
结直肠癌作为我国高发的恶性肿瘤之一,近年来其发病率明显上升。对于晚期或转移性结直肠癌(mCRC)患者,尤其是经过多线治疗后,往往面临着治疗选择有限、疗效欠佳的困境。曲氟尿苷替匹嘧啶(TAS-102)作为一种新型口服化疗药物,因其独特的抗肿瘤机制及良好的安全性,在该领域的治疗中显示出广阔的应用潜力。本文通过分析三例真实世界中的病例,深入探讨了TAS-102联合方案在晚期结直肠癌治疗中的临床效果与价值,旨在为临床实践提供新的参考与思路。
病例一
病例汇报:
王英南教授 河北医科大学第四医院
病例点评:
张敬教授 河北北方学院附属第一医院
张亚瑞教授 天津市人民医院
河北医科大学第四医院消化内科副主任医师、医学博士
河北省医学会消化分会青年委员
北京癌症防治学会胃癌专业委员会青年委员会委员
北京癌症防治学会食管癌专业委员会青年委员会委员
河北省肿瘤防治联合会脑转移瘤专业委员会委员
河北省医药行业协会青年医师专业委员会委员
主要从事消化道肿瘤的内科治疗和临床研究
患者基本情况
一般资料:男性,66岁。
现病史:患者降结肠癌术后4年余,发现疾病进展1周于2023年11月29日就诊。
既往史:30余年前因“阑尾炎穿孔”行“阑尾切除术”;5年前因“双侧膝关节炎”行“双侧腓骨截骨术”。余既往病史无特殊。
辅助检查:
结肠镜(2019年3月8日)示:进镜至横结肠近脾区,见溃疡状新生物边缘,侵及全周,管腔狭窄,镜身难以通过。病理:(结肠)腺癌。
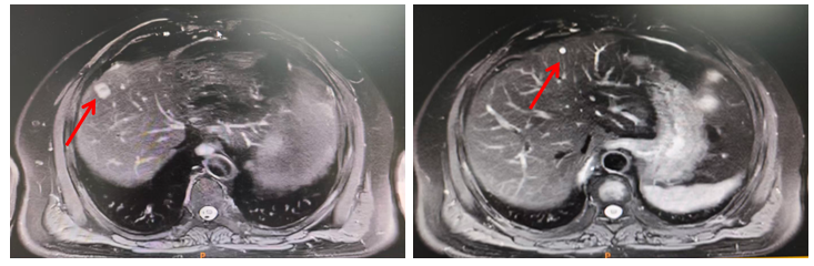
腹部MRI(2019年3月11日)示:肝内两处异常信号,考虑转移可能(图1)。

初步诊断:降结肠腺癌伴肝转移(Ⅳ期)
诊疗经过
手术治疗
患者于2019年3月15日在全身麻醉下行剖腹探查术,术中探查无腹水,无腹膜种植转移,肝顶及肝右叶各存在一枚转移结节,遂行根治性左半结肠切除术+肝顶转移结节切除术+肝右前叶转移结节切除术。
术后病理提示:肠管一段长14cm,距一端4cm,距另一端7cm,可见一个3cm*3cm*3.5cm的溃疡型肿物,切面灰白质脆。腺癌侵及浆膜,未见明确脉管瘤栓及神经受侵。环周切缘(-)。临床上、下残(-)。淋巴结:肠旁0/4,系膜中1/7,系膜根0/3转移。临床送检“肝顶转移结节”,“肝右前叶转移结节”,腺癌结节。免疫组化:BRAF(-),MLH1(+),PMS2(+),MSH2(+),MSH6(+),HER2(0)。KNB基因检测:KRAS G13D突变,NRAS、BRAF未检测到突变。
辅助治疗
患者于2019年4月20日至2019年12月11日予以XELOX治疗8周期。
胸腹部增强CT(2020年5月8日)示:结肠癌伴肝转移术后改变;肝左叶稍低密度影,考虑转移。
腹部核磁(2020年5月19日)示:肝左叶异常信号,考虑转移可能性大。
患者于2020年5月25日行CT引导下肝转移瘤微波消融术。
2020年6月22日至2020年10月28日继续予以XELOX方案治疗6周期。
胸腹部增强CT(2021年5月25日)示:结肠癌伴肝转移术后改变;肝左叶稍低密度影,较前未见明显变化;肝右后叶下段异常强化低密度影,考虑转移瘤。
患者于2021年6月8日行超声引导下肝转移瘤微波消融术。
一线治疗
患者于2021年7月26日至2023年2月11日予以XELOX+贝伐珠单抗方案治疗6周期,随后予以卡培他滨+贝伐珠单抗维持治疗。
胸腹部增强CT(2023年2月22日)示:结肠癌伴肝转移术后改变;肝脏多发占位,腹腔左侧结节,双肺多发结节,考虑转移。
腹部MRI(2023年2月22日)示:肝脏多发异常信号,考虑转移可能性大。
