男性乳腺癌作为临床少见亚型,仅占所有乳腺癌案例的约 1%,目前尚缺乏大规模的前瞻性临床试验数据,大部分为激素受体阳性型,其内分泌诊疗策略需参照绝经前女性乳腺癌并结合男性生理特点制定。依据《中国男性乳腺癌临床诊治实践指南(2023版)》,术后辅助首选他莫昔芬内分泌治疗,他莫昔芬治疗有禁忌或复发后需要使用芳香化酶抑制剂(AI类),为避免负反馈导致雄激素升高,在使用芳香化酶抑制剂(AI)时必须联合GnRH类似物(去势) 。
随着 INAVO120 研究数据的公布,PI3Kα 抑制剂伊那利塞在 PIK3CA 突变晚期乳腺癌一线治疗中的地位得以确立。但在真实世界中的应用场景,如何和其他药物联用,临床疗效是否能满足快速缩瘤缓解来势汹汹的疾病进展?其安全性究竟如何?尚需真实世界的进一步验证。
本期【PIK TALK】分享一例由中山大学附属第五医院彭培建教授团队,中山大学附属第五医院肖妹医生整理的复杂男性乳腺癌案例。该男性患者早期确诊时即为 N3 高危,术后三年多复发伴多发转移。临床团队基于 NGS 检测结果,探索性地应用了含伊那利塞的四药联合方案进行一线治疗。该病例不仅观察到了病灶的快速缩小(PR),且展现了良好的安全性,积累了宝贵的真实世界经验。我们特邀彭培建教授与张剑教授,结合该案例的诊疗经过,客观分析此类基于精准分子病理检测结果制定的诊疗方案在男性及高负荷人群中的应用价值与临床启示。
案例报告
案例诊疗经过
患者王X,男性,42岁,既往体健,但有明确的家族遗传史(祖母患有乳腺癌)。2021年12月,患者因发现左侧乳腺实性肿物就诊于中山大学附属第五医院。入院完善检查后,于2021年12月7日行全麻下“左侧乳腺肿物切除活检+左侧乳腺癌改良根治术”。
术后病理诊断为乳腺浸润性导管癌,组织学分级III级,伴有神经侵犯及脉管内癌栓;腋窝淋巴结转移负荷极高(9/15枚阳性),另见三枚癌结节,病理分期为pT4N3M0,IIIC期。
免疫组化结果显示癌细胞AR及ER均呈强阳性(>90%),PR呈弱-中等阳性(约10%),HER2表达为2+且FISH检测无扩增,Ki-67指数约为15%,分子分型明确为Luminal B型 。
基于高危复发风险,患者术后接受了AC-T方案(阿霉素+环磷酰胺序贯紫杉醇)化疗8周期及辅助放疗,放疗结束后长期规律服用他莫昔芬进行辅助内分泌治疗 。
复发诊断与分子分型
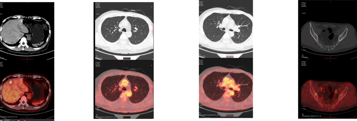
2025年7月,即术后3年7个月,患者在门诊复查时发现病情进展。上腹部MRI及超声造影均提示肝脏S4出现新发结节,高度提示转移瘤 。

随后的PET/CT检查进一步证实了全身多发转移的情况,累及肝脏(S4低密度结节代谢增高)、双肺(多发实性小结节4-5mm)以及骨骼(右侧髂骨代谢轻度增高) 。

为明确病理性质及分子特征,指导后续精准治疗,临床团队对肝脏S4结节进行了超声引导下穿刺活检。2025年8月7日的病理报告证实为转移性乳腺癌。免疫组化显示ER维持强阳性表达(>90%),但PR表达下降至约5%,HER2仍为2+(FISH阴性),Ki-67热点区上升至30%,提示肿瘤增殖活性增强 。
诊疗的关键转折点在于二代测序(NGS)检测,结果检出 PIK3CA 基因 G106 R108del 突变;同时检出FOXA1 E383Rfs*25变异;肿瘤微卫星状态为稳定(MSS),HRD评分为39。未检出致病性胚系变异 。

