
近年来,随着医学技术的不断进步,针对晚期结直肠癌的治疗方案也在持续优化。TAS-102作为一种新型口服化疗药物,通过抑制肿瘤细胞的增殖并诱导其凋亡,为患者提供了新的希望。联合治疗策略的引入进一步提升了疗效,不仅延长了患者的生存期,还改善了生活质量。同时个体化治疗理念的融入,也为不同患者制定更精准的方案提供了可能。本文通过分析三例病例,深入探讨了TAS-102联合方案在晚期结直肠癌治疗中的临床效果,为晚期结直肠癌的治疗提供了新的临床参考。
病例一
病例汇报:
周毅教授 四川省肿瘤医院
点评专家:
袁紫旭教授 中山大学附属第六医院
成伊侃教授 中山大学附属第六医院
四川省抗癌协会肿瘤内分泌专委会秘书
四川省肿瘤学会肿瘤支持治疗与不良反应管理专委会委员
四川省医创会妇科肿瘤临床研究委员会委员
四川省抗癌协会靶向治疗青委会常委
主持省部级自然科学基金2项,主研国家级课题2项
以第一作者及通信作者发表SCI论文10余篇
参与完成多项国际、国内多中心研究
患者基本情况
一般资料:女,45岁。
主诉:确诊“直肠癌”1月,治疗后9天。
辅助检查:
实验室检查:粪便隐血OB实验:阳性;CEA:125ng/ml。
腹部CT提示:乙状结肠-直肠肠壁增厚,局部管腔狭窄伴周围腹膜密度增高及多发淋巴结;腹腔及腹膜后多发软组织结节;肝内多发低密度影。
肠镜检查提示乙状结肠距肛门约14cm可见隆起型新生物,环3/4肠腔;病理活检确诊为腺癌。
初步诊断:
直-乙状结肠交界处腺癌伴腹膜后淋巴结及肝多发转移(cT4N2M1,Ⅳ期)。
诊疗经过
转化治疗
患者于2021年1月29日行支架置入术解除梗阻症状;基因检测提示:KRAS:exon2 G12A突变,NRAS:野生型,BRAF:野生型,MSS, TMB-L。
2021年2月2日至3月20日,患者予以“FOLFOX+贝伐珠单抗”方案治疗3周期,疗效评估为疾病稳定(SD)。
2021年4月4日至6月2日,调整为“FOLFIRIOX+贝伐珠单抗”方案治疗4周期,疗效评估为部分缓解(PR)。
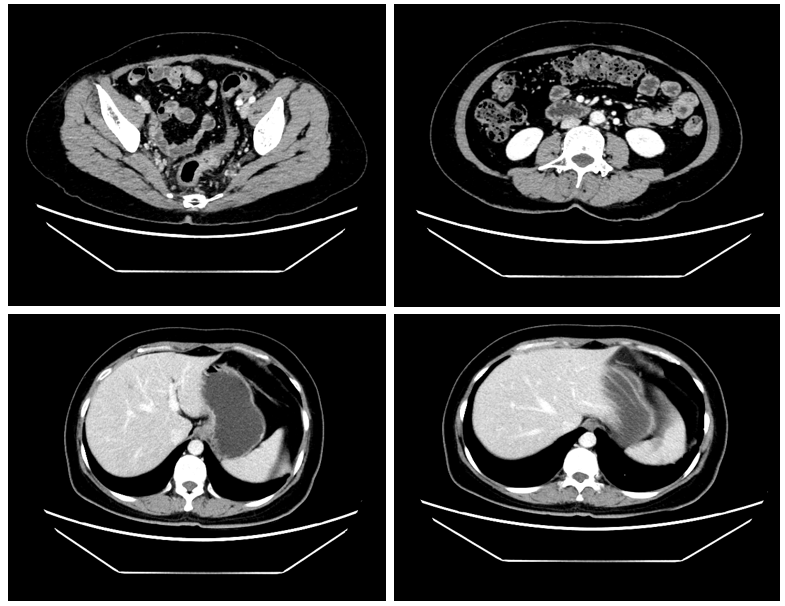
患者于2021年6月及8月分次对肝转移灶行微波消融术;并于2021年7月7日至2021年8月11日予以FOLFOXIRI治疗2周期;于2021年9月7日至2021年12月8日予“卡培他滨+贝伐单抗”方案化疗2周期后暂停贝伐珠单抗同步拟行原发灶切除术,同期继续予以卡培他滨治疗。2、4周期化疗后复查评估病情维持PR(图1)。

手术治疗
患者于2022年1月行“直肠-乙状结肠肿瘤切除术+腹膜后淋巴结探查术”。术后病理:直肠-乙状结肠:溃疡型,中分化腺癌,肿瘤侵出肠壁浆膜层,新辅助治疗后肿瘤退缩TRG评分:3分;吻合口远近断端未见癌累及;淋巴结查见癌转移(4/17);肠周查见癌结节一枚;右侧肝肾隐窝结节:查见癌累及;阑尾及大网膜:均未见癌累及。免疫组化:“乙状结肠腺癌”免疫表型: CK7 (-) CK20(+) CDX-2 (+) SATB2 (+) MLH1 (+) PMS2(+) MSH2(+) MSH6(+) P53 (+,约80%) Ki-67 (阳性率约70%)。
一线治疗
患者术后予以卡培他滨联合贝伐珠单抗治疗。
2022年5月,复查发现双肺出现多发转移结节,评估为疾病进展(PD)。
二线治疗
患者于2022年5月起予以“TAS-102+贝伐珠单抗”方案治疗8周期,期间耐受性良好。
2023年2月复查提示肺部及肝脏病灶进展,再次评估为PD。
病例小结
