您好,欢迎您

吴爱兵教授:从快速缩瘤到持续获益近三年!舒格利单抗全程管理为晚期肺鳞癌点亮希望

2025年09月23日
整理:肿瘤资讯
来源:肿瘤资讯

肺癌是全球发病率和死亡率最高的恶性肿瘤之一,对人类健康构成严重威胁。据统计,非小细胞肺癌(NSCLC)约占所有肺癌病例的85%,其中大部分患者在确诊时已属晚期,失去了手术根治的机会 [1]。在过去几十年中,以铂类为基础的化疗一直是晚期NSCLC的标准一线治疗方案,但患者的总生存期(OS)通常仅有8-12个月,治疗效果进入了瓶颈期 [2]。近年来,免疫检查点抑制剂(ICIs)的出现,彻底改变了NSCLC的治疗格局。对于驱动基因阴性的IV期NSCLC,化疗联合ICIs作为一线治疗,已成为标准方案 [3],在此基础上进行免疫维持治疗,可进一步延长生存获益并改善患者预后。本期,湛江中心人民医院张琼月医生将分享一例晚期肺鳞癌患者,在使用舒格利单抗联合化疗一线治疗两周期即快速达到部分缓解(PR),并在舒格利单抗单药维持治疗后持续获益近三年。现将病例诊疗过程整理如下,并邀请湛江中心人民医院吴爱兵教授对病例进行点评,以飨读者。

张琼月 教授
湛江中心人民医院

肿瘤三区副主任医师医学硕士
湛江市医学会肺部肿瘤学分会第一届委员会委员
广东省胸部疾病学会呼吸肿瘤全程管理专业委员会委员
广东省女医师协会消化肿瘤专业委员会委员
广东省健康科普促进会肺癌委员会委员
胸部肿瘤、消化道肿瘤,致力于肿瘤的综合诊治,在化疗、免疫治疗、靶向治疗及肿瘤止痛方面具有专业的知识和丰富临床经验,既跟踪国内外最新进展又做到个体化治疗。曾发表论文数篇

病例介绍

基本情况

患者信息: 男性,67岁。

主诉:确诊“左肺鳞癌1天”。

既往史: 有“脑梗塞”、“糖尿病”病史,曾因“肾结石、阑尾炎”行手术。

个人史:有30年吸烟史。

体格检查(2022年9月22日): 入院时PS评分为2分,精神疲倦,需轮椅辅助。左肺呼吸音减弱,右肺呼吸稍减弱。

辅助检查:

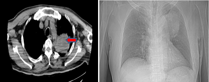
  • 影像学检查(2022年9月): PET-CT提示左肺上叶尖后段中央型肺癌可能性大,伴纵膈、左肺门淋巴结及多处骨骼、肝脏转移可能。胸部CT显示左肺上叶团块状软组织影,伴左侧第3前肋溶骨性骨质破坏。头颅MRI未见明确颅内转移。

图片7.png

胸部CT基线(2022年9月)
  • 病理学检查(2022年9月): CT引导下经皮肺穿刺活检病理符合鳞状细胞癌。免疫组化结果:CK5/6 (+),P40 (+),CK7 (-),TTF-1 (-),Syn (-),Ki67 (60%+),CD56 (-),LCA (-),Napsin A (-),P63 (+),CK (+)。