治疗策略与临床转归
患者的最终诊断为:1. 左侧乳腺浸润性导管癌改良根治术后复发(rT0N0M1, IV期),分子分型为Luminal B型;2. 继发性恶性肿瘤:肝脏转移、多发肺转移、骨转移;3. 基因变异状态:PIK3CA 突变阳性 。
针对这位男性、高危、PIK3CA突变的晚期患者,临床团队制定了强化的“四药联合”一线治疗策略,于2025年8月12日正式启动治疗,方案为:戈舍瑞林(去势)+ 依西美坦(AI)+ 达尔西利(CDK4/6抑制剂)+ 伊那利塞(PI3Kα抑制剂) 。
该方案疗效显著: 2025年9月17日进行了第一周期疗效评估,复查超声即显示肝S4病灶回声增强,体积从15×14mm缩小至10×8mm。根据RECIST标准,疗效评估为部分缓解(PR)。


治疗3个月后(2025年11月13日),复查上腹部增强MRI显示,肝S4主病灶进一步缩小至8mm,且增强后各期强化不明显,提示肿瘤活性受到抑制。


安全性管理
在四药联合治疗期间,患者耐受性佳。通过规范的血糖监测,患者全程血糖维持在正常范围,未出现PI3K抑制剂常见的高血糖不良反应。血液学毒性仅表现为I度骨髓抑制,肝功能正常,亦未观察到腹泻或口腔炎等其他不良事件 。
专家点评与临床启示
点评专家
中山大学附属第五医院乳腺病科主任
主任医师、医学博士、研究生导师、博士后合作导师
中国临床肿瘤学会(CSCO)理事会理事
CSCO神经系统肿瘤专家委员会常委
广东省临床医学学会乳腺癌专业委员会副主任委员
广东省药学会肿瘤全程管理专家委员会副主任委员
广东省卫生信息网络协会智慧乳腺癌分会副会长
广东省医学会乳腺病学分会常委
广东省医师协会肿瘤内科分会常委
广东省医院协会乳腺科管理专业委员会常委
广东省抗癌协会乳腺癌专业委员会常委
中国医药卫生事业发展基金会乳腺肿瘤学组常委
广东省胸部疾病学会免疫治疗专业委员会常委
广东省癌症中心乳腺癌诊疗质量控制专家委员会常委
2022中国年轻乳腺癌(YBCC)诊疗专家共识专家组成员
主持及参与国家、省部级多个科研项目。以第一/共一/通讯作者在Ann Oncol、J Clin Oncol、Cancer Cell International及Ther Adv Med Oncol 等杂志发表SCI学术论文18篇。 2019年获中国抗癌协会科技奖一等奖及广东省医学科技奖一等奖。
点评专家
复旦大学附属肿瘤医院肿瘤内科主任医师、博导、一期临床试验病房执行主任 复旦大学附属肿瘤医院福建医院临床研究中心主任
中国医药教育协会 肿瘤药物临床研究专业委员会主委中国老年保健协会 肿瘤防治与临床研究专业委员会主委
长江学术带 乳腺联盟 YBCSG主委
上海市抗癌协会 肿瘤药物临床研究专业委员会候任主委
中国抗癌协会 乳腺癌专业委员会常委
中国抗癌协会 乳腺癌专业委员会青委会副召集人
中国研究型医院协会 乳腺专业委员会青委会副主委中国妇幼健康研究会 乳腺癌防治研究专业委员会副主委
国家抗肿瘤药物临床应用监测青委会副主委
上海市抗癌协会 类器官专业委员会副主委
CSCO 肿瘤支持与康复治疗专家委员会常委
CSCO 乳腺癌专家委员会委员
中国抗癌协会 肿瘤临床研究管理学专业委员会委员国家药品监督管理局CDE外聘专家、首批化药临床兼职审评员
上海“医苑新星”杰青人才获得者获2023 十大医学先锋专家、2023“人民好医生”杰出贡献奖
《Diseases & Research》副主编、人卫《肿瘤综合治疗电子杂志》副主编
