
结直肠癌(CRC)作为我国高发的恶性肿瘤之一,近年来其发病率明显上升。随着人口老龄化的加剧,老年及体能状态不佳的晚期转移性结直肠癌(mCRC)患者治疗面临巨大挑战。曲氟尿苷替匹嘧啶(TAS-102)作为一种新型口服化疗药物,因其独特的作用机制、良好的疗效及安全性,正从后线治疗逐步向前线治疗探索。本文结合学术报告及两例真实病例,深入探讨TAS-102联合方案在晚期结直肠癌前线治疗中的临床价值,为临床实践提供参考。
学术分享
学术汇报:
张成峰教授 达州市第一人民医院
点评专家:
黄传钱教授 宁德市医院
宋锦添教授 福建省肿瘤医院
薛志红教授 成都市第五人民医院
林明教授 三明市中西医结合医院
中共党员、副主任医师、肿瘤中心党支部书记
2018-2019年在国家癌症中心(中国医学科学院肿瘤医院)进修学习一年
皖江肿瘤协作委员会委员
安庆医师协会肿瘤医师分会第一届委员会委员
安庆市抗癌协会第三届理事会理事
成都高新医学会第一届肿瘤与结节科学普及专委会委员等
熟悉常见恶性肿瘤的诊断和综合治疗
随着治疗手段的进步,化疗已贯穿mCRC治疗全程。然而,对于高龄、伴有严重合并症或体能状态较差的患者,标准强度的双药或三药化疗(如FOLFOX/FOLFIRI)往往难以耐受。TAS-102作为一种新型口服化疗药,具有心脏毒性低、手足综合征发生率低等优势。TASCO-1、KSCC1602及SOLSTICE等研究数据证实,在不适合强烈治疗的mCRC患者中,TAS-102联合贝伐珠单抗一线治疗的无进展生存期(PFS)及总生存期(OS)与卡培他滨联合贝伐珠单抗相当,且安全性更佳。此外,MODURATE等研究也探索了TAS-102联合伊立替康及贝伐珠单抗在二线治疗中的疗效。TAS-102联合方案为不适合强烈治疗的患者提供了新选择,有望实现生存获益与生活质量的双赢。

病例一
病例汇报:
刘鹊凌教授 南昌大学第二附属医院
病例点评:
邓磊教授 江西省肿瘤医院
宋娜教授 重庆市中医院
南昌大学第二附属医院肿瘤科
副主任医师、博士、硕士研究生导师
主要从事消化道肿瘤的放化疗及个体化治疗
中国抗癌协会肿瘤放射防护专业委员会委员
中国抗癌协会肿瘤标志专业委员会委员
中国老年保健协会肿瘤免疫治疗专委会委员
江西省医学会放射肿瘤学分会委员会委员
江西省抗癌协会中西医整合肿瘤专业委员会委员
主持省厅级课题多项,以通讯作者或第一作者发表SCI及核心论文数篇
患者基本情况
一般资料:男性,81岁。
现病史:患者直肠癌术后3年,无明显诱因出现左下腹阵发性疼痛2月余。
既往史:高血压、2型糖尿病,腰椎间盘突出伴椎管狭窄病史。
辅助检查:
2023年2月28日肿瘤标志物:甲胎蛋白:4.0 ng/ ml,癌胚抗原: 34.59ng/ml,糖类抗原-125: 7.5 U/ml,糖类抗原- 199: 16.97U/ ml。
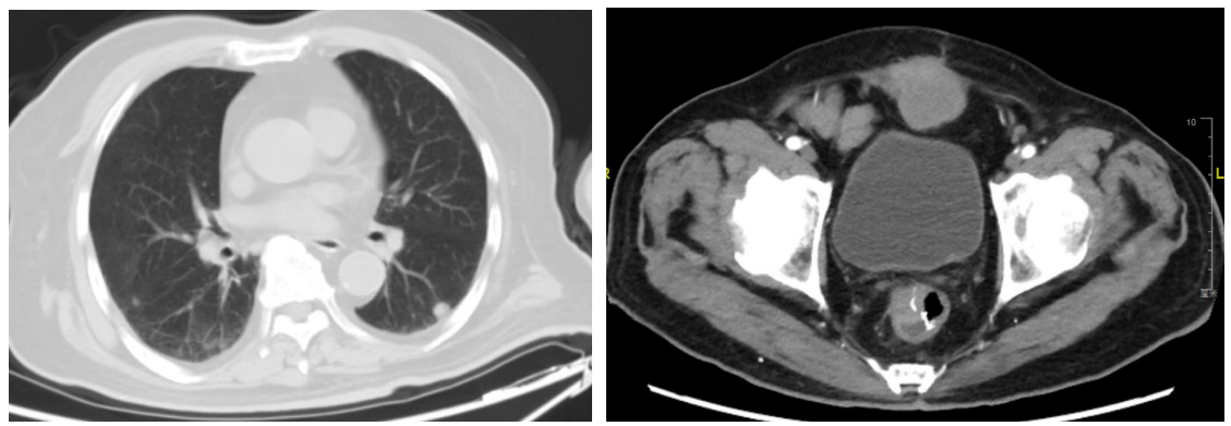
CT示直肠壁增厚,下腹壁肿块及左肺下叶结节(图2)。2023年3月3日肠镜提示直肠癌术后复发,病理示中分化腺癌。

