您好,欢迎您

循证有例|误认为是恶性肿瘤?一例生长15年的巨大乳腺表皮样包涵囊肿诊疗回顾

03月05日
来源:肿瘤资讯

表皮样包涵囊肿(epidermal inclusion cyst, EIC)是由鳞状上皮在真皮内增殖形成的良性病变,常见于头皮、躯干及四肢,发生于乳腺实质内极为罕见,临床报道不足 100 例,年发病率仅约 3 例。因其影像学表现常与恶性肿瘤重叠,易被误判为乳腺癌,导致过度医疗干预。本文通过一例病程长达 15 年的乳腺表皮样包涵囊肿病例,结合文献探讨该疾病的临床特点、影像学特征及鉴别要点,旨在帮助临床医生提高对该病的识别能力 [1]

病例介绍:15 年增大的乳腺无痛肿块

患者,女,38 岁,因“右乳肿块 15 年,近期增大”就诊。

基础病史无殊,无乳腺癌、卵巢癌等恶性肿瘤家族史;因上消化道症状(进行性吞咽困难)住院,乳腺肿块为偶然发现。

临床检查与影像学表现

体格检查:右乳内上象限可触及 6×5cm 实性肿块,质地坚硬,活动度可,无压痛;皮肤无红斑、溃疡、凹陷或橘皮样改变,乳头无内陷及异常溢液,双侧腋窝、锁骨上淋巴结未触及肿大。

乳腺超声(图1):右乳可见边界清晰的不均质实性结节,内部见线状强回声呈“洋葱环”样排列,彩色多普勒血流显像无内部血流信号。

图片1.png

图 1 乳腺超声(右乳)

乳腺钼靶(图 2A、2B):右乳内下象限见高密度、边界规整结节,断层合成技术显示边缘更清晰。

图片2.png

图 2 (A)双侧数字化乳腺钼靶(头尾位):右乳内侧象限可见高密度结节,边界规整(黄色箭头);(B)右乳单侧断层合成成像:更清晰显示结节边界规整特征(红色箭头)。

乳腺 MRI(图 3):3.0T MRI 示结节呈椭圆形、边界清晰,T1 加权像呈中等信号,T2/STIR 序列呈不均质高信号,弥散加权成像(DWI)明显弥散受限(ADC 值 0.4×10⁻³mm²/s),动态增强扫描呈环形强化,强化曲线为 1 型(渐进性),影像学分级为 BI-RADS 4 类。

图片3.png

图 3 MRI

诊疗经过

病理活检

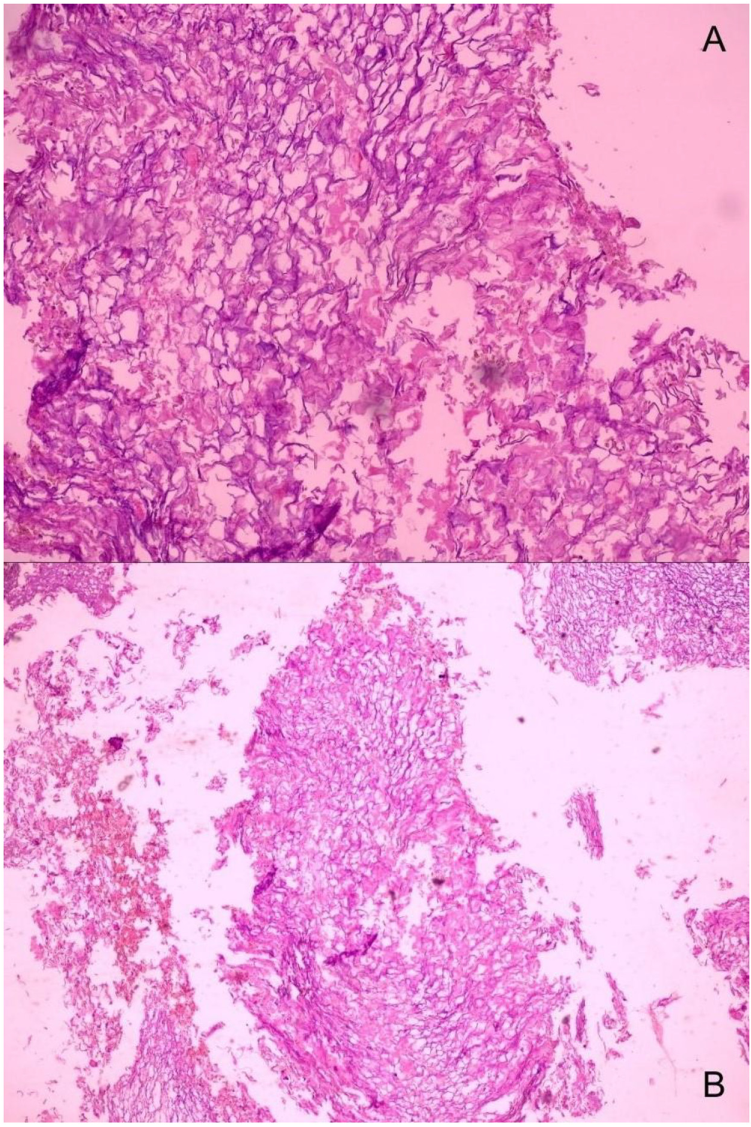
因肿块体积大、影像学表现可疑,行超声引导下 14G 针芯穿刺活检,组织病理示:囊肿壁由复层鳞状上皮构成,囊内充满层状角蛋白,符合表皮样包涵囊肿诊断(图 4)。