2023年2月24日复查PET-CT示:肝实质内多发片状稍低密度影,PET可见异常葡萄糖高代谢;腹腔左侧肠系膜部位(约腰4椎体层面)软组织密度结节影,PET可见异常葡萄糖高代谢;两肺多发实性小结节影,PET示部分呈轻度葡萄糖高代谢,考虑肝、腹膜及双肺转移可能性大。
二线治疗
患者于2023年2月28日至2023年10月15日予以XELIRI+贝伐珠单抗治疗8周期。
胸腹部增强CT(2023年5月5日)示:结肠癌伴肝转移术后改变;肝左内侧叶病变稍增大;腹主动脉分叉水平腹腔左侧结节,较前稍增大。
2023年11月13日复查胸腹部增强CT,提示肝左内侧叶病灶较前增大。
三线治疗
患者于2023年11月29日至今予以TAS-102+呋喹替尼治疗。
期间疾病控制稳定。
胸腹部增强CT(2025年8月5日)示:结肠癌伴肝转移术后改变;肝左内侧叶病灶较前增大;腹主动脉分叉水平腹腔左侧结节,较前增大;两肺转移瘤较前未见明显变化。
病例小结
本例患者诊断为晚期结直肠癌伴肝转移,历经了长达5.5年的治疗过程。在多学科协作(MDT)模式下,通过手术、多次局部消融以及多线全身化疗与靶向治疗的有机结合,患者获得了超长的生存期。特别是在二线治疗失败后,三线采用TAS-102联合呋喹替尼的全口服方案,不仅有效控制了病情,也为患者提供了便捷、耐受性良好的治疗选择,充分体现了TAS-102联合方案在结直肠癌治疗中的重要价值。
病例二
病例汇报:
郭红兰教授 郴州市第一人民医院
病例点评:
王静教授 解放军总医院
师霄楠教授 郑州大学第一附属医院
副主任医师、硕士研究生
湖南省郴州市第一人民医院肿瘤内科
湖南省免疫学会青年委员会委员
湖南省国际医学交流促进会乳腺癌专业委员会委员
患者基本情况
一般资料:男性,58岁。
主诉:因“大便习性改变、便血6月”于2023年7月就诊。
辅助检查:
肠镜(2023年6月30日):距肛门5cm见一溃疡型肿块,表面溃疡,附着污秽苔,肠腔狭窄,内镜无法通过。病理:直肠中分化腺癌,免疫组化:MLH1(+),MSH2(+),MSH(+),PMS2(+),HER2(0)。
胸腹部CT(2023年7月5日)示:1.直肠中下段癌并周围淋巴结转移,建议内镜检查及MR检查。2.主动脉钙化(图2)。MRI提示直肠癌T3bN2 CRM(+) EMVI(3)。

初步诊断:直肠中低位腺癌(cT3bN2M0)。
诊疗经过
新辅助治疗
患者于2023年7月11日、2023年9月17日予以CapeOX方案治疗2周期。
2023年7月25日至2023年8月26日予直肠癌新辅助放疗,PTV=CTV+5mm,剂量为:PTV:4500cGy/25f,CTV2 5000cGy/25f,卡培他滨同期化疗,患者放化疗顺利。
2023年10月7日复查CT及MRI提示,直肠原发灶较前增大,且出现肝内多发转移灶,疾病进展。
一线治疗
患者于2023年10月18日行基因检测:KRAS G12V突变,MSS。
2023年10月19日至2024年1月13日予以贝伐珠单抗+FOLFIRI方案治疗6周期。
复查显示,直肠原发灶缩小,但肝脏转移灶增大,总体疗效评估为疾病进展(PD)。后续因便血于2024年3月8日行乙状结肠造瘘术。
二线治疗
患者于2024年3月27日予以信迪利单抗+呋喹替尼治疗2周期。
2024年4月3日行基因检测:KRAS G12V突变,PIK3CA 突变,TP53突变,MSS,TMB 6.67Muts/Mb。
2024年5月24日复查胸腹部CT提示双肺多发结节较前略增大。
三线治疗
患者于2024年5月28日、2024年6月25日予以TAS-102+信迪利单抗+呋喹替尼的联合方案。治疗期间患者一度出现肛周脓肿并坏死性筋膜炎,经积极抗感染及对症支持治疗后好转。后续以TAS-102为核心的联合方案持续治疗,影像学显示肝、肺转移灶得到有效控制并缩小,病情稳定至今。
