
结直肠癌作为我国高发恶性肿瘤之一,近年来其发病率呈现显著上升趋势。尽管目前治疗手段渐趋丰富,但仍面临着严峻挑战。曲氟尿苷替匹嘧啶(TAS-102)作为一种新型口服化疗药物,凭借其独特的抗肿瘤机制、良好的治疗效果以及可控的安全性,在转移性结直肠癌治疗领域展现出广阔的应用前景。本文通过深度剖析三例具有代表性的晚期结直肠癌病例,并结合多位临床专家的精彩点评,旨在深入探讨TAS-102联合方案在真实世界中的临床应用与价值,为晚期结直肠癌的个体化、精准化治疗提供新的临床参考与启示。
病例一
病例汇报:
王霞教授 天津市肿瘤医院
病例点评:
杨丽敏教授 郑州大学第一附属医院
周蕾教授 首都医科大学附属北京世纪坛医院
中国临床肿瘤学会委员
天津市医疗健康学会第一届肿瘤专业委员会委员
中国民族医药学会整合医学分会理事
主持“天津市自然科学基金”、“天津医科大学科学基金” 、“希思科临床肿瘤学基金”
参与“国家自然科学基金”、“国家高技术研究发展计划(863计划)”
获得“天津市科技进步一等奖”、“抗癌协会科技一等奖” 、“天津市科技进步二等奖”、“中华医学科技二等奖”、“华夏医学科技奖三等奖”
患者基本情况
一般资料:男性,61岁。
主诉:结肠癌肝转移治疗后半月余。
辅助检查:
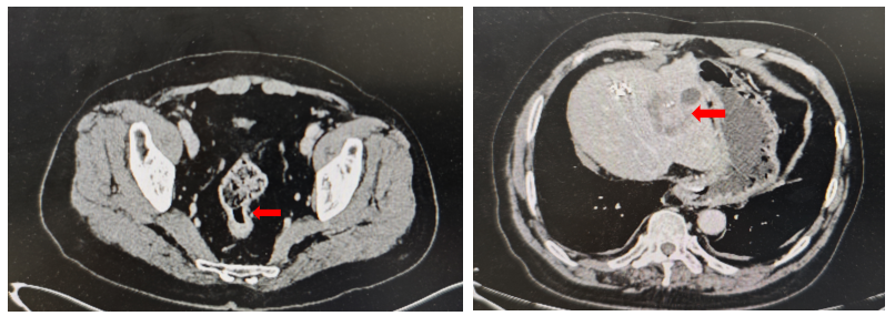
CT检查提示乙状结肠壁增厚,伴肝脏多发转移(图1)。
2024年6月肠镜检查提示乙状结肠肿物,病理证实为腺癌。

基因检测:KRAS/NRAS野生型,BRAF V600E突变,MSS。
初步诊断:
乙状结肠癌伴多发肝转移。
诊疗经过
一线治疗
患者于2024年6月25日至2024年9月29日,给予“贝伐珠单抗联合FOLFIRINOX”方案治疗。
2024年10月复查CT,提示结肠原发灶及肝转移灶均较前增大、增多,疗效评价为疾病进展(PD)。
二线治疗
患者入组一项研究者发起的临床试验(IIT),于2024年10月5日起接受“TAS-102联合呋喹替尼及PD-1单抗”三药联合治疗。
治疗后复查,肝转移病灶明显缩小,疗效评价为部分缓解(PR),无进展生存期(PFS)已超过半年,目前仍持续获益中。
病例小结
本例为一名BRAF V600E突变的晚期结肠癌患者,该类型预后较差,对常规化疗不敏感。在一线采用强效的“贝伐珠单抗联合FOLFIRINOX”方案治疗失败并快速进展后,二线予以“TAS-102+呋喹替尼+PD-1单抗”的“化疗+靶向+免疫”三药联合模式,取得了良好疗效,肝脏病灶明显缩小,实现了疾病的有效控制。
病例二
病例汇报:
吴海涛教授 吉林大学第一医院
病例点评:
刘新莉教授 辽宁省肿瘤医院
李静教授 河北医科大学第四医院
中国抗癌协会肿瘤营养专业委员会肿瘤化疗营养专家协作组学组委员兼秘书