临床诊断: 左肺鳞癌 cT4N2M1c(肝、肋骨、锥体转移) IVB期。

诊疗经过

 一线治疗

患者于2022年10月4日开始接受一线治疗,方案为“紫杉醇(白蛋白结合型)440mg + 卡铂 500mg + 舒格利单抗 1200mg”,每三周一次。

疗效评估

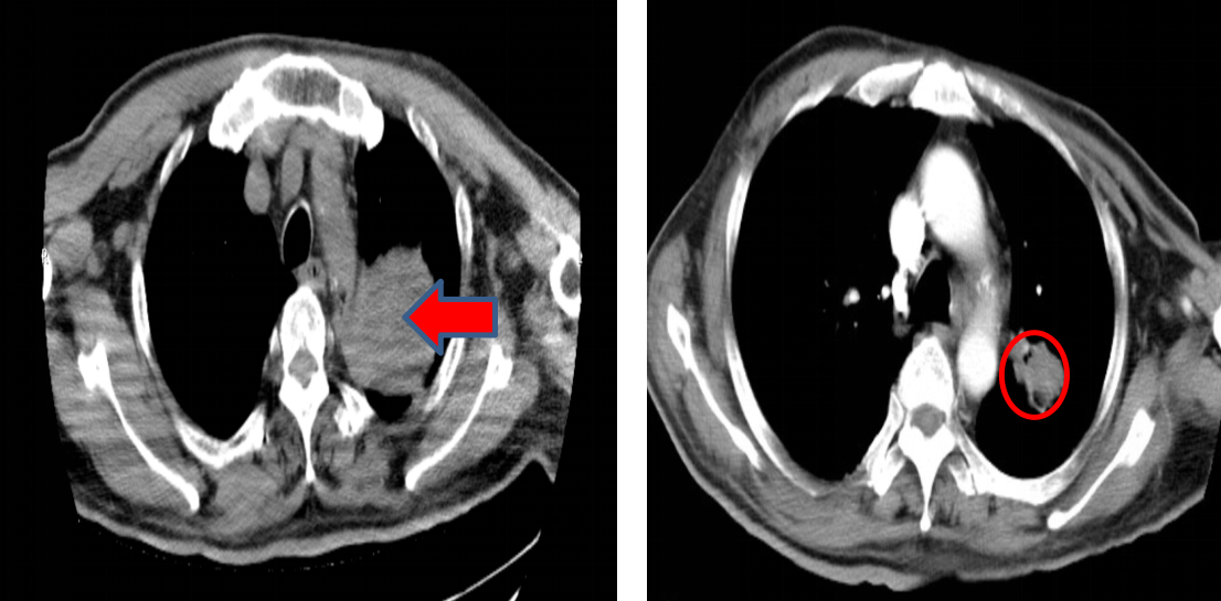
胸部CT(2022年11月):1、左肺上叶团块状软组织密度影并左肺上叶阻塞性炎症,左侧第3前肋骨质破坏,考虑肺癌,肿块较前减小,炎症较前吸收。2、纵隔及左侧肺门区多发淋巴结稍增大,部分钙化。完成2个周期治疗后,疗效评价为PR,随后继续该方案治疗2周期。

图片8.png

胸部CT(左:基线;右:2022年11月)

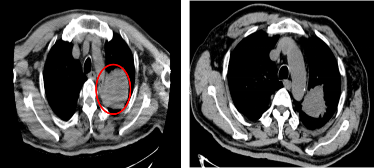
胸部CT(2023年1月):左肺上叶占位并周围阻塞性肺炎,肿块较前缩小,内新发小空洞,周围炎症较前吸收减少。疗效评价为PR。

2.png

胸部CT(左:基线;右:2023年1月)

胸部CT(2023年4月):左肺上叶占位并周围阻塞性肺炎,肿块较前稍缩小。疗效评价维持PR。

3.png

胸部CT(左:基线;右:2023年4月)

维持治疗

完成4周期联合化疗后,患者于2023年1月6日开始进入“舒格利单抗 1200mg”单药维持治疗阶段。

疗效评估

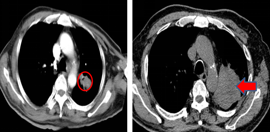
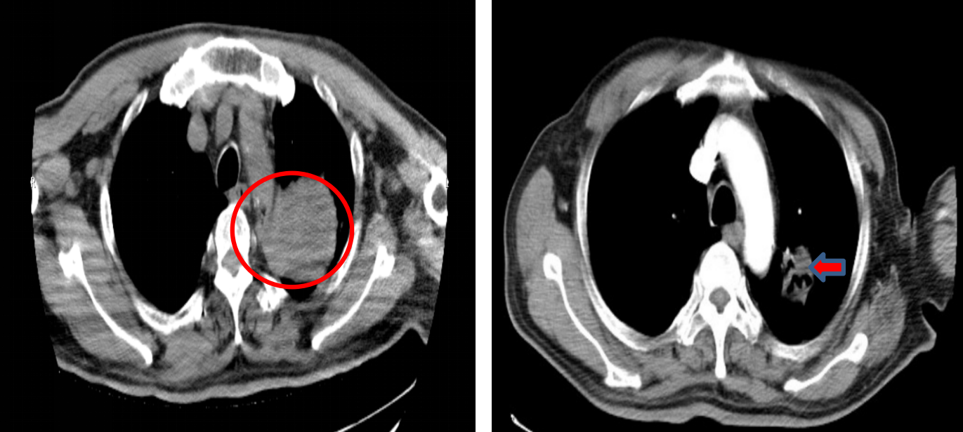
胸部CT(2023年10月):左肺上叶占位较前增大,疗效评价为疾病进展(PD)。此时,患者已获得约12个月的无进展生存期。

