您好,欢迎您

2025 ESMO | 奥希替尼辅助治疗后复发患者的晚期一线再治疗:一项基于ADAURA试验的单中心回顾性分析

2025年11月15日
整理:肿瘤资讯
来源:肿瘤资讯

2025年10月17-21日,2025年欧洲肿瘤内科学会(ESMO)年会于德国柏林盛大召开。来自全球的数千位肿瘤领域顶尖专家共襄盛举,分享最新科研进展,探讨临床焦点议题。


此前,基于ADAURA研究结果,奥希替尼已经成为IB-IIIA期EGFR敏感突变(19del或21L858R)的非小细胞肺癌(NSCLC)患者术后辅助治疗标准方案。此次会议中,一项回顾性分析显示,对于完成3年奥希替尼辅助治疗后复发、且复发时再次基因检测确认EGFR 19del或L858R的患者,使用奥希替尼作为晚期一线系统治疗在这组病例中观察到潜在获益信号;该探索性结果提示该治疗路径具有可行性,尚需更大样本与前瞻性研究验证[1]。【肿瘤资讯】特此解读该研究结果及其临床意义,以飨读者。

研究背景

目前,基于ADAURA研究结果,奥希替尼已经成为IB-IIIA期EGFR突变阳性NSCLC患者术后辅助治疗标准方案。然而,对于已经完成36个月奥希替尼辅助治疗(完全切除术后±化疗)后复发进入晚期的EGFR突变NSCLC患者,再次使用奥希替尼治疗的疗效尚不明确。本次研究通过分析ADAURA研究中此类患者的预后,探讨奥希替尼在此类进入晚期一线患者再治疗的治疗价值。

研究方法

这项研究对2017年3月至2019年1月在北京协和医院入组ADAURA研究的患者进行了回顾性分析。纳入标准为在停用奥希替尼辅助治疗后出现疾病进展,并在复发时作为晚期一线系统治疗接受奥希替尼,评估这部分患者的预后。

研究结果

截至2025年5月8日,全部6例患者均在随机化后完成了为期36个月的奥希替尼治疗。从停用奥希替尼至出现影像学疾病进展的中位间隔时间为27.0个月(14.0-37.7个月)。随机化后的中位无病生存期(DFS)为57个月(37.8-75.1个月)。

其中,5例患者经二次活检后诊断为肺腺癌复发 EGFR 19del/21L858R,在接受了奥希替尼晚期一线治疗再治疗后,在数据截止日全部存活,仅1例患者在接受奥希替尼治疗24.7个月后出现疾病进展。奥希替尼再治疗后的中位无进展生存期(PFS)和总生存期(OS)均尚未达到,其范围分别为2.3-37.8个月和3.7-38.7个月。

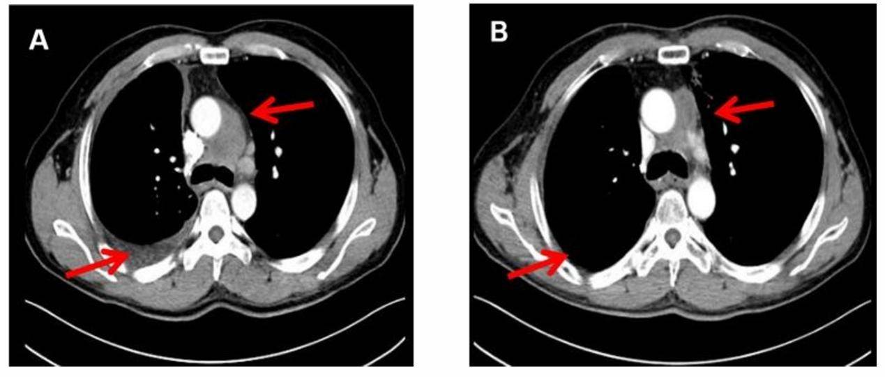
111.jpg

图1. 1例复发患者接受奥希替尼晚期一线再治疗的疗效评估

A:奥希替尼晚期一线治疗前基线CT扫描(2022年3月)显示纵隔淋巴结转移伴右侧胸腔积液

B:奥希替尼晚期一线治疗24个月后随访CT扫描(2024年4月)显示纵隔淋巴结较前缩小,右侧胸腔积液完全消退

222.jpg

图2. A:从手术到复发期间肿瘤分期的演变
B:术后基线时期至疾病进展期的基因组特征动态演变

研究结论

研究者强调在复发时进行再次活检与分子检测的重要性,以评估基因组特征变化并指导治疗选择。在本研究报道的病例中,奥希替尼晚期一线再治疗显示出了疗效。

小编点评

基于ADAURA研究,奥希替尼已经在国内获批了IB-IIIA期EGFR敏感突变(19del或21L858R)NSCLC患者的术后辅助治疗,三代EGFR-TKI阿美替尼也同样基于ARTS研究获批适用于II-IIIB期EGFR敏感突变(19del或21L858R)NSCLC患者的术后辅助治疗,开启了EGFR敏感突变(19del或21L858R)NSCLC患者的术后辅助靶向治疗时代。

尽管辅助靶向治疗可以为患者带来长期DFS获益,奥希替尼辅助治疗也可以为此类患者带来明显OS获益。但复发问题仍然无法完全避免,特别是对于已经停药的患者。此次研究针对停药后复发进入晚期的患者,评估了在经二次活检后在晚期一线治疗中使用奥希替尼再治疗策略的临床可行性,尽管研究样本量较小,仅纳入6例患者,且为回顾性数据分析,但结果提示,对于疾病发展进入晚期,且接受二次活检仍为EGFR 19del或21L858R突变的患者,此前辅助治疗期间使用奥希替尼,并不影响在晚期一线治疗期间仍然使用奥希替尼并从中获益。考虑到此类研究所需随访时间较长,难以开展大样本前瞻性研究,此研究对于临床实践具备一定参考意义。

研究结果同样指出,患者疾病进展时可能产生其他基因改变,更加强调了二次活检的临床价值。未来对于此类患者的精准治疗,需要结合继发基因改变进行更进一步的探索。

参考文献

[1] Weiwei Wang, et al. Osimertinib Rechallenge After Relapse Following Adjuvant Osimertinib: a single-center retrospective analysis of ADAURA. 2025 ESMO. 2049ep.


本材料由阿斯利康提供支持,仅供医疗卫生专业人士参考,不可用于推广目的。
审批编号:CN-170647
过期日期:2026-02-10
责任编辑:肿瘤资讯-Yuno
排版编辑:肿瘤资讯-邓文普
版权声明
版权归肿瘤资讯所有。欢迎个人转发分享,其他任何媒体、网站如需转载或引用本网版权所有内容,须获得授权,且在醒目位置处注明“转自:良医汇-肿瘤医生APP”。

评论
2025年11月23日
韩月仙
寿阳县人民医院 | 肿瘤内科
口服靶向药的出现给肺癌患者带来好的体验
2025年11月20日
汤继英
十堰市人民医院 | 肿瘤科
乙肝治疗性疫苗产生
2025年11月18日
张宇
盘锦市中心医院 | 肿瘤内科
好好学习天天向上