中国研究型医院学会精准医学与肿瘤MDT专业委员会第一肿瘤临床协作组秘书
北京癌症防治学会胃癌防治青年委员会常务委员
吉林省研究型医院学会消化道肿瘤MDT专业委员会委员
吉林省生命关怀协会肿瘤舒缓治疗专业委员会委员
吉林省居家养老协会胸部疾病专业委员会委员
吉林省居家养老协会精准医疗全科专家委员会委员
北京医学奖励基金会肺癌医学青年专家委员会委员
中国抗衰老促进会肿瘤营养专业委员会委员
吉林省营养师协会肿瘤分会委员
患者基本情况
一般资料:女性,37岁。
主诉:体检发现多发肝脏占位1周。
辅助检查:
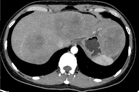
实验室检查:CEA 4289ng/ml,CA242 488.4U/ml,CA199 529.9ng/ml;AST 133.6U/L,ALT 88.7 U/L全腹平扫+增强CT提示肝脏多发占位性病变,直肠上段壁增厚,边缘毛糙,不均匀强化,周围见多发肿大淋巴结(图2)。
肠镜检查提示距离肛缘12cm占位堵塞肠腔,表面凹凸不平,质脆,易出血。肠镜病理提示直肠中分化腺癌;免疫组化结果:Ki-67(+80%)、MLH1(+++)、MSH2(+++)、MSH6(+++)、PMS2(+++)、HER2(0)。

初步诊断:
直肠中分化腺癌伴多发肝转移(IVA期, cTxN+M1a)。
诊疗经过
一线治疗
患者于2023年11月7日给予mFOLFOXIRI治疗1周期。
1周期后复查提示,肿瘤标志物呈下降趋势(CEA 3180ng/ml,CA242 207.33U/ml,CA199 156.79ng/ml),AST、ALT恢复正常。
基因检测提示KRAS、NRAS、BRAFV600E野生型,MSS,TMB 6.82 Muts/Mb,TP53 p.R248Q,未检出PARP抑制剂获益相关基因变异。
随后,患者予以“mFOLFOXIRI联合西妥昔单抗”方案转化治疗6周期。
复查影像学检查提示原发灶缩小,周围淋巴结缩小,肝脏病灶明显缩小。
疗效评估:PR。
期间出现不良反应,体能明显下降。后续调整为“FOLFIRI联合西妥昔单抗”方案维持治疗6周期。
2024年7月13日复查全腹平扫+增强CT检查,提示肝脏多发占位性病变,大小较前增大。
疗效评估:PD。
二线治疗
基于《CSCO结直肠癌诊疗指南(2025)》指南推荐,患者予以“TAS-102联合贝伐珠和奥沙利铂”治疗6周期。治疗后肝脏病灶稳定,遂更换为“TAS-102联合贝伐珠单抗”维持治疗8周期。
期间复查影像学检查,疗效评估为SD,但CEA持续缓慢上升。
2025年4月12日复查提示肝脏多发病灶较前增大。疗效评估:PD。
三线治疗
患者入组一项临床研究,予以“信迪利单抗+呋喹替尼+西达本胺”方案治疗3周期。
