对于术后迅速进展、身体状态欠佳的IV期胃癌患者,如何选择一线治疗方案,在有效控制肿瘤的同时,更大程度地改善生活质量,是临床面临的严峻挑战。近年来,以PD-1/PD-L1抑制剂为代表的免疫检查点抑制剂联合化疗在晚期胃癌一线治疗中取得了突破性进展,为临床治疗带来了新选择与新希望。
本期,运城市中心医院李安教授分享了一例胃癌术后短期内出现肺部及腹腔淋巴结转移的IV期患者,通过舒格利单抗联合FOLFOX方案一线治疗,患者不仅实现了肿瘤的部分缓解(PR),身体状态更发生了明显改善——从入院时的无法下床、生活严重受阻,到治疗后能够自主开车来院复诊,体重从45公斤恢复至55公斤,PS评分由2分改善至1分,生活质量大大提升。【肿瘤资讯】将病例诊疗过程整理如下,并邀请运城市中心医院医院梁朝晖教授对病例进行点评,以飨读者。
运城市中心医院放疗科主治医师
山西省医师协会乳腺专业委员会委员
山西省医师协会肿瘤免疫治疗专业委员会委员
山西省医院协会肿瘤多学科诊疗管理委员会委员
运城市医学会肿瘤放射治疗专业委员会委员
病例介绍
基本情况
患者信息:男,53岁。
主诉:胃癌术后1月余,请求后续治疗。
现病史:患者半年前因上腹部间断性钝痛、嗳气就诊。2025年5月因黑便行胃镜检查,提示胃巨大溃疡,活检病理考虑为低分化腺癌。于2025年5月12日接受了“腹腔镜检查中转开腹+腹腔镜胃大部切除伴胃空肠吻合术+胃周围淋巴结清扫术+胃主动脉旁淋巴结切除术”,术后病理为浸润溃疡性腺癌。术后为求进一步治疗来我院就诊。入院时,患者精神尚可,但食欲及睡眠欠佳,无法下床,相比术前体重减轻约10公斤,大便、排尿正常。
既往史:胃癌术后1月余。
个人史:无烟酒等特殊不良嗜好。
辅助检查
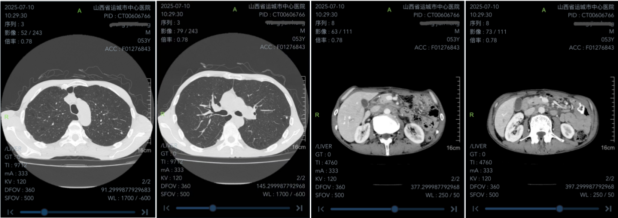
胸部CT(2025年7月,治疗前基线):双肺多发结节,较大者位于左肺上叶舌段,大小约9mm×6mm。右肺下叶见团片状高密度影。胃大部切除伴胃空肠吻合术后,术区可见高密度吻合线影,肝胃间隙及腹主动脉旁可见多发增大淋巴结。
头颅CT、骨扫描:未见转移。
彩超(2025年7月):未见明显异常肿大淋巴结。

病理检查(2025年5月,术后病理)
标本类型:远端胃。
肿瘤分型:进展期癌Borrmann Ⅲ型(浸润溃疡型),大小4cm×2cm×1cm。
组织学类型:管状腺癌(Lauren分型:混合型),中-低分化。
浸润深度:pT3(肿瘤穿透固有肌层,侵犯浆膜下层)。
脉管及神经侵犯:有神经侵犯,有侵及临近器官。
淋巴结转移:淋巴结见癌转移26/49(小弯侧淋巴结10/20;大弯侧淋巴结1/10;第6组淋巴结0/1;第8p组淋巴结0/2;第9组淋巴结0;第12p组淋巴结0/1;第13组淋巴结2/2;第16组淋巴结13/13,局灶见肾上腺组织)。
pTNM分期:pT3N3bMx。
免疫组化结果:Ki-67(80%+), HER-2(2+), PD-L1(CPS=5), Claudin18.2(+), MMR相关蛋白[PMS-2(+),MLH-1(+),MSH-2(+),MH-6(+)]均为阳性(提示为pMMR)。CD10(部分+),MUC-2(部分+),MUC5AC(+),MUC6(部分+),Claudin18.2(+),S100(提示神经侵犯)。
临床诊断
胃恶性肿瘤术后pT3N3M0 ⅢC→rT3N3M1 Ⅳ期;肺继发恶性肿瘤;腹腔淋巴结继发恶性肿瘤;PD-L1(CPS=5),PS评分:2分。
治疗经过
一线治疗方案:鉴于患者诊断为IV期胃癌且PD-L1表达阳性(CPS=5),经多学科讨论后,于2025年7月11日开始执行一线标准治疗:舒格利单抗(1200mg)联合FOLFOX方案(奥沙利铂、亚叶酸钙、氟尿嘧啶)化疗。
不良反应:患者对治疗方案耐受性良好,无明显不良反应。
疗效评价(4周期后):经过4个周期的治疗,患者获得了部分缓解(PR)。
腹部CT(2025年9月26日):胃大部切除伴胃空肠吻合术后;肝小囊肿;左肾上腺内侧腺瘤可能,较前无变化;肝小囊肿,肝增强扫描静脉期略低密度灶同前。
肿瘤标志物变化:较治疗前大幅降低。

