您好,欢迎您

二线PFS长达59个月!长春瑞滨软胶囊联合TKI全口服方案,为晚期TNBC患者带来长生存

2025年12月03日
整理:肿瘤资讯
来源:肿瘤资讯

三阴性乳腺癌(TNBC)因其侵袭性强、缺乏明确治疗靶点,长期以来被视为乳腺癌治疗中的“顽石”。对于复发转移性TNBC患者,尤其是伴有内脏转移者,如何制定高效且低毒的长效治疗方案,延长无进展生存期(PFS)并保证生活质量,是临床面临的严峻挑战。本期分享一例晚期TNBC患者,在多线治疗中以口服长春瑞滨软胶囊为化疗骨干,联合抗血管生成药物,实现了二线治疗PFS近5年的惊人获益,且耐受性良好,为晚期TNBC的“慢病化”管理提供了宝贵的临床实证。

特邀嘉宾

病例分享专家

章国晶
副主任医师

硕士,温州老年病医院 肿瘤科主任
浙江省抗癌协会安宁疗护和人文医学委员会青委
主要研究乳腺癌预后相关预测因子,以第一作者发表SCI论文3篇,核心期刊论文16篇,参编著作2部,主持温州市级课题3项。

病例点评专家

陈毅作
副主任医师

温州医科大学附属第一医院 乳腺外科 博士
浙江大学肿瘤学博士
复旦大学肿瘤学硕士
浙江省抗癌协会乳腺癌青委会 委员
温州市抗癌协会乳腺癌专委会 秘书
温州市抗癌协会乳腺癌青委会 秘书
主持浙江省自然基金项目和温州市科技局项目各1项
以第一作者或通讯作者发表SCI文章10余篇

病例介绍

基本信息

患者:女性,61 岁,无职业。

主诉:乏力、自汗、活动后气短、左耳鸣、睡眠欠佳、咳嗽、颈部疼痛(2018 年 1 月就诊)。

现病史:2014 年 7 月于外院行双侧乳腺癌改良根治术,术后病理示双乳浸润性癌(左乳 pT1N0M0,右乳 T1N0M0,TNBC),术后完成 8 周期辅助化疗及局部放疗,未定期复查。2018 年 1 月出现上述症状,检查提示全身多部位转移,为进一步诊疗就诊我院。
既往史:2 型糖尿病近 5 年,口服二甲双胍治疗

吸烟史及肿瘤家族史:无吸烟史、肿瘤家族史及其他家族遗传性疾病史。

体能状态:ECOG PS 评分 1 分,BMI 37.65Kg/m²

治疗过程

新辅助治疗

治疗方案:2014年3月至2014年6月,予“AC(多柔比星+环磷酰胺)+PD-1 单抗×4 周期 → TCb(紫杉醇脂质体+卡铂)+PD-1 单抗 ×4 周期”方案治疗。

疗效评价:部分缓解(PR)

手术治疗:2014年7月,患者于外院行双侧乳腺癌改良根治术

术后病理:右乳肿瘤大小 7.5×5cm,左乳肿瘤大小 2.5×2cm,双乳导管内癌为主,局部浸润(Ⅱ 级),未见脉管侵犯;左腋窝淋巴结 0/18,右腋窝淋巴结 0/28;

病理分期:左乳 pT1N0M0,右乳 pT3N0M0。

双侧乳腺肿物免疫组化:ER(-)、PR(-)、CerbB-2(-)、Ki-67 20-30%+

辅助治疗

治疗方案:2014年8月至2015年3月,予表柔比星150mg + 环磷酰胺1000mg Q3W×4 周期,序贯多西他赛180mg Q3W×4 周期;化疗结束后行局部放疗。未定期复查。

首次复发

2018年1月,患者出现双侧颈部、双侧锁骨上窝、纵隔淋巴结转移;胸壁、肝多发转移、胸骨转移,为进一步治疗来我院就诊。皮肤活检病理示:真皮浅、中、深层血管、淋巴管内见肿瘤细胞团块,胞核深染,胞浆丰富,部分呈空泡状。符合皮肤转移癌(乳腺来源可能)。免疫组化:ER(-), PR(-), HER-2浸润癌(2+),Ki-67约80%(+),TROP2(约50%中-强+、约20%弱+) ;GATA-3(+),TRPS1(+)。Fish阴性。