第一/共一/通讯SCI论文80余篇(Lancet Oncol、Ann Oncol、Nat Commun、Clin Cancer Res、J Hematol Oncol、STTT、ACS Nano等)
彭培建教授:
男性乳腺癌本就罕见,而像本例这样初始分期即为N3(IIIC期)的高危病例更是少之又少。为了找到精准的治疗方向,我们给患者做了基因检测,肝脏肿瘤组织ctDNA结果显示有PIK3CAG106R108del突变,这是Ⅰ类变异,微卫星稳定(MSS),HRD评分39分。结合患者情况——HR+/HER2-、内分泌耐药、PIK3CA突变,而且是男性患者,我们团队当时就想到了伊那利塞联合方案。一方面,男性乳腺癌虽然ER阳性率高,但耐药后缺乏特异性方案,之前多是参考女性数据用CDK4/6i联合内分泌,但PIK3CA突变患者对单纯CDK4/6i方案疗效不好;另一方面,INAVO120研究虽然没单独纳入男性患者,但纳入的都是内分泌耐药、有内脏转移的高危人群,和这位患者的情况很像,研究中伊那利塞联合方案能显著延长PFS和OS。
考虑到他是男性患者,我们在方案细节上做了很多考量:用戈舍瑞林(LHRH激动剂)来抑制睾酮水平,再联合依西美坦(AI)、达尔西利(CDK4/6抑制剂)和伊那利塞。背后考量是因为男性乳腺癌的内分泌治疗需要针对睾酮这个“男性雌激素来源”,戈舍瑞林能有效抑制卵巢外的雄激素生成,再联合AI阻断雄激素向雌激素的转化加上伊那利塞针对PIK3CA突变、达尔西利抑制细胞周期,形成“多靶点协同”的效果。
该患者于 2021 年初治,当时 CDK4/6 抑制剂的辅助适应证尚未在国内获批(阿贝西利于 2021 年 12 月获批),因此其辅助阶段仅接受化疗序贯内分泌治疗。我们知道INAVO120 研究中Post CDK46入组人群较少仅2%,大多患者都是辅助使用过TAM或AI治疗的,这和我们当下临床晚期复发的人群特征高度相符,因此其研究结果对当前临床实践具有高度参考价值。该案例完美契合 INAVO120 适用人群,治疗反应也与研究数据一致,提示该方案在真实世界具有良好可复制性。
本例患者在接受含伊那利塞的四药联合治疗后,呈现了与临床研究结果相一致的快速缓解特征:治疗1个月余时,超声检查即提示病灶回声增强、体积缩小 ;治疗3个月时,MRI进一步确认肝S4主病灶从基线的15mm缩小至8mm,且增强扫描未见明确强化,提示肿瘤活性受到抑制 。这种“快速起效、深度缓解”的临床表现提示,以伊那利塞为核心的联合方案是应对高肿瘤负荷及内脏转移患者的优选策略之一。
张剑教授:
这个案例非常独特且精彩,它为HR+/HER2-伴PIK3CA突变的晚期乳腺癌治疗提供了男性患者真实世界证据和宝贵的诊疗经验,男性患者的“全阻断”模式探索初见成效。
1. 男性乳腺癌治疗常参考女性绝经后标准。鉴于本例患者AR、ER双强阳性,诊疗团队制定了“OFS+AI(阻断激素轴)+ CDK4/6抑制剂(阻断细胞周期)+ 伊那利塞(阻断PI3K轴)”的四药全阻断方案。值得注意的是,INAVO120 研究采用的是哌柏西利,而本例创新性地使用了国产原研药物达尔西利。其实2024 SABCS公布的 MORPHEUS-pan Breast Cancer 研究已经提供了理论依据[3]。该研究初步分析显示,伊那利塞无论是联合阿贝西利还是瑞波西利,均未观察到非预期的毒性反应,且药代动力学(PK)分析证实伊那利塞与不同 CDK4/6抑制剂之间不存在临床相关的药物相互作用(DDI)。 这表明伊那利塞具有良好的“配伍宽容度”。

