结直肠癌是全球范围内高发的恶性肿瘤,对于微卫星稳定(MSS)或错配修复正常(pMMR)型的晚期结直肠癌患者,在经历标准一、二线化疗联合靶向治疗失败后,后续治疗选择极为有限。此外,存在肝转移的MSS型患者通常预后更差,对免疫治疗的抵抗性更强,被称为免疫“荒漠”。因此,如何攻克伴有肝转移的MSS型晚期结直肠癌,是临床面临的巨大挑战。
本期【好西例】分享一例67岁男性患者,病理提示MSS型,伴KRAS突变。历经直肠癌根治术及四线标准方案治疗均告失败。在病情急剧进展、常规药物不耐受的艰难时刻,基于CAPability-01研究成果,患者五线接受西达本胺领衔的CAP方案(西达本胺+信迪利单抗+贝伐珠单抗)治疗后获得部分缓解(PR),肿瘤标志物断崖式下降,病灶显著回缩。CAP方案不仅为该患者赢得了宝贵的生存转机,更为MSS型结直肠癌的后线解救治疗提供了强有力的证据。
病例资料
患者基本信息
患者: 男,67岁。
主诉: 直肠癌综合治疗2年余,影像学提示病灶进展。
既往史: 既往体健,无特殊病史。家族史中两个哥哥分别因胆囊疾病和胃癌去世。
初诊和辅助治疗/一线治疗
2021.06
体检发现CEA升高,行直肠镜检查提示直肠腺癌(中分化),腹部MRI发现肝转移。
2021.07
行直肠癌根治术。术后病理:腺癌,中分化,侵透肌层,淋巴结转移1/11。
术后分期:pT3N1M1a,ⅣA期。
基因检测:KRAS突变,MSS型。
2021.08-2021.09
术后给予XELOX方案辅助化疗3周期,复查提示肝转移灶进展(PD)。
二线治疗
2021.10-2022.01
给予FOLFIRI + 贝伐珠单抗治疗5周期,评估疗效为稳定(SD)。
2022.01-2022.03
患者行3次肝脏介入治疗(TACE)。免疫组化复核:MSH2/MSH6/PMS2/MLH1(+),HER2(1+),Braf(-),Ki67(+70%)。
三线及四线治疗
2022.07-2023.06
复查CT提示出现肺转移,更换为贝伐珠单抗 + 卡培他滨三线治疗。
2023.07
影像学评价为疾病进展(PD)。
2023.10
开启四线治疗:伊立替康 + 雷替曲塞 + 贝伐珠单抗。患者出现剧烈恶心、呕吐及严重乏力,无法耐受化疗,拒绝继续该方案。
五线治疗
2023.10
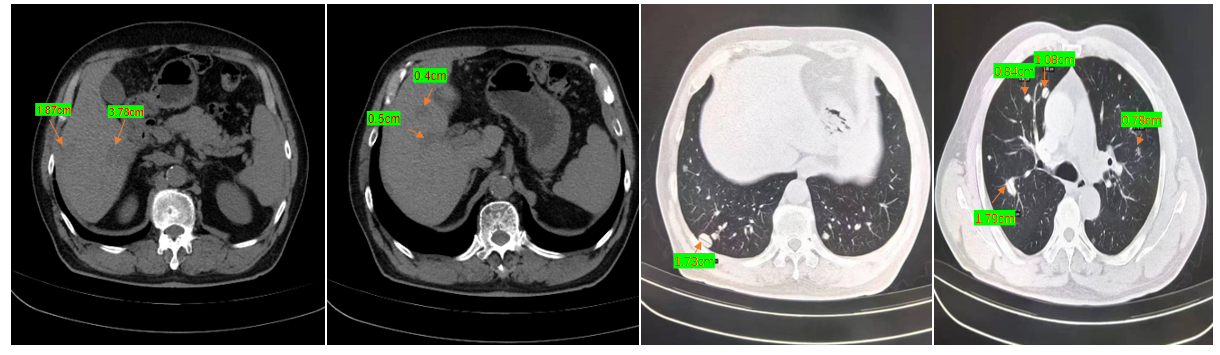
复查CT显示:双肺、肝脏多发转移灶较前增大(图1),肿瘤标志物CEA骤升至383 ng/ml(后最高达524 ng/ml),病情急剧恶化。

2023.10.25
基于CAPability-01研究数据,入组并开启 CAP方案治疗:
西达本胺 (C): 30mg BIW 口服。
信迪利单抗 (A): 200mg Q3W。
贝伐珠单抗 (P): 500mg Q3W。
2024.01-2024.03
治疗1周期后CEA一过性升高(考虑免疫假性进展),继续方案。至2周期及5周期后,疗效评价均达 PR。
2024.03.10
复查CT提示:肺部靶病灶由1.73cm缩小至 0.94cm(下降46%),肝部病灶由1.87cm缩小至 1.03cm(下降45%)。CEA降至 24.1 ng/ml(较峰值下降95%以上)。
治疗小结
本例患者为KRAS突变、MSS/pMMR转移性直肠癌患者,在历经手术、多线标准辅助及解救化疗(XELOX、FOLFIRI、介入、卡培他滨及三药联合化疗)均告失败或不耐受后,病情陷入僵局。采用CAP方案后,患者经历了标志物先升后降的典型免疫应答过程,最终肺、肝转移灶显著回缩,疗效评价达到PR。在安全性方面,虽出现Grade 2-3血小板减少,但经对症处理后好转,方案足量坚持,成功验证了CAP方案在晚期难治性肠癌中的解救实力。
病例点评
结直肠癌以手术切除为局部主要治疗手段,但根治性治疗后仍有较高比例患者出现远处转移。特别是对于MSS/pMMR型CRC,其免疫微环境处于典型的“冷”状态,CD8+T细胞浸润匮乏,常规免疫单药几乎无效。本例患者在多线化疗失败且对传统毒性药物不耐受的背景下,选择CAP方案实现了破局。
当前MSS型CRC免疫治疗的关键在于如何打破“免疫禁忌”。CAPability-01研究登顶Nature Medicine,为临床提供了新思路:HDAC抑制剂西达本胺的加入是“冷转热”的核心。它通过上调肿瘤细胞MHC类分子及抗原提呈,促进CD8+T细胞颗粒酶B(GZMB)、干扰素γ(IFN-γ)的表达,增强效应功能。在信迪利单抗(ICI)和贝伐珠单抗(抗血管)的基础上,西达本胺通过表观遗传学调控,协同增效,最终实现1+1+1>3的治疗效果。
本案例再次证实,CAP方案不仅在临床研究中数据亮眼,更在真实世界的复杂临床情境中展现出强大的生命力。对于那些已用尽标准治疗方案、身体状况难以耐受高强度化疗的晚期MSS型结直肠癌患者,CAP方案无疑提供了一种全新的、耐受性良好且疗效确切的治疗选择。它成功打破了MSS型结直肠癌“免疫荒漠”的困境,为这部分患者带来了长期生存的希望,也为临床医生在面对此类难治性病例时提供了有力的武器和信心。未来,期待更多的临床研究和实践进一步验证CAP方案的长期疗效与安全性,探索其在更广泛人群中的应用潜力,让更多晚期结直肠癌患者从这一创新方案中获益,实现真正的“破局重生”。
排版编辑:TanRongbing






苏公网安备32059002004080号