整理:肿瘤资讯
来源:肿瘤资讯
病例点评:北京大学人民医院 肝胆外科 高杰 教授、李涛 教授
全球 Ⅲ 期 PANOVA-3研究取得阳性结果,确立了肿瘤电场治疗(TTFields)联合吉西他滨和白蛋白紫杉醇方案在不可切除局部晚期胰腺癌(LAPC)中的临床有效性。该方案在延长患者生存期的同时,可显著改善疼痛相关生活质量,且未增加系统性毒性,为胰腺癌治疗领域带来突破性进展,具有重要临床价值。在本个案中,采用 TTFields 联合化疗方案,患者胰腺肿物缩小显著,经研究者评估整体疗效达部分缓解(PR);同时,肿瘤引发的疼痛症状明显改善,结合后续手术治疗,患者已获得超过 3 年的生存获益。这一结果表明,TTFields 联合化疗有望突破局部晚期胰腺癌(LAPC)的治疗瓶颈,为临床治疗提供新策略。【肿瘤资讯】特邀北京大学人民医院高杰教授与李涛教授,结合当前 LAPC 的诊疗现状、PANOVA-3研究数据及本个案实践经验展开深入探讨,为临床诊疗决策提供指导。
专家简介

高杰 教授
北京大学人民医院 二级教授,主任医师,博士生导师
北京大学人民医院党委副书记
北京大学人民医院肝胆外科学科带头人
中国医师协会肝癌专委会常委
中国抗癌协会肝癌专委会常委
中华医学会外科学分会外科手术学组委员
北京医学会器官移植分会常委兼秘书长
北京医师协会器官移植医师分会副主任委员
卫生部海峡两岸医药卫生交流协会肝胆胰外科专家委员会副主任委员
中国医疗保健国际交流促进会微创诊疗学分会副主任委员
中国医疗保健国际交流促进会肝移植分会常委
北京健康促进会肝胆胰中青年专家委员会主任委员
北京癌症防治学会原发性肝癌治疗专业委员会副主任委员
《中国普外基础与临床杂志》编委、《中华消化外科杂志》通讯编委
《肝癌电子杂志》编委、《中华普通外科杂志》编委

李涛 教授
北京大学人民医院 肝胆外科
主任医师,副教授,硕士研究生导师
中国医疗保健国际交流促进会肝脏肿瘤分会委员
中国医疗保健国际交流促进会软组织肿瘤分会委员
中国抗癌协会环境肿瘤学专委会常务委员
北京癌症院后管理专业委员会副主任委员
国际肝胆胰协会/亚太区肝胆胰协会委员
北京癌症防治学会原发性肝癌外科治疗专业委员会委员
中国医药教育协会肝胆胰外科专业委员会委员
中国医药教育协会临床合理用药专家委员会常务委员
中国抗癌协会康复会肝胆胰专业委员会委员
北京癌症防治学会肝胆胰临床研究专业委员会委员
《世界华人消化杂志》编委、《中华实验外科杂志》编委、《器官移植杂志》编委、《肝脏》杂志编委
病例点评
高杰教授点评
李涛教授点评
病例简介
基本情况
◈患者男,初诊时59岁。主诉:间断上腹部疼痛2月。
◈ 2022年6月,患者无明显诱因出现上腹部不适,症状类似于腹胀,不伴疼痛、恶心呕吐、黄疸、发热、腹部包块。1周后出现上腹疼痛,程度不重,不伴放射,与进食、活动无明显关系,午后多发,持续3~4小时可自行缓解。
◈ 2022年7月就诊于当地医院完善胃镜考虑浅表性胃炎,自服抑酸药无明显缓解,遂完善腹部增强CT(2022-7-13),提示胰腺体部稍低密度灶并周围多发肿大淋巴结,考虑胰腺癌并周围血管受侵。
影像学等检查
◈ 2022-7-19:就诊于我院完善上腹部MR增强,提示T2WI及DWI胰腺体尾部信号稍高并胰管局限性稍扩张,肠系膜上动脉、腹腔干近段局部管壁增厚,需鉴别免疫相关性疾病累及或其他。完善AFP 7.89↑ng/ml, IgG4 233.0↑mg/dl,完善自身抗体谱未见异常,CA19-9未见升高。遂就诊于友谊医院完善颌面部腺体彩超,CT未见明显异常,完善总IgE 111.62 IU/ml,IgG 42.4 g/L。患者病程中,疼痛性质如上述,频率较前升高,无恶心呕吐、腹部包块、皮肤巩膜黄染、发热等症状,现为求进一步诊治收住我科。患者自发病以来,精神、睡眠、食欲可,二便如常,体重无显著变化。
◈ 入院诊断:1、胰腺占位待查(IgG4相关性胰腺炎?胰腺癌?);2、慢性浅表性胃炎。
◈ 入院后完善影像科会诊及胸腹盆增强CT,考虑患者胰腺占位诊断明确,但需鉴别恶性肿瘤及免疫相关疾病,有手术指征,各项检查未见手术禁忌。向患者及家属交代病情、手术方式及相关风险,患者及家属表示理解,同意手术治疗,签署知情同意书。已完善术前准备。
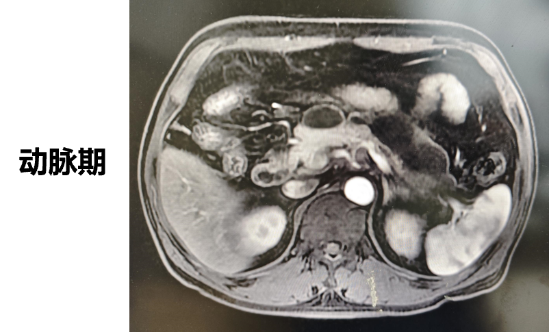
◈ 2022-7-19腹部MR增强扫描:提示T2WI及DWI胰腺体尾部信号稍高并胰管局限性稍扩张,肠系膜上动脉、腹腔干近段局部管壁增厚,需鉴别免疫相关性疾病累及或其他。




