多发性内分泌腺瘤病2B型(MEN2B)是一种非常罕见但典型的常染色体显性遗传病,其临床表现复杂,可引起多个内分泌和非内分泌器官的肿瘤病变。MEN2B相关肿瘤具有侵袭性强、发病早的特点,给临床诊治带来了较大的挑战。本文分享一例MEN2B合并多处病变的完整诊疗过程,并结合多学科团队(MDT)的讨论,探讨了此类罕见病例的诊断思路、治疗策略选择及全程管理,以期为临床实践提供有价值的参考。
病例介绍
患者基本情况:陈某某,男性,42岁。
主诉:反复头晕4年。
外院诊疗经过:患者自幼面容特殊,长期便秘。2015年因“甲亢”于当地医院行手术治疗,具体不详。2017年起,患者反复出现头晕、心慌、便秘等症状,当时考虑颈椎问题所致,遂前往当地医院就诊,行检查提示颈椎骨质增生,当时对症支持治疗。后头晕症状未见明显好转,偶有活动后心跳加速,心慌等不适。偶有畏寒、冒冷汗,休息半小时后可自行缓解。近来自觉头晕较之前加重,双下肢乏力,伴有腹胀、便秘等不适。曾诊断高血压病,最高血压260mmHg。服用硝苯地平、特拉唑嗪等降压药物,血压控制不详。
2021年12月13日,当地县人民医院就诊:CT检查提示:1.腹主动脉CTA未见明显异常;2.两侧肾上腺占位,结合临床首先考虑肾上腺髓质来源病变,嗜铬细胞瘤可能性大,未能除外肾上腺转移瘤及肾上腺皮质癌;3.腹膜后小淋巴结,4.十二指肠壁轻度增厚,拟炎症;结肠明显扩张、积气,5.间位结肠。

广西医科大学第一附属医院诊疗经过:为求进一步治疗,患者于2021年12月24日来到广西医科大学第一附属医院就诊。
查体:P:102次/分,BP:148/69mmHg。马凡面容,鼻、嘴唇肥厚,有口舌黏膜神经瘤,眼睑厚,全身浅表淋巴结(-),双肺(-),心界不大,心率102次/分,心律齐,各瓣膜区未闻及杂音。腹部外形正常,全腹柔软,无压痛及反跳痛,腹部未触及包块,外生殖器发育正常,两侧睾丸附睾大小形态正常,直肠指诊:肛门括约肌紧张度正常,未触及肿物。

实验室检查:血常规提示贫血,血红蛋白92.0g/L;血生化可见低钾血症,血钾3.17mmol/L;另外,患者空腹血糖明显升高,为12.65mmol/L,糖化血红蛋白HbA1c11.10%。而降钙素、甲状旁腺素正常。

内分泌相关检测:
肾上腺髓质:血浆儿茶酚胺检测示多巴胺、肾上腺素、去甲肾上腺素水平及24小时尿VMA均显著升高。
肾上腺皮质:血皮质醇显著升高,昼夜节律消失,提示皮质功能亢进。
甲状腺及垂体:降钙素、癌胚抗原(CEA)正常;甲状旁腺激素(PTH)正常;促甲状腺激素(TSH)、卵泡刺激素(FSH)、黄体生成素(LH)均有升高。
生长激素:GH升高,但胰岛素样生长因子-1(IGF-1)在正常范围。



影像学检查:
常规心电图检查(十二通道):窦性心动过速;P波增高;T波改变;QT间期延长。
心脏超声:1、符合高血压所致心脏改变并主动脉瓣轻度关闭不全。2、卵圆孔未闭可能,房水平左向右少量分流。3、左室舒张功能降低,收缩功能测定在正常范围。
彩色超声(泌尿系统):左侧肾上腺区域低回声团,性质待定。前列腺增生并钙化膀胱内稍强光点沉积,尿沉渣?双肾回声未见异常双侧输尿管未见扩张。
甲状腺彩超提示左叶下极可见一大小约0.3*0.4*0.3cm的低回声团(C-TIRADS 4b类),建议行细针穿刺活检(FNAB)。


