胃肝样腺癌(HAS)是一种罕见的胃癌亚型,约占所有胃癌病例的1%。其病理学特征表现为腺癌和肝细胞癌样分化共存,常伴有组织AFP表达或血清AFP升高。HAS恶性程度高,易发生血行转移和淋巴结转移,肝转移概率高,预后差。目前,HAS的综合治疗尚无高级别证据共识,手术仍是唯一可能治愈HAS的治疗手段。临床中,常规新辅助/转化治疗方案在HAS中往往效果有限,这可能与其特殊的分子生物学机制密切相关。基于此,北京大学肿瘤医院王安强教授分享一例HAS病例,该患者经过一线后出现疾病进展,二线应用维迪西妥单抗联合方案治疗后逆转疾病进展趋势,肿瘤明显缩小,获得手术条件并成功手术。患者术后1年多复查未见肿瘤复发。【肿瘤资讯】将病例诊疗过程整理如下,并特邀北京大学肿瘤医院步召德教授对病例进行点评,以飨读者。
病例介绍
专家介绍
中国抗癌协会胃肠间质瘤康复专业委员会常务委员
北京抗癌协会胃癌专业委员会常务委员、秘书长
中国微循环学会肝脏微循环专业委员会常务委员
中华全科医师学会全国贲门癌专业委员会常务委员
中国医疗保健国际交流促进会结直肠病学分会委员
北京市慢性病防治与健康教育研究会胃肠疾病专业委员会委员
北京市慢性病防治与健康教育研究会青年专家委员会委员
北京市自然科学基金评审专家
主持国家自然科学基金,首都卫生发展基金青年优才等多项基金。
荣获2019年世界胃癌大会“Young Investigator Diploma”称号,2019年入选北京市医管局青苗人才计划,荣获2024年中华医学科技奖一等奖,2025年入选北京市医师科学家项目。
一般资料
男性患者,56岁,因无明显诱因腹痛、腹胀、黑便1年就诊当地医院。
既往史:5年前因左下肢静脉曲张行手术治疗。个人史:饮酒史10年,戒酒5年,否认吸烟史。无肿瘤家族史。
辅助检查
2023-10-28肿瘤标志物:CEA 16.53ng/ml,CA199 17.1U/ml。
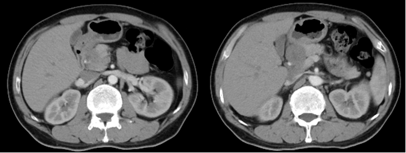
2023-10-27于当地医院行腹盆CT:胃窦壁增厚,肝胃间隙、肝门区及大网膜区见肿大淋巴结,大者最大截面约3.9*2.7cm,腹膜后可见稍大淋巴结(图1)。
胃镜检查示:胃窦粘膜充血水肿,前壁可见一溃疡,表面可见大量血管裸露,少量渗血。病理活检:分化差的癌,倾向腺癌(中-低分化)。

临床诊断:
(胃窦)中分化腺癌。
治疗经过
一线治疗:
患者于2023-11-1、2023-11-22、2023-12-16当地医院行奥沙利铂+替加氟+亚叶酸钙+信迪利单抗方案第1-3周期转化治疗,期间于2023-11-22查肿瘤标志物:AFP 1729.53ng/ml, CEA 18.70ng/ml。
