您好,欢迎您

突破瓶颈,预见未来:从一例PFS超30个月的HER2阳性胃癌“超级应答”病例看泽尼达妥单抗一线治疗新格局

02月25日
整理:肿瘤资讯
来源:肿瘤资讯

HER2阳性晚期胃癌的一线治疗曾长期依赖曲妥珠单抗联合化疗,尽管其奠定了标准治疗的基石,但中位无进展生存期(PFS)不足1年、中位总生存期(OS)不足2年的生存瓶颈始终难以突破。随着双特异性抗体技术的崛起,泽尼达妥单抗作为靶向HER2的创新药物应运而生,并在备受瞩目的HERIZON-GEA-01 Ⅲ期研究中取得了颠覆性的疗效。


鉴于此,【肿瘤资讯】特邀湖南省肿瘤医院消化内一科李婷教授分享一例入组该研究的典型病例,并邀请刘振洋教授李蓉蓉教授分别进行深度点评。该患者初诊即为Ⅳ期,伴有肝胃间隙、腹膜后淋巴结及双肺多发转移,免疫组化HER2 3+。在接受泽尼达妥单抗联合化疗一线治疗后,实现了迄今长达30个月的PFS,并维持着持续的深度缓解。这不仅是临床个体化治疗的成功典范,更是HERIZON-GEA-01研究优异数据的有力实证,为我们开启HER2阳性胃癌“长生存”时代提供了全新的临床视角。

病例分享

李婷 教授
主治医师

中山大学肿瘤防治中心肿瘤学博士
芙蓉计划湖湘青年英才荷尖人才
主持国家自然科学基金委青年基金
主持湖南省自然科学基金委优秀青年基金
湖南省免疫学会青年委员
近五年以第一作者及通讯作者发表论文10余篇,包括Gut,STTT,Oncogene,CTM,Cancer letters等,累计影响因子100+,被引1000余次

基本情况 

患者,男,44岁。

2023年4月底无明显诱因出现上腹痛,表现为剑突下阵发性隐痛,进食后加重。2023年6月于外院行胃镜及胸腹部CT检查,结果提示胃癌。病理诊断示:(贲门)中分化腺癌。免疫组化结果:HER2(3+);MUC5AC(+);Ki67 70%;pMMR(MLH1、PMS2、MSH2、MSH6均为阳性)。为求进一步诊治,于2023年6月8日收治我院。

辅助检查

2023.6.8 胸腹部+盆腔CT:1. 胃底贲门部胃壁增厚,考虑胃底贲门癌,并肝胃间隙及腹膜后多发淋巴结转移瘤(大者短径20mm)、双肺多发转移瘤可能性大(大者长径6mm);2. 左侧髂骨、右侧坐骨及骶骨高密度影,考虑骨岛或骨转移瘤。

2023.6.9 超声胃镜:贲门肿物考虑癌可能性大,病变累及贲门壁全层。

2023.6.13 骨扫描:未见明显骨转移征象。

诊断

胃贲门癌,cT3~4N+M1,中分化腺癌,肝胃间隙淋巴结、腹膜后淋巴结转移,双肺转移,HER2(3+),pMMR。

治疗经过

经完善筛选期相关所有检查,患者符合一项“在患有不可切除的局部晚期或转移性HER2阳性胃食管腺癌(GEA)的受试者中评估泽尼达妥单抗联合化疗、联合或不联合替雷利珠单抗疗效的随机多中心Ⅲ期研究”。2023年6月30日,患者随机给药,入组至奥沙利铂 + 卡培他滨(XELOX)化疗组。

