
结直肠癌作为我国高发的恶性肿瘤之一,近年来其发病率明显上升。对于晚期或转移性结直肠癌患者,治疗选择相对有限,且预后不佳。曲氟尿苷替匹嘧啶(TAS-102)作为一种新型口服化疗药物,为晚期结直肠癌患者带来了新的治疗选择。本文通过整理两个复杂病例的完整诊疗经过,并结合多位专家的点评与思考,旨在深入探讨TAS-102联合方案在晚期结直肠癌治疗中的临床应用价值与未来方向,以期为临床实践提供参考。
病例一
病例汇报:
吴贵福教授 北京市三环肿瘤医院
病例点评:
梁平教授 北京朝阳区三环肿瘤医院
史一楠教授 山西省肿瘤医院
纪丕军教授 山西省肿瘤医院
北京市医促会消化肿瘤综合诊疗学分会委员
北京肿瘤防治研究会青年委员会委员
北京肿瘤病理精准诊断研究会青年委员会委员
北京文化健康促进会肿瘤康复专业委员会委员
北京整合医学学会 结直肠肿瘤分会委员
长期从事内科常见肿瘤的综合治疗,擅长胃癌、食管癌、大肠癌等消化系统肿瘤,肺癌、
头颈部肿瘤等的化疗、免疫治疗及靶向治疗等,且对肿瘤患者的营养治疗深有研究
患者基本情况
一般资料:女性,44岁。
主诉:
乙状结肠癌伴多发转移,多线治疗后。
辅助检查:
2021年1月行检查发现乙状结肠占位,伴右侧附件转移,伴肠梗阻。病理提示为腺癌。
初步诊断:乙状结肠腺癌。
诊疗经过
手术治疗
患者于2021年2月2日行“腹腔镜探查+乙状结肠癌根治术+右侧附件切除术+左侧卵巢囊肿开窗减压术”,术中见乙状结肠处肿瘤穿透浆膜,呈缩窄性生长。术后病理:(乙状结肠)肠浸润型中-低分化腺癌(3.8*2.5cm),癌组织浸润肠壁全层并至周围脂肪组织中,肠系膜淋巴结可见癌转移(6/16),癌组织距环周切缘<1mm,上下切缘未见癌。免疫组化结果:MSH2(+),MSH6(+),MLH1(+),PMS2(+),CgA(-),Syn(-)。(右侧卵巢)中低分化腺癌,符合肠道来源;pT4N1M1。
一线治疗
患者于2021年3月至2021年6月予以“FOLFOX6”方案治疗6周期,期间不良反应为Ⅱ度恶心、呕吐。
2021年7月检查发现左侧卵巢转移。
患者于2021年7月9日行“开腹探查+卵巢转移肿瘤细胞减灭+肠粘连松解+膀胱修补术”,术中见左侧卵巢囊实性肿物,大小约14*13*13cm,多房,压迫包绕子宫,实性部分位于子宫膀胱及腹壁之间,部分肿瘤组织侵犯膀胱表面。术后病理:(左侧卵巢)转移性中-低分化腺癌伴出血坏死,形态符合大肠来源。免疫组化结果:CK7(局部弱-),CK20(2+),CDX2(3+)。
2021年8月1日行医学基因检测(乙状结肠):KRAS、NRAS、BRAF野生型;NTRK1野生型;TP53 5号外显子p.s149fs(突变丰度42%);MSS型,ERBB2、PTEN、FRFR1、POLE未检出突变。
二线治疗
患者于2021年8月至2021年12月予以“贝伐珠单抗+卡培他滨”方案治疗6周期,随后于2022年1月6日至2022年6月7日予以“贝伐珠单抗”单药维持治疗8周期(疫情影响间断完成)。
2022年6月8日复查CT提示右侧盆腔多发淋巴结转移。
2022年6月21日外院进一步PET/CT,明确盆腔多发淋巴结转移。
三线治疗
患者于2022年7月2日至2022年10月予以“伊立替康+5-FU+西妥昔单抗”方案治疗(受疫情影响,断断续续完成6周期)。治疗期间出现Ⅱ度恶心、呕吐,Ⅱ度骨髓抑制。
3周期疗效评价为疾病稳定(SD),6周期疗效评价为疾病进展(PD)。
患者拟入实验组“呋喹替尼+信迪利单抗+菌群移植”,但患者刚出洗脱期,复查发现病变进展迅速,入组失败。
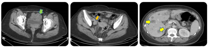
2023年1月28日CT提示,盆腔肿物5.5*8cm,右侧髂血管旁、骶前及肠系膜多发淋巴结,较前增大,肝单发转移进展为肝多发转移,大者3.6*2.4cm(图1)。

四线治疗
患者于2023年2月14日至2023年3月下旬予以“信迪利单抗+呋喹替尼”联合方案治疗,掐尖除一线Ⅲ度腹泻,调整剂量后仍不能耐受,对症处理后不良反应好转。