本病例为一名45岁女性患者,初诊即为伴有多发转移的晚期直-乙状结肠交界处腺癌。通过积极转化治疗,采用从双药到三药联合贝伐珠单抗的强化方案,成功使肿瘤降期,为后续的局部消融和原发灶根治性切除创造了条件,实现了NED(无疾病证据)状态。在术后维持治疗中出现疾病进展后,采用TAS-102联合贝伐珠单抗方案,明显延长了患者生存时间。
病例二
病例汇报:
张燕教授 中山大学附属第六医院
点评专家:
李宏敏教授 四川省人民医院
游翔教授 福建医科大学附属第一医院
广东省女医师协会细胞生物治疗与营养专业委员会副主任委员
中国抗癌协会康复分会胸科学组肺结节专委会委员
中国老年学和老年医学会康复分会精准医疗专委会常委
广东省抗癌协会大肠癌专业委员会内科学组委员
广东省临床医学学会肿瘤新药治疗专委会委员
广东省基层医药学会精准医疗分会常委
CSWOG(中国南方肿瘤临床研究协会)青委会委员
中国初级卫生保健基金会大湾区消化疾病诊疗公益基金管理委员会委员
患者基本情况
一般资料:男,70岁。
主诉:确诊乙状结肠癌7天。
辅助检查:
肿瘤标志物:CEA 2669.040 ng/ml, CA125 94.600 U/ml, CA19-9 332.170 U/ml。
基因结果:pMMR,MSS,KRAS/NRAS/BRAF 野生型,HER2阴性。
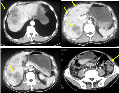
CT提示:降结肠-乙状结肠交界不均匀增厚并肠腔狭窄,考虑恶性病变,肝内多发结节、肿块,考虑转移瘤(图2);肠镜提示:乙状结肠肿物,病理:中分化腺癌。

初步诊断:
乙状结肠癌伴多处转移(MSS,RAS/RAF wt,HER2-,Ⅳ期)。
诊疗经过
一线治疗
患者于2021年8月19日至2022年1月25日予以“西妥昔单抗+FOLFOX”方案治疗8程。期间肿瘤标志物CEA、CA19-9均从极高水平显著下降至正常范围,影像学评估为PR。
第8程时出现奥沙利铂过敏。
二线治疗
患者于2022年2月22日至2022年12月22日予以“西妥昔单抗+FOLFIRI”方案治疗9程。
2023年2月1日,复查CT提示肝脏、腹膜病灶较前增大,腹水增多,评估为PD。
三线治疗
患者于2023年2月2日至2023年7月予以“贝伐珠单抗+TAS-102”方案治疗。经腹腔穿刺引流后,腹胀症状消失且未再复发。
治疗期间肿瘤标志物CA125迅速下降,影像学评估为PR。
2023年7月出现Ⅳ度血小板降低,考虑无法耐受。
四线治疗
患者于2023年10月24日至2024年5月予以“贝伐珠单抗+FOLFIRI”方案治疗。
2024年6月出现腹膜进展,最终于2024年8月去世。
病例小结
本病例为一名初诊即广泛转移的左半结直肠癌患者,通过规范的多线治疗,实现了长达3年的总生存期。一线及二线抗EGFR靶向联合化疗取得了长达17个月的PFS。在二线治疗进展、患者身体状况恶化的情况下,三线果断采用TAS-102联合贝伐珠单抗治疗,不仅迅速逆转了病情,显著改善了腹水等严重症状,提高了生活质量,还再次获得了PR的深度缓解。
病例三
病例汇报:
黄鸥翔教授 福建医科大学附属第一医院
点评专家:
白义凤教授 四川省人民医院
孙立军教授 福建医科大学附属第一医院
海医会肿瘤精准治疗委员会委员
患者基本情况
一般资料:女性,80岁。
主诉:反复腹痛1月余。
辅助检查:
肿瘤标志物:CEA 53.20ng/ml,CA19-9<2U/ml。
胸腹部CT检查提示乙状结肠肠壁增厚,考虑恶性肿瘤,肠周多发小淋巴结;左肾占位,考虑恶性肿瘤,肾癌可能性大。
结肠镜检查提示乙状结肠肿物并狭窄。活检病理提示黏膜腺癌。
