您好,欢迎您

循证有例 | 突破“禁区”:维迪西妥单抗(RC48)单药治疗放疗后进展的 HER2 阳性乳腺癌症状性脑转移

02月27日
来源:肿瘤资讯

人表皮生长因子受体2(HER2)是乳腺癌治疗中的关键靶点。随着抗 HER2 靶向药物的不断更迭,HER2 阳性晚期乳腺癌患者的生存期得到了显著延长。然而,随之而来的脑转移(BM)发生率也随之升高,已成为影响患者预后和生活质量的重大公共卫生问题。据统计,约 50% 的 HER2 阳性转移性乳腺癌患者在病程中会发生脑转移,这一比例显著高于其他分子亚型。目前,手术和局部放疗仍是脑转移的主要治疗手段,但放疗后的局部复发或新发病灶比例较高,且多次放疗可能导致神经认知功能受损。本期【循证有例】精选一篇案例报道如下,以飨读者。

图片13.png

案例背景与诊疗经过

该研究报道了一例 45 岁的女性患者,于 2017 年 8 月确诊为左侧 IV 期 HER2 阳性乳腺癌(cT4bN3cM1),初始诊断时已伴有淋巴结、骨和肝脏的多发转移。患者初始接受了 epirubicin 联合环磷酰胺的序贯化疗,随后采用帕妥珠单抗联合曲妥珠单抗的靶向治疗,并进行了左侧乳腺癌改良根治术。术后,患者接受了内分泌治疗、靶向维持治疗及局部放疗。2019 年 4 月,患者因头痛、恶心入院,颅脑 MRI 证实为多发脑转移。随后,患者接受了全脑放疗(WBRT,40 Gy/20f),同时联合吡咯替尼和卡培他滨的系统治疗。虽然局部放疗初期获得了部分缓解,但患者因无法耐受严重的胃肠道反应,系统治疗方案的执行受到限制。至 2021 年 9 月,患者再次出现头痛、恶心及步态不稳等症状,复查 MRI 显示脑部病灶较前增大,提示颅内病情进展,而颅外病灶保持稳定。考虑到患者既往已接受过全脑放疗且拒绝再次放疗,同时当时在国内获取新型 HER2 靶向药物(如 T-DXd、妥卡替尼)受限,经临床团队评估后,决定从 2021 年 9 月起启动国产新型抗体偶联药物(ADC)维迪西妥单抗(Disitamab Vedotin,RC48)单药治疗。

临床疗效与安全性评价

维迪西妥单抗治疗的临床反馈显著。在接受首个周期的单药治疗后,患者的头痛、呕吐及步态不稳等神经系统症状迅速改善,临床医师随后逐步停用了降颅压的皮质类固醇药物。

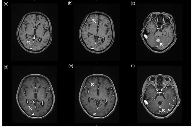
图片14.png

图1. 维迪西妥单抗(RC48)治疗前后的颅脑MRI对比。 A-D:基线期(2021年9月),显示多发强化的脑转移病灶。 E-H:维迪西妥单抗治疗5周期后,病灶显著缩小,评价为部分缓解(PR)。

在完成 5 个周期的治疗后,颅脑 MRI 影像显示多发脑转移结节显著缩小,评价为部分缓解。更具临床意义的是,该患者在 RC48 单药治疗期间,颅内病灶的无进展生存期(PFS)达到了 12 个月,远超既往预期。在安全性方面,患者表现出良好的耐受性,未出现明显相关的毒性或血液学异常,且避免了重复放疗可能带来的神经认知功能受损,保障了较高的生活质量。

维迪西妥单抗治疗脑转移的机制探讨

长期以来,由于血脑屏障(BBB)的存在,大分子药物(如单克隆抗体、ADC)被认为难以进入中枢神经系统发挥作用,因此脑转移的系统治疗研究早期多集中于小分子酪氨酸激酶抑制剂(TKI)。然而,该案例及相关研究挑战了这一传统观点。研究发现,在脑转移发生的情况下,肿瘤引起的缺氧和血管内皮损伤会破坏血脑屏障的完整性,增加其通透性。此外,局部放射治疗(如 WBRT)也会进一步物理性损伤血脑屏障,这种“辅助效应”可能促进了大分子 ADC 药物进入脑实质病灶。

