您好,欢迎您

【好西例】突破多线治疗瓶颈:西达本胺联合PD-1抗体和呋喹替尼为晚期MSS型肠癌三线患者带来曙光,PFS长达12月

01月10日
整理:肿瘤资讯
来源:肿瘤资讯

免疫检查点抑制剂改变了微卫星高度不稳定型(MSI-H)晚期结直肠癌患者的治疗现状,成为临床公认的优选方案[1]。然而,超过90%的微卫星稳定型(MSS)患者的肿瘤微环境呈 “冷肿瘤” 特征,对免疫单药治疗普遍不敏感。这类患者在历经一线和二线化疗±靶向治疗失败后,往往陷入 “无有效方案可用” 的窘境,生存预后亟待改善。


本期【好西例】分享一例68岁男性MSS型晚期乙状结肠癌患者,历经结肠癌姑息切除术后接受一、二线标准方案治疗均快速进展。借鉴“表观遗传调控 +抗血管生成抑制剂+免疫抑制剂”联合的CAPability-01研究策略[2],患者三线接受西达本胺联合信迪利单抗和呋喹替尼方案治疗后持续PR,截止目前PFS长达12个月,肿瘤标志物CEA、CA199持续下降,进一步验证并拓展CAP模式为3-4线晚期结直肠癌患者带来的获益。

病例分享

王轶卓
副主任医师、医学博士

吉林大学第一医院肿瘤中心肿瘤科
CSCO青年专家委员会委员、秘书
CSCO翻译小组成员
北京癌症防治胃癌专业委员会常委
中国抗癌学会肿瘤营养专委会化疗学组委员
中国研究型医院学会精准医学与肿瘤MDT专业委员会青委
吉林省研究型医院学会消化道肿瘤MDT专委会委员、副秘书长
日本医科大学访问学者,第一作者发表文章SCI 8篇


患者基本信息

患者:男,68岁

病史:乙状结肠癌伴有肠梗阻行结肠癌姑息切除术

家族史:否认恶性肿瘤家族史

既往史:

初诊和姑息手术

2024.03

行结肠癌姑息切除术,术后病理提示结肠中低分化腺癌,肠周淋巴结(7/9),TD16枚,网膜可见癌,pT4aN2b,pMMR,HER-2(1+)。

一线治疗

2024.04~2024.11

接受11个周期 FOLFOX联合西妥昔单抗方案, 疗效评估PR,治疗期间出现 1级低镁血症不良反应,对症治疗后好转。

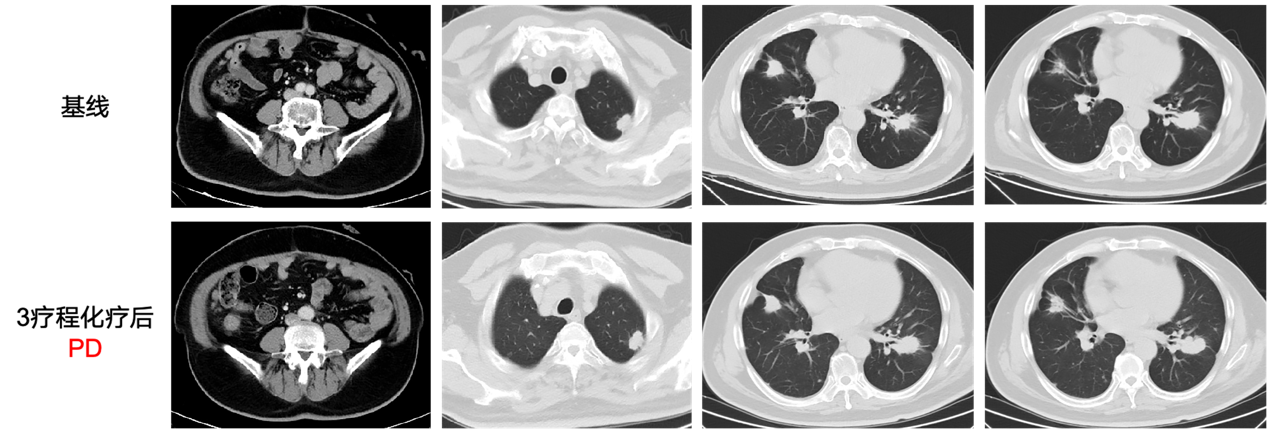
2024.11

复查CT提示肺部病灶增大, 考虑PD,PFS1为6.5个月。

图1 影像学评估.png

图1 影像学评估

图片2.png

图2 肿瘤标志物变化

二线治疗

2024.11-2025.01

行FOLFIRI+贝伐珠单抗方案3个周期后PD,治疗期间出现 1级中性粒细胞减少不良反应,对症治疗后好转,PFS2为2个月。

图片2png.png

图3 影像学评估

图片4.png

图4 肿瘤标志物变化

三线治疗

2025.01

因排便排气停止伴有恶心呕吐1天,明确诊断乙状结肠癌伴有肠梗阻,CT显示双肺多发转移瘤(0.5-4.6cm),纵膈内见多发略肿大淋巴结,腹膜多发转移。肿瘤标志物: CEA 196.34ng/ml, CA242 94.3U/ml, CA199 68.1U/ml。基因检测: RAS/RAF野生, MSS, TP53基因突变, PIK3CA基因突变, TMB 3.84个突变/Mb。

2025.01

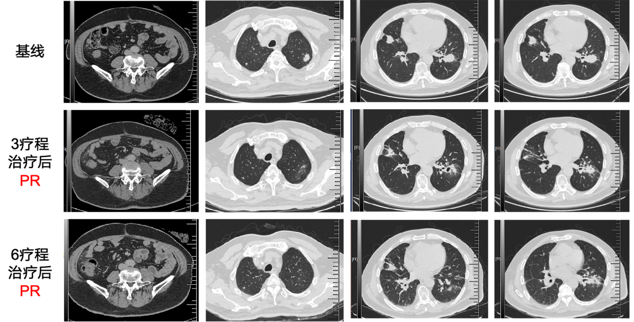
入组IIT临床试验:呋喹替尼联合PD-1单抗及西达本胺在难治性MSS型转移性结直肠癌中疗效和安全性的Ⅱ期临床研究,行西达本胺(30mg Biw)联合信迪利单抗(200mg,Q3w)和呋喹替尼(5mg qd,d1-14,Q3w)联合方案(CAP)治疗。

2024.03

复查CT提示肺部病灶及肝内转移灶,较前均明显缩小,疗效评估PR。

2025.06

复查CT提示肺部病灶及肝内转移灶,较前均明显缩小,疗效评估PR,患者持续规律CAP方案治疗,定期随访。

图片5.png

图5 影像学评估

图片6.png

图6 肿瘤标志物变化

治疗小结

本例患者的诊疗实践,为晚期MSS/pMMR型患者3-4线治疗提供了重要临床参考,同时有力印证了西达本胺联合方案的临床价值。本例患者为MSS/pMMR、RAS/RAF野生型转移性直肠癌患者, 经姑息性手术后一线化疗联合西妥昔单抗方案、二线化疗联合贝伐珠单抗治疗失败后,采用CAP方案(西达本胺+信迪利单抗+呋喹替尼)治疗后持续PR,截止目前PFS长达12个月。作为全球首个口服亚型选择性组蛋白去乙酰化酶抑制剂(HDACi), 西达本胺联合信迪利单抗和呋喹替尼分别从重塑肿瘤免疫微环境、激活机体抗肿瘤免疫应答、改善肿瘤血管异常等维度持续发力,为这类患者临床治疗选择提供了新思路。

专家点评

王畅
主任医师、博士、硕士研究生导师

吉林大学第一医院肿瘤中心肿瘤科
国家癌症中心、国家肿瘤质控中心结直肠癌质控专委会委员
CSCO理事、CSCO结直肠癌专委会常委
CSCO胃癌、胰腺癌、肿瘤营养、抗肿瘤药物安全管理专委会委员
中华医学会肿瘤学分会肿瘤诊疗规范推广应用专委会委员
中国医师协会结直肠癌专委会青委、肝转移专委会委员
中国抗癌协会肿瘤支持治疗专委会常委
中国抗癌协会胃癌专委会委员,肿瘤临床化疗专委会委员
中国抗癌协会肿瘤营养专委会化疗协作组组长
吉林省研究型医院学会肿瘤学专业委员会副主任委员
吉林省研究型医院学会消化道肿瘤MDT专委会副主任委员
第五届人民名医-优秀风范

