近年来,以针对PD-1/PD-L1的免疫检查点抑制剂(ICI)为代表的免疫治疗药物深刻地改变了胃癌治疗的格局,其中,替雷利珠单抗作为胃癌领域首个且目前唯一获得FDA和EMA双重批准的中国原研PD-1抑制剂,实现了晚期胃癌全人群一线治疗突破,彰显了中国创新药在胃癌全程治疗格局中的关键突破与引领价值。且这一革命性疗法正从晚期治疗阵营,向围手术期这一更早的堡垒稳步迈进。为系统性地梳理与分析胃癌免疫治疗的最新进展,【肿瘤资讯】特邀江苏省肿瘤医院孙岩教授结合我国晚期胃癌治疗现状、实例展现及其团队获得的最新成果,解析当前局部进展期胃癌的治疗疗效,及免疫时代下胃癌围术期免疫治疗进展。
本期特邀专家——孙 岩 教授
副主任医师
中国抗癌协会肿瘤营养专业委员会委员
中国抗癌协会多原发和不明原发肿瘤专业委员会委员
江苏省医学会内科学分会委员
江苏省医学会肿瘤化疗与生物治疗分会胃肠学组委员
南京医学会肿瘤学分会青年委员会副主任委员
江苏省整合医学研究会胃癌专委会常委
江苏省整合医学研究会中西医结合肿瘤治疗专委会常委
江苏省抗癌协会感染性肿瘤专委会 常委
江苏省抗癌协会多原发和不明原发肿瘤专委会 委员兼秘书
江苏省抗癌协会胃癌专业委员会青年委员
江苏省肿瘤科医疗质量控制中心秘书
江苏省社会办医疗机构协会肿瘤精准治疗专业委员会常委
南京老年医学学会肿瘤分会常委
南京医学会消化病学分会委员会委员
立足实践,免疫治疗重塑晚期胃癌治疗格局
Q1:在晚期胃癌治疗领域,化疗联合免疫治疗已成为一线治疗的标准方案。能否请您谈谈免疫治疗为晚期胃癌带来的治疗格局的改变,可否就您在临床实践中的病例予以分享说明。
孙岩教授:2010年,ToGA研究的成功首次将胃癌带入靶向治疗时代。近5年来,包括RATIONALE-305等在内的多项Ⅲ期研究又相继取得突破,推动晚期胃癌进入免疫长生存时代。数据显示[1],在意向治疗(ITT)人群中,替雷利珠单抗联合化疗组患者的中位总生存(OS)达到15.0个月(vs 对照组12.9个月),相比对照组显著降低了20%的死亡风险,该生存数据也刷新了晚期胃癌一线治疗全球性研究的数据纪录,将晚期胃癌患者的中位OS提升至新的高度。
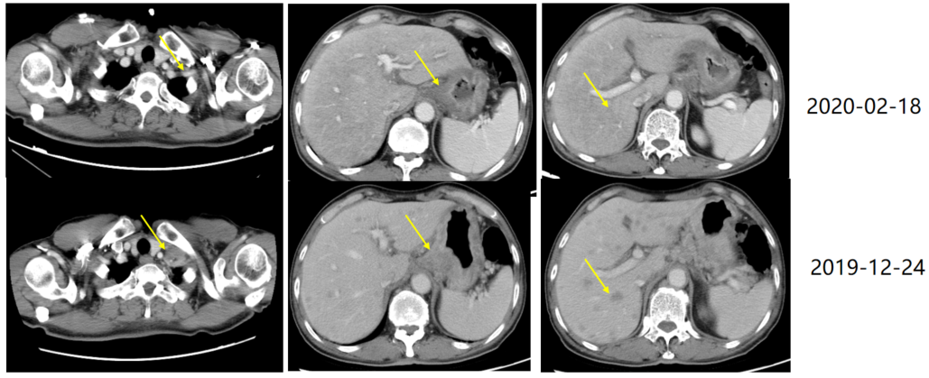
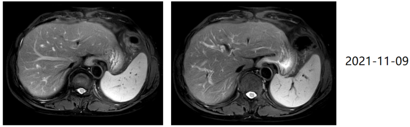
随着临床证据的累积,针对HER2阴性患者,化疗联合免疫治疗已成为一线治疗的标准方案;针对HER2阳性患者,可选择靶向治疗联合化疗+免疫治疗。比如本人经治的一例HER2阳性、PD-L1 CPS=1的晚期胃癌(T3N3M1,IV期,伴肝及多处淋巴结转移)患者,自2020年1月起接受替雷利珠单抗+曲妥珠单抗+化疗一线治疗,2周期后即达部分缓解(PR),6周期后逐步减量进入维持阶段——替雷利珠单抗联合曲妥珠单抗治疗26周期,曲妥珠单抗单药维持16周期。2021年11月评效达完全缓解(CR),直至2025年3月最近一次复查,仍处于CR状态。整体疗程耐受良好,提示替雷利珠单抗联合曲妥珠单抗及化疗方案在HER2阳性、PD-L1 CPS≥1的晚期胃癌中可实现持久缓解与长期生存。