  • 2023.6.30~2023.7.21:泽尼达妥单抗 + XELOX方案化疗2周期。

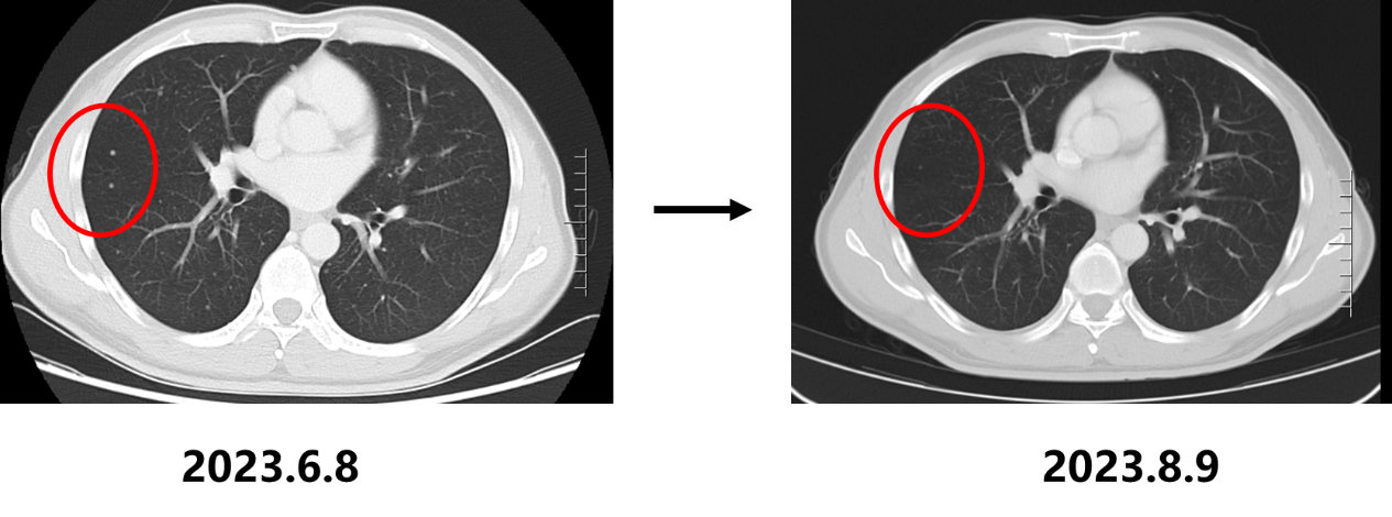
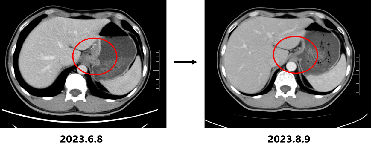
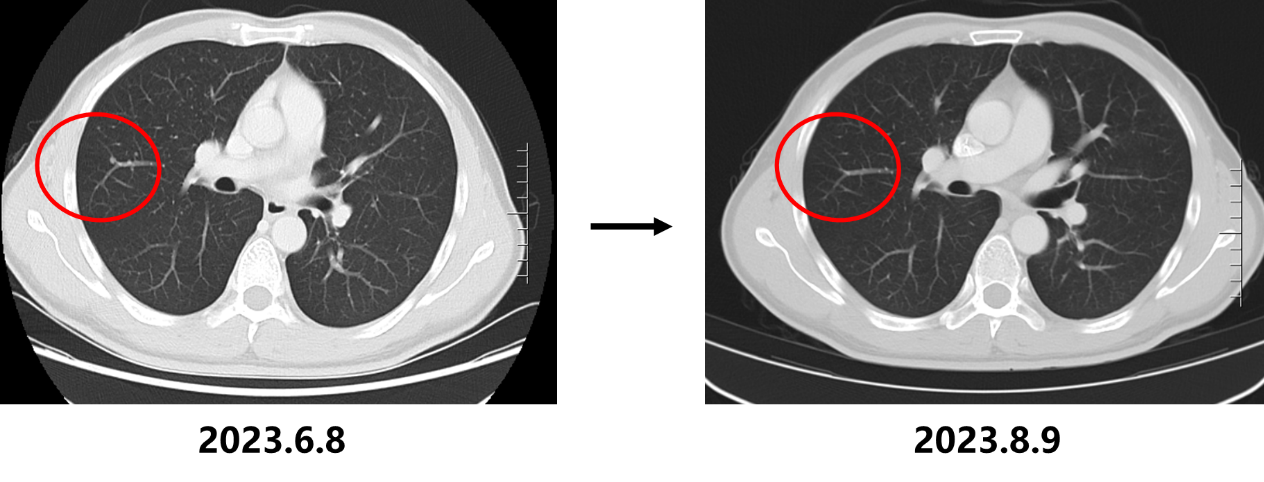
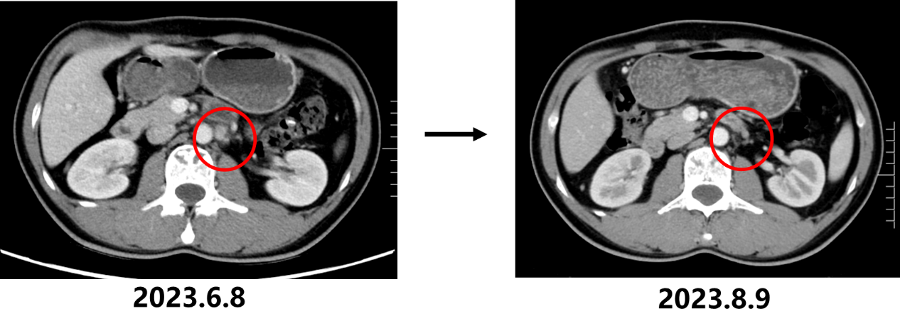
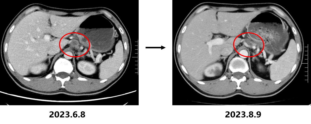
  • 2023.8.10复查CT:胃底贲门部胃壁增厚明显改善,肝胃间隙及腹膜后多发淋巴结转移瘤较前缩小(大者短径17mm)、双肺多发转移瘤较前缩小、减少,疗效评估为部分缓解(PR)。


