您好,欢迎您

医案集萃丨罕见病例:盲肠管状腺癌合并阑尾杯状细胞腺癌病例报道与诊治新见解

2025年10月20日
编译:肿瘤资讯
来源:肿瘤资讯

阑尾杯状细胞腺癌(GCA)是一种罕见的、起源于阑尾黏膜的恶性肿瘤,起病隐匿,生物学行为介于类癌和腺癌之间,预后较好,但远期复发转移风险较高。原发性盲肠管状腺癌与阑尾杯状细胞腺癌同时存在的情况极为罕见,诊断和治疗均存在一定难度。


2025年10月15日,Jinjing Wang教授团队在线发表题为“Rare double primary carcinoma in ileocecal region: cecal tubular adenocarcinoma combined with appendiceal goblet cell adenocarcinoma”的研究。研究聚焦于回盲部罕见的双原发性癌症,即盲肠管状腺癌合并阑尾杯状细胞腺癌。该研究针对诊断困难和治疗复杂性问题,详细报道了一例86岁男性患者病例,采用腹腔镜右半结肠切除术和化疗方案(包括雷替曲塞联合贝伐珠单抗)。研究明确了组织学形态在诊断中的关键作用,提高了临床对该罕见疾病的认识,为治疗决策提供参考,随访显示患者病情稳定、总体状况良好。【肿瘤资讯】特别整理该研究的重要信息,以飨读者。

患者特征

本研究患者为86岁男性,因腹痛和腹泻就诊。腹痛间歇性发作,腹泻为稀便,无里急后重感,排便后症状缓解,无畏寒、发热等症状。

外院CT显示肝囊肿和升结肠壁增厚后入院评估。体格检查无显著压痛等异常。进一步腹部和盆腔CT提示升结肠癌。术前未评估肺部状况。肿瘤标志物CA19-9、CEA、铁蛋白显著升高。

无痛结肠镜检查显示横结肠疑似癌性病变、存在多个结肠直肠息肉和横向播散肿瘤,活检确诊为腺癌,但因肠管问题无法完成全结直肠镜检查,术前倾向右半结肠癌,未识别阑尾病变。

试验结果

基于术中探查和术后病理,患者最终诊断:原发性盲肠管状腺癌合并阑尾杯状细胞腺癌,盲肠管状腺癌分期为T4aN0M0 II期IIC,阑尾杯状细胞腺癌分期为T4N0M0 II期IIB。