2022-7-19 上腹部MR增强扫描
◈ 2022-8-10 胸腹盆增强CT提示:胰腺体部强化减低并胰管局限性稍扩张,肠系膜上动脉、腹腔干近段及局部分支软组织影包绕,考虑患者胰腺占位诊断明确(占位大小无法准确评估),但需鉴别恶性肿瘤及免疫相关疾病。




2022-8-10 胸腹盆增强CT
病理确诊
◈ 于2022-08-12全麻下行腹腔镜下胰腺部分切除术(取组织活检),术中取胰颈部及胰体尾部2处可疑组织送冰冻病理。
◈ 病理诊断:(胰颈部)活检,小块纤维组织中可见小灶低分化癌浸润,组织深切后考虑腺癌可能性大,免疫组化结果: CK(+),AB-PAS(局灶+),CK7(+), CK19(+)。
◈ 考虑患者病变侵及腹腔干、肠系膜上动脉等重要血管,周围组织粘连严重,为LAPC,与患者家属充分沟通患者目前病情状况及进一步手术的获益及风险后,家属表示理解并决定拒绝进一步手术。
治疗经过
◈ LAPC缺乏有效的治疗手段,根据当前的循证医学证据,目前国内外指南均优先推荐参加临床研究。在 PANOVA Ⅱ期试验中,TTFields 联合吉西他滨 ± 白蛋白紫杉醇可显著延长局部晚期及转移性胰腺癌的无进展生存期(PFS)和总生存期(OS)。PANOVA-3研究是一项全球、开放标签、随机对照的III期研究,进一步评估TTFields联合吉西他滨和白蛋白紫杉醇一线治疗不可切除的LAPC的疗效和安全性。本中心也加入了该临床试验。
◈ 患者在充分知情且经评估符合入组条件后自愿入组,随机分配至试验组,接受TTFields联合吉西他滨/白蛋白紫杉醇(AG)化疗。
患者的治疗经过:
◈ 2022年9月27日~2023年3月21日,患者接受了6个周期的AG方案,同时给与电场治疗,电场治疗时间日均使用率约16个小时。
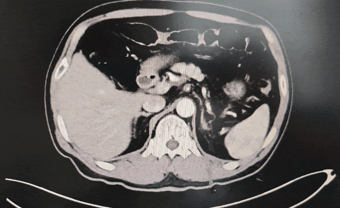
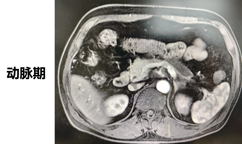
◈ 2022-11-28,TTFields联合化疗治疗2个月,上腹部MR增强扫描,对比基线( 2022-09-13):胰周多发囊性病变,考虑为术后改变(活检后),假性囊肿形成可能,较前略吸收;局部与邻近胃壁分界不清,左侧门脉高压,胃底、肠系膜静脉曲张,脾静脉近段较前显示清楚,肠系膜上动脉、腹腔干近段及局部分支周围软组织影较前范围缩小。