  • 2023.8.11-2023.11.8:泽尼达妥单抗 + XELOX方案化疗5周期。

  • 2023.9.26复查CT:胃底贲门部胃壁未见明显增厚,肝胃间隙淋巴结较前缩小(长径约0.4cm),腹膜后小淋巴结同前。现双肺未见转移瘤。

  • 2023.11.30~2026.1.12:泽尼达妥单抗 + 卡培他滨方案化疗维持36周期。

  •  期间患者定期复查CT,持续维持深度缓解(PR)。

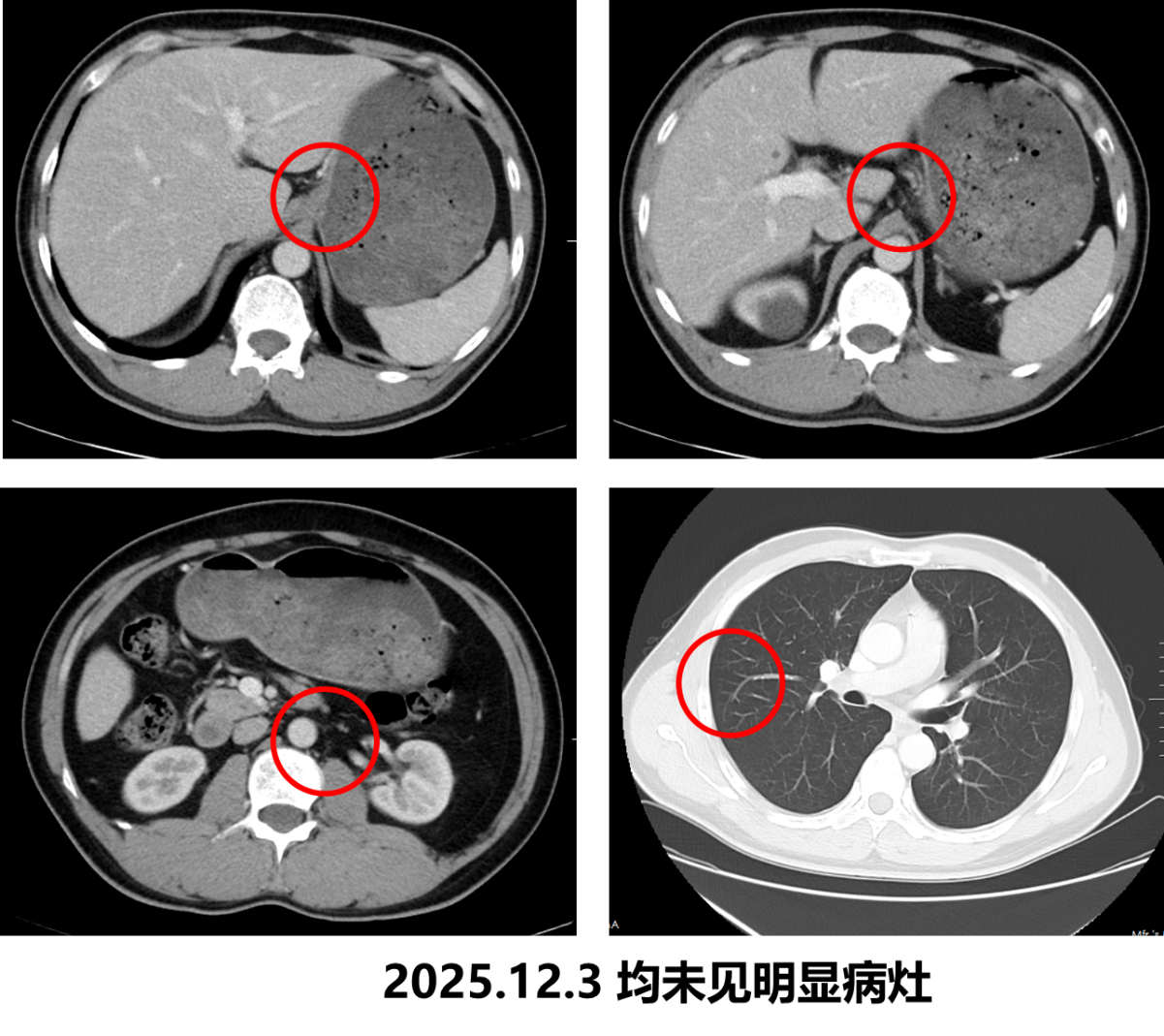
  • 2025.12.3 复查CT:胃底贲门部胃壁稍厚大致同前,肝胃间隙、腹膜后小淋巴结同前。双肺纤维灶大致同前。
     