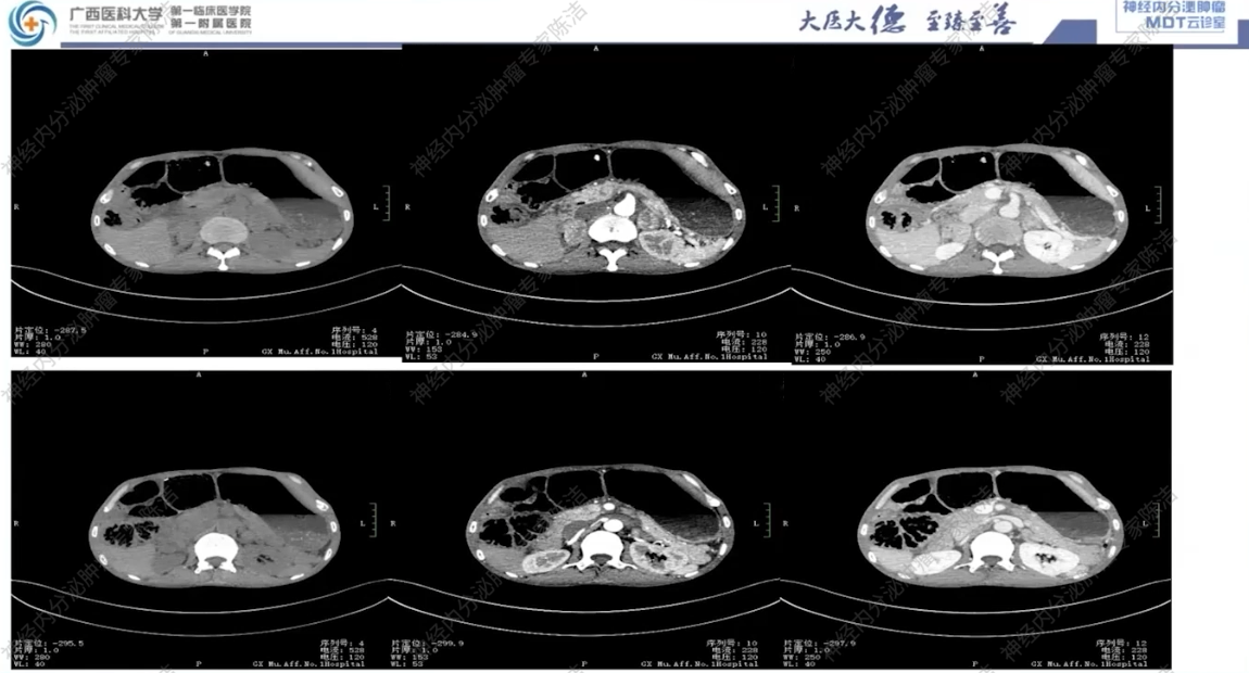
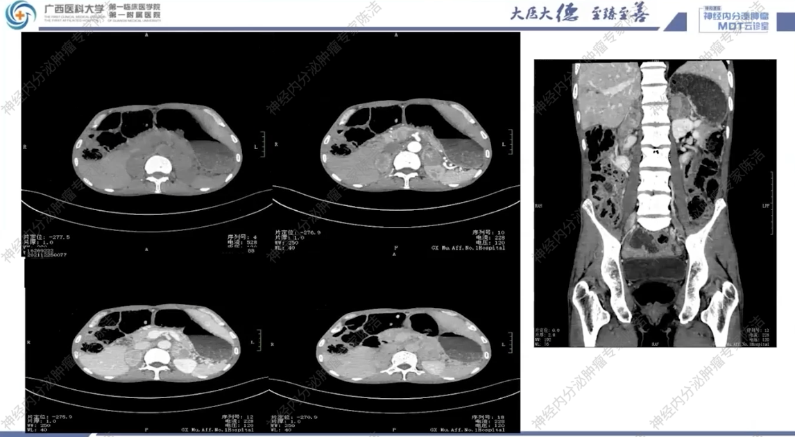
CT:双侧肾上腺占位伴双肺多发结节,考虑恶性嗜铬细胞瘤伴肺转移可能性大;同时可见双肾囊肿、肠郁张、双肺慢性炎症及肺气肿。




垂体MRI:提示垂体左侧部可疑异常信号,考虑垂体微腺瘤可能。

广西医科大学第一附属医院MDT讨论:
建议双侧肾上腺手术治疗;
肺部结节建议穿刺;
予完善皮质醇、ACTH、甲状旁腺素、生长激素、胰岛素样生长因子、垂体磁共振检查及双侧肾上腺分侧采血明确ACTH升高来源。
与患者及家属沟通行基因检测。

