在HR+/HER2-晚期乳腺癌的治疗中,内分泌耐药是核心挑战,其背后往往有复杂的分子机制。其中,PIK3CA和ESR1基因突变是导致耐药的两个关键驱动因素。当两者同时出现时,患者预后往往更差,治疗也更具挑战性。
本期【PIK TALK】专栏分享一例由浙江省肿瘤医院曹文明教授诊治的典型病例。该患者在辅助内分泌治疗期间快速复发,基因检测揭示其同时携带PIK3CA和ESR1双重耐药突变。面对这一棘手情况,临床团队基于重磅循证医学证据,果断选择已上市的PI3Kα特异性抑制剂及突变体降解剂伊那利塞(Inavolisib)联合CDK4/6抑制剂及氟维司群的三联方案作为一线治疗,取得了显著的疗效且安全性良好。专栏特邀浙江省肿瘤医院胡海教授与北京大学肿瘤医院宋国红教授,共同对本病例的诊疗策略和临床启示进行深度剖析与讨论。
案例信息
患者女姓,59岁。于2024年4月以“发现右乳肿块2天”为主诉就诊。患者已绝经,母亲有胰腺癌病史。
初诊及辅助治疗
入院后完善乳腺钼靶及B超检查,提示右乳占位,BI-RADS 5类。于2024年4月11日行右侧乳腺癌保乳+前哨淋巴结活检术。
术后病理
右侧乳腺导管浸润癌,WHO分级3级,肿块大小2.7厘米×2.5厘米×1.0厘米。右侧腋窝前哨淋巴结0/5转移。
免疫组化:ER(95%+)、PR(95%+)、HER2(0)、Ki67(10%+)。
诊断:管腔A型乳腺癌,pT2N0M0,IIA期。
辅助治疗(无病生存 [DFS] 期 = 13个月)
EC方案化疗4周期:第1天表柔比星135mg+环磷酰胺0.9g。
术后放疗:2024年7月29日开始,行右侧全乳+瘤床区补充照射DT 40戈瑞分割为15次,术后瘤床区加量D10戈瑞分割为5次。
自2024年8月24日起,口服依西美坦(芳香化酶抑制剂)进行辅助内分泌治疗。
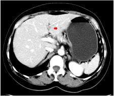
疾病复发:2025年5月7日,在辅助治疗第13个月,复查B超及CT发现肝左叶新发结节,长径约1.0厘米。行肝脏穿刺活检,病理证实为符合乳腺癌来源的转移腺癌,免疫组化与原发灶一致。

晚期治疗
对肝转移灶组织进行NGS检测,结果提示:
PIK3CA p.E542K 突变
ESR1p.D538G 突变

一线治疗 (治疗进行中)
基于患者明确的PIK3CA突变和原发性内分泌耐药状态,依据INAVO120研究证据,于2025年6月9日启动一线治疗。治疗方案为伊那利塞+CDK4/6抑制剂达尔西利+氟维司群。
疗效评估
治疗近2个月后(2025年8月4日)影像学评估疗效为部分缓解,肝脏转移灶较2025年5月7日明显缩小。

不良反应管理
有不良反应均在临床可控范围内,患者耐受性良好,未因不良反应导致治疗中断或剂量调整,保障了治疗的顺利进行。
血糖:治疗期间出现I级高血糖,空腹血糖在7-8 mmol/L之间,通过饮食调整和适当运动后得到良好控制,无需药物干预或调整伊那利塞剂量。

腹泻:出现间断的II级腹泻,服药后第3天1次、第4天1次、第16天4次,服用蒙脱石后缓解;第59天5次,服用洛派丁胺缓解。
口腔炎:I级,使用康复新液漱口后缓解。
中性粒细胞减少:最低0.9×109/L(III级),但未影响治疗,无需剂量调整,予以密切观察。
诊疗过程总结