2023-12-15于当地医院复查腹盆CT:胃窦壁不均匀性增厚,呈中度略不均匀强化,肝胃间隙、肝门区及大网膜区见肿大淋巴结,大者最大截面约3.4*3.3cm,腹膜后可见稍大淋巴结。2023-12-16查肿瘤标志物:AFP 1403.1ng/ml, CEA 11.01ng/ml。2024-01-08患者继续当地医院行第4周期治疗,用药:奥沙利铂+卡培他滨+信迪利单抗。期间2024-01-06查肿瘤标志物:AFP 666.39ng/ml, CEA 7.72ng/ml。治疗后评效SD。
患者于我院完善病理会诊:(胃窦)中分化腺癌伴肝样腺癌分化(Lauren:肠型)。免疫组化:Cmet(80%中等+),EBER(-),EGFR(90%强+),HER2(2+),,pMMR,PD-L1(22C3)(CPS:15)。FISH检测结果:HER2基因扩增,建议患者联合靶向治疗。
患者返当地医院,于2024-01-31、2024-02-27应用奥沙利铂+卡培他滨+信迪利单抗+曲妥珠单抗方案转化治疗2周期。过程中患者AFP指标持续进展,由2024-01-30的933.8ng/ml上升为2024-3-21的1546.07ng/ml。
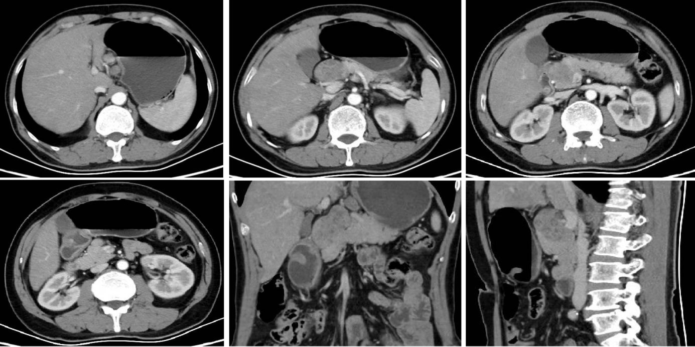
2024-03-12腹盆CT回报:对比2024-01-19腹盆CT:胃窦部胃壁增厚减轻,较厚处原约12mm,现约9mm,与正常胃壁分界不清,浆膜面模糊。No.1-3,7-8,9组多发淋巴结,部分增大,较大原约34*31mm,现约46*31mm,与胰腺分界欠清(图2)。临床疗效评价:综合考虑PD。

二线治疗:
经多学科团队(MDT)讨论,患者于2024-03-22予以维迪西妥单抗(Q2W)+卡培他滨(Q3W)+伦伐替尼+替雷利珠单抗(Q3W)治疗。疗程中,患者血小板减少III度,伴乏力、发热,卡培他滨用药7天;伦伐替尼用药13天,停药8天。
2024-04-12行第2周期行维迪西妥单抗+伦伐替尼+替雷利珠单抗治疗。2024-04-26、2024-05-03行第3周期行维迪西妥单抗+伦伐替尼+替雷利珠单抗治疗,过程中监测见患者AFP持续下降,2024-03-28为630.4ng/ml,2024-05-02为102.3ng/ml。期间于2024-04-24复查CT示:对比2024-03-12 腹盆部CT:胃窦部胃壁增厚大致同前,较厚仍约9mm,增强扫描强化明显。No.1-3,7-8,9组多发淋巴结部分缩小,较大原约46*31mm,现约25*22mm,与胰腺分界欠清。