4.png

胸部CT(左:2023年4月;右:2023年10月)

后续治疗

针对胸部病灶的进展,患者于2023年11月10日开始接受胸部姑息性放疗,放疗总剂量为:PTV 5500cGy,共25次,每次220cGy,放疗期间患者暂停用舒格利单抗。放疗结束后,于2024年1月29日继续重启舒格利单抗维持治疗。截至目前,患者已接受共计31个周期的舒格利单抗维持治疗,并仍在持续治疗中。

疗效评估

后续多次复查,胸部CT均提示病情维持稳定。

图片9.png

胸部CT(2023年11月-2025年3月)
吴爱兵 教授
湛江中心人民医院

肿瘤三区主任医师、科主任、医学博士、硕士研究生导师
美国乔治梅森大学访问学者
第三届“南粤好医生”称号
中国抗癌协会肿瘤标志专业委员会委员
广东省胸部疾病学会肿瘤急危重症专业委员会常委
广东省健康科普促进会肺癌分会第一届委员会常委
广东省医师协会肿瘤内科医师分会委员会委员
广东省医学会肿瘤精准诊疗第一届专委会委员
广东省胸部防治研究会肿瘤慢性管理专业委员会委员
广东省精准医学应用学会肺癌分会委员
广东省胸部肿瘤防治研究会粤西分会常委
湛江市医学会肺部肿瘤分会专业委员会副主任委员
湛江市医师协会肿瘤内科医师分会委员会常委
主持国家自然基金1项、广东省自然基金2项、广东省科技计划2项,湛江市项目2项,以第一和通讯作者发表SCI论文13篇。

专家点评

本例是一位高龄、初诊时PS评分较差(2分)且肿瘤负荷较大的晚期肺鳞癌患者。对于此类患者,传统的单纯化疗方案疗效有限,且毒副反应较大。该病例的诊疗过程充分体现了当前晚期NSCLC免疫治疗时代“全程管理”的先进理念,有以下几点值得关注和思考:

1. 一线化疗联合免疫治疗的选择是基石

该患者选择了白蛋白紫杉醇联合卡铂及PD-L1抑制剂舒格利单抗的方案,这一选择符合国内外权威指南的推荐。舒格利单抗的III期临床研究GEMSTONE-302研究结果显示 [4-6],无论PD-L1表达水平如何,舒格利单抗联合化疗一线治疗IV期NSCLC(包括鳞癌和非鳞癌),均能显著改善患者的PFS和OS,且安全性良好。在鳞癌患者亚组中,舒格利单抗联合化疗组的中位OS达到23.6个月,4年OS率达27.6%,较对照组的12.2个月和11.7%仍有获益趋势[4]。本例患者在一线治疗2周期后即获得PR,4周期后疗效进一步确认,证实了该方案起效迅速、疗效显著的特点,为患者后续的长期生存奠定了坚实基础。

2. 免疫维持治疗是延长生存获益的关键

在完成4-6个周期的诱导免疫联合化疗后,继续使用免疫检查点抑制剂进行维持治疗,是当前的标准策略。其目的是持续激活抗肿瘤免疫反应,巩固并深化疗效,从而延缓疾病进展。本例患者至今已接受31周期的舒格利单抗单药维持治疗,并达到病情稳定,这对于一位初诊时肿瘤负荷巨大的晚期患者而言,是相当不错的成绩。这凸显了免疫维持治疗在将晚期肺癌“慢病化”管理中的重要价值。