初步诊断:
直肠腺癌;腹壁继发恶性肿瘤;肺继发恶性肿瘤;高血压;2型糖尿病。
诊疗经过
一线治疗
经MDT讨论,并结合指南推荐及患者意愿,2023年3月9日开始给予TAS-102+贝伐珠单抗方案治疗。
治疗3周期后复查,肿瘤标志物显著下降并维持低水平。CT提示腹壁包块缩小,疗效评估为部分缓解(PR)。
2025年8月21日复查评估为疾病稳定(SD)。
截至2025年10月,患者一线治疗PFS已达31个月,生活质量良好。
病例小结
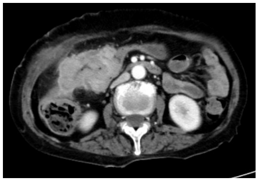
该患者为81岁高龄男性,直肠癌术后复发伴多发转移,合并多种基础疾病。一线治疗采用TAS-102联合贝伐珠单抗方案,获得了超过31个月的PFS,远超传统一线治疗预期。治疗期间患者耐受性极佳,未出现严重不良反应(图3)。

病例二
病例汇报:
刘星教授 福建医科大学附属第一医院
病例点评:
沈小花教授 江西省肿瘤医院
芮元祎教授 四川省肿瘤医院
闫孟华教授 重庆大学附属肿瘤医院
医学博士、副教授、硕导
福建医科大学附属第一医院结直肠外科副主任医师
美国华盛顿大学圣路易斯医学中心访问学者
福建海医会结直肠病学分会副会长
福建海医会结直肠病学分会青委会主任委员
福建海医会临床肿瘤学诊疗分会胃肠学组副组长
福建省医务志愿者协会医学康复与治疗专业委员会副主任委员
中国研究型医院协会肠外肠内营养学会委员
中国医师协会结直肠肿瘤专业委员会青年委员
中国抗癌协会肿瘤靶向治疗专业委员会青年委员
中国研究型医院协会精准医学与肿瘤MDT委员会青年委员
福建省预防医学会胃肠肿瘤预防与控制专业委员会常委
福建省抗癌协会大肠癌专业委员会遗传学组委员
福建省抗癌协会胃癌专业委员会胃肠间质瘤学组委员
福建肿瘤防治联盟结直肠专业委员会委员
福建省预防医学会肛肠疾病预防与控制专业委员会委员
中共福建省海峡医药卫生交流协会支部委员
患者基本情况
一般资料:女性,82岁。
主诉:患者反复右腹痛伴消瘦2月。
查体:右上腹可及6*5cm质硬肿块。
既往史:慢性心衰病史10余年。
辅助检查:
2022年6月20日行结肠镜检查:距肛缘70cm见一肿物,质脆,触之易出血,肠镜无法通过。镜下诊断:升结肠癌。病理会诊(距肛70cm):腺体重度异型增生伴坏死、癌变。免疫组化:IHC:PMS2(+),MSH6(+),MSH2(+),MLH1(+),HER2(1+)。
基因检测:RAS/BRAF野生型,MSS。
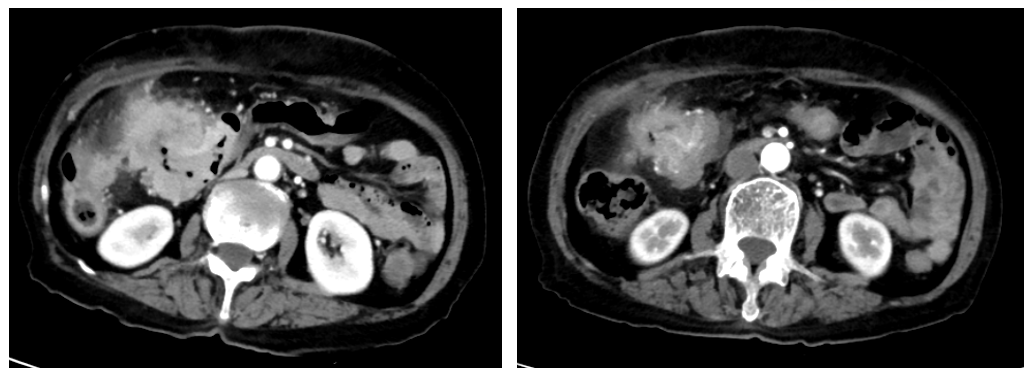
2022年6月25日行胸腹部CT检查:横结肠右侧-结肠肝曲肠癌侵犯右侧腹壁全层(最厚处约3.1cm,累及长度约8.8cm),与十二指肠关系密切,伴周围肠系膜多发淋巴结转移。双肺多发小结节,部分磨玻璃结节,建议随诊(大者位于右肺上叶,长径约0.8cm)(图4)。