现病史:
患者于2023年11月确诊乙状结肠癌,同时发现左肾占位。
基因状态:
KRAS G12D突变,MSS型。
初步诊断:
乙状结肠腺癌(pT3N0M0, IIA期);左肾癌。
诊疗经过
手术治疗
患者于2023年12月11日行“腹腔镜乙状结肠、右半结肠根治性切除术”。术后病理:(乙状结肠)溃疡型中分化管状腺癌,伴黏液分泌,大小4*3.8*1.8cm,侵及浆膜下层,局灶紧邻浆膜层(<0.1cm),未见脉管内癌栓及神经侵犯。免疫组化:CDX2(+),HER2(0),Ki-67(+,65%),MLH1(+),MSH2(+),MSH6(+),P53(+,65%),PMS2(+),SATB2(+)。
基因检测:KRAS基因2号外显子错义突变p.G12D,PIK3CA基因8号外显子错义突变p.E453K;MSS。
2024年2月20日行肾脏MRI平扫检查,提示左肾占位,考虑恶性肿瘤,较前稍增大;肝右叶异常信号灶,建议增强检查。
患者于2024年2月26日行“腹腔镜下左肾部分切除术”,术后病理:(左肾肿瘤)透明细胞肾细胞癌,大小3.8*2.0*1.5cm。免疫组化:Ki-67(+,5%)。分期:T1a,WHO/ISUP分级:2级,肉瘤样分化:0%,横纹肌样分化:0%,肿瘤性坏死、脉管内癌栓、神经束侵犯、肾切缘:(-)。
患者于2024年6月6日行68Ga-FAPI PET/MR检查,提示:肝Ⅷ段占位(4.2cm),68Ga-FAPI高摄取,考虑转移,肠癌转移可能性大;左肾癌术后,术区周缘肾实质异常68Ga-FAPI高摄取灶,考虑术后改变,建议随诊;右下腹部皮下术后改变;横结肠术区异常放射性浓聚灶,考虑术后改变;乙状结肠术区未见异常放射性浓聚灶。
目前诊断:1、乙状结肠腺癌术后肝孤立性转移,pT3N0M1a IVA期,KRAS G12D突变,MSS,HER2阴性;2、左肾透明细胞癌术后,pT1aN0M0 I期。
一线治疗
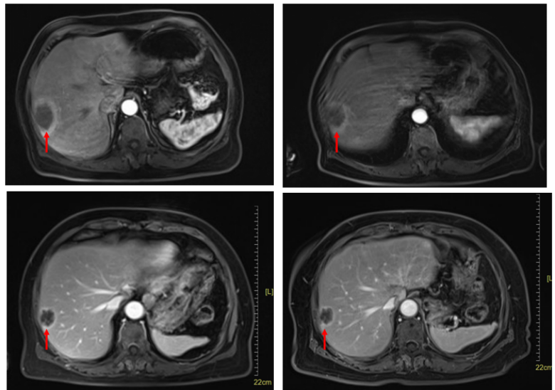
患者于2024年6月17至11月12日予以“TAS-02+贝伐珠单抗”方案治疗10周期。
定期复查腹部CT,提示肝内病灶较前明显缩小(图3)。疗效评估为PR。

患者于2025年1月行“腹腔镜下肝部分切除术”,术后病理证实为肠癌转移。
术后自2025年2月14日起,继续予以“TAS-102+贝伐珠单抗”方案维持治疗,至今已完成10周期。
病例小结
本病例为一名80岁患者,同时患结肠癌和肾癌两种原发肿瘤,病情复杂。在结肠癌根治术后出现孤立性肝转移,患者予以TAS-102联合贝伐珠单抗方案进行一线治疗。该方案不仅取得了PR的优异疗效,将不可直接切除的肝转移灶转化为可切除,最终通过手术实现NED,并且在术后维持治疗中表现出良好的耐受性和持久的疾病控制能力。
总结
通过三例晚期结直肠癌的病例分享与讨论,集中展现了TAS-102在临床实践中的应用价值和治疗策略。在晚期结直肠癌的治疗中,尤其是在标准治疗失败后,TAS-102单药或其联合方案(如联合贝伐珠单抗等)为患者提供了重要的治疗选择。上述三个病例均显示,通过个体化的治疗决策,即使是老年、伴有基础疾病或经多线治疗的患者,仍可能从TAS-102相关方案中获得临床获益,包括肿瘤的退缩、病情的稳定以及生存期的延长。未来,随着更多临床研究的开展,TAS-102在晚期结直肠癌治疗中的地位和应用前景将更加广阔,有望为更多患者带来生存希望和生活质量的改善。
排版编辑:肿瘤资讯-jyy






苏公网安备32059002004080号