三阴性乳腺癌(TNBC)因缺乏 ER、PR 及 HER2 靶点,治疗手段有限且复发转移风险高。对于多线治疗后复发的患者,如何平衡疗效、安全性与生活质量是临床难题。口服节拍化疗凭借低毒、便捷的优势,联合抗血管、免疫治疗的“协同增效”模式,为这类患者提供了新方向。本期分享一例 41 岁晚期 TNBC 患者,经“口服长春瑞滨软胶囊节拍化疗+安罗替尼+信迪利单抗”方案治疗后,4 周期即达完全缓解(CR),长期维持无进展生存已达26个月,为转移性TNBC的治疗提供了具有价值的实践参考。
特邀嘉宾
病例分享专家
山东省肿瘤医院乳腺内科
专业方向:擅长乳腺癌的综合治疗
社会兼职:
山东生物医学工程学会乳腺病精准诊疗专业委员会 常务委员
山东省老年医学学会乳腺专业委员会 委员
山东省医药教育中西医结合乳腺专业委员会 委员
山东省护理学会首届血管通路MDT青年委员会委员
主持及参与国家及省级课题多项
发表SCI文章多篇,ASCO会议poster等
病例点评专家
山东省肿瘤医院乳腺内科主任,内科学教研室副主任
主任医师,临床教授,博士后导师,研究生导师
美国MD安德森癌症中心访问学者(国家公派)
北京协和医学院博士,博士后;齐鲁卫生与健康杰出青年人才
主持国自然、中国博士后基金、省重点研发等课题十多项
承担国际国内多中心临床研究二十多项
JCO中文版乳腺肿瘤专刊、Cancer Innovation、中华肿瘤防治杂志等青年编委
多个国际杂志审稿人
中国抗癌协会肿瘤异质性与个体化治疗专业委员会常务委员
中国抗癌协会乳腺癌专业委员会委员
中华医学会肿瘤学分会第十二届委员会乳腺肿瘤学组委员
中国临床肿瘤学会转化医学专家委员会委员
中国抗癌协会第七届癌症康复与姑息治疗专业委员会委员
中华医学会心血管病学分会肿瘤心脏病学学组委员
山东省老年医学学会乳腺综合治疗专委会副主任委员
山东省临床肿瘤学会乳腺专家委员会青委副主任委员
山东免疫学会肿瘤分子标志物与靶向治疗专业委员会(青年)副主任委员
山东省疼痛医学会肿瘤精准治疗青委会副主任委员
中国医药教育协会肿瘤临床科研创新发展专委会委员
国家抗肿瘤药物临床应用监测青年专家委员会委员
病例介绍
基本情况
患者:女性,41 岁。
主诉:左乳癌术后 4 年余,淋巴结转移 2 年(2021 年 11 月就诊)。
现病史:2018 年 11月因左乳肿物于当地医院行左乳癌保乳术 + 前哨淋巴结活检术,术后病理确诊TNBC(pT1N0M0 ⅠA期);2019 年11月- 2020年4月完成8周期EC-T 辅助化疗,后续行左乳腺靶区放疗。2019年12月复查发现左锁骨下淋巴结转移,口服卡培他滨治疗;2020 年7月PET-CT提示左腋窝转移瘤,行淋巴结清扫术后继续口服卡培他滨3个月。2021年11月复查提示左腋窝肿块复发,为进一步诊疗就诊于山东省肿瘤医院。
既往史:无特殊疾病史;无吸烟史,无肿瘤家族史及其他家族遗传性疾病史。
月经史:13 岁初潮,末次月经 2019 年 12 月。
体格检查
左乳癌保乳术后改变,可见长约 10cm 术后瘢痕,愈合良好;双腋窝未触及肿大淋巴结,胸腹部查体未见异常,双下肢无水肿。体能状态(ECOG)评分 1 分,一般情况可。
治疗历程
手术治疗:
2018年11月8日行左乳癌保乳术+前哨淋巴结活检术
术后病理(2018 年 11 月):
左乳浸润性导管癌(Ⅱ 级),免疫组化 ER(-)、PR(-)、HER2(-)、Ki-67(+60%),P53(++)90%,E-Cadherin(+),Catenin(+),EGFR(-),Topo2(11%), D2-40(-), AR(+)5%。
术后诊断:
左乳三阴性乳腺癌保乳术后(pT1N0M0 ⅠA期)
辅助治疗:
2019年11月-2020年4月行8周期EC-T方案辅助化疗(具体方案:表柔比星150mg d1 + 环磷酰胺1.0g d1,每21天1周期,共4周期;序贯脂质体紫杉醇300mg,每14天1周期,共4周期);2020年5-6月行左乳腺靶区放疗(PGTVtb:2.14Gy/次×28f;PTV:1.8Gy/次×28f)。
一线治疗:
病情进展:
2019年12月复查发现左锁骨下淋巴结转移,当地医院行淋巴结穿刺活检示:左锁骨下淋巴结内见癌转移;免疫组化:AR(-)、ER(-)、PR(-)、HER2(0)、Ki-67(指数约40%)、GATA-3(+)。