病例点评
点评专家
中科院杭州医学研究所浙江省肿瘤医院副院长,乳腺中心主任
一级主任医师、二级教授、博士导师
国家杰出青年基金获得者、国务院特津专家、中科院百人
国家卫健委慢病、科技部重点研发首席科学家
国家重点研发项目首席科学家,指南编制专家
承担国自然重点,科技部新药创制重大专项等国家级项目
发表Cell等论文30余篇
获国内发明专利授权20余项
获教育部科学技术进步奖一等奖、教育部自然科学奖二等奖、广东省科技进步二等奖
中国抗癌协会肿瘤异质性与个体化治疗委员会副主委、候任主委
中国抗癌协会代谢委员会常委
中国研究型医院学会分子肿瘤与免疫治疗专业委员会常委
中国细胞生物学会代谢委员会理事
浙江省抗癌协会乳腺专业委员会候任主委
Malignancy Spectrum(国家科协高起点期刊)副主编
Chinese Science Bulletin (科学通报)编委
Fundamental Research (国家基金委科学综合期刊)编委
点评专家
北京大学肿瘤医院乳腺肿瘤内科
主持国家自然科学基金项目及留学人员科技活动择优资助项目
美国国立卫生研究院NIH国家癌症研究所NCI访问学者
北京抗癌协会乳腺癌专业委员会主任委员
中国健康促进基金会乳腺疾病专委会主任委员
中国临床肿瘤学会CSCO乳腺癌专家委员会委员
国家卫生健康委人才交流服务中心高级人才评价项目专家
中国女医师协会乳腺专业委员会常务委员中国医疗保健国际交流促进会乳腺疾病分会常委
胡海教授:
这是一个非常精彩且具有代表性的病例。我们可以从三个角度进行剖析。首先,是对患者“高风险”本质的精准识别。 临床上,我们对高风险患者的定义是多角度的。本例患者几乎囊括了所有高风险因素:①临床特征高风险:辅助内分泌治疗开始后短短13个月即出现复发,并伴有肝脏这一高风险内脏转移,是典型的原发性内分泌耐药,通常预后很差。②分子特征高风险:二代测序同时发现PIK3CA和ESR1两大耐药突变。PIK3CA突变是激活PI3K通路导致耐药的核心驱动力,而ESR1突变则介导非雌激素依赖性的雌激素受体信号通路激活。这两条关键耐药通路的同台作祟,预示着任何单一的内分泌治疗策略都将面临严峻挑战,甚至快速失效。对这一复杂耐药机制的深刻洞察,是后续精准选择治疗方案的逻辑起点。
其次,是深刻理解PIK3CA突变作为核心驱动因素的生物学行为。PIK3CA基因突变在乳腺癌中占30%~40%,是乳腺癌发生和进展的重要因素[1]。因此,这一群体应成为临床治疗关注的重点。一项荟萃分析表明,携带PIK3CA突变的HR阳性HER2阴性转移性乳腺癌患者,其中位无进展生存及总生存普遍短于未突变患者,显示出更差的临床预后[2]。
我与导师Cantley教授在PI3K通路机制上有长期深入研究。我们的工作表明,PI3K可以独立调控肿瘤的糖酵解而非依赖于AKT,在肿瘤细胞内起着重要作用,以前的研究认为AKT是PI3K主要的下游分子,但AKT在肿瘤中突变率总体较低(约5%),其背后的机制仍在探索之中。我曾在Cell杂志发表的研究显示[3]:PIK3CA突变能够通过调控细胞骨架,驱动糖酵解酶(如醛缩酶)的释放,从而显著促进肿瘤的代谢重编程和增殖。此外,既往基础研究也证实,PIK3CA突变能够驱动MAPK、mTOR及ErbB等多个致癌激酶信号的广泛激活[4]。这些机制共同赋予了肿瘤细胞显著的增殖优势。由此可见,PIK3CA突变激活多个信号通路引起肿瘤增殖。
因此面对这样一个高风险的患者,我们一线治疗毫不犹豫地和患者沟通选择了伊那利塞三联方案,有靶先打靶。目标是追求最有效的突变抑制和最长的生存。INAVO120研究在经过更长时间随访后,2025年在《新英格兰医学杂志》公布了最终总生存阳性结果[5],进一步巩固了伊那利塞三联方案的一线地位。该研究证实,在标准CDK4/6抑制剂+氟维司群基础上加用伊那利塞,带来了前所未有的生存获益:中位无进展生存从7.3个月翻倍至17.2个月 ,更重要的是,首次证实了总生存显著延长,中位总生存从27.0个月提升至34.0个月,死亡风险降低33% 。这一具有统计学稳健性和明确临床意义的总生存获益,是我们在PI3K抑制剂领域期待已久的突破,它将直接改变我们的临床实践。
宋国红教授:
这例患者的成功治疗,为我们应对携带PIK3CA突变的HR阳性晚期乳腺癌带来了深刻的临床启示,它清晰地勾勒出一条从识别挑战到精准干预的完整实践路径。
首先,这个病例促使我们正视一个核心问题:对于携带PIK3CA突变的这部分高风险患者,当前的CDK4/6抑制剂联合内分泌治疗的标准方案尚存在获益局限。这一临床挑战要求我们必须进行更精准的患者分层与治疗。要实现这一点,精准、及时的检测便成为不可或缺的前提。2025年发布的《中国乳腺癌PIK3CA基因突变检测专家共识》为我们提供了权威的行动指南[1]。该共识以强推荐级别,明确了在一线治疗前常规开展PIK3CA检测的必要性,标志着我国的精准诊断正式迈入了标准化、体系化的新阶段。