2023年3月21日复查CT/MR。提示盆腔左侧囊实性肿物进一步增大(8.0*5.5cm→8.4*8.2cm);肠系膜区、腹主动脉旁、双侧髂血管旁及骶前多发转移淋巴结,较前增大,大者短径(2.4cm→2.7cm);肝多发转移,较前增大、增多,大者约(2.8*2.4cm→3.8*2.6cm)。疗效评价为SD增大。
五线治疗
患者于2023年3月30日始至2024年1月8日予以“TAS-102+贝伐珠单抗+伊立替康”联合治疗12周期。
治疗期间定期复查,疗效评价为部分缓解(PR)。9周期后予以“TAS-102+贝伐珠单抗”维持治疗3周期,随后出现PD,无进展生存期(PFS)为9.1个月,肿瘤最佳退缩比率达57.9%。ECOG评分由2分恢复至1分。
病例小结
本病例是一位44岁晚期结直肠癌患者,经历了手术、多线化疗及靶向治疗后,病情仍快速进展。五线治疗采用TAS-102联合贝伐珠单抗及伊立替康的三药方案。该方案不仅成功逆转了疾病进展,带来了长达9.1个月的PFS,还显著改善了患者的体能状态和生活质量。
病例二
病例汇报:
张宁刚教授 山西省肿瘤医院
病例点评:
柳婧美教授 山西省肿瘤医院
孙玮教授 山西省肿瘤医院
扈彩霞教授 首都医科大学附属北京佑安医院
中华医学会肿瘤分会青委会委员
北京肿瘤防治学会食管癌专业委员会青年委员会常务委员
中国抗癌协会肿瘤多学科诊疗(MDT)专业委员会委员
山西省胃肠外科医师分会MDT专委会副主任委员
山西省抗癌协会肝癌MDT专业委员会副主任委员
山西省肿瘤医学医疗质量控制中心食管癌专家委员会常委
山西省抗癌协会化疗专业委员会青年委员会常委
山西省抗癌协会老年肿瘤专业青年委员会委员
山西省医师协会肝病医师分会第四届委员会委员
山西省抗癌协会大肠癌专业委员会委员
山西省胃肠胰神经内分泌肿瘤专业委员会委员
患者基本情况
一般资料:女性,57岁。
主诉:因“右下腹疼痛不适4天”就诊。
辅助检查:
肿瘤标志物:CEA:22.06ng/ml;CA199:346.56U/ml;CA242:275.23U/ml;
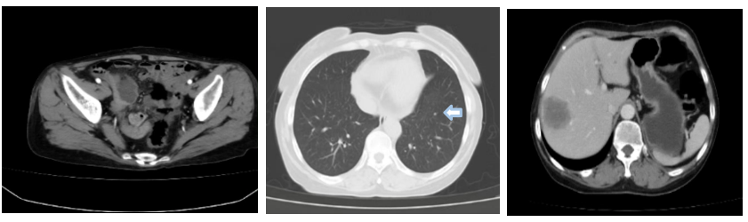
腹部CT提示:回盲部肠壁不均匀增厚,考虑恶性占位,伴周围系膜、肠系膜根部多发淋巴结恶性肿瘤(MT),肝内多发结节及肿块MT;左肺下叶前内基底段实性小结节;肝脏S2段,S8段,S5段,S6段四枚转移瘤,较大者约4.6*4.1cm(图2)。
肠镜提示:升结肠可见不规则肿物,堵塞管腔,内镜无法通过,取检质脆易出血。病理提示:(升结肠)腺癌,中分化。免疫组化结果:MLH1(+),PMS2(+),MSH2(+),MSH6(+),Ki67(约80%+),p53(错义突变),HER2(1+)。基因检测:KRAS、BRAF、NRAS、HER-2基因未突变。

初步诊断:升结肠中分化腺癌伴肝转移(cT4aN+M1,Ⅳ期),RAS/BRAF全野生型,pMMR。
诊疗经过
手术治疗
患者于2023年11月10日出现右下腹疼痛较前加重,无排气、排便。胃肠减压、灌肠等对症治疗效果不佳。
经MDT讨论后,于2023年11月10日全麻下行右半结肠切除术。术中可见:于回盲部见一溃疡性肿物,5*4.5*1.5cm,底深0.3cm,侵及全层,网膜:总体积15*12*3cm,未触及具体结节;阑尾长8cm;肠系膜淋巴结22枚。
术后病理:回盲部:腺癌,中分化,溃疡型,肿物大小5*4.5*1.5cm,浸润肠壁达浆膜下,未见明确神经及脉管累犯。肿瘤出芽:高级别。上、下切缘:未见癌。环周切缘:未见癌。阑尾:可见癌组织累犯。网膜:未见癌。肠系膜淋巴结可见癌转移:2/22。pTNM分期:pT3N1MX。
免疫组化:KRAS 、NRAS 、BRAF未检出突变 ;Ki67(约80%),p53(错义突变)HER2(1+)。
肿瘤标志物:CEA:36.84ng/ml;CA199:316.02U/ml;CA242:303.98U/ml;
CT提示:肝内多发结节及肿块较前增大,左肺下叶前内基底段结节约0.7*0.6cm。
一线治疗
患者于2023年12月8日至2024年3月5日予以“mFOLFOX6+贝伐珠单抗”治疗6周期。最严重的不良反应为Ⅲ度骨髓抑制;Ⅲ度消化道反应,给予对症治疗后好转。