药物治疗:
予口服卡培他滨治疗(用法:早1.5g、晚2g,po,d1-14,每21天1周期)。
病情评估与干预:
2020年7月27日PET-CT提示:①左腋窝(邻近胸小肌外后方)1枚软组织密度小结节,代谢异常增高,SUVmax约13.0,考虑转移瘤;②右侧腋窝1枚轻度增大淋巴结,淋巴结门可见,代谢增高,不除外转移瘤。2020年7月30日行左腋窝淋巴结清扫术,术后病理诊断:送检腋窝(0/17)、左胸小肌后(0/1)、左锁骨下(0/0)、左胸肌间(0/1)淋巴结内均未见癌转移。术后继续口服卡培他滨3个月后停药。
二线治疗:
病情复发:
2021年11月超声提示左乳结节及左腋下肿块,考虑复发;2021年11月8日外院行左腋窝肿块穿刺活检术。
病理会诊:
2021年11月转至我院,会诊外院病理示:(左腋窝肿块穿刺活检)纤维结缔组织内查见游离的低分化癌细胞团,结合临床及病史,首先考虑乳腺来源;免疫组化:ER(-)、PR(-)、HER2(-)、Ki67(+)80%、S0X10(-)、GATA3(散在+)、CK5/6(+)、PD-1(-)、PD-L1(SP263)CPS:0(阴性)、CD8散在+。
治疗方案:
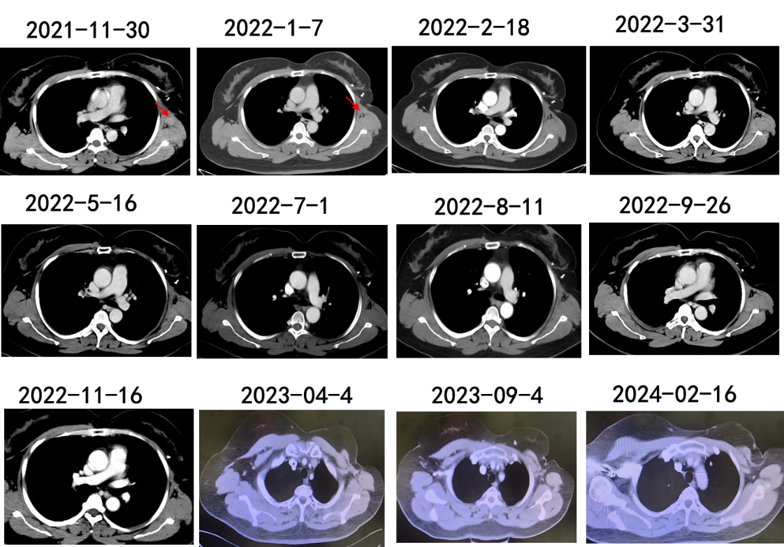
入组“PD-1单抗加安罗替尼联合节拍化疗在晚期三阴性乳腺癌中的疗效、安全性及探索性转化研究”。2021年12月1日至2023年11月24日予长春瑞滨软胶囊40mg po tiw + 安罗替尼12mg d1-14 q21d + 信迪利单抗200mg ivdrip q21d治疗;2023年11月24日起停用信迪利单抗,改为长春瑞滨软胶囊40mg po tiw + 安罗替尼12mg d1-14 q21d维持治疗至今。
疗效与安全性评价:
治疗2周期后达部分缓解(PR),4周期后达CR,后续每2周期复查持续维持CR。治疗期间出现Ⅲ级肝功能异常、Ⅱ级甲状腺功能减低,经对症处理后好转,未影响治疗进程。

专家点评
本例患者初诊为左乳癌(pT1N0M0 ⅠA 期,TNBC),经保乳术、EC-T 辅助化疗及乳腺靶区放疗后,术后 1 年余出现左锁骨下及左腋窝淋巴结转移,一线予口服卡培他滨联合左腋窝淋巴结清扫术治疗,2021 年 11 月复查仍提示左腋窝肿块复发。结合复发病理特征(Ki-67 高达 80%,提示肿瘤增殖活跃;PD-L1 CPS 0,无免疫单药治疗优势靶点)及患者意愿,入组山东省肿瘤医院“节拍化疗(长春瑞滨 40mg po tiw 或卡培他滨 500mg po tid)+安罗替尼+信迪利单抗”治疗晚期 TNBC”Ⅱ期临床试验(SPACE),最终实现CR并长期维持,截至评估日期已 26个月无疾病进展,充分体现了该联合方案在转移性TNBC 中的临床价值。
TNBC因缺乏 ER、PR 及 HER2 表达,无明确靶向治疗靶点,传统治疗以化疗为主,预后显著差于其他乳腺癌亚型。近年来,“免疫+抗血管生成+节拍化疗”的联合模式成为 TNBC 治疗的重要探索方向:抗 PD-1 抗体可激活机体抗肿瘤免疫,抗血管生成药物能重塑肿瘤微环境、改善免疫细胞浸润,而节拍化疗(如长春瑞滨)通过低剂量持续给药,既抑制肿瘤血管生成,又可诱导免疫原性细胞死亡,三者形成协同增效机制。
SPACE试验初步公布的结果显示了该三联方案的有效性,截至 2023 年 12 月,43例入组患者的客观缓解率(ORR)达 23.26%,疾病控制率(DCR)81.40%,中位无进展生存期(mPFS)5.55个月,中位总生存期(mOS)24.03个月。而本例患者的治疗结局进一步超越研究整体水平,4 周期即达CR且长期维持。此外,长春瑞滨 40mg po tiw的节拍剂量既避免了传统高剂量化疗的骨髓抑制等剂量限制性毒性,又通过口服剂型减少输液相关不良反应,适配长期维持需求,保障患者依从性。
此病例的成功实践,不仅为经多线治疗失败、尤其是PD-L1阴性的晚期TNBC患者提供了一个前景广阔的治疗新选择,也为该三联疗法在临床的广泛应用提供了有力的循证支持。
排版编辑:肿瘤资讯-JYX






苏公网安备32059002004080号