复发/转移性宫颈癌(R/M 宫颈癌)的治疗一直是妇科肿瘤领域的重大挑战,尤其是经过多线治疗后疾病仍进展的患者,预后往往不佳。近年来,免疫治疗的兴起为这部分患者带来了新的曙光,特别是双靶点免疫检查点抑制剂的探索,正在重塑宫颈癌的治疗格局。近日,重庆大学附属肿瘤医院舒锦教授分享了一例历经多次复发、多线治疗的晚期宫颈癌伴肺、脑转移病例,最终通过应用艾托组合抗体(艾帕洛利托沃瑞利单抗)方案维持治疗,实现了病情的有效控制与缓解。本文特邀重庆大学附属肿瘤医院唐郢教授对该病例进行深入点评,剖析艾托组合抗体在宫颈癌治疗管理中的独特价值。
副主任医师
中国西部妇科肿瘤专科联盟秘书
重庆市妇幼卫生学会盆底康复专委会委员
重庆市妇幼卫生学会阴道镜与宫颈疾病专业委员会委员
重庆市中西医结合学会妇产科专业委员会委员
重庆医师协会妇产科分会青年委员会委员
重庆市医学会妇产科学分会青年委员会委员
病例分享
病例介绍
黄某某,女,59 岁,已婚,G5P1。
主诉:阴道不规则出血3+月。
现病史:患者于 2021 年 2 月无明显诱因出现阴道少量出血,不伴腹痛、腹胀及阴道分泌物增多,未予重视。随后 1 周阴道出血增多,伴下腹坠胀及腹痛,于 2021 年 5 月 17 日至重庆大学附属肿瘤医院门诊就诊,妇科检查提示宫颈失去原型,见直径约 4cm 结节状肿物,触血明显;宫颈 TCT 示高级别鳞状上皮内病变,不除外鳞癌;高危型 HPV 58 阳性。进一步行宫颈活检,病理示(宫颈 7 点、10 点)鳞状细胞癌 Ⅱ-Ⅲ 级。患者为求进一步诊治,于2021年5月19日以“宫颈恶性肿瘤”收住入院。
既往史:糖尿病病史 5-6 年,规律服药治疗;有剖宫产手术史。
家族史:外婆因“子宫癌”去世,否认其余肿瘤家族史及遗传性疾病史。
辅助检查:
· 肿瘤标志物:SCC 0.80 ng/ml,细胞角蛋白 19 片段 5.29 ng/ml(升高);
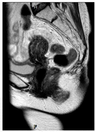
· 影像学检查:2021 年 5 月 20 日 PET/CT 示子宫颈 4.3×3.5×3.9cm 软组织密度肿块,代谢增高(最大 SUV 值 22.2),侵及子宫峡部及阴道上段,右侧髋臼 2.0×1.5cm 低密度影,代谢增高,考虑转移;2021 年 5 月 21 日盆腔 MRI 示子宫颈部 3.8x3.2x4.4cm 肿块,伴宫旁浸润可能,右侧髋臼片状异常信号,不除外转移;
初步诊断:宫颈鳞癌 ⅣB 期(T3bN0M1);骨继发恶性肿瘤;2 型糖尿病。
治疗历程
姑息放化疗
根据 NCCN 指南推荐及 MDT 讨论意见,患者于2021年5月27日至7月8日行盆腔姑息性放疗(IMAT技术,6MV-X照射),放疗靶区包括子宫(含宫颈)+双宫旁、部分阴道+阴道旁、盆腔淋巴引流区及髋臼转移灶,处方剂量为 PTV2 50Gy/25F(2Gy/F),PTV 45Gy/25F(1.8Gy/F),同步于2021年6月24日至8月9日行三维后装治疗6次,累计 HR-CTV 44Gy。
化疗方案:2021年6月3日起行紫杉醇230mg+顺铂80mg+唑来膦酸 4mg 静脉化疗 6 周期。
疗效评价:2021年11月复查盆腔 MRI 示子宫颈部病灶范围较前缩小,右侧髋臼转移灶强化减弱,疗效评价为部分缓解(PR)。