2022-11-28上腹部MR增强扫描—TTFields联合化疗治疗两个月
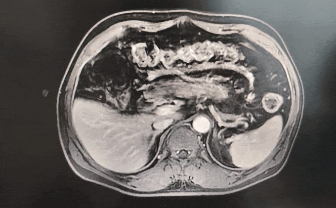
◈ 2023-3-9 上腹部MR增强扫描,对比2023-1-19上腹部MR:胰周多发囊性病变,考虑为术后改变(活检后),假性囊肿形成可能,较前吸收缩小;肠系膜上动脉、腹腔干近段及局部分支周围软组织影,较前缩小,研究者评估整体疗效为部分缓解(PR)。




2023-3-9上腹部MR增强扫描—TTFields联合化疗治疗五月余
◈ 2023-3-28,患者完成6个周期的治疗,结合患者意愿,于2023-3-29出组。后续在外院进行了手术切除(具体信息不详)。
◈ 患者治疗过程中未发生显著不良反应,仅出现轻微皮疹,疼痛症状显著改善,患者满意度高。
◈ 2024-9-3生存期随访:患者目前一般情况良好,无特殊不适主诉;未出现新增不良事件(AE)及严重不良事件(SAE);合并用药未发生调整。嘱患者如有不适及时复诊。
◈ 2025-7-24随访:患者目前一般情况良好,无特殊不适主诉;未出现新增AE及SAE;合并用药未发生调整。嘱患者如有不适及时复诊。
◈ 截止到末次随访日期(2025-10-11),患者生存期已超3年。
患者治疗小结
左右滑动查看
高杰教授:
胰腺癌作为我国常见的消化系统恶性肿瘤,以“癌中之王”著称,其恶性程度极高、进展迅速,5年生存率仅约10%。LAPC指的是一种局限于胰腺但已侵及周围的一些重要的血管,如肠系膜上动脉(SMA)、腹腔动脉(CA)等大的血管,导致无法进行根治性切除,且尚未发生明确远处转移的类型。此类患者治疗起来很棘手,一方面可以考虑做积极的手术,但很有可能达不到根治性切除的效果,另一方面是考虑采取保守治疗的措施,比如用经典的化疗方案来延缓肿瘤进展,但保守治疗的中位生存期仅1年左右,远远达不到我们心中的预期以及患者的期待。我们希望探索一些更有效的新方法促进肿瘤的转化,希望把肿瘤缩小以及将肿瘤进展有效控制以后,再进行手术切除,这些转化治疗的手段包括经典的化疗、局部的放疗以及近几年一些免疫治疗手段的加入,使得转化成功的比例在逐年提高。但尽管这样,文献报道的转化成功的手术率仅15%~30%。且在转化治疗过程中,大多数患者的肿瘤还是在进展,因此转化的时间段也非常令人尴尬。另外,目前针对这类患者的创新疗法还相对有限,靶向、免疫和经典的化疗、局部放疗联合起来可能会是一个突破点。临床治疗中也亟需更加安全有效的治疗策略。
非常荣幸参与PANOVA-3研究,这是一项全球、开放标签、随机对照的 Ⅲ 期研究。既往PANOVA Ⅱ期试验证实TTFields联合吉西他滨 ± 白蛋白紫杉醇可显著延长局部晚期胰腺癌(LAPC)及转移性胰腺癌生存期,已被纳入《CSCO 胰腺癌诊疗指南》推荐。TTFields是一种无创的物理疗法,主要通过低强度中频交变电场来干扰肿瘤细胞有丝分裂,抑制肿瘤生长增殖并诱导肿瘤细胞凋亡等机制发挥抗肿瘤作用,目前其已获美国FDA批准用于胶质母细胞瘤、恶性胸膜间皮瘤和非小细胞肺癌治疗,2020 年于中国获批用于胶质母细胞瘤治疗。