随后,复查皮质醇、胰岛素样生长因子正常,生长激素偏高。


基因检测:为明确诊断,对患者外周血进行了基因检测,结果显示存在RET基因胚系突变,为M918T极高危突变。

手术治疗:2022年1月11日,患者接受了双侧肾上腺肿瘤切除术。术中探查发现,双侧肾上腺均可触及巨大肿块,同时在肝脏下缘发现一大小约1.5cm的硬结,一并切除。

术后病理:
(双侧)肾上腺:符合嗜铬细胞瘤。免疫组化:CD56(+), Syn(+), CgA(+), S-100(+), NSE(+)等神经内分泌标记物阳性,上皮标记CK阴性,Ki-67<1%。
(肝脏)肿物:符合神经内分泌肿瘤(G1级)。免疫组化:CD56(+), CgA(+), Syn(+)阳性,同时TTF-1灶性阳性,CK7(+),S-100部分阳性。结合临床,考虑为转移性病变。


最终诊断:
多发性内分泌腺瘤病 2型B(MEN2B),恶性嗜铬细胞瘤(双侧);肝转移性神经内分泌肿瘤(原发灶考虑为甲状腺髓样癌);甲状腺结节性质待定(高度怀疑甲状腺髓样癌);腺垂体占位;巨结肠;肺转移瘤?
2型糖尿病;
重度营养不良;
单纯性肾囊肿(双侧)。

多学科团队(MDT)讨论
影像诊断科汤伟教授:影像学上,患者双肺多发结节,边界清晰,高度怀疑为转移瘤。腹部CT可见肠管明显扩张积气,呈肠梗阻样改变,符合巨结肠的表现。双侧肾上腺可见富血供的占位,符合嗜铬细胞瘤。垂体MRI平扫虽未做增强,但冠状位可见垂体左侧有低信号微腺瘤的可能,建议行垂体薄层动态增强扫描以明确诊断。
病理科黄丹教授:肾上腺病理为嗜铬细胞瘤,而肝脏肿物虽然也是神经内分泌肿瘤,但其免疫组化表达上皮标记物CK7和CK,与非上皮源性的嗜铬细胞瘤不同,证实两者为不同来源的肿瘤。肝脏转移瘤需结合临床排除其他器官的原发灶。
核医学科徐俊彦教授:对于髓样癌和嗜铬细胞瘤这类神经内分泌肿瘤,多巴胺PET-CT显像在诊断和分期评估上,其敏感性和特异性均优于传统的生长抑素受体(SSTR)显像和FDG显像,建议该患者进行该检查协助诊断。
头颈外科王宇教授:RET基因M918T突变是MEN2B型的特征,其发展为甲状腺髓样癌(MTC)的风险接近100%。尽管患者目前降钙素水平正常,但不能排除MTC的可能,有时一些罕见病例可不伴有降钙素升高。强烈建议对残余的甲状腺结节进行穿刺活检。一旦证实肺、肝转移灶来源于MTC,即便已是晚期,也应积极考虑行全甲状腺切除术,以去除原发灶。对于已发生远处转移且有RET基因突变的晚期MTC,可考虑使用高选择性RET抑制剂进行靶向治疗。
陈洁教授总结
本病例是一个典型的MEN2B综合征案例,其诊断复杂,凸显了临床医生对此类罕见遗传性疾病识别能力的重要性。
诊断的关键:患者具有典型的MEN2B体貌特征(马凡脸、黏膜神经瘤)、巨结肠以及双侧嗜铬细胞瘤,这些都是重要的临床线索。最终通过RET基因检测发现M918T极高危致病性突变,从而确诊。这提示我们,在临床工作中识别多发内分泌腺瘤病的特征性表现至关重要。对于该患者,在基因检测明确RET基因突变后,尚需对患者家属进行RET基因检测,以及早发现携带该致病突变的家属并进行后续检查。
治疗的复杂性:该病例涉及多个内分泌器官受累(甲状腺、肾上腺、垂体、肝脏转移),处理顺序需谨慎。一般原则是优先处理致命性风险最高的病变,即嗜铬细胞瘤,以避免高血压危象等严重并发症。
后续治疗的挑战:当前最大的挑战是明确肺部和肝脏病灶的性质。虽然病理提示肝脏病灶为转移性NET,且TTF-1阳性指向甲状腺髓样癌来源,但仍需通过对肺部或甲状腺结节的穿刺活检来最终确认。一旦确诊为转移性MTC,患者将有机会从针对RET突变的靶向药物治疗中获益。对于巨结肠,其术前处理与常规的外科原则一致。
该病例得以正确诊治,得益于多学科的协作与深入讨论,为未来处理类似复杂遗传性神经内分泌肿瘤病例积累了宝贵的经验。
更多精彩病例,可点击或复制以下链接,粘贴到浏览器查看神经内分泌肿瘤MDT云诊室-遗传性神经内分泌肿瘤专场回放:
https://doctor.liangyihui.net/#/doc/90543


本文仅供健康科普使用,不能作为诊断、治疗的依据,请谨慎参阅。






苏公网安备32059002004080号