肿瘤标志物动态监测显示癌胚抗原(CEA)和糖类抗原199(CA199)均在治疗后迅速下降,并长期维持在正常范围内。

病例总结

该患者为一名44岁男性,确诊胃贲门癌(cT3-4N+M1),伴肝胃间隙及腹膜后淋巴结、双肺转移,HER2(3+),pMMR。患者一线入组临床研究,接受泽尼达妥单抗联合XELOX方案治疗。治疗2周期后复查CT显示胃壁增厚明显改善,多处转移淋巴结及肺部转移病灶明显缩小,疗效评估达到部分缓解(PR)。随后患者完成联合化疗并接受泽尼达妥单抗联合卡培他滨维持治疗长达36周期。治疗期间肿瘤标志物(CEA、CA199)迅速下降并长期维持在正常范围。截至2026年1月末次用药,患者复查CT提示病情稳定,持续深度缓解,一线治疗无进展生存期(PFS)已达30个月。

病例点评

专家点评


刘振洋 教授
主任医师

湖南省医学会消化肿瘤内科学组组长
湖南省抗癌协会肿瘤靶向治疗专委会主任委员
湖南省抗癌协会大肠癌专委会副主任委员
湖南省抗癌协会家族遗传性肿瘤专委会副主任委员
湖南省医促会恶性肿瘤精准与综合诊疗专委会副主任委员
中国抗癌协会肿瘤靶向治疗专委会委员
中国抗癌协会胰腺病诊治专委会委员
中国抗癌协会神经内分泌肿瘤专委会委员
中国医疗保健国际交流促进会消化肿瘤综合诊疗学分会委员

刘振洋教授:本病例展示了一位44岁HER2阳性晚期胃贲门癌患者的抗癌历程。确诊时,患者已伴有广泛的肝胃间隙、腹膜后淋巴结及双肺转移(cT3~4N+M1),属于预后较差的高瘤负荷人群。然而,该患者在入组HERIZON-GEA-01 Ⅲ期临床研究并接受泽尼达妥单抗联合化疗(B组) 一线治疗后,不仅迅速达到部分缓解(PR),且迄今PFS已长达30个月,持续深度缓解。这一个案不仅远超既往标准治疗的预期,也成为了HERIZON-GEA-01研究优异数据的生动注脚。

