男性,54岁,ECOG评分:1分。2010年因“回吸性涕血4+月,发现左颈部包块2+月”就诊于我院。

入院后查体示:左侧颈部(II-IV区)可扪及一大小约7cm包块,质硬,边界不清,活动度差,无触痛。

鼻咽及颈部MRI示(下图1, 2):鼻咽左侧见约3.9 × 3 × 3.6 cm3稍长T1,T2信号占位,左侧咽鼓管咽口、咽隐窝、圆枕结构显示不清,咽旁间隙受累,左侧颈内动脉受包绕,左侧头长肌、斜坡、岩尖、翼突根部、海绵窦受累 (图1未显示)。左侧咽旁间隙、劲动脉鞘区及颈后三角淋巴结增多、增大、融合,最大约6.8 × 4.3 cm,增强明显、不均匀强化。

鼻咽部活检示:鼻咽部非角化性分化型癌,PCK (+) 、EMA (+) 、P63 (+) 、S100 (-) 、EBER1/2原位杂交 (+)。

EBV-DNA:  8.55×103 copies/ml。

微信截图_20170801150449.jpg

诊断:鼻咽部非角化性分化型癌 (T4N3M0)

问题1:该患者的治疗方案如何选择及依据?

第二阶段:

2014年5月患者出现多发的双肺及肝脏转移。经GP方案化疗6周期后,肺部病灶CR;肝脏病灶PR,由多个减少为1个(下图3)。

微信截图_20170801150504.jpg

问题2:该患者的肝脏局部病灶如何处理?

问题3:该患者能否采用单药维持治疗及依据?

第三阶段:

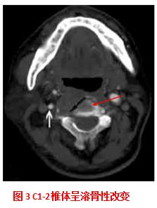
2017年患者出现颈部疼痛,骨扫描示C1-2可见核素浓聚。颈部CT可见对应椎体呈溶骨性改变。穿刺查见鳞癌细胞。

微信截图_20170801150514.jpg

问题4:该患者接下来的治疗策略及依据?

病例提供作者简介:46-彭星辰  

46-彭星辰.png 病例提供作者自评:

问题1:该患者的治疗方案如何选择及依据?

治疗思路及方案:

对于III-IVA期患者,单纯放疗的治疗效果并不令人满意,其五年生存率仅为67-77%。在顺铂同步放化疗基础上,加入诱导化疗或辅助化疗能否使患者获益目前尚存争议。2012年,马骏教授研究团队在lancet oncology报道:与同步放化疗组相比,3周期PF辅助化疗未能进一步改善患者预后。2016年,该研究团队再次在lancet oncology报道:与同步放化疗组相比,3周期TPF诱导化疗+同步放化疗能改善局部晚期鼻咽癌的无失败生存、总生存和无远处转移生存,该研究在一定程度上肯定了诱导化疗的作用。今年,ASCO Abstract 6005报道:与同步放化疗组相比,2周期PF诱导化疗可以改善局部晚期NPC患者的肿瘤控制率,特别是远处转移的控制率,该研究再次证实诱导化疗的作用。

2010年,我科给予该患者的治疗方案为:PF方案诱导化疗3周期+顺铂同步放化疗(顺铂:100mg/m2,q3w;放疗处方:PGTVnx(鼻咽原发灶)70Gy/33f,PGTVnd(颈部转移淋巴结)70Gy/33f,PTV60(高危预防区), 60Gy/33f,PTV50 (低危预防区)50Gy/25f。

疗效评价:CR. (治疗结束后EBV DNA 为阴性)

随访:2010-2013年患者定期随访,2013-2014年患者未定期随访。

问题2:该患者的肝脏局部病灶如何处理?

治疗思路及方案:

该患者最初的鼻咽癌分期为T4N3M0,IVA期。既往研究显示N2及N3的鼻咽癌患者远处转移率高达20-40%,故该患者具有很高的远处转移风险。在初次治疗结束后3+年出现肺部及肝脏的多发转移。2016年,张力教授研究团队在lancet报道:对于复发或转移性鼻咽癌GP方案无论有效率,还是无进展生存期和总生存期,均明显优于PF方案。该研究在一定程度上奠定了 GP方案在复发或转移性鼻咽癌一线化疗中的地位。此患者经过6周期GP方案化疗后,肺部转移灶达到CR,肝脏转移灶由多个变为单个。在经过MDT团队讨论后,认为该患者目前化疗后肝脏残留转移灶,可采用局部手段处理(手术、射频消融或放疗)。考虑到该寡转移灶大小约5cm,毗邻下腔静脉,手术风险较大。而射频消融对于3cm以上且毗邻大血管的包块疗效较差。因此,推荐采用放射治疗(主动呼吸控制+立体定向放射治疗;放疗处方:PTV 50Gy/10f)。

问题3:该患者能否采用单药维持治疗及依据?

治疗思路及方案:

该患者经过6周期GP方案化疗后为部分缓解(PR),为巩固疗效在肝脏放疗后继续给予卡培他滨维持化疗(1000mg/m2, 每天2次,连用14天,每3周为一周期)。维持化疗在晚期非小细胞肺癌、晚期乳腺癌及结直肠癌上能提高生存率且不增加治疗相关毒性,但对于晚期鼻咽癌,维持化疗的作用尚不明确。Leong SS等报道晚期鼻咽癌患者在至多6周期紫杉醇+卡铂+吉西他滨化疗后,CR或PR患者使用5-Fu+亚叶酸钙维持化疗,中位缓解时间8个月,中位总生存时间22个月。此外,Hong等报道晚期鼻咽癌患者在MAP(丝裂霉素 C,多柔比星和DDP)方案化疗后使用5-Fu+亚叶酸钙维持化疗,中位无进展和总生存时间时间分别为11.6月和18.1月。以上研究表明采用维持化疗有可能使晚期鼻咽癌患者获益,但尚需III期随机对照临床试验证实。

问题4:该患者接下来的治疗策略及依据?

治疗思路及方案:

该患者在维持化疗期间出现C1-2椎体骨转移,结合既往治疗情况,给予多西他赛+C225全身治疗。同时,考虑到患者颈部疼痛和颈椎发生病理性骨折易致高位截瘫,给予椎体成形术+放疗。

 


以上为【35 under 35】的观点,您怎么看?欢迎广大肿瘤医生在下方留言发表您的观点!



相关阅读
评论
2021年02月06日
肖永令
学习
2017年08月11日
182****0880
南华大学附属第一医院 | 放疗科
什么时候开始展示点评呢?
2017年08月05日
肿瘤医生小管家
良医汇互联网医院 | 肿瘤内科
亲爱的肿瘤医生们,对于这个病例,您怎么看?赶紧在下方留下您的观点吧!优秀的点评有机会获赠CSCO指南哦!