3. “跨线治疗”与局部治疗的协同作用

当患者在免疫维持治疗期间出现疾病进展时,后续治疗策略的选择至关重要。传统的做法是更换为二线化疗。但近年来,“免疫治疗跨线”[7]或“免疫治疗联合局部治疗” [8]的模式为患者提供了新的选择。对于寡进展的患者,对进展病灶进行放疗等局部治疗,同时继续原有的免疫治疗,可通过“远隔效应”(Abscopal Effect)重新激发全身的抗肿瘤免疫,从而让患者持续获益[9]。本例患者在胸部病灶进展后,采用了姑息放疗,之后重启舒格利单抗治疗,并再次获得了长期的疾病控制。尤为值得一提的是,本例患者在经历局部进展并接受放疗后,继续免疫治疗并获得了近三年的持续疾病控制,这在初诊时PS评分较差的患者中尤为难得,充分证明了全程管理策略的成功。
 
总之,这一成功的临床案例,或可为此类肺鳞癌患者提供治疗新思路。以舒格利单抗为代表的免疫治疗药物,有望在晚期肺癌患者的全程管理中发挥着越来越重要的作用。通过合理的治疗策略,即使是初诊时状态较差、肿瘤负荷较大的晚期肺鳞癌患者,也能实现长期生存获益。未来的研究方向将更加聚焦于精准免疫治疗。例如,探索更可靠的生物标志物来预测免疫疗效,筛选优势人群,并进一步优化免疫相关不良事件的管理策略,使更多患者能够安全、有效地从免疫治疗中获益,实现长期高质量生存。

参考文献

[1] Sung H, Ferlay J, Siegel RL, et al. Global Cancer Statistics 2020: GLOBOCAN Estimates of Incidence and Mortality Worldwide for 36 Cancers in 185 Countries. CA Cancer J Clin. 2021;71(3):209-249.
[2] Schiller JH, Harrington D, Belani CP, et al. Comparison of four chemotherapy regimens for advanced non-small-cell lung cancer. N Engl J Med. 2002;346(2):92-98.
[3] 中国临床肿瘤学会(CSCO)非小细胞肺癌诊疗指南 2025.
[4] Zhou C, Wang Z, Sun M, et al. 1318P Four-year outcomes from GEMSTONE-302 study: First-line sugemalimab plus platinum-based chemotherapy in metastatic non-small cell lung cancer (NSCLC). Ann Oncol. 2024;35:S839.
[5] Zhou C, Wang Z, Sun M, et al. Interim survival analysis of the randomized phase III GEMSTONE-302 trial: sugemalimab or placebo plus chemotherapy as first-line treatment for metastatic NSCLC. Nat Cancer. 2023;4(6):860-871.
[6] Zhou C, Wang Z, Sun Y, Cao L, Ma Z, Wu R, Yu Y, Yao W, Chang J, Chen J, Zhuang W, Cui J, Chen X, Lu Y, Shen H, Wang J, Li P, Qin M, Lu D, Yang J. Sugemalimab versus placebo, in combination with platinum-based chemotherapy, as first-line treatment of metastatic non-small-cell lung cancer (GEMSTONE-302): interim and final analyses of a double-blind, randomised, phase 3 clinical trial. Lancet Oncol. 2022 Feb;23(2):220-233.
[7] Topp BG, et al.Cancer Cell. 2023 Sep 11;41(9):1680-1688.
[8] 张志敏,章必成.非小细胞肺癌免疫治疗热点问题解析[J].重庆医科大学学报,2025,50(06):726-733.
[9] Zhang YP, Guo ZQ, Cai XT, et al. PAI-1-driven SFRP2high cancer-associated fibroblasts hijack the abscopal effect of radioimmunotherapy. Cancer Cell. 2025 May 12;43(5):856-874.e9. 


责任编辑:肿瘤资讯-明小丽
排版编辑:肿瘤资讯-展思懿
版权声明
版权归肿瘤资讯所有。欢迎个人转发分享,其他任何媒体、网站如需转载或引用本网版权所有内容,须获得授权,且在醒目位置处注明“转自:良医汇-肿瘤医生APP”。

评论
2025年10月13日
韩朝
黑山仁和医院 | 肿瘤内科
以舒格利单抗为代表的免疫治疗药物,有望在晚期肺癌患者的全程管理中发挥着越来越重要的作用