诊断:双乳浸润性癌(三阴型);双侧乳腺癌改良根治术后;双侧颈部、双侧锁骨上窝、纵隔淋巴结转移;胸壁、肝多发转移、胸骨转移

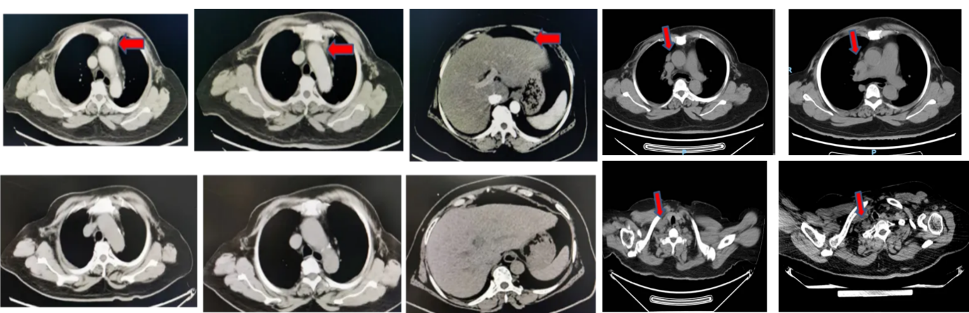
图片1.png

图1 2018年1月8日 CT结果

晚期一线治疗

治疗方案:2018年1月至2020年1月,采用“长春瑞滨软胶囊(140mg d1、d8,Q3W)+卡铂(500mg d1,Q3W)”方案治疗。

疗效评价:治疗期间影像学评估达到部分缓解(PR)

PFS1:24个月

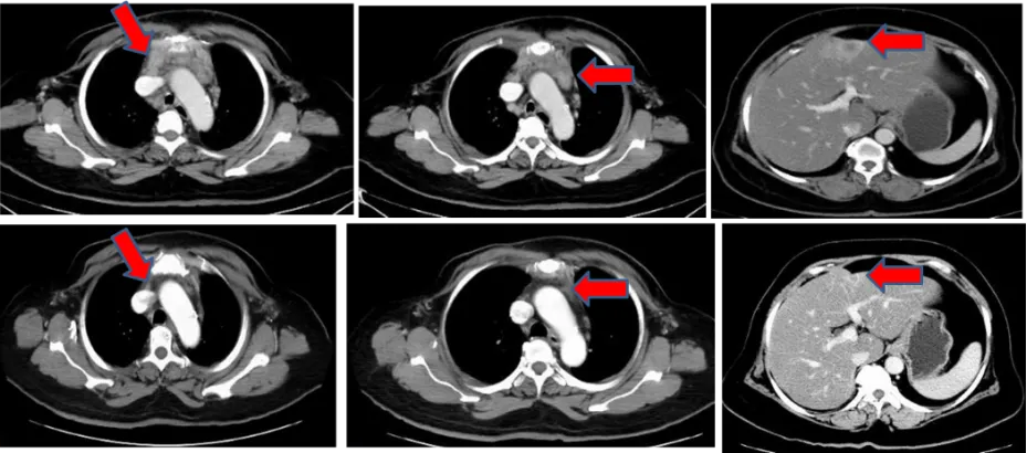
图片2.png

图2 2020年1月CT结果

二线治疗

治疗方案:2020年1月,患者病情出现进展,调整为全口服方案:“长春瑞滨软胶囊(140mg po d1、d8)+阿帕替尼(0.25g po qd)”,每3-4周为一周期。