然而,有了精准的靶点,治疗方案的“有效性”与“安全性”便成为决定其临床价值的关键。该患者在选择一线三联方案后,肿瘤得到了快速的抑制,缩瘤效果显著,INAVO120数据中就显示了伊那利塞高效且持久的肿瘤控制:客观缓解率从28.0%提高到了62.7%,比标准治疗组高出了一倍多。缓解持续时间也更长,达到了19.2个月[5]。本例患者在短期内即获得部分缓解,正是这一高效深层缓解能力的真实体现。
治疗的安全性是能够保证疗效的基础。过去大家使用PI3K抑制剂,比较担心高血糖、皮疹等副作用。
伊那利塞作为新一代高选择性PI3Kα抑制剂,其安全性特征是确保INAVO120研究成果能够在临床实践中“落地”的关键。与既往同类药物相比,其严重高血糖(≥3级:仅6.8%)和皮疹的发生率显著降低,无≥3级皮疹发生[5]。大多数不良反应为低级别且可预测、可管理。因不良反应中断治疗比例仅为6.8%。INAVO120研究中的患者报告结局也证实了这一点:数据显示,增加伊那利塞治疗并不会对患者的健康相关生活质量、身体功能或角色功能带来显著的不利影响,治疗组的生活质量评分能够稳定地维持在基线水平[6]。这一点至关重要,它说明我们可以用这个高效方案延长患者生命,同时不以牺牲其生活品质为代价。
本例患者的不良事件管理过程(1级高血糖通过生活方式干预 ,2级腹泻经对症支持治疗后缓解)充分证明了这一点。这种可控的安全性,确保了患者能够长期维持治疗,从而有望将试验中观察到的无进展生存和总生存获益,完整地转化为患者真实世界的生存时间。
总体而言,对于携带PIK3CA突变的HR阳性晚期乳腺癌患者,一线治疗前进行精准基因检测,并优先采用伊那利塞三联方案,是从被动应对耐药转向主动干预以获得更长生存的关键策略。
1. 中华医学会病理学分会, 中国临床肿瘤学会病理专家委员会, 国家病理质控中心. 中国乳腺癌PIK3CA基因突变检测专家共识(2025版). 中华病理学杂志. 2025;54(2):120-125.
2. Fillbrunn M, Signorovitch J, André F, et al. PIK3CA mutation status, progression and survival in advanced HR + /HER2- breast cancer: a meta-analysis of published clinical trials. BMC Cancer. 2022;22(1):1002.
3. Hu H, Juvekar A, Lyssiotis CA, et al. Phosphoinositide 3-Kinase Regulates Glycolysis through Mobilization of Aldolase from the Actin Cytoskeleton. Cell. 2016;164(3):433-446.
4. Wu X, Renuse S, Sahasrabuddhe NA, et al. Activation of diverse signalling pathways by oncogenic PIK3CA mutations. Nat Commun. 2014;5:4961.
5. Jhaveri KL, Im SA, Saura C, et al. Overall Survival with Inavolisib in PIK3CA-Mutated Advanced Breast Cancer. N Engl J Med. 2025;393(2):151-161.
6. Juric D, Kalinsky K, Turner NC, et al. First-line inavolisib/placebo + palbociclib + fulvestrant (Inavo/Pbo+Palbo+Fulv) in patients (pts) with PIK3CA-mutated, hormone receptor-positive, HER2-negative locally advanced/metastatic breast cancer who relapsed during/within 12 months (mo) of adjuvant endocrine therapy completion: INAVO120 Phase III randomized trial additional analyses. J Clin Oncol. 2024;42(16_suppl):1003.
浙江省肿瘤医院乳腺内科
中国抗癌协会家族遗传性肿瘤专委会常委
中国抗癌协会乳腺癌专委会青年专家
浙江省抗癌协会家族遗传性肿瘤专委会副主委
浙江省遗传学会生殖相关肿瘤和遗传专委会副主委
浙江省细胞生物学学会医学细胞生物学专委会副主委
浙江省抗癌协会肿瘤转移专委会常委
浙江省抗癌协会肿瘤微环境专委会常委
浙江省抗癌协会肿瘤内科专委会委员兼秘书
浙江省抗癌协会肿瘤临床药学专委会委员
浙江省卫生高层次人才“医坛新秀”培养对象
美国MD安德森癌症中心访问学者
以第一或通讯作者(含并列)在J Clin Oncol、Nat Commun等杂志发表SCI论文20余篇,BMC Cancer杂志编委
排版编辑:肿瘤资讯-XZY






苏公网安备32059002004080号