HERIZON-GEA-01研究通过设置三个治疗组,全面评估了泽尼达妥单抗在不同联合模式下的疗效,有望改写该领域的治疗格局。作为对照的标准治疗组(A组,曲妥珠单抗+化疗),其中位PFS为8.1个月,中位总生存期(OS)为19.2个月,显示出传统单抗治疗的获益瓶颈。

相比之下,泽尼达妥单抗联合化疗组(B组,即本病例所在组)展现了显著的优效性。该组中位PFS延长至12.4个月,较对照组提升了4.3个月,疾病进展或死亡风险降低了35%(HR 0.65,P<0.0001);中位OS更是达到了24.4个月,较对照组延长了5.2个月(HR 0.80)。本例患者的PFS(30个月)几乎是该组中位PFS的2.5倍,表明对于年轻、体能状态良好的患者,该方案具有极高的获益上限。

此外,三联模式的C组(泽尼达妥单抗+替雷利珠单抗+化疗)同样实现了12.4个月的中位PFS,而其中位OS更是达到了惊人的26.4个月,较标准治疗延长了7.2个月,死亡风险显著降低28%(HR 0.72),创下了目前HER2阳性胃癌一线治疗中报告的最长生存记录。

专家点评


李蓉蓉 教授
主任医师

湖南省抗癌协会肿瘤营养专业委员会副主任委员
湖南省抗癌协会肿瘤靶向治疗专业委员会秘书
2025年 “人民好医生 金山茶花计划 ”胃癌领域优秀典范
2024 ASCO GI poster 1篇;2024CCHIO poster 1篇;2023 ASCO Annual Meeting Abstract 1篇;2022 ASCO Annual Meeting Abstract 2篇
近五年以第一作者在“International Journal of Cancer”等杂志发表SCI文章6篇

李蓉蓉教授:除了生存期的延长,缓解的深度与持久性也是泽尼达妥单抗区别于曲妥珠单抗的重要特征。研究数据显示,相比标准治疗组65.7%的客观缓解率(ORR)和仅8.3个月的中位缓解持续时间(DOR),泽尼达妥单抗组优势明显:B组的ORR提升至69.6%,中位DOR延长至14.3个月;C组的ORR高达70.7%,中位DOR更是长达20.7个月。本病例患者在治疗初期即迅速达到PR,并在后续近2年时间内维持未进展,正是得益于该药“一旦起效,长久维持”的特性。

这种临床突破源于泽尼达妥单抗作为双特异性抗体独特的作用机制。与传统的单克隆抗体(如曲妥珠单抗)仅结合HER2受体的ECD4结构域不同,泽尼达妥单抗能以“双表位”形式同时结合ECD4和ECD2两个不同结构域。其独特的“反式双侧”结合模式能促使细胞表面的HER2受体发生广泛的聚类和交联,形成巨大的受体簇,进而诱导受体快速内吞和降解(溶酶体降解),从根本上降低细胞表面受体水平,更彻底地抑制HER2二聚化及下游促癌信号传导。

此外,泽尼达妥单抗还能介导更强的免疫杀伤效应,包括增强的ADCC(抗体依赖性细胞毒性)和ADCP(抗体依赖性细胞吞噬),并独具强效的CDC(补体依赖性细胞毒性)效应。这种集信号阻断、受体降解与多重免疫杀伤于一体的机制优势,使其在面对异质性强、易耐药的胃癌时,仍能保持长效抑制。

综上所述,HERIZON-GEA-01研究证实了泽尼达妥单抗(无论是否联合免疫)在PFS、OS和DOR上均全面优于现行标准治疗。随着该研究结果的发布,HER2阳性晚期胃癌的一线治疗将正式迈入“双抗时代”,为患者带来更长、更好的生存希望。

责任编辑:肿瘤资讯-Linda
排版编辑:肿瘤资讯-Alex
版权声明
版权归肿瘤资讯所有。欢迎个人转发分享,其他任何媒体、网站如需转载或引用本网版权所有内容,须获得授权,且在醒目位置处注明“转自:良医汇-肿瘤医生APP”。