疗效评价:PR

PFS2:59个月

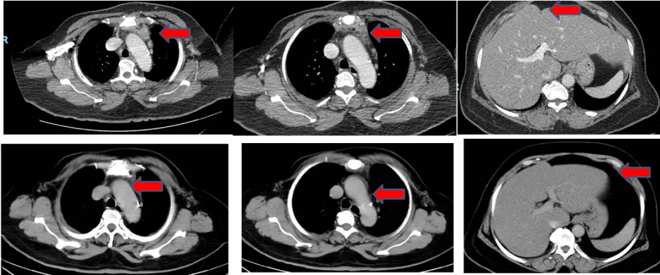
图片3.png

图3 2024年12月 CT结果

三线治疗

治疗方案:2024年12月疾病再次进展后,调整为“长春瑞滨软胶囊+安罗替尼+替吉奥”方案。

疗效评价:目前疗效评估为PR,PFS3暂未达到仍在持续随访中(截至2025年7月影像学复查)。

图片4.png

图4 2025年7月 CT结果

专家点评

本例晚期三阴性乳腺癌患者的诊疗经历生动诠释了口服化疗药物在晚期乳腺癌全程管理中的核心价值。该患者为 61 岁TNBC女性,复发时已出现肝脏、骨及多发淋巴结转移,在长达7年半的晚期治疗过程中,长春瑞滨软胶囊作为化疗骨干药物贯穿始终,尤其是二线治疗阶段,联合阿帕替尼实现了近5年(59个月)的超长PFS,这一数据实属罕见且令人振奋,验证了该口服化疗联合方案的临床潜力。

从药物作用机制来看,长春瑞滨作为半合成长春碱类药物,可通过特异性阻滞微管蛋白聚合、诱导微管解聚,将肿瘤细胞分裂停滞于有丝分裂中期,对增殖活跃的TNBC具有杀伤作用。一线治疗中,长春瑞滨联合卡铂形成“微管抑制+ DNA损伤”的双重作用,迅速控制了内脏转移,缓解了症状;进入二线治疗后,方案调整为长春瑞滨软胶囊联合阿帕替尼,一方面通过化疗药物持续抑制肿瘤细胞增殖,另一方面借助小分子酪氨酸激酶抑制剂(TKI)阿帕替尼阻断 VEGFR 通路,抑制肿瘤血管生成、改善肿瘤微环境,二者形成“抗肿瘤增殖+抗血管生成”的协同效应,即使在既往化疗进展后仍能逆转耐药,深度压制肿瘤生长,最终实现疗效突破。

此外,安全性与便利性是晚期患者长期坚持治疗的核心基石。传统静脉化疗常伴随静脉炎、严重骨髓抑制、脱发等不良反应,患者往往因耐受性差被迫中断治疗,而本例患者连续使用口服长春瑞滨软胶囊长达7年半(2018 年 1 月至 2025 年 7 月),未发生严重神经毒性或累积性骨髓抑制;且从二线治疗开始采用以长春瑞滨软胶囊为基础的全口服方案,极大提升了治疗便利性,避免了频繁住院输液的负担,使患者能够正常回归家庭与社会生活。这种 “全口服、去静脉化”的治疗模式,不仅实现了病情的长期稳定控制,更深度契合“以患者为中心”的诊疗理念,为晚期TNBC的“慢病化管理”提供了极具参考价值的实践方案,尤其对老年、合并基础疾病的晚期 TNBC 患者,具有重要的临床推广意义。

责任编辑:肿瘤资讯-Jina
排版编辑:肿瘤资讯-Sally
版权声明
版权归肿瘤资讯所有。欢迎个人转发分享,其他任何媒体、网站如需转载或引用本网版权所有内容,须获得授权,且在醒目位置处注明“转自:良医汇-肿瘤医生APP”。

评论
2025年12月13日
韩朝
黑山仁和医院 | 肿瘤内科
长春瑞滨软胶囊联合TKI全口服方案,为晚期TNBC患者带来长生存
2025年12月05日
白文秀
平遥兴康医院 | 中医科
感谢分享受益匪浅
2025年12月03日
吴耀禄
延安大学附属医院 | 普通外科
长春瑞滨作为半合成长春碱类药物,可通过特异性阻滞微管蛋白聚合、诱导微管解聚,将肿瘤细胞分裂停滞于有丝分裂中期,对增殖活跃的TNBC具有杀伤作用。