PANOVA-3研究达到首要终点,总生存期(OS)获益显著。意向治疗人群中,TTFields 联合化疗组中位OS达16.2个月,较单纯化疗组(14.2个月)显著延长,死亡风险降低 18%(HR=0.82,P=0.039);在完成至少1周期治疗人群中,TTFields联合化疗组中位OS进一步延长至18.3个月(对照组 15.1 个月)。该研究是首个也是目前唯一一个在不可切除LAPC中显示OS具有统计学显著延长的Ⅲ期研究,确立了TTFields联合吉西他滨和白蛋白紫杉醇方案的临床有效性。此外,TTFields联合化疗组在无进展生存期(PFS)、局部PFS、客观缓解率(ORR)方面均呈获益趋势,事后分析显示,联合组在远处PFS方面具有显著的改善,提示该方案能够有效控制肿瘤生长并显著降低转移风险。更重要的是,联合组疼痛无进展生存期显著延长(15.2个月 vs 对照组9.1个月)。疼痛是晚期胰腺癌患者中最常见且最严重影响生活质量的症状,我们中心入组的TTFields联合化疗的患者,疼痛症状的改善令我印象极其深刻。联合治疗有效地控制住了肿瘤引起的疼痛症状,大大地改善患者的生活质量,患者也非常满意。对于这样一个将来可能会为更多的患者带来获益的治疗手段,有望突破LAPC的治疗瓶颈,让患者获得更长的生存和更好的生活质量,这也是我们临床医生追求的目标。
李涛教授:
PANOVA-3研究的阳性结果为胰腺癌治疗带来突破性进展,具重要临床意义。胰腺癌治疗效果与预后欠佳,该研究证实,TTFields 联合化疗可为不可切除局部晚期患者带来显著生存获益,有望成为新一线标准治疗,为医患提供有效的新治疗手段。同时,该方案可改善患者生活质量。在延长生存期的同时,显著延长疼痛无进展生存期,有效控制疼痛等症状恶化,减轻患者痛苦,这方面对晚期患者至关重要。此外,其安全性良好,联合治疗未增加系统性毒性,设备相关不良事件多为轻中度皮肤反应,患者易耐受,可保障长期规范治疗。
该病例患者经影像学检查、血液学检测及病理活检确诊为胰腺腺癌,影像学评估提示病变侵及腹腔干、肠系膜上动脉等关键血管,伴周围组织严重粘连,符合不可切除LAPC诊断标准,根治性手术切除对患者而言风险极高,术后恢复及长期预后均存在显著不确定性。患者在充分知情且经评估符合入组条件后自愿入组,随机分配至试验组,接受TTFields联合吉西他滨/白蛋白紫杉醇化疗。治疗期间影像学监测显示,患者胰腺原发肿物缩小显著。结合患者意愿,其完成 6 个周期治疗后出组,后续规律随访。后续患者在外院进行了手术。截至末次随访日期(2025-10-11),患者生存期已超3年,远超不可切除LAPC既往1年左右的中位生存期水平,显示出显著的生存获益。治疗期间无严重不良反应,基于患者目前病情稳定,建议后续持续规律随访,密切监测病情变化,以保障长期治疗获益。该个案直观反映了TTFields联合化疗方案在不可切除LAPC中的临床有效性与安全性,也表明该方案有望突破LAPC治疗瓶颈,为临床治疗提供新策略,期待这一创新治疗模式造福更多患者。
*以上信息涉及尚未在中国获批的产品/适应症。此信息仅作信息分享用途,不应被理解为这些产品/适应症在中国获批或注册。
相关文章回顾(点击可查看详情):
1.曹丹教授:肿瘤电场治疗为“癌王”困境带来新突破,点亮局晚期胰腺癌患者的生命之光
2.王理伟教授权威解析PANOVA-3研究 | 从生存绝地到生命高原,肿瘤电场重绘局部晚期胰腺癌生存曲线
3.秦叔逵教授 | 肿瘤电场治疗破局“癌王”困局,PANOVA-3研究的全球突破与中国使命:照亮局晚期胰腺癌至暗时刻
4.2025 ASCO | 胰腺癌治疗格局打破!郝纯毅教授解读 III 期PANOVA-3:TTFields联合化疗带来生存获益!
排版编辑:肿瘤资讯-Shiro










苏公网安备32059002004080号