初步诊断:结肠肝曲癌累及腹壁及十二指肠(结肠肝曲癌 cT4bN+M0);慢性心力衰竭。
诊疗经过
转化治疗
患者于2022年7月11日予以TAS-102+贝伐珠单抗双周方案治疗4周期。具体用药方案:TAS-102:35mg/m2/次 p.o. bid d1-5,q2w;贝伐珠单抗:5mg/kg ivgtt 2h d1 q2w。
治疗期间患者腹痛缓解,体能状况明显改善。
2022年8月24日行胸腹部CT检查:结肠癌化疗后,病灶范围较前缩小(现最厚处约2.7cm,累及长度约7.4cm),周围肠系膜多发淋巴结转移,较前缩小,右腹壁病灶明显缩小;双肺多发小结节,部分磨玻璃结节(现大者位于右肺中叶,径约0.5cm),部分较前显示不清,余较前相仿,建议随诊(图5)。疗效评价:PR。

停用贝伐珠单抗,予以TAS-102单药治疗6周期。
2022年10月27日行胸腹部CT检查:结肠癌化疗后,病灶范围较前大致相仿(现最厚处约2.7cm,累及长度约7.4cm);周围肠系膜多发淋巴结,较前相仿;双肺多发小结节,部分磨玻璃结节(大者位于右肺中叶,径约0.5cm),较前相仿,建议随诊。疗效评价:SD。
再次予以TAS-102+贝伐珠单抗治疗。
2022年12月13日行腹部CT检查:结肠癌化疗后,病灶范围较前大致相仿(现最厚处约2.2cm,累及长度约7.5cm);周围肠系膜多发淋巴结,较前相仿。
再次停用贝伐珠单抗,予以TAS-102单药治疗6周期。
2023年1月28日行胸腹部CT检查:结肠癌化疗后,病灶范围较前大致相仿(现最厚处约2.1cm,累及长度约7.6cm);周围肠系膜多发淋巴结,较前相仿;双肺多发小结节,较前相仿,建议随诊。
手术治疗
患者于2023年2月6日在全麻下行根治性右半结肠切除术,术中见结肠肝曲肿瘤7*6*5cm,侵出浆膜,并侵及右前腹壁,向后内侧与十二指肠降部及水平部稍有粘连,肠旁未见明显肿大淋巴结。
术后病理:ypT4N0M0 IIb期。
辅助治疗
患者术后继续给予TAS-102单药辅助治疗至2023年6月。
术后随访至2024年3月,未见复发转移,OS已超过22个月。
病例小结
该患者为82岁伴严重心衰的晚期结肠癌患者。通过TAS-102联合贝伐珠单抗治疗方案,成功实现肿瘤降期,转化成功,并顺利行根治性右半结肠切除手术治疗,术后获得长期生存。
总结
通过学术报告与两例病例的分享,充分展示了TAS-102在晚期结直肠癌前线治疗中的广阔前景。从三线标准治疗前移至一线甚至转化治疗,TAS-102联合贝伐珠单抗方案凭借其独特的抗肿瘤机制、极低的心脏毒性和耐受性,为高龄及不适合强烈治疗的患者带来了新的希望。无论是实现超长PFS的长期生存,还是成功转化手术获得手术根治切除,都有力印证了该方案的临床价值。期待未来积累更多真实世界数据,惠及更多晚期结直肠癌患者。
排版编辑:肿瘤资讯-jyy






苏公网安备32059002004080号