您好,欢迎您

转移性激素敏感性前列腺癌的综合治疗优选

2025年10月21日
整理:肿瘤资讯
来源:泌尿科那点事儿

1.png

为了更好的构建“医防协同”体系,促进医生学术交流与患者科普教育双轨并行,推动前列腺癌防治的发展和进步,北京卫康公益基金会主办“前列腺癌医防协同能力提升行动”项目,特邀全国泌尿领域相关专家分享实际临床诊疗经验。

本期由郭炬教授带来mHSPC诊治案例的分享,欢迎关注!

郭炬
医学博士,博士后,主任医师,副教授,博士生导师,泌尿外科科副主任

江西省医学会泌尿外科分会候任主委
美国Duke大学医学中心访问学者
江西省“赣鄱俊才支持计划*高层次高技能领军人才”
江西省泌尿系统疾病重点实验室副主任
中华医学会泌尿外科分会青年委员
江西省医师协会泌尿外科分会常委兼总干事
中国老年保健协会泌尿系统肿瘤慢病管理分会常务委员
中国研究型医院泌尿外科分会委员
中国性学会泌尿外科分会委员
海峡两岸医药卫生交流协会泌尿分会青年委员
江西省研究型医院学会泌尿外科分会委员
江西省整合医学会泌尿外科分会委员
中国泌尿外科“将才工程”赴美USC大学培训学员
EAU、SIU会员
江西省科学技术进步奖3项,江西省“肾斗士”腹腔镜手术视频比赛一等奖
《现代泌尿外科杂志》责任编委;《BMC cancer 》, 《中华实验外科杂志》等特约审稿人
主持国家自然基金和省基金计11项,以第一作者在Journal for immuno Therapy of cancer ,cancer letter,The prostate, Cell Death & Disease等杂志发表SCI50余篇,>10分以上计7篇
长期从事于泌尿系肿瘤基础和临床研究,擅长泌尿系肿瘤微创治疗

案例分析

基本信息

患者:男性,男,71岁。

主诉:检查发现PSA升高3天。

现病史:3天前单位体检发现PSA升高,TPSA:36.5ng/ml;fPSA 2.0ng/ml,伴尿频、尿急、尿不尽,夜尿5-6次/晚。完善泌尿系彩超:前列腺增大伴钙化,大小约41mm*47mm*34mm。门诊以“前列腺肿瘤的特殊筛查、PSA升高”收入院。

既往史/手术史/家族史:平素健康状况一般,否认高血压、糖尿病等病史。有吸烟、饮酒史。

相关检查

前列腺MR(平扫+增强+波谱)(2024-9-9)

2.png

前列腺体积增大,其前后径、左右径及上下径分别约35mm*45mm*38mm,T2W1显示前列腺中央带及移行带均匀性增大,移行带前缘见结节状DWI高信号,ADC低信号,直径约0.8cm,边界欠清晰,矢状位及冠状位显示前列腺向上部分突入膀胱,呈双弧形压迹,波谱分析前列腺局部见倒置峰改变。考虑前列腺Ca可能性大,PI-RADS 4分,建议临床必要时穿刺检查。

胸部+全腹部增强CT(2024-9-11)

3.png

1.前列腺稍大,强化欠均匀,请结合临床相关检查分析。2.左侧髂骨高密度影,转移?3.右肺中下叶斑片影,考虑感染,建议治疗后复查。4.右肺少许小结节,年度复查。5.气管内附壁黏液栓。6.肝囊肿;左肾结石;左肾上腺瘤可能。7.主动脉管壁少许钙化。

骨扫描(2024-9-11)

4.png

左侧髂骨骨代谢增高,考虑骨转移。

前列腺穿刺(2024-9-10)

在局麻下行超声引导下经会阴前列腺穿刺活检术,取出长约2cm组织条十三条送检。

术后病理:前列腺腺泡腺癌,Gleason评分如下:

5.png

疾病诊断

1.前列腺癌(T2NxM1,IV),低瘤负荷;2.骨继发恶性肿瘤;3.肺部感染;4.左肾上腺瘤;5.左肾结石;6.肝囊肿。

治疗经过

前列腺癌伴寡转移病灶,行MDT讨论:

  • 新辅助内分泌治疗±化疗,随后行前列腺癌根治术

  • 前列腺癌根治术+辅助ADT治疗

  • 放疗+ADT治疗

患者及家属考虑暂行ADT为基础新辅助内分泌治疗,后续根据随访结果行前列腺癌根治术。

最后定方案为:行戈舍瑞林微球+恩扎卢胺内分泌治疗、89-锶骨转移灶内照射治疗、地舒单抗骨保护治疗

用药6个月后复查腹部CT

戈舍瑞林+恩扎卢胺治疗6个月后,2025/3/31复查腹部CT:对比2024-09-11前片示:1.临床提示前列腺恶性肿瘤治疗后复查,前列腺较前减小。2.右肺中下叶斑片影已吸收好转。3.右肺少许小结节,较前大致相仿。4.原气管内附壁黏液栓已基本吸收。

6.png

用药6个月后复查骨扫描

戈舍瑞林+恩扎卢胺治疗6个月后,2025/4/2复查骨扫描:对比2024-09-11前片示:左侧髂骨骨代谢增高,较前稍缩小,考虑骨转移改变可能,建议结合相关检查。

7.png

TPSA水平

戈舍瑞林+恩扎卢胺治疗6个月后,患者TPSA由基线的28.2ng/ml下降至0.12ng/ml。

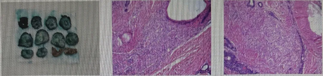
机器人辅助根治性前列腺切除术

泌尿外科团队联合肿瘤科、放疗科及医学影像科等多学科专家,结合最新循证医学证据讨论后,认为患者原发灶切除时机成熟。患者于2025-4-10接受机器人辅助操作腹腔镜下前列腺癌根治性切除术,术后病理:前列腺腺泡性腺癌(ypT2N0M1)。

8.png

9.png

血清PSA水平

10.png

治疗时间线

11.png

术后psa小于0.1ng/ml,术后三个月复查psa 0.06ng/ml。

案例总结

该例患者是一名转移性激素敏感性前列腺癌患者。延缓疾病进展、延长患者生存是mHSPC的首要治疗目标。新辅助治疗可有效降低术前肿瘤的分期并降低手术切缘阳性率,虽然目前尚无证据表明患者可得到生存预后获益,但新辅助治疗改善了局部瘤控,降低了根治性手术的难度,为根治性手术提供机会与可能。

需根据肿瘤负荷情况,提供个性化分层治疗。ADT+新型内分泌治疗是NCCN指南Ⅰ类推荐方案,体现了治疗的规范性。GnRH激动剂药物是ADT的重要选择,戈舍瑞林微球是2.2类改良新药,属于新一代促性腺激素释放激素激动剂(GnRHa)缓释制剂。其针对前列腺癌的注册研究(Study302)结果显示,在治疗中具有三大临床优势:一是维持去势平稳,维持去势比例数值上提高68%,且无患者出现睾酮波动;二是重复给药时无睾酮闪烁现象;三是安全性良好,不良事件发生率低1。因此,戈舍瑞林微球是前列腺癌患者去势治疗的优选方案。

对前列腺癌患者,骨扫描是排查骨转移的重要手段;一旦确诊骨转移,立即启动骨保护治疗至关重要。不仅能显著降低病理性骨折、脊髓压迫等骨相关事件的发生风险,还可与全身内分泌治疗协同作用,在延长患者总生存期(OS)和无进展生存期(PFS)的同时,为患者带来全面的临床获益。

对于部分寡转移前列腺癌患者,新辅助内分泌治疗+骨保护治疗+放射性核素治疗之后行根治性前列腺切除术,术后辅助内分泌治疗可以让部分患者有更大的获益。前列腺癌的治疗方案必须个体化,需综合考虑肿瘤生物学行为、患者身体状况、治疗目标及资源可及性。通过多学科协作、精准诊断技术及动态随访,可实现“同病异治”,最大化疗效并改善患者生活质量。

专家采访视频

参考文献

1.Gu C, et al. Chin Med J (Engl). 2023 May 20;136(10):1207-1215.

声明:本内容仅供医学药学专业人士阅读,不构成实际治疗建议。转载请后台联系授权,侵权必究!

排版编辑:肿瘤资讯-WJH