第一次复发
2023年5月患者复查发现肺部小结节,近半年逐渐增大。2023年11月30日CT引导下经皮肺穿刺活检示(肺结节组织)浸润性癌,符合鳞状细胞癌,考虑宫颈癌转移。
患者于2023年12月5日行机器人辅助胸腔镜下右肺下叶癌根治术,术后病理示中分化鳞状细胞癌(3.5×2.5×2.2cm),未侵犯肺膜,无神经侵犯及脉管内癌栓,支气管血管切缘净,送检淋巴结未见癌转移(0/11)。
术后于2024年1月12日至5月17日行紫杉醇 220mg + 顺铂 90mg 化疗 6 周期。
疗效评价:2024年4月18日胸腹盆 CT 示子宫颈未见确切异常,右肺下叶术后术区未见确切异常,疗效评价为完全缓解(CR)。
第二次复发
2024年8月5日患者因“咳嗽、咳痰”返院,2024年8月6日支气管纤支镜检查(右肺上叶开口刷片)见较多非小细胞癌细胞,提示疾病再次进展。
患者于 2024年8月19日开始行右肺上叶病灶放疗,计划 95% PTV 60Gy/30F(2Gy/F),累计完成 10F 后,因2024年9月2日CBCT 检查发现右肺上叶肺不张,暂停放疗,完善纤支镜示右肺上叶新生物阻塞管腔,于2024年9月6日行内镜下治疗(圈套器套取+氩气刀烧取+球囊扩张等),2024 年 9 月 10 日行内镜下右肺上叶开口坏死物清理。
根据 MDT 建议,患者于 2024 年 9 月 18 日至 2025 年 7 月行索卡佐利单抗免疫治疗,同步于2024年9月21日行氟尿嘧啶 1400mg(D1~4)+ 顺铂 85mg + 贝伐珠单抗 400mg + 唑来膦酸 5mg 治疗,因出现口腔溃疡难以耐受,后续调整为替吉奥胶囊 100mg(D1~14)+ 顺铂 85mg(D1)+ 贝伐珠单抗 400mg(D1)+ 唑来膦酸 5mg 方案治疗 4 周期。
第三次复发
2025 年7月8日颅脑 MRI 提示左侧额叶 3.5×2.5cm 团块影,边界不清,增强扫描不均匀明显强化,与邻近脑膜分界不清,周围见斑片状水肿影,邻近左侧侧脑室受压变窄,局部中线结构稍右移约 0.6cm,提示疾病复发。
患者于2025年7月17日至23日行左侧额叶病灶立体定向放疗,处方剂量 PGTVm 30Gy/5F(6.0Gy/F)。
2025年7月24日起启用艾托组合抗体 5mg/Kg + 贝伐珠单抗 q3w 维持治疗,截至 2025年11月7日已完成 6 次用药,目前仍在治疗随访中。疗效评价:2025年10月16日颅脑 MRI 复查示左侧额叶转移灶缩小至 1.7×1.1cm,周围脑水肿减轻,疗效评价为 PR,目前仍在持续治疗中。治疗期间患者仅出现 1 级甲状腺功能减退、1 级白细胞减少及 1 级贫血,无严重不良反应,血象维持正常。

治疗小结

专家点评
主任医师 妇瘤科副主任
中国抗癌协会宫颈癌专委会常委
中国抗癌协会近距离放射治疗专委会常委
中国医疗保健促进会宫颈癌专委会常委
中华医学会放射肿瘤分会近距离治疗学组委员
中国医师协会微无创专业委员会单孔及阴道腔镜学组委员
中国抗癌协会青年理事会常务理事
中国妇幼保健协会妇幼微创协会委员
重庆市医师协会放射治疗分会近距离治疗学组主任委员
重庆市妇幼卫生协会盆底康复学组副主任委员
美国哥伦比亚大学妇科肿瘤中心访问学者