维迪西妥单抗作为一种创新型 ADC 药物,其结构特点决定了其强效的杀伤能力。它由新型人源化 HER2 抗体 Disitamab、可裂解连接子以及细胞毒载荷单甲基奥瑞他汀 E(MMAE)组成。其抗体部分对 HER2 具有更高的亲和力。尽管其药物抗体比(DAR)为 4,略低于 T-DXd 的 8,但其携带的 MMAE 具有较强的膜渗透性。当 ADC 药物在肿瘤细胞内裂解后,游离的 MMAE 不仅可以杀伤靶向细胞,还能通过“旁观者效应”跨过细胞膜消除周围的异质性肿瘤细胞,这在克服肿瘤内异质性方面具有独特优势。

现状与未来展望

目前,HER2 阳性乳腺癌脑转移的治疗格局正在发生深刻变革。虽然图卡替尼联合方案及 T-DXd分别 在 HER2CLIMB 和 TUXEDO-1 等国际研究中已证实了优异的颅内活性,但在部分地区,药物的可及性和昂贵的治疗成本仍是临床决策中的瓶颈。维迪西妥单抗在既往的临床研究(如 NCT03052634)中已显示出在 HER2 阳性晚期乳腺癌中的稳定疗效,ORR 达 42.9%,中位 PFS 约 6.0 个月,但针对症状性脑转移的亚组数据尚不充分。

screenshot-20260227-181255.png注:上表汇总的数据来源于不同的临床试验,鉴于各研究在试验设计(单臂 vs 随机对照)、样本量大小、患者基线(特别是既往抗 HER2 治疗线数、脑转移为活动性或稳定期、是否经过局部放疗)以及疗效评估标准方面存在显著异质性,表中的 CNS-ORR 和中位 PFS 数据仅作横向展示,不宜直接进行头对头的跨研究优劣对比。 临床决策需结合具体研究的入组标准与患者真实情况个体化制定。

该案例报道为 RC48 在处理经过放疗后进展的症状性脑转移患者提供了宝贵的循证证据。未来的临床实践中,仍需开展前瞻性、大规模的临床试验和真实世界研究,以进一步明确 RC48 在不同分子亚型、不同脑转移负荷患者中的具体价值,并探索其与局部放疗的最佳序贯或联合模式。

结语

综上所述,维迪西妥单抗在 HER2 阳性乳腺癌脑转移患者中展现出了卓越的抗肿瘤活性和良好的安全性。对于放疗后进展、症状显著且治疗选择有限的患者,RC48 单药方案不仅能迅速缓解神经系统症状,更能提供持久的颅内控制。随着未来更多前瞻性临床试验的开展,我们期待维迪西妥单抗能为更多乳腺癌脑转移患者带来新的生存希望。


参考文献

Yang, Cana; Zhang, Cuib; Huang, Yisidanb; Zhu, Xiongb; Jiang, Jiaa; Zeng, Yutingc; Zhang, Hanqunc; Li, Liboc; Liu, Yuncongc; Li, Yongc. Efficacy of disitamab vedotin (RC48) for previously treated human epidermal growth factor receptor 2–positive breast cancer with symptomatic brain metastases: a case report and review of the literature. Anti-Cancer Drugs 36(5):p 440-445, June 2025.


责任编辑:肿瘤资讯-Kelly
排版编辑:肿瘤资讯-slb
版权声明
本文专供医学专业人士参考,未经著作人许可,不可出版发行。同时,欢迎个人转发分享,其他任何媒体、网站如需转载或引用本网版权所有内容,须获得授权,且在醒目位置处注明"转自:良医汇-肿瘤医生APP"。

评论
03月02日
吴向荣
石家庄市平安医院 | 肿瘤内科
人表皮生长因子受体2(HER2)是乳腺癌治疗中的关键靶点。随着抗 HER2 靶向药物的不断更迭,HER2 阳性晚期乳腺癌患者的生存期得到了显著延长。
03月02日
李志娟
林西县医院 | 肿瘤内科
维迪西妥单抗在 HER2 阳性乳腺癌脑转移患者中展现出了卓越的抗肿瘤活性和良好的安全性
03月02日
武东妍
兰考县中心医院 | 肿瘤内科
好好学习天天向上