治疗3周期后,仍在评估中。
病例小结
本例为一名年轻、直肠中分化腺癌伴多发肝转移患者。一线采用强效的三药联合靶向方案,取得了良好的肿瘤退缩效果。进展后,二线治疗应用“TAS-102联合贝伐珠单抗和奥沙利铂”联合方案,为患者争取到长达9.5个月的PFS。患者再次进展后,入组临床试验。该病例为我们展示了在晚期肠癌的全程管理中,如何根据患者特点和指南推荐,进行动态、个体化的方案调整与创新。
病例三
病例汇报:
孟宇教授 郑州大学第一附属医院
病例点评:
蔡玉梅教授 天津市人民医院
刘亚彬教授 河北医科大学第四医院
河南省抗癌协会神经内分泌肿瘤专业委员会青委会秘书
河南省抗癌协会老年肿瘤青年委员会常务委员
河南省抗癌协会肿瘤化疗专业委员会青年委员
河南省抗癌协会肿瘤药物临床研究专业委员会青年委员
患者基本情况
一般资料:男性,81岁。
主诉:肛门未排气排便5天,加重5小时。
辅助检查:
超声示腹部肠管扩张,腹腔积液。
腹部CT提示肠胀气并中下腹部多发液气平,考虑肠梗阻。
诊疗经过
手术治疗
患者于2019年11月27日因肠梗阻行“腹腔镜下直肠根治术(harrtmann术)+肠粘连松解术”。术后病理提示直肠中分化腺癌。
目前诊断:直肠中分化腺癌术后(pT3N0M0 ⅡA期 pMMR)。
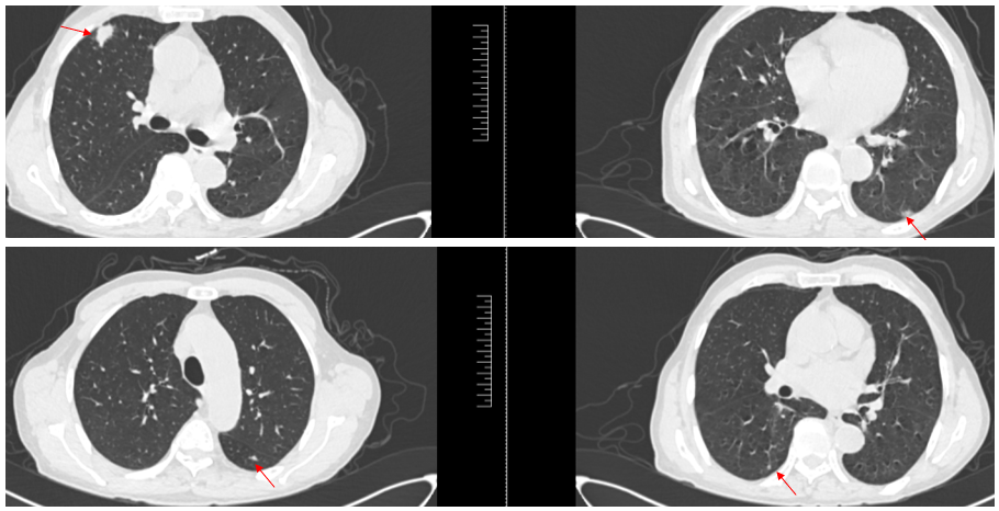
患者于2024年7月19日复查,胸腹CT检查提示双肺多发结节,考虑转移(图3)。穿刺病理证实为肠癌转移。
基因检测:KRAS G12V突变,HER2(2+)。

一线治疗
患者于2024年7月30日予以“TAS-102联合贝伐珠单抗”方案进行治疗。
治疗期间患者耐受性良好,仅出现可控的骨髓抑制。影像学评估显示肺部病灶持续缩小,疗效评价为PR。PFS已超过10个月。
病例小结
本例为一名85岁晚期结直肠癌患者,在术后多年出现肺转移。治疗团队打破常规治疗次序,将原本用于后线、以低毒和口服便捷为特点的TAS-102联合贝伐珠单抗方案用于一线治疗,取得了明显的疗效(PFS>10个月)和良好的安全性。
总结
晚期结直肠癌的治疗充满挑战,通过本文分享的三例病例,可以看到TAS-102联合方案在不同临床实践中的应用潜力。无论是BRAF突变患者的三药联合模式,还是年轻患者后线治疗中的个体化增效策略,亦或是高龄患者一线治疗的“低毒高效”方案,都体现了精准医疗和个体化治疗的重要性。这些真实世界的数据不仅验证了TAS-102联合方案的疗效与安全性,也为临床实践提供了宝贵的经验。未来,随着更多研究的开展和数据的积累,有望进一步优化治疗策略,为晚期结直肠癌患者带来更长的生存时间和更高的生活质量。
排版编辑:肿瘤资讯-jyy






苏公网安备32059002004080号