引言:III期NSCLC是一组异质性较强、预后差异较大的疾病,患者能否接受根治性手术切除,对预后有极大的影响。一直以来,这类患者远期生存率难尽如人意,亟需能实现深度缓解与持久控制的创新策略。肿瘤资讯特别邀请东莞市人民医院江冠铭教授分享并点评了一例39岁IIIB期NSCLC患者,通过以纳武利尤单抗为核心的围术期全程管理成功获得了超过53个月的持久无病生存。该案例证明,以纳武利尤单抗为基础的围术期免疫全程治疗,能够有效破解IIIB期患者的治疗瓶颈,为突破其生存平台提供了有力的实践证据。
硕士生导师、博士后合作导师
南方医科大学第十附属医院(东莞市人民医院)
国家重点临床专科(建设)肿瘤科肺部肿瘤病区主任
CACA罕见突变及罕见肿瘤专业委员会 委员
广东省医师协会临床试验专业委员会 副主任委员
广东省健康管理学会胸部肿瘤及肺结节管理委员会 副主任委员
病例介绍
基本情况
基本信息:女,39岁
主诉:因“反复咳嗽1月余” 于2020-12-15入院
既往史:否认吸烟史,否认家族肿瘤史
PS评分:1分
辅助检查
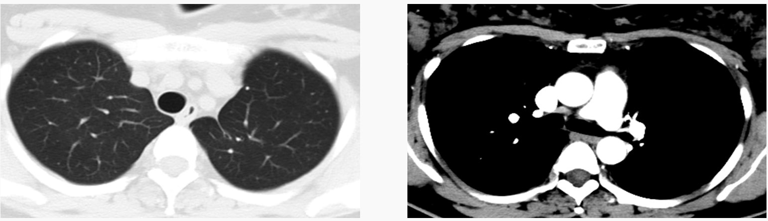
2020-12-11胸部CT:左肺上叶尖后段纵隔旁团块,考虑恶性肿瘤,肺癌可能性大。纵隔、左肺门淋巴结肿大。

颅脑MRI增强、全身骨显像未见转移。
肝肾功能、血常规等结果未见明显异常。
肿瘤标志物:CEA 7.56ng/ml。
肺穿刺活检病理:
2020-12-16 CT引导下左肺穿刺活检,病理:结合免疫组化及原位杂交结果,病变符合非小细胞肺癌(亚型:淋巴上皮癌)。
免疫组化:P40(+)、TTF-1(-)
原位杂交结果:EBER(+)
无已知EGFR/ALK突变

临床诊断
左肺淋巴上皮癌cT4N2M0,IIIB期
治疗经过
院内多学科协作诊疗(MDT)讨论:
放射科:左上肺占位,肿瘤分叶,内血管丰富,影像学考虑肺癌。纵隔、左肺门淋巴结肿大,考虑转移。
病理科:EBER(+),鼻咽未见占位,病理诊断左肺淋巴上皮癌明确。
胸外科:原发病灶大且肺门淋巴结转移,分期较晚,有手术切除可能,但有一定难度,建议行新辅助诱导治疗,治疗后复查影像学,评估手术切除时机。
放疗科:有手术机会,建议新辅助化疗后再复查影像学,若不能手术再行局部放疗。
肿瘤科:新辅助治疗方案建议选择免疫联合化疗提高MPR、pCR率。
基于MDT讨论结果,建议先行新辅助诱导,治疗后复查影像学,评估手术切除时机。
新辅助治疗:2020年12月24日,开始”纳武利尤单抗+吉西他滨+奈达铂”方案化疗共4程。
疗效评价:2程疗效评价PR,4程疗效评价PR

手术治疗:2021-04-12行电视胸腔镜下左上肺癌根治、胸膜粘连烙断、体腔血管探查术
术后病理:
1、(左上肺叶)淋巴上皮癌(肿物大小5.5×4.5×3.5cm)。支气管切缘及吻合钉切缘均未见癌累及;脏层胸膜未见癌累及;脉管内未见癌栓;神经未见癌累及(注:癌灶周围散在较多肺泡上皮增生,呈腺样排列,腺体结构较舒展,细胞呈单层,核增大,可见核仁,但未见病理性核分裂像,周围伴大量炎细胞及多核巨细胞浸润,间质纤维化。结合病史,考虑为反应性增生的腺体)。
2、送检淋巴结见癌转移,(第四组淋巴结)2/3、(第十组淋巴结)0/8、(第六组淋巴结)0/5、(第七组淋巴结)0/2、(第八组淋巴结)0/1、(第九组淋巴结)0/1、(第十一组淋巴结)0/2、(第五组淋巴结)0/1。
3、(左上肺叶)肿瘤床残存活性肿瘤细胞20%,坏死<1%,基质(包括纤维及炎症)80%;区域淋巴结均未见治疗后反应。
4、免疫组化:TTF-1、Napsin A(腺体+),P40、CK5/6(+),Ki-67(约20%+)。原位杂交:EBER(+)。
术后诊断:左上肺淋巴上皮癌(ypT3N2M0,IIIB期)
术后胸部CT:左肺上叶切除术后,相应左肺上叶支气管中断、其周围链状高密度灶及周围软组增厚。
术后治疗:2021-05-20至2022-04-12继续行“纳武利尤单抗”单药免疫治疗,过程顺利,患者治疗中未见明显治疗相关不良反应;影像学复查未见肿瘤复发,一直保持良好的生活质量。
术后随访CT第三年: 未见肿瘤复发。