从 INAVO120 研究的 PFS 曲线可见,伊那利塞联合治疗在前 6 个月即可与对照组明显分离,持续维持约 30% 的长期绝对获益,并在随后的 12、18、24 个月随访中始终保持,这有力地说明,逆转原发耐药的关键变量在于对 PI3K 通路的强效抑制,而非配伍特定的 CDK4/6抑制剂。因此,在真实世界中,伊那利塞与达尔西利等不同 CDK4/6抑制剂的强强联合,逻辑上是通畅的,本例的成功也验证了这一点。

2. ER、CDK4/6、PI3K三通路全面抑制驱动的“降维打击”是克服高肿瘤负荷的关键。 该患者在服用他莫昔芬三年多后复发,属于典型的内分泌继发耐药,多发转移提示肿瘤负荷高。若仅采用内分泌+CDK4/6 抑制剂,而未针对突变的 PI3K 通路,可能难以在短期内达到控制目标。在 ABC8 共识与指南中,HR+/HER2- 的治疗原则强调尽可能最大化内分泌与靶向获益,以延缓化疗。本例通过伊那利塞介入,实现 ER、CDK4/6 与 PI3K 的三重抑制,从机制上对肿瘤细胞形成全方位压制。影像学中的快速缩瘤与强化消失显示出“控制进展更迅速、但毒性更低”的特点,符合当前对晚期 HR+/HER2- 治疗的一线策略取向。
3. 四药联合模式在该男性患者中的安全性得到了验证。在本例男性患者中,伊那利塞展现了良好的安全性:全程无高血糖,仅轻度骨髓抑制。这可能得益于伊那利塞对PI3Kα亚基的高选择性。这一结果为我们在HR+HER2-晚期乳腺癌患者中应用强效联合方案提供了信心。
案例提供专家
中山大学附属第五医院肿瘤中心乳腺病科
主治医师,中山大学硕士,研究生
珠海市抗癌协会化疗专业委员会委员
广东省抗癌协会癌症康复与姑息治疗专业委员会青年委员会委员
珠海抗癌协会靶向治疗专业委员
珠海市抗癌协会第二届乳腺癌专业委员会委员
1. Chen L, Yang L, Yao L, Kuang XY, Zuo WJ, Li S, Qiao F, Liu YR, Cao ZG, Zhou SL, Zhou XY, Yang WT, Shi JX, Huang W, Hu X, Shao ZM. Characterization of PIK3CA and PIK3R1 somatic mutations in Chinese breast cancer patients. Nat Commun. 2018 Apr 10;9(1):1357.
2. Jhaveri KL, Im SA, Saura C, Loibl S, Kalinsky K, Schmid P, Loi S, Thanopoulou E, Shankar N, Jin Y, Stout TJ, Clark TD, Song C, Juric D, Turner NC. Overall Survival with Inavolisib in PIK3CA-Mutated Advanced Breast Cancer. N Engl J Med. 2025 Jul 10;393(2):151-161.
3. Einav Nili Gal-Yam, et al. Preliminary safety in the inavolisib + fulvestrant + ribociclib/abemaciclib arms of MORPHEUS-pan breast cancer: A Phase 1b/2 study of efficacy & safety of multiple treatment combinations in patients with metastatic/locally advanced breast cancer. SABCS 2024 P4-07-23.
本文仅为个人观点分享,具体诊断方案需结合实际情况判断。
排版编辑:肿瘤资讯-XZY






苏公网安备32059002004080号