您好,欢迎您

【受试者招募】BRAF V600或METex14跳突NSCLC新辅助+辅助靶向治疗临床研究诚邀受试者

2025年12月09日
整理:肿瘤资讯
来源:肿瘤资讯

尊敬的各位临床专家:
一项名为“一项Ⅱ期,两平行队列,携带BRAF V600或METex14跳突NSCLC新辅助和辅助的临床研究”正在国内招募受试者。这项研究的主要研究中心为中山大学附属肿瘤医院,此外还有广州、西安、青岛、太原、南京、济南等多地中心参与。欢迎各位同仁推荐符合条件的患者参与本项研究,招募详情如下。


项目名称

一项Ⅱ期,两平行队列,携带BRAF V600或METex14跳突NSCLC新辅助和辅助的临床研究

实验药物

BRAF抑制剂达拉非尼和MEK抑制剂曲美替尼已批准联合用药用于晚期非小细胞肺癌BRAF V600突变患者, 成为目前国内获批的第一个中国肺癌BRAF V600突变晚期患者药物,于2022年3月获得NMPA批准。卡马替尼是一类口服,高选择性和特异性的Ib类c-MET抑制剂,基于其良好的疗效,于2024年6月获得NMPA批准用于METexon14跳突NSCLC患者。

登记号

NCT06054191

主要入组标准

  1. 在任何研究具体程序之前提供知情同意;


  2. 年龄在18 岁以上(含 18 岁);

  3. ECOG 体力状况评分为0-1并且在入组之前2周没有恶化,预期寿命为≥12周;

  4. 经组织学或细胞学确诊为非小细胞肺癌;

  5. 经研究者评估适宜手术切除,AJCC第8版TNM分期为组织学或细胞学诊断IB-IIIA期,或部分IIIB (T3N2, T4N2);

  6. 有三级甲等医院出具或认定的组织学或细胞学肺癌,在所在病理科或其他经CLIA认证的实验室检测的肿瘤(PCR或NGS)或血液(NGS)(治疗前活检证实)中存在BRAF V600突变或METex14跳跃突变;

  7. 患者在研究药物治疗开始前未接受过针对晚期/转移性非小细胞肺癌的系统性抗肿瘤治疗,包括标准化疗、生物治疗、靶向治疗、免疫治疗、或者试验性药物治疗;

  8. 根据RECIST1.1,受试者至少有一处既往未经过照射,也没有在筛选期接受过组织活检,可准确测量的病灶。

  9. 可提供血液样本、肿瘤组织标本*用于中心NGS检测及生物标志物研究,并签署研究知情同意书。

(注:以上为部分核心入排标准,最终入选标准由项目医生评估,并以受试者的全面体检结果为准。)

主要排除标准

  1. 已知对于达拉非尼/曲美替尼/卡马替尼/卡铂/培美曲塞的有活性或无活性辅料或有试验药物类似结构或类别的药物的超敏反应史;

  2. 在研究药物治疗开始前,接受过其他治疗的患者:

  3. 存在脊髓压迫或有症状的脑转移;接受过脑转移局部放疗的患者,需在放疗结束后症状稳定14天及以上才能入组;

  4. 最近5年内罹患其他恶性肿瘤或有其他恶性肿瘤病史, 已经得到有效控制的皮肤基底细胞癌、宫颈原位癌和乳腺导管原位癌除外;

  5. 近期活动性消化性疾病;或有难治性恶心呕吐,慢性胃肠道疾病,无法吞咽研究药物,或既往行大肠癌切除术等妨碍研究药物充分吸收的情况;

  6.  存在任何重度或不受控制的全身性疾病的证据;

  7. 缺乏足够的骨髓储备或器官功能(入组实验室检查抽血前2周内,未输血或血制品、未使用粒细胞集落刺激因子或其它造血刺激因子纠正);

  8. 妊娠或哺乳;

  9. 由研究者判定的不能参加本研究的患者,如无法遵守研究章程、约束和要求的患者;或研究者酌情判断的其他情况。

病例展示

个人病史

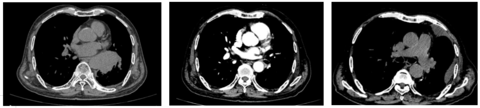
男性,75岁,2024-07-31诊断为cT4N0M0 IIIA期左下低分化肺腺癌,基因检测显示携带BRAF V600E突变,经筛选后2024-09-05入组启动“达拉非尼+曲美替尼”新辅助治疗,术前影像达PR,2025-07-22行VATS 辅助下左下肺叶切除+肺门纵隔淋巴结清扫+胸腔粘连松解术,术后病理达pCR,2025-08-01行“达拉非尼+曲美替尼”辅助治疗,截至目前术后4个月随访疗效评价仍未见复发。

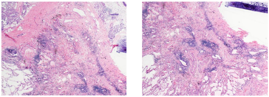
术后病理

ScreenShot_2025-12-09_162937_976.png

存活肿瘤细胞:0,坏死比例:0,间质比例(包括纤维化及炎症):100%,炎症反应分级:中度。

病理分期(AJCC第9版):ypT0N0Mx

影像学评估

ScreenShot_2025-12-09_163353_848.png

ScreenShot_2025-12-09_163424_322.png

图片1.png

研究中心信息

主中心

主中心:中山大学附属肿瘤医院

联系方式

如果您符合以上条件或有意向参加此项研究,可联系:
研究医生:赵珅医生:020-87342331, 020-87343366
咨询时间:周一至周五:9:00-17:00

中心名单

广州:
中山大学附属肿瘤医院
广州医科大学附属第一医院

西安:
空军军医大学第二附属医院

青岛:
青岛大学附属医院

太原:
山西白求恩医院

南京:
江苏省中医院

济南:
山东省肿瘤医院

还有部分医院目前正在医院流程中
咨询时间:周一至周五:9:00-17:00

责任编辑:肿瘤资讯-明小丽
排版编辑:肿瘤资讯-黄洋洋
版权声明
版权归肿瘤资讯所有。欢迎个人转发分享,其他任何媒体、网站如需转载或引用本网版权所有内容,须获得授权,且在醒目位置处注明“转自:良医汇-肿瘤医生APP”。