患者身体状态变化:患者的临床获益明显。从初入院时食欲不振、卧床为主,到能够自主开车来院复诊。精神、食欲、睡眠均较好,体重从入院时的45公斤恢复至55公斤。PS评分由2分改善至1分。
主任医师,运城市中心医院放疗科主任
山西省医师协会放疗专业委员会委员
山西省医院协会放疗管理委员会常任委员
运城市医学会肿瘤专委会副主任委员
运城市医学会肿瘤综合治疗专委会副主任委员
运城市医学会肿瘤放射治疗专委会常委
中国医药教育协会肿瘤放射治疗专委会委员
中国老年保健协会肿瘤多学科诊疗分会常务委员
专家点评
本例患者是临床中一个典型的胃癌术后快速进展案例,其成功的诊疗过程,为我们精准治疗IV期胃癌提供了宝贵的范例。该患者术后病理分期已达IIIC期,淋巴结转移数目多,提示其肿瘤侵袭性强,复发风险极高,术后仅1月余便迅速进展至IV期。且患者入院时身体状态较差,食欲不振、卧床不起,严重影响了其生活质量。
在治疗方案选择上,基于生物标志物进行了精准且规范的治疗决策。患者PD-L1表达为CPS=5,这是选择免疫检查点抑制剂联合化疗作为一线治疗方案的核心依据。III期GEMSTONE-303研究中,对于PD-L1 CPS≥5的晚期胃癌患者,舒格利单抗联合化疗相较于单纯化疗,能够带来无进展生存期(PFS)和总生存期(OS)的双重获益,两组的中位OS分别为15.6 vs 12.6个月(HR 0.75,P=0.006),中位PFS分别为7.6个月vs 6.1个月(HR 0.66,P<0.001);客观缓解率(ORR)也是高达68.6%,远超单纯化疗组的52.7%。基于该研究的优异数据,舒格利单抗联合化疗用于一线治疗晚期胃癌的适应证已获中国国家药品监督管理局(NMPA)批准,并纳入《CSCO胃癌临床诊疗指南》等权威指南推荐,为胃癌临床治疗带来了高效可及的标准治疗方案。
本病例中,舒格利单抗联合化疗方案也为患者带来了切实获益。患者在接受4周期治疗后,不仅影像学评估达到PR,肿瘤标志物大幅下降,更重要的是其临床状态发生了明显改善——从入院时的无法下床、生活严重受阻,到治疗后能够自主开车来院复诊,PS评分恢复至1分,体重增加,这表明治疗不仅有效控制了肿瘤,同时逆转了肿瘤消耗状态,大大改善了患者生活质量。这一明显的临床获益,充分体现了免疫联合化疗“1+1>2”的协同增效作用,也再次在临床实例中验证了舒格利单抗联合化疗方案的良好疗效和安全性。
值得一提的是,该患者在错配修复功能完整(pMMR)的背景下依然获得了如此理想的疗效。这提示我们,对于CPS≥5的胃癌人群,即便是传统认为的免疫治疗敏感性相对较低的pMMR/微卫星稳定(MSS)患者,仍可能从免疫联合化疗中获得良好的生存益处。
总体而言,本病例生动地展示了在晚期胃癌治疗中,以舒格利单抗为代表的PD-1/PD-L1抑制剂联合化疗的抗肿瘤实力。通过基于生物标志物的精准治疗,我们成功为一名病情危重、身体状态差的IV期胃癌患者带来了肿瘤的深度缓解和生命质量的明显提升,是现代肿瘤综合治疗理念在临床实践中的一次成功范例。
排版编辑:肿瘤资讯-Vickey






苏公网安备32059002004080号