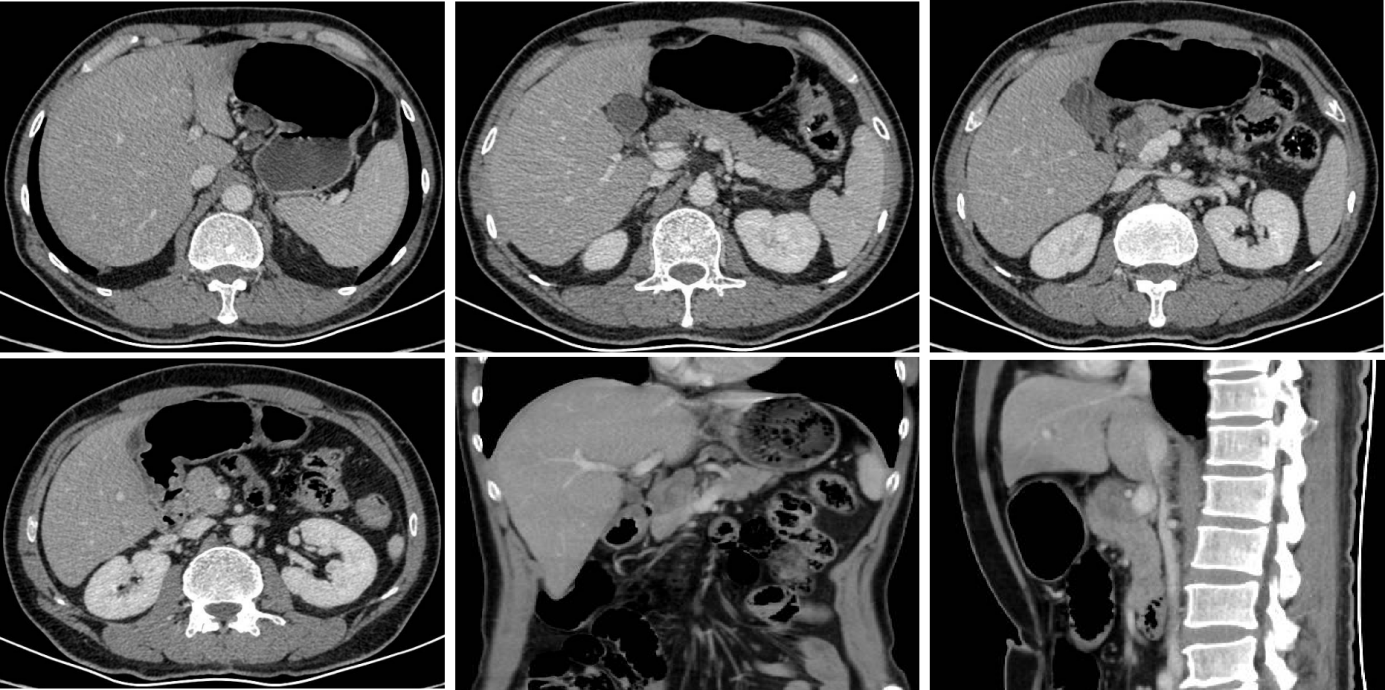
2024-05-28再次复查CT示:对比2024-04-24腹盆部CT:胃窦部胃壁增厚大致同前,较厚仍约9mm,增强扫描强化明显。No.1-3,7-8,9组多发淋巴结部分缩小,较大原约25*22mm,现约14*13mm,与胰腺分界欠清(图3)。临床疗效评价:PR。


手术治疗:
全科讨论后考虑患者第8组淋巴结显著缩小,可R0切除。遂于2024-06-12行全麻下腹腔镜探查、开腹根治性远端胃切除术。术中探查见胃窦小弯处溃疡型肿物,大小1*1cm,质硬、侵及全层。第8组淋巴结融合成团,位于肝总动脉、肝固有动脉、胰十二指肠动脉与胰腺上缘三角区,肿物与胰腺上缘及血管壁关系密切,无明显侵犯,仔细游离淋巴结与胰腺粘连,沿胰腺上缘后方的胰后间隙自右向左解剖分离肝总动脉表面与淋巴结间的疏松组织,清除肝总动脉前方No.8a组淋巴结。
术后病理:低分化(G3)肝样腺癌(ypT1bN1);巨检分型:II型(局限溃疡型);浸润深度:黏膜下层。免疫组化结果显示AFP(少数+),CD34(血管+),GPC-3(+),HER2 (2+),SALL4 (+),pMMR,PD-L1 CPS=5。Lauren分型:肠型。
术后治疗:于2024-07-16当地医院行维迪西妥单抗+替雷利珠单抗+伦伐替尼方案治疗1周期。因免疫性皮炎较重,予激素治疗。复查肿瘤标志物(2024-09-02):甲胎蛋白1.52(ng/ml),癌胚抗原5.09(ng/ml)。2024-09-20行第2周期维迪西妥单抗+伦伐替尼治疗。后因药物治疗耐受性差改为观察。
预后:患者术后1年复查未见肿瘤复发。
病例总结
患者经过多种药物组合方案的尝试,并在二线更换抗HER2治疗ADC药物:维迪西妥单抗+仑伐替尼+替雷利珠单抗±卡培他滨,后逆转疾病进展趋势,AFP由最高点1546.07ng/ml将至最低60.34ng/ml。疗效评估由PD(PD)转化为PR(PR)。胰腺上方淋巴结节由46*31mm缩小为14*13mm,获得手术条件并成功手术。患者术后1年多复查未见肿瘤复发。
专家点评
专家介绍
研究领域:胃肠肿瘤的基础及临床转化研究。如胃癌免疫微环境图谱、胃癌淋巴结转移免疫微环境特点刻画、早期胃癌淋巴结转移特点及预测模型构建、胃癌的免疫治疗研究等。
CJCR杂志编辑部主任
中国抗癌协会期刊出版专委会主任委员
中国医疗保健国际交流促进会结直肠病学分会主任委员