2024年3月19日至2024年4月9日予以“XEOLOX+贝伐珠单抗”治疗2周期。最严重的不良反应为Ⅱ度骨髓抑制;Ⅰ度消化道反应,给予对症治疗后好转。
治疗期间,监测患者肿瘤标志物变化及影像学评估为PR。
2024年5月31日行肝脏MR检查,提示肝内多发结节及肿块,大者约3.9*3.7cm。
患者于2024年5月10日至2024年6月21日予以“卡培他滨+贝伐珠单抗注”治疗3周期,不良反应为乏力,骨髓抑制(Ⅲ级)。
2024年6月26日复查胸腹盆C检查,提示肝内多发转移,大者径约4.3*3.6cm,较前增大;左肺下叶前内基底段结节,径约1.0cm,较前增大,新增右肺上叶前段两枚小结节,倾向MT。
二线治疗
患者于2024年7月5日至2024年8月16日予以“伊立替康+卡培他滨(CapIRI方案)+贝伐珠单抗”治疗4周期。最严重的不良反应为Ⅱ度骨髓抑制;Ⅱ度消化道反应,给予对症治疗后好转。
治疗4周期后,CT/MR提示经化疗联合靶向治疗后肝转移缩小,肺结节性质不明。
经MDT讨论后,患者于2024年9月30日全麻下行肝部分S5段+S6段+部分S7段+S2段肝脏肿物+胆囊切除术。术后病理:肝部分S5段、S6段及部分S7段、肝S2段:腺癌,结合病史,考虑转移性。肝S8段结节:局灶慢性炎细胞浸润。肝切缘:未见癌。送检胆囊切除标本:慢性结石性胆囊炎。送检7、8、9组淋巴结未见转移:0/2。肝S6段及部分S7段、肝S2段:腺癌。
免疫组化结果:AE1/AE3(+),CK7(小灶+),CK20(+), CDX -2(+),Ki67(约80%+),符合转移性腺癌。
2024年11月15日复查胸腹部CT检查,提示肝脏部分缺如,术区多发斑片状低密度影;腹腔肠管吻合口处线样致密影,符合术后改变,双肺多发结节(较大者0.8cm),考虑MT,较前略增大。
患者于2024年11月18日至2025年1月1日予以“CapIRI+贝伐珠单抗”治疗4周期。不良反应为Ⅲ度骨髓抑制;Ⅱ度消化道反应,给予对症治疗后好转。
患者于2025年1月16日至2025年2月27日予以“卡培他滨+贝伐珠单抗”治疗3周期维持治疗。不良反应为Ⅱ度骨髓抑制;Ⅲ度消化道反应,给予对症治疗后好转。
2025年3月12日复查CT提示肺部病灶增大,疗效评价为PD。
三线治疗
患者于2025年4月至2025年5月予以“TAS-102+贝伐珠单抗”治疗3周期。期间出现Ⅱ度骨髓抑制;Ⅱ度消化道反应,给予对症治疗后好转。
2025年6月5日复查CT提示双肺多发结节,较大者位于左肺下叶前内基底段,长径约2.2cm,考虑MT,较前不同程度增大。
四线治疗
经MDT讨论后,患者于2025年6月10日予以“FOLFIRI+西妥昔单抗”治疗1周期,不良反应为Ⅳ度骨髓抑制;Ⅲ度消化道反应,给予对症治疗后好转;于2025年6月25日予以“伊立替康+西妥昔单抗”治疗1周期,不良反应为Ⅰ度骨髓抑制;Ⅱ度消化道反应。
2025年7月16日复查CT提示双肺多发结节,较大者位于左肺下叶前内基底段,长径约2.0cm,考虑MT,较前不同程度缩小。
肿瘤标志物CA199 8.78U/mL,CEA 2.83ug/L,CA242 0.40U/mL。
病例小结
本病例充分展示了MDT在晚期结直肠癌全程管理中的重要地位。患者初诊时情况复杂,经多线治疗后,病情一度进展,三线治疗予以TAS-102联合贝伐珠单抗,病情持续进展,四线治疗经MDT讨论后调整为FOLFIRI联合西妥昔单抗,治疗后肺部病灶较前缩小,后续将密切随访影像学及实验室指标,适时调整治疗策略,以期延长生存期,改善生活质量。
总结
通过以上两个病例的深入分析及各位专家的精彩点评可以看到,在晚期结直肠癌的治疗领域,个体化、全程化的MDT管理模式是取得成功的基石。无论是面对初诊即伴有多发转移的复杂情况,还是在多线治疗失败后的棘手局面,MDT都能从全局出发,为患者制定出最优的综合治疗策略。以TAS-102为基础及其联合方案,为后线治疗提供了强有力的武器。未来,随着对肿瘤生物学行为认识的加深以及更多创新药物的问世,晚期结直肠癌的治疗前景将更加广阔。
排版编辑:肿瘤资讯-jyy






苏公网安备32059002004080号