免疫时代,聚焦局部进展期胃癌,探讨围术期治疗之策
Q2:我国是胃癌大国,其中大部分患者确诊即为进展期。可否请您分享一下我国局部进展期胃癌患者接受围术期治疗的疗效如何?此外,您认为免疫治疗的加入可否进一步提升胃癌患者围术期治疗的生存获益?
孙岩教授:中国是胃癌大国,初次就诊即为局部进展期的患者约占70%,这部分患者即使接受根治性D2手术,5年生存率仍不足50%[2],亟须更好的治疗手段。近年来,胃癌围术期治疗在肿瘤降期、提升R0切除率,提升生存方面取得一系列进展,其中FLOT4研究和RESOLVE奠定了化疗用于胃癌围术期治疗的标准治疗地位。FLOT4研究结果显示[3],相较于ECF/ECX围术期治疗,四药联合的FLOT方案显著提升了无病生存(DFS:30个月 vs 18个月)和OS(50个月 vs 35个月),成为胃癌围术期标准治疗方案。而RESOLVE研究数据进一步指出[4],SOX方案术前3周期+术后5周期的治疗相较于传统手术+术后辅助化疗可显著提高3年DFS率(59% vs 51%),且治疗方案安全、可行,现已成为中国胃癌围术期的标准治疗。
尽管围术期化疗为局部晚期胃癌患者带来了疗效提升,但不得不提的是,围术期化疗仍存在病理学完全缓解(pCR)率低,长期生存获益有限等问题,这也为胃癌围术期的探索留下了更多空间。随着免疫治疗药物的出现,目前,以PD-1/PD-L1抑制剂为基础的临床研究已从晚期胃癌领域不断前移,扩展至围术期。其中,替雷利珠单抗等PD-1抑制剂凭借严谨可靠的临床研究数据,获批晚期胃癌适应症的同时,亦进行了联合化疗在围术期的探索。
其中,KEYNOTE-585研究结果显示[5],帕博利珠单抗组相较安慰剂组可显著提高患者的pCR率(13% vs 2%,P <0.0001),帕博利珠单抗联合化疗对比单纯化疗的无事件生存期(EFS)提升约20个月,但差异未达到统计学意义的阈值;OS曲线交叉未取得获益。MATTERHORN研究最新数据则证实[6],与安慰剂+FLOT组相比,度伐利尤单抗联合FLOT组显示出统计学显著的OS改善(HR 0.78;95%CI 0.63~0.96;P=0.021),且无论PD-L1表达状态如何,均观察到一致的生存获益。该结果提示,围手术期免疫联合化疗的疗效可能避开PD-L1表达水平限制,为患者带来长生存获益。近期,美国国家综合癌症网络(NCCN)对胃癌诊疗指南做出了重要更新,《NCCN 临床实践指南:胃癌(2025.V3)》[7]明确要求对所有新诊断患者普遍进行 PD-L1 检测,并新增了 CPS(联合阳性分数)与 TAP(肿瘤区域阳性)评分可互换使用的说明。此外,围手术期治疗方案已由“化疗”正式修订为“全身治疗”,并新增“免疫+化疗”作为 CPS ≥ 1 或 TAP ≥ 1% 患者的首选方案(1类证据)。未来,胃癌围术期或进入“免疫+”时代。
知行合一,胃癌围术期治疗的临床实践经验分享
Q3:您在临床实践中是如何进行胃癌围术期治疗的?可否请您分享一下您的治疗经验?