中国抗癌协会胃癌专业委员会员
HAS侵袭性高,预后差,对常规化疗方案敏感性差,目前标准治疗方案尚未确立。本例患者在一线治疗中接受了基于铂类和氟尿嘧啶类化疗联合免疫治疗,后续联用赫赛汀抗HER2受体靶向治疗,未达到预期疗效,这可能与HAS特有的铂类耐药性有关。研究表明,HAS较普通胃腺癌存在更明显的铂类耐药基因上调,提示我们在制定方案时需考虑肿瘤的分子生物学特征。后续二线治疗中,结合其分子生物学特征采取个体化治疗策略后成功完成肿瘤转化,实现根治性手术。
患者术前活检病理显示为中分化腺癌伴肝样腺癌分化(Lauren:肠型),免疫组化提示 HER2基因扩增(HER2/Chr17比值=4.8),PD-L1 CPS=15,并伴显著AFP升高(最高1546.07 ng/ml)。这些特征提示本例患者属于分子特征明确的HAS病例,其中 HER2扩增为治疗提供了重要靶点。在本案例中,维迪西妥单抗作为一种新型HER2靶向抗体偶联药物(ADC),在治疗中发挥了关键作用。其治疗机制包括双重作用:一方面,通过阻断HER2受体激活的下游信号通路(如PI3K/AKT),干扰细胞转录、生长及增殖;另一方面,其携带的小分子毒素微管抑制剂单甲基奥利司他汀E(MMAE)可直接破坏微管组装,导致细胞周期阻滞于G2/M期,最终诱导肿瘤细胞凋亡。研究显示,维迪西妥单抗对于HER2过表达的晚期胃癌患者(包括IHC 3+、IHC 2+/FISH+、IHC 2+/FISH-)具有显著疗效,不仅提高了治疗反应率,还延长了患者生存期。本例患者在二线治疗中使用维迪西妥单抗联合仑伐替尼与替雷利珠单抗后,肿瘤负荷显著减轻(AFP由1546.07 ng/ml降至60.34 ng/ml),疗效评估由PD转为PR,并为后续手术创造了条件,充分体现了维迪西妥单抗在逆转晚期HAS疾病进展中的作用。
本研究通过一例胃肝样腺癌患者的诊疗全过程,展示了针对肿瘤分子特征的个体化治疗在HAS综合治疗中的重要性。抗HER2治疗联合免疫与抗血管生成药物的二线治疗成功逆转疾病进展,并为后续手术创造了条件,为HAS的综合治疗提供了宝贵经验。当前,HAS的治疗经验尚局限于个案报道和小样本研究,缺乏大规模前瞻性临床试验的证据支持。本例的治疗成功为类似患者提供了重要参考,针对HAS生物学行为差,进展速度快特点,新辅助治疗方案考可虑多药联合较强方案,未来研究可着重于探讨基于分子特征的精准治疗方案并开展大样本前瞻性队列研究以制定标准化个性化精准化治疗方案。
排版编辑:肿瘤资讯-邓文普






苏公网安备32059002004080号