图片4.png

图4 (A)H&E染色,10倍放大:可见大量层状角蛋白及散在红细胞,符合表皮样包涵囊肿的典型成分;(B)H&E染色,4倍放大:可见大量角蛋白条索。

手术治疗与随访

行肿块完整切除术,术后病理再次证实表皮样包涵囊肿诊断,无恶变迹象。术后恢复顺利,随访期间无复发。

讨论

疾病特点与发病机制

临床特征:多表现为长期存在的无痛性肿块,生长缓慢,病程可达数年至数十年,本例病程长达 15 年,符合“惰性进展”特点;肿块多为单发,边界清晰,活动度良好,一般无皮肤受累及淋巴结肿大。

发病机制:尚未完全明确,可能与以下因素相关:

  • 创伤或医源性因素:手术、外伤导致表皮组织植入乳腺实质;

  • 皮脂腺导管阻塞:角蛋白堆积形成囊肿;

  • 先天性因素:胚胎发育时鳞状上皮异常包涵于乳腺组织内。

本例无明确诱因,推测可能为先天性或隐匿性微小创伤导致。

典型影像学表现

  • 超声:边界清晰,不均质回声,“洋葱环”样分层结构(交替低回声与高回声层),无内部血流信号,是重要鉴别特征;

  • 钼靶:高密度、边界规整结节,部分可见角蛋白碎屑或慢性炎症导致的钙化;

  • MRI:T2 高信号、弥散受限(因角蛋白黏度高,非细胞密集导致),环形强化和1 型强化曲线,无恶性肿瘤的毛刺状边缘、微小分叶等特征。

治疗与预后

治疗原则:

  • 保守治疗:体积小、无症状、影像学特征典型的病变,可定期随访观察;

  • 手术治疗:肿块较大、进行性增大、反复感染、有破裂风险或诊断不明确时,建议手术切除,完整切除囊肿壁可降低复发率(复发率极低)。

预后:乳腺表皮样包涵囊肿为良性病变,恶变风险较低,术后预后良好,本例随访无复发,不影响患者生存。

小结

乳腺表皮样包涵囊肿虽罕见,但具有典型的临床与影像学特征:长期病程、缓慢生长、“洋葱环”样超声表现、环形强化和1 型曲线的 MRI 特征,结合穿刺活检可明确诊断。临床遇乳腺边界清晰、长期存在的肿块时,需将其纳入鉴别诊断,避免仅凭弥散受限、环形强化等“疑似恶性信号”误判为乳腺癌。精准结合临床病史、多模态影像学特征及病理活检,是避免过度治疗的关键。未来需更多病例积累,建立标准化的诊断与管理流程,提高对该类罕见良性病变的识别准确率。

参考文献

Vásquez-Rentería PD, Claure-Robles DD, Grados-Godenzi DA, Coronel-Arias S. Epidermal inclusion cyst of the breast: A case report. Radiol Case Rep. 2026;21:1919–1925. doi:10.1016/j.radcr.2026.01.065

责任编辑:肿瘤资讯-Jina
排版编辑:肿瘤资讯-slb
版权声明
本文专供医学专业人士参考,未经著作人许可,不可出版发行。同时,欢迎个人转发分享,其他任何媒体、网站如需转载或引用本网版权所有内容,须获得授权,且在醒目位置处注明"转自:良医汇-肿瘤医生APP"。

评论
03月10日
雷昕奕
永州市中心医院 | 胃肠外科
一例生长15年的巨大乳腺表皮样包涵囊肿诊疗回顾。
03月05日
吴耀禄
延安大学附属医院 | 普通外科
表皮样包涵囊肿(epidermal inclusion cyst, EIC)是由鳞状上皮在真皮内增殖形成的良性病变,常见于头皮、躯干及四肢
03月05日
武亚东
首都医科大学附属北京友谊医院 | 肿瘤外科
好好学习天天向上