孙岩教授:在临床实践中,我接诊了大量局部晚期胃癌患者。治疗的核心目标是通过新辅助治疗实现肿瘤降期,从而达到R0切除并提升pCR率。临床诊疗主要遵循国内指南标准,如基于RESOLVE研究证据,采用新辅助化疗方案,并结合多学科团队(MDT)讨论,以确定最佳手术时机及术后辅助治疗策略。近年来,免疫治疗的引入显著延长了晚期胃癌患者的生存时间。随着治疗理念的不断发展,基于已开展的II期和III期临床试验结果,临床正积极探索免疫治疗联合化疗的新辅助模式。同时,我和团队也在尝试将免疫治疗与局部放疗相结合,实施个体化的围术期强化策略,致力于开发更契合中国人群特点的局部晚期胃癌新辅助治疗方案。
在2025年欧洲肿瘤内科学会(ESMO)年会上,我们团队的原创研究——GAS-Jiangsu 01(2025 ESMO 2127P)公布了研究成果。该单中心II期研究首次系统评估了新辅助低剂量放疗(LDRT)联合替雷利珠单抗和化疗在局部进展期胃癌及胃食管交界处(G/GEJ)腺癌患者中的疗效与安全性,结果令人瞩目。数据显示[7],共入组21例患者,接受LDRT+替雷利珠单抗+化疗治疗后,总体病理完全缓解率(tpCR)达42.9%,主要病理缓解率(MPR)高达81.0%;所有患者均顺利完成手术,R0切除率100%。而且,所有患者术前均无疾病进展,影像学客观缓解率(ORR)达100%;81.0%的患者实现病理降期,其中47.6%原发灶完全缓解(ypT0),81.0%淋巴结完全缓解(ypN0),显示出卓越的局部控制与系统治疗协同效应。总体耐受性良好,无新的安全性信号。该结果提示,新辅助低剂量放疗联合替雷利珠单抗+CAPOX方案在局部进展期G/GEJ腺癌中可显著提高病理缓解率且安全可控,为免疫联合放化疗的临床实践提供了新的循证依据,也为未来胃癌围手术期综合治疗模式的优化奠定了坚实基础。
前景可期,胃癌围术期免疫治疗的探索方向
Q4:免疫治疗确实为胃癌围术期治疗带来曙光,但也留下需要探索讨论的空间。您认为未来胃癌围术期免疫治疗还有那些可以探索的方向?如何进一步提高胃癌新辅助治疗的pCR率及远期生存?