病例小结
本例患者诊断为局部晚期直肠癌,在新辅助治疗期间即快速进展为转移性疾病,且对后续一、二线标准方案均不敏感,提示肿瘤侵袭性强、治疗难度大。在三线治疗阶段,创新性地采用TAS-102联合免疫检查点抑制剂和抗血管生成TKI的“三药联合”方案,成功逆转了疾病快速进展的态势,实现了病情的稳定控制。
病例三
病例汇报:
张鑫教授 哈尔滨医科大学附属肿瘤医院
病例点评:
井浩人教授 天津市人民医院
吴忱思教授 河北医科大学第四医院
哈尔滨医科大学附属肿瘤医院VIP全科病房副主任医师
黑龙江省脑血管病学会高血压防治专业委员会委员
黑龙江省医师协会全科医学专业委员
黑龙江省预防医学会心脏性猝死预防与控制专业委员会委员
擅长肿瘤患者围手术期脑血管状态及血压的管理,以及肿瘤合并神经系统相关疾病如放化疗后周围神经病、免疫治疗后脑脊髓炎、副肿瘤综合征等的管理,擅长恶性胸腹腔积液、恶性肠梗阻等各种肿瘤并发症的诊治及鉴别
患者基本情况
一般资料:女性,73岁。
主诉:体检行肠镜提示结肠癌。
初步诊断:结肠癌。
诊疗经过
手术治疗
患者于2022年11月行腹腔镜下“右半结肠切除术+腹腔粘连松解+肠粘连松解术”。术后病理:结肠溃疡型中分化腺癌侵及至浆膜;未见明确脉管内瘤栓;肠管双断端未见癌;肠周淋巴结1/18见癌转移;大网膜未见癌。免疫组化:MSH2(+),MSH6(+),MLH1(+),PMS2(+),Ki67(+80%)。
术后诊断:结肠癌[pT3N1M0(IIIB期)]。
辅助治疗
患者于2023年1月21日予以XELOX方案治疗5周期。
肝超声造影(2023年5月31日)提示肝转移。
目前诊断:结肠癌伴肝转移(cT3N1M1-Ⅳ期)。
患者于2023年6月2日行肝脏肿瘤射频消融术。
一线治疗
患者于2023年6月16日予以伊立替康+雷替曲塞+贝伐珠单抗方案治疗2周期。
2周期治疗后评估为疾病进展。
二线治疗
患者于2023年8月14日入组临床研究(AK119+AK112)。
11周期治疗后评估为疾病进展。
患者分别于2024年3月14日及4月16日行肝脏肿瘤射频消融术。
2024年10月6日胸部CT提示右肺病灶较前增大(图3),提示疾病进展。

目前诊断:结肠癌伴肝转移、肺转移(cT3N1M1b-IVb期)。
三线治疗
患者于2024年10月15日予以瑞戈非尼治疗2周期。
2周期治疗后复查提示肺部病灶增大,评估为疾病进展。
后线治疗
患者于2024年12月3日至今予以TAS-102+贝伐珠单抗方案。
影像学评估长期维持在SD状态。
病例小结
本例患者诊断为结肠癌,从IIIB期辅助化疗后较早复发,并对后续多线治疗(包括化疗、双免/双抗等)均未表现出良好应答,疾病进展迅速。面对严峻挑战,后线采用TAS-102联合贝伐珠单抗的方案,带来了持久的疾病控制。
总结
通过以上三例晚期结直肠癌的病例分享与深入讨论,见证了TAS-102在临床实践中的重要价值。在标准治疗失败后,TAS-102单药或其联合方案(如联合贝伐珠单抗、呋喹替尼等)为患者提供了强有力的后线治疗选择。这些真实世界的案例表明,通过精准的基因检测、多学科团队的协作以及个体化的治疗决策,即使是高龄、伴有不良预后基因突变或经多线治疗失败的患者,仍可能从TAS-102相关方案中获得显著的临床获益,实现肿瘤的有效控制和生存期的延长。未来,随着更多临床研究的开展,TAS-102在晚期结直肠癌治疗中的应用前景将更加广阔,有望为更多患者带来生存希望。
排版编辑:肿瘤资讯-jyy






苏公网安备32059002004080号