术后四年余CT复查:未见复发,目前 DFS>53个月
1、左肺上叶切除术后,术区少许纤维灶,左侧膈肌及膈下腹腔内脏器位置上移,较前相仿。
2、左肺上叶前段及右上叶后段胸膜下小钙化灶,较前相仿。原双肺下叶磨玻璃小结节现显示欠清。
右肺多发实性微小结节,较前增多,部分为炎性病变可能。
3、右肺中叶、左肺下叶前内基底段少许炎症,右肺虫叶轻度支气管扩张,较前变化不大。

诊疗时间轴

专家点评
江冠铭教授: 本病例是一例39岁女性患者,因“反复咳嗽1月余”就诊,最终确诊为左肺淋巴上皮癌(cT4N2M0 IIIB期)。患者在明确诊断后,通过多学科协作诊疗(MDT)模式,制定了新辅助免疫联合化疗后续手术及术后免疫维持的治疗方案,取得了超过53个月的持久无病生存(DFS),体现了精准决策与多学科协作在复杂肺癌诊疗中的核心价值。
诊断方面,患者经CT引导下肺穿刺活检,病理结合免疫组化[P40(+)、TTF-1(-)]及EBER原位杂交阳性,明确诊断为肺淋巴上皮癌,诊断流程规范,依据充分。该类型肺癌通常无EGFR/ALK等常见驱动基因突变,但其独特的肿瘤免疫微环使其对免疫治疗可能具有更好的应答潜力,这为后续治疗策略的选择提供了重要理论依据。
治疗方面,本例通过MDT讨论,创新性地采用了“纳武利尤单抗+吉西他滨+奈达铂”新辅助方案,后续衔接根治性手术及术后纳武利尤单抗维持治疗一年,构成了一个完整的新辅助免疫化疗+手术+术后免疫巩固的“夹心饼”治疗模式。最终患者获得了超过53个月的DFS,强有力地证明了该治疗方案对于局部晚期肺NSCLC患者的巨大潜在价值,为未来临床实践与研究方向提供几点重要启示:
纳武利尤单抗在围手术期管理中具有关键地位
CheckMate816研究结果显示,对于IB~IIIA期可手术患者,纳武利尤单抗联合化疗与单独化疗相比,显著延长中位无事件生存期(EFS);其5年随访数据显示,5 年 OS 率高达 65%(对照组55%),5 年 EFS 获益持续,疾病进展或死亡风险下降 32%。基于CheckMate816研究的优秀数据,NMPA已批准纳武利尤单抗联合含铂双药化疗用于肿瘤≥4cm或淋巴结阳性的可切除NSCLC新辅助治疗,《CSCO非小细胞肺癌诊疗指南2025》中也将“含铂化疗联合纳武利尤单抗新辅助治疗”作为可手术IIIA~IIIB期NSCLC患者的I级推荐。
纳武利尤单抗不仅仅在术前新辅助治疗中表现优异,纳武利尤单抗同样在围术期全程治疗中展现出显著优势。CheckMate-77T 研究是一项旨在探索纳武利尤单抗(术前 4 周期纳武利尤单抗+化疗、术后 1 年纳武利尤单抗辅助治疗)在可手术 IIA-IIIB 期 NSCLC 患者中围术期治疗疗效的 III 期研究。最新数据显示,中位随访 41.0 个月时,无论疾病分期、组织学亚型或 PD-L1 表达情况如何,纳武利尤单抗组的 EFS 获益持续(46.6 个月 vs. 16.9 个月,HR = 0.61),30 个月 EFS 率得到有效改善(61% vs. 43%)。基于Checkmate77T研究的显著疗效,2025版CSCO指南上调“含铂化疗联合纳武利尤单抗新辅助+辅助治疗用于可切除IIIA~IIIB期NSCLC”为II级推荐。
个体化制定“新辅助+辅助”全程治疗策略
CheckMate 816确立的是“新辅助免疫+化疗”模式,而CheckMate 77T进一步将免疫治疗延伸至术后辅助阶段,形成“新辅助+辅助”全程免疫治疗模式。具体选择哪一种策略,应结合患者病情、手术结果及生物标志物等因素综合判断。本病例采用CheckMate 77T模式,术前新辅助联合术后纳武利尤单抗维持治疗一年,取得了良好疗效,体现了该全程管理模式在特定患者中的适用性。
生物标志物指导下的适应性治疗仍在探索阶段
如微小残留病灶(MRD)等生物标志物正在研究中用于指导术后治疗决策,例如MRD清零后是否可提前终止治疗。尽管这类“适应性治疗”策略颇具前景,目前仍限于临床研究范畴。在常规实践中,治疗决策仍应遵循指南与规范,不推荐在研究之外仅凭单一生物标志物改变标准治疗方案。
排版编辑:Niko






苏公网安备32059002004080号