孙岩教授:免疫治疗为胃癌围术期治疗开启了新的篇章,但未来的探索需更精准、更深入迈进。WuhanUHGI001研究探索了替雷利珠单抗联合SOX新辅助治疗进展期胃癌/胃食管结合部腺癌(GC/GEJC)的疗效和安全性,结果显示[7],疾病控制率(DCR)为90.6%,主要病理缓解(MPR)率为53.1%,pCR率为25%。研究表明,PD-1抑制剂替雷利珠单抗联合SOX作为新辅助方案用于进展期GC/GEJC具有良好的应用潜力,并且不增加治疗相关不良事件。
NEOSUMMIT-03研究评估了替雷利珠单抗联合SOX化疗方案在局部晚期GEJC患者围手术期治疗中的疗效和安全性。数据表明[8],MPR达到50.0%,pCR为28.1%,ypT0N0率为25.0%。18个月的OS率和EFS率分别达到84.4%和74.4%。这一结果凸显了替雷利珠单抗联合SOX方案在提升病理缓解率方面甚至改善局部晚期GEJC患者生存预后方面的突出优势,也进一步支持替雷利珠单抗联合方案在该领域中的应用前景。
此外,正如刚刚提及的KEYNOTE-585和MATTERHORN这两项胃癌免疫治疗的围术期研究表明[5,6],免疫治疗的加入提升了患者的pCR和DFS,这提示了围术期免疫治疗能带来更佳的短期获益,并延缓患者复发。通过进一步筛选免疫治疗优势人群,可在围术期免疫治疗取得更佳的疗效。通过这两项研究的亚组分析可以发现,分期较晚如病理分期(pStage)IIIc期、临床分期(cStage)III期、淋巴结阳性患者从免疫治疗中可能有更大获益。此外,还可以利用ctDNA、肿瘤微环境评分等多组学手段,细化优势人群筛选,实现个体化治疗。
随着胃癌精准治疗的进展,HER2、CLDN18.2、FGFR等靶点成为了探索的热门方向,也有多项研究证实靶向这些通路联合免疫治疗在晚期胃癌患者中,可以取得更佳疗效。也可以预期这些新靶点药物联合免疫治疗进一步提升胃癌围术期患者的疗效。
最后,还应把患者管理做得更细、更实。优化患者术前术后营养支持、运动康复及微生态调节,综合提升患者长期生存与生活质量。
1、Rui-Hua Xu, et al. Tislelizumab (TIS) Plus Chemotherapy (Chemo) vs Placebo (PBO) Plus Chemo as First-line (1L) Treatment of Advanced Gastric or Gastroesophageal Junction Adenocarcinoma (GC/GEJC): Final Analysis Results of the RATIONALE-305 Study.2023 ESMO.Abstract LBA80.
2、程向东, 余盼攀. 局部进展期胃癌围手术期治疗策略及关键问题探讨[J]. 中华消化外科杂志,2025,24(4):468-473.
3、Al-Batran S E, Homann N, Pauligk C, et al. Perioperative chemotherapy with fluorouracil plus leucovorin, oxaliplatin, and docetaxel versus fluorouracil or capecitabine plus cisplatin and epirubicin for locally advanced, resectable gastric or gastro-oesophageal junction adenocarcinoma (FLOT4): a randomised, phase 2/3 trial [J/OL]. Lancet Oncology, 2019;393(10184):1948-1957.
4、 Xiaotian Z, Han L, Ziyu L, et al. Perioperative or postoperative adjuvant oxaliplatin with S-1 versus adjuvant oxaliplatin with capecitabine in patients with locally advanced gastric or gastro-oesophageal junction adenocarcinoma undergoing D2 gastrectomy (RESOLVE): an open-label, superiority and non-inferiority, phase 3 randomised controlled trial. Lancet Oncol. 2021 Aug;22(8): 1081-1092.
5、Shitara K, Rha SY, Wyrwicz LS, et al. Neoadjuvant and adjuvant pembrolizumab plus chemotherapy in locally advanced gastric or gastro-oesophageal cancer (KEYNOTE-585): an interim analysis of the multicentre, double-blind, randomised phase 3 study. Lancet Oncol. 2024;25(2):212-224.
6、Cheng C, Gang L, Yan S, et al. Neoadjuvant low dose radiotherapy combined with tislelizumab and chemotherapy in locally advanced gastric or gastroesophageal junction adenocarcinoma(GAS-Jiangsu 01): A single-arm phase II trial. 2025 ESMO, 2127P.
7、Yin Y, Lin Y, Yang M, et al. Neoadjuvant tislelizumab and tegafur/gimeracil/octeracil (S-1) plus oxaliplatin in patients with locally advanced gastric or gastroesophageal junction cancer: Early results of a phase 2, single-arm trial. Front Oncol. 2022 Aug 30;12:959295.
8、Nie RC, Yuan SQ, Ding Y, et al. Perioperative tislelizumab plus chemotherapy for locally advanced gastroesophageal junction adenocarcinoma (NEOSUMMIT-03): a prospective, nonrandomized, open-label, phase 2 trial. Signal Transduct Target Ther. 2025 Feb 5;10(1):60.
排版编辑:肿瘤资讯-zengyin







苏公网安备32059002004080号