对于MSS/pMMR晚期结直肠癌患者,经历一线化疗和二线靶向治疗失败后,三线及后线治疗获益仍有限,目前三线治疗方案客观有效率(ORR)均不足10%,mPFS不足4个月,mOS仅8-9个月左右[3, 4]。免疫检查点抑制剂的临床应用改变了多个瘤种的临床实践,但对于为MSS型结直肠癌这种“冷肿瘤”,治疗效果不佳[5]。为打破这一局面,多个I/II期临床研究探索了PD-1抗体联合抗血管生成药物(瑞戈非尼、呋喹替尼)治疗标准治疗失败的MSS/pMMR晚期结直肠癌的疗效,但结果尚不一致[6-8]

CAPability-01研究在免疫抑制剂联合抗血管生成药物的基础上,巧妙的加入了组蛋白去乙酰化酶抑制剂西达本胺,结果显示三药组18周PFS率64%、中位PFS 7.3个月,使晚期结直肠癌患者摆脱治疗困境[2, 9]。西达本胺是HDAC1、2、3、10高效选择性组蛋白去乙酰化酶抑制剂,既具有直接抗肿瘤作用,同时还可诱导和激活细胞免疫功能,协同增效PD-1单抗、克服耐药;在多个瘤种中初步看到疗效[10-11]。西达本胺联合VEGFR-TKIs和PD-1抗体的机制研究显示,在抗PD-1抗体和VEGFR-TKI基础上加入西达本胺,可进一步抑制CT26荷瘤小鼠肿瘤生长并延长生存;三联方案治疗后显著增加了肿瘤浸润CD8+T细胞数量,并显著下调免疫抑制性细胞包括MDSC和TAM[12-13]

本例患者姑息手术后晚期一线接受11个周期FOLFOX+西妥昔单抗方案后肺部病灶进展,二线接受仅接受了3个周期FOLFIRI+贝伐珠单抗肺部病灶再次进展,入组IIT临床试验尝试了西达本胺联合信迪利单抗和呋喹替尼的CAP方案,三种药物可发挥协同增效作用,肺部持续缩小,肿瘤标志物持续下降,PFS超过12个月,给患者带来了生的希望。且呋喹替尼、西达本胺为口服类药物,减少患者住院频次和缩短住院时间,提升用药便利性和患者依从性,进而提高疗效。

因此,“表观遗传调控+免疫治疗+抗血管生成”的协同模式,西达本胺通过表观遗传调控增强增强CD8+T细胞效应功能;呋喹替尼修复异常肿瘤血管结构,促进免疫细胞浸润;信迪利单抗进一步激活免疫功能,为逆转MSS肠癌的免疫耐受打造坚实基础,实现了突破性协同疗效,成为治疗晚期三线及后线肿瘤患者的“三剑客”。更期待西达本胺+免疫抑制剂+抗血管的三药治疗模式为更多晚期3-4线结直肠癌患者带来临床获益。


参考文献

[1]. Han BF, et al. J Natl Cancer Cent. 2024; 4(1):47-53.
[2]. Wang F, et al. Nat Med, 2024; 30(4):1035-1043.
[3]. Prager GW, et al. N Engl J Med. 2023; 388(18):1657-1667.
[4]. Dasari A, et al. Lancet 2023; 402(10395):41-53.
[5]. Eng C, et al. Lancet Oncol. 2019; 20(6):849-861.
[6]. Shitara K, et al. J Clin Oncol. 2020; 38(18):2053-2061.
[7]. Wang F, He M M, Yao Y C, et al. Cell Rep Med. 2021; 2(9):100383.
[8]. Cousin S, et al. Clinical Cancer Research. 2021; 27(8): 2139-2147.
[9]. 中国临床肿瘤学会(CSCO)结直肠癌诊疗指南(2025).
[10]. Ganesan A,et al. Clin Epigenetics. 2019; 11(1):174.
[11]. Wang M, et al. Cancer Discov. 2025; 15(9):1883-1904.
[12]. Yu J, et al. Cell Discov. 2023; 9(1):33.  
[13]. Che JS, et al. Int J Mol Sci. 2022; 23(18): 10677.


责任编辑:肿瘤资讯-小编
排版编辑:TanRongbing
版权声明
版权归肿瘤资讯所有。欢迎个人转发分享,其他任何媒体、网站如需转载或引用本网版权所有内容,须获得授权,且在醒目位置处注明“转自:良医汇-肿瘤医生APP”。