唐郢教授:本例患者初诊为宫颈鳞癌 ⅣB 期,病程中历经三次复发,先后接受同步放化疗、肺转移灶手术切除及术后化疗、靶向治疗联合免疫治疗(索卡佐利单抗+氟尿嘧啶/替吉奥+顺铂+贝伐珠单抗+唑来膦酸)等多线干预后,再次出现脑转移,整体治疗过程复杂且充满挑战。该病例在多线治疗失败背景下通过艾托组合抗体实现持续的疾病控制,为晚期复发转移性宫颈癌患者提供了宝贵的临床实践经验。
从治疗决策层面分析,患者第三次复发时已出现脑转移,且经多线治疗后身体耐受性显著下降,既往化疗还引发了严重口腔溃疡,此时选择高效低毒的治疗方案成为改善患者预后的关键。DUBHE-C-206 临床试验数据显示,艾托组合抗体治疗既往含铂化疗失败的复发/转移性宫颈癌患者,客观缓解率(ORR)达 33.8%,疾病控制率(DCR)为 64.9%,中位无进展生存期(PFS)为 5.4个月,且无论患者PD-L1表达状态如何、既往接受过多少线治疗,均能获得一致的临床获益[1],其二线治疗方案已被《CSCO宫颈癌诊疗指南 2025 版》等国内多个权威指南纳入推荐。考虑到患者此次复发出现了脑转移这一高危情况,综合疾病进展特点及患者耐受情况,最终确定采用艾托组合抗体联合贝伐珠单抗的治疗方案,既发挥双靶点免疫治疗的强效抗肿瘤作用,又借助贝伐珠单抗的抗血管生成效应进一步提升疗效。
从临床疗效来看,患者接受艾托组合抗体联合贝伐珠单抗治疗后,肿瘤标志物水平保持稳定,颅脑转移灶明显缩小,疗效快速达到PR且持续维持,验证了该方案的强效性。在安全性方面,患者治疗期间仅出现 1 级轻度不良反应,无严重毒副反应发生,耐受性良好,这与艾托组合抗体的独特药学设计密切相关。作为PD-1/CTLA-4双功能组合抗体,艾托组合抗体通过独特的MabPair®生物技术平台生产,其中抗 PD-1 单抗采用 IgG4 亚型,可避免效应 T 细胞的损耗,保证抗肿瘤免疫应答的持续性;抗 CTLA-4 单抗采用 IgG1 亚型并进行 Fc 段改构,既保留了杀伤调节性 T 细胞的效能,又缩短了半衰期,降低了免疫相关不良反应风险,在 DUBHE-C-206 研究中,其≥3 级治疗相关不良事件及导致停药的治疗相关不良事件发生率处于较低水平,进一步印证了其安全性可控的特点。
值得一提的是,艾托组合抗体已成功纳入2025年版国家医保目录,于2026 年1月起正式执行医保支付标准,这一政策落地将大幅降低患者的治疗经济负担,让更多像本例这样的多线复发患者能够“用得起、用得足”这款创新治疗药物,实现“好药可及”的临床目标。
综上所述,该病例的成功治疗再次印证了双免疫协同治疗在复发转移性宫颈癌中的巨大潜力,艾托组合抗体凭借其独特的双靶点协同机制、优异的疗效数据以及可控的安全性,为晚期宫颈癌患者,特别是多线治疗失败、因毒性无法耐受化疗的患者,提供了一种强有力的治疗新选择,有望帮助更多患者实现长期生存的目标。
[1] Liu JH, et al. March 2024 International Journal of Gynecological Cancer 34(Suppl 1):A5.1-A5 DOI:10.1136/ijgc-2024-ESGO.8
排版编辑:肿瘤资讯-jyy






苏公网安备32059002004080号