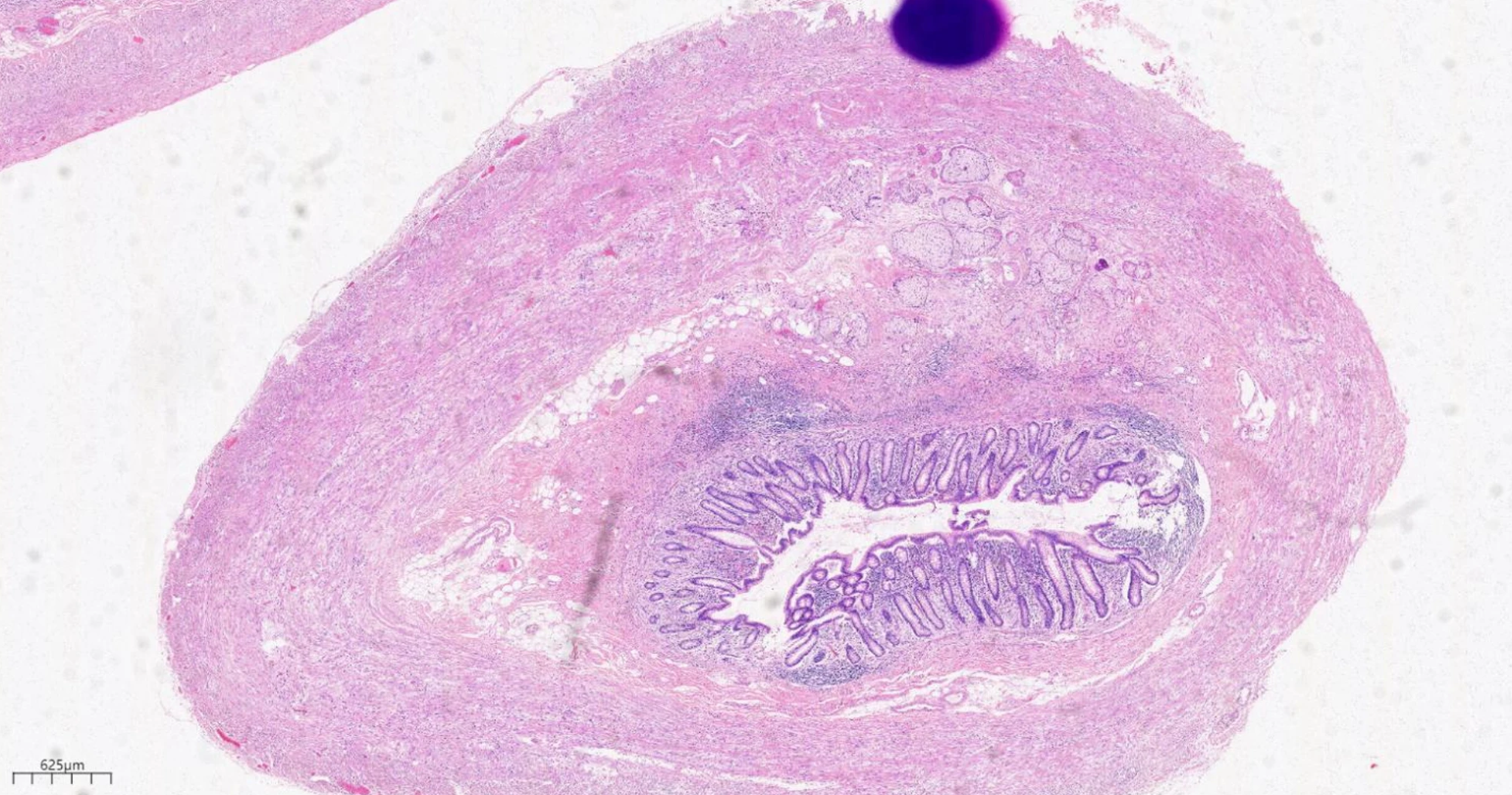
1.png

盲肠溃疡肿块内的管状腺癌(左侧红色圆圈内)和阑尾基底部附近盲肠固有肌层之间的杯状细胞癌(右侧蓝色圆圈内)

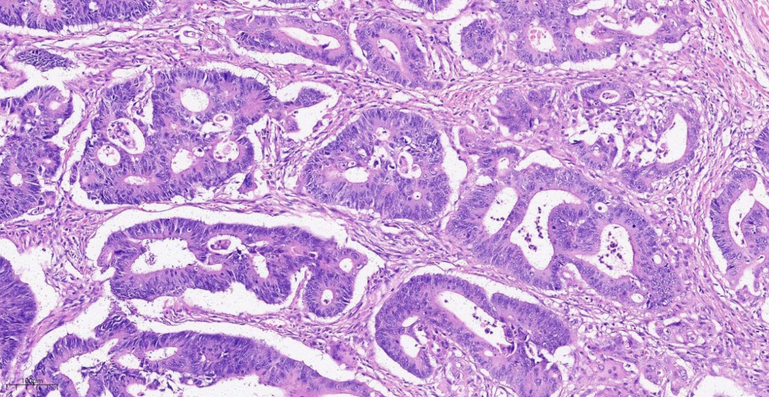
盲肠管状腺癌

8IuhRsiHAtQkC3QT5rlx4I1i932ja5Cu.png

阑尾固有肌层杯状细胞癌

术后7个月随访胸CT发现右上肺新发小结节,判断为右半结肠癌肺转移。初始治疗方案因不良反应更换,后续系列胸腹CT监测显示,肺部结节、胸膜结节稳定,腹部无局部复发征象,整体治疗有效。

安全性

在随访期间,患者起初8个月整体状况良好,后续8个月胸腹CT显示相关部位无进展或复发迹象,症状改善,生活质量无明显恶化,病情处于稳定控制状态 。

该病例报告突出了一例罕见的原发性盲肠管状腺癌与阑尾杯状细胞腺癌并存现象,其临床症状常为非特异性,易因混淆而被忽视或误诊。研究结论强调,及时准确的诊断对患者预后和治疗策略至关重要,GCA的总生存率显著受肿瘤分期与分级影响——其预后优于典型腺癌但劣于类癌肿瘤,这凸显了提升诊断能力以减少误诊风险的必要性。


通过综合临床特征、影像学表现、细胞学检查、组织形态学、免疫组化分析及鉴别诊断,本研究提供了对这类罕见双重肿瘤的深度解读,旨在为复杂病情的管理注入新洞见。与既往报告中的类似病例对比,本例虽同属同步双重原发肿瘤,却以急性肠梗阻为首发表现,且存在术前定位差异,进一步加剧了诊断难度。


未来探索方向建议将基线全身成像(特别是胸部CT)作为此类患者的常规筛查手段,并在可行情况下优先追求病理确认,以此优化肿瘤分期精度并指导更精准的治疗决策过程,为罕见肿瘤的诊疗提供重要参考 。

参考文献

Long A, Tian X, Luo S, Wang J. Rare double primary carcinoma in ileocecal region: cecal tubular adenocarcinoma combined with appendiceal goblet cell adenocarcinoma. Diagn Pathol. 2025;20(1):114. Published 2025 Oct 15. doi:10.1186/s13000-025-01719-x. 

责任编辑:古木
排版编辑:古木

版权声明

本文专供医学专业人士参考,未经著作人许可,不可出版发行。同时,欢迎个人转发分享,其他任何媒体、网站如需转载或引用本网版权所有内容,须获得授权,且在醒目位置处注明